• 文献检索
  • 文档翻译
  • 深度研究
  • 学术资讯
  • Suppr Zotero 插件Zotero 插件
  • 邀请有礼
  • 套餐&价格
  • 历史记录
应用&插件
Suppr Zotero 插件Zotero 插件浏览器插件Mac 客户端Windows 客户端微信小程序
定价
高级版会员购买积分包购买API积分包
服务
文献检索文档翻译深度研究API 文档MCP 服务
关于我们
关于 Suppr公司介绍联系我们用户协议隐私条款
关注我们

Suppr 超能文献

核心技术专利:CN118964589B侵权必究
粤ICP备2023148730 号-1Suppr @ 2026

文献检索

告别复杂PubMed语法,用中文像聊天一样搜索,搜遍4000万医学文献。AI智能推荐,让科研检索更轻松。

立即免费搜索

文件翻译

保留排版,准确专业,支持PDF/Word/PPT等文件格式,支持 12+语言互译。

免费翻译文档

深度研究

AI帮你快速写综述,25分钟生成高质量综述,智能提取关键信息,辅助科研写作。

立即免费体验

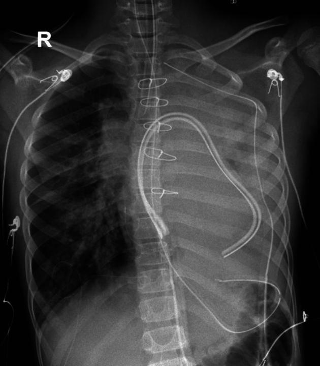
Diastolic dysfunction manifesting as acute plastic bronchitis after Warden procedure.

作者信息

Pasternack Daniel M, Martinez Michael J, McKinstry Jacqueline, Singh Rakesh, Saharan Sunil, Muise Eleanor D, Mosca Ralph, Kumar T K Susheel

机构信息

Division of Pediatric Cardiology, New York University Hassenfeld Children's Hospital, New York, NY.

Division of Pediatric Pulmonology, New York University Hassenfeld Children's Hospital, New York, NY.

出版信息

JTCVS Tech. 2024 Apr 3;25:153-156. doi: 10.1016/j.xjtc.2024.03.018. eCollection 2024 Jun.

DOI:10.1016/j.xjtc.2024.03.018
PMID:38899069
原文链接:https://pmc.ncbi.nlm.nih.gov/articles/PMC11184659/
Abstract
摘要
https://cdn.ncbi.nlm.nih.gov/pmc/blobs/340e/11184659/a1adc9f1a4fb/fx2.jpg
https://cdn.ncbi.nlm.nih.gov/pmc/blobs/340e/11184659/3cf8e614a152/fx1.jpg
https://cdn.ncbi.nlm.nih.gov/pmc/blobs/340e/11184659/076e33aa2223/gr1.jpg
https://cdn.ncbi.nlm.nih.gov/pmc/blobs/340e/11184659/5e4a855cbf88/gr2.jpg
https://cdn.ncbi.nlm.nih.gov/pmc/blobs/340e/11184659/a1adc9f1a4fb/fx2.jpg
https://cdn.ncbi.nlm.nih.gov/pmc/blobs/340e/11184659/3cf8e614a152/fx1.jpg
https://cdn.ncbi.nlm.nih.gov/pmc/blobs/340e/11184659/076e33aa2223/gr1.jpg
https://cdn.ncbi.nlm.nih.gov/pmc/blobs/340e/11184659/5e4a855cbf88/gr2.jpg
https://cdn.ncbi.nlm.nih.gov/pmc/blobs/340e/11184659/a1adc9f1a4fb/fx2.jpg

相似文献

1
Diastolic dysfunction manifesting as acute plastic bronchitis after Warden procedure.沃登手术后表现为急性塑形支气管炎的舒张功能障碍
JTCVS Tech. 2024 Apr 3;25:153-156. doi: 10.1016/j.xjtc.2024.03.018. eCollection 2024 Jun.
2
Outcomes of Double-patch and Warden Techniques in Patients With Supracardiac Partial Anomalous Pulmonary Venous Connection.心上型部分肺静脉异位连接患者行双补丁术和 Warden 技术的结果。
Heart Lung Circ. 2020 Jan;29(1):156-161. doi: 10.1016/j.hlc.2018.11.020. Epub 2018 Dec 14.
3
Outcomes of the Warden Procedure for Anomalous Pulmonary Venous Return to the Superior Vena Cava: A 17-Year Experience.上腔静脉异常肺静脉回流的沃登手术结果:17年经验
J Chest Surg. 2022 Jun 5;55(3):206-213. doi: 10.5090/jcs.21.142.
4
Outcomes of the Warden Procedure for Partial Anomalous Pulmonary Venous Drainage.部分性肺静脉异位引流的沃登手术效果
Pediatr Cardiol. 2020 Jan;41(1):134-140. doi: 10.1007/s00246-019-02235-8. Epub 2019 Dec 6.
5
Younger Age at Operation Is Associated With Reinterventions After the Warden Procedure.手术年龄较小与 Warden 手术后的再次干预有关。
Ann Thorac Surg. 2021 Jun;111(6):2059-2065. doi: 10.1016/j.athoracsur.2020.05.143. Epub 2020 Jul 24.
6
Acute plastic bronchitis after Ross procedure treated with veno-venous extracorporeal membrane oxygenation.体外膜肺氧合治疗 Ross 手术后急性塑性支气管炎。
Can J Anaesth. 2022 Feb;69(2):265-268. doi: 10.1007/s12630-021-02148-2. Epub 2021 Dec 2.
7
The Warden procedure for partial anomalous pulmonary venous connection in children: 10 years experience in 65 cases.儿童部分性肺静脉异位连接的沃登手术:65例10年经验
Cardiol Young. 2020 Oct;30(10):1486-1489. doi: 10.1017/S1047951120002516. Epub 2020 Aug 19.
8
Outcomes of the Warden procedure for partial anomalous pulmonary venous drainage in children.儿童部分性肺静脉异位引流的沃登手术结果
Interact Cardiovasc Thorac Surg. 2018 Sep 1;27(3):422-426. doi: 10.1093/icvts/ivy097.
9
Partial anomalous pulmonary venous connection to the superior vena cava: the outcome after the Warden procedure.部分性肺静脉异常连接至上腔静脉:Warden 手术后的结果。
Eur J Cardiothorac Surg. 2012 Feb;41(2):261-5. doi: 10.1016/j.ejcts.2011.05.043. Epub 2011 Dec 12.
10
Surgery for partial anomalous pulmonary venous connections: modification of the warden procedure with a right atrial appendage flap.部分性肺静脉异位连接的手术治疗:采用右心耳瓣片改良的Warden手术
Korean J Thorac Cardiovasc Surg. 2014 Apr;47(2):94-9. doi: 10.5090/kjtcs.2014.47.2.94. Epub 2014 Apr 10.

本文引用的文献

1
A Volume Challenge Reveals the Diagnosis of Pediatric Restrictive Cardiomyopathy.容量负荷试验揭示小儿限制性心肌病的诊断
Case Rep Cardiol. 2022 Aug 17;2022:4707309. doi: 10.1155/2022/4707309. eCollection 2022.
2
Pediatric Restrictive Cardiomyopathies.小儿限制性心肌病
Front Pediatr. 2022 Jan 25;9:745365. doi: 10.3389/fped.2021.745365. eCollection 2021.
3
Left ventricular restrictive physiology in kids with atrial septal defects: Something unexpected!房间隔缺损患儿的左心室限制性生理学:意想不到的情况!
Ann Pediatr Cardiol. 2021 Apr-Jun;14(2):228-230. doi: 10.4103/apc.APC_169_19. Epub 2021 Apr 10.
4
Left ventricular function in adult patients with atrial septal defect: implication for development of heart failure after transcatheter closure.成人房间隔缺损患者的左心室功能:经导管封堵后心力衰竭发展的影响。
J Card Fail. 2011 Nov;17(11):957-63. doi: 10.1016/j.cardfail.2011.07.003.
5
Abnormalities in cardiac structure and function in adults with sickle cell disease are not associated with pulmonary hypertension.患有镰状细胞病的成年人的心脏结构和功能异常与肺动脉高压无关。
J Am Soc Echocardiogr. 2011 Nov;24(11):1285-90. doi: 10.1016/j.echo.2011.07.009. Epub 2011 Aug 27.