Suppr超能文献

p53 缺陷通过下调 SIRT7 上调 RRM2 并使 RRM2 巴豆酰化,从而介导顺铂耐药。

p53 deficiency mediates cisplatin resistance by upregulating RRM2 and crotonylation of RRM2 through the downregulation of SIRT7.

作者信息

Sun Liangjie, Li Yi, Wang Meng, Luo Lan, Sun Ruiqing, Chen Yang, Bai Yan, Ding Chong, Wang Yixiang

机构信息

Central Laboratory, Peking University School and Hospital of Stomatology, National Center for Stomatology, National Clinical Research Center for Oral Diseases, National Engineering Research Center of Oral Biomaterials and Digital Medical Devices, Beijing Key Laboratory of Digital Stomatology, NHC Key Laboratory of Digital Stomatology, NMPA Key Laboratory for Dental Materials, Beijing, China.

Shanxi Medical University School and Hospital of Stomatology, Shanxi Province Key Laboratory of Oral Diseases Prevention and New Materials, Taiyuan, China.

出版信息

Front Mol Biosci. 2024 Jun 4;11:1423594. doi: 10.3389/fmolb.2024.1423594. eCollection 2024.

Abstract

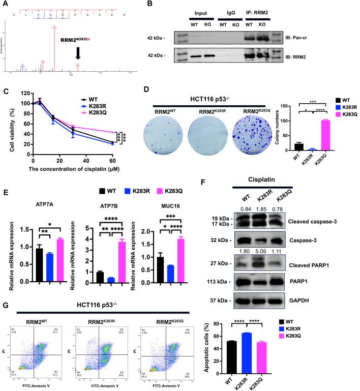
p53 deficiency plays a crucial role in chemotherapy resistance through various biological events, including posttranslational modifications (PTMs). Recently, lysine crotonylation (Kcr) has been shown to play a vital role in cancer progression. However, the global p53-regulated crotonylome and the function of these altered Kcr proteins after p53 deficiency remain unclear. In this study, we used a SILAC-based quantitative crotonylome to identify 3,520 Kcr in 1924 crotonylated proteins in response to p53 knockout. We found that increased crotonylation of RRM2 at K283 (RRM2) in the presence of p53 deficiency promoted HCT116 cell resistance to cisplatin. We discovered that SIRT7 could be the decrotonylase of RRM2 and was downregulated after p53 knockout, resulting in increased RRM2. Mechanistically, p53 deficiency inhibited cell apoptosis by upregulating RRM2 protein expression and RRM2-mediated cleaved-PARP1 and cleaved-caspase3 expression, and SIRT7 was downregulated to upregulate crotonylation of RRM2 upon p53 deficiency. In conclusion, our results indicated that p53 deficiency plays a malignant role in colon cancer resistance to cisplatin therapy by regulating RRM2 protein and RRM2 expression. Our findings provide a novel therapeutic target against p53-deficient cancer.

摘要

p53缺陷通过包括翻译后修饰(PTM)在内的各种生物学事件在化疗耐药中发挥关键作用。最近,赖氨酸巴豆酰化(Kcr)已被证明在癌症进展中起重要作用。然而,全球p53调节的巴豆酰化组以及p53缺陷后这些改变的Kcr蛋白的功能仍不清楚。在本研究中,我们使用基于SILAC的定量巴豆酰化组来鉴定1924个巴豆酰化蛋白中的3520个Kcr,以响应p53基因敲除。我们发现,在p53缺陷的情况下,RRM2的K283位点(RRM2)巴豆酰化增加促进了HCT116细胞对顺铂的耐药性。我们发现SIRT7可能是RRM2的去巴豆酰化酶,并且在p53基因敲除后下调,导致RRM2增加。机制上,p53缺陷通过上调RRM2蛋白表达以及RRM2介导的裂解PARP1和裂解caspase3表达来抑制细胞凋亡,并且在p53缺陷时SIRT7下调以上调RRM2的巴豆酰化。总之,我们的结果表明,p53缺陷通过调节RRM2蛋白和RRM2表达在结肠癌对顺铂治疗的耐药中起恶性作用。我们的发现为针对p53缺陷癌症提供了一种新的治疗靶点。

https://cdn.ncbi.nlm.nih.gov/pmc/blobs/a24a/11183501/508d0623b1cd/fmolb-11-1423594-g001.jpg

文献AI研究员

20分钟写一篇综述,助力文献阅读效率提升50倍。

立即体验

用中文搜PubMed

大模型驱动的PubMed中文搜索引擎

马上搜索

文档翻译

学术文献翻译模型,支持多种主流文档格式。

立即体验