• 文献检索
  • 文档翻译
  • 深度研究
  • 学术资讯
  • Suppr Zotero 插件Zotero 插件
  • 邀请有礼
  • 套餐&价格
  • 历史记录
应用&插件
Suppr Zotero 插件Zotero 插件浏览器插件Mac 客户端Windows 客户端微信小程序
定价
高级版会员购买积分包购买API积分包
服务
文献检索文档翻译深度研究API 文档MCP 服务
关于我们
关于 Suppr公司介绍联系我们用户协议隐私条款
关注我们

Suppr 超能文献

核心技术专利:CN118964589B侵权必究
粤ICP备2023148730 号-1Suppr @ 2026

文献检索

告别复杂PubMed语法,用中文像聊天一样搜索,搜遍4000万医学文献。AI智能推荐,让科研检索更轻松。

立即免费搜索

文件翻译

保留排版,准确专业,支持PDF/Word/PPT等文件格式,支持 12+语言互译。

免费翻译文档

深度研究

AI帮你快速写综述,25分钟生成高质量综述,智能提取关键信息,辅助科研写作。

立即免费体验

Src 抑制调节 AMBRA1 介导的线粒体自噬,以抵抗肾移植纤维化中的内皮到间充质转化。

Src inhibition modulates AMBRA1-mediated mitophagy to counteract endothelial-to-mesenchymal transition in renal allograft fibrosis.

机构信息

Department of Urology, The Second Affiliated Hospital with Nanjing Medical University, Nanjing, China.

Department of Urology, The First Affiliated Hospital with Nanjing Medical University, Nanjing, China.

出版信息

Cell Prolif. 2024 Nov;57(11):e13699. doi: 10.1111/cpr.13699. Epub 2024 Jun 29.

DOI:10.1111/cpr.13699
PMID:38943534
原文链接:https://pmc.ncbi.nlm.nih.gov/articles/PMC11533082/
Abstract

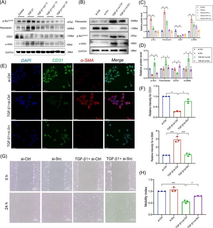
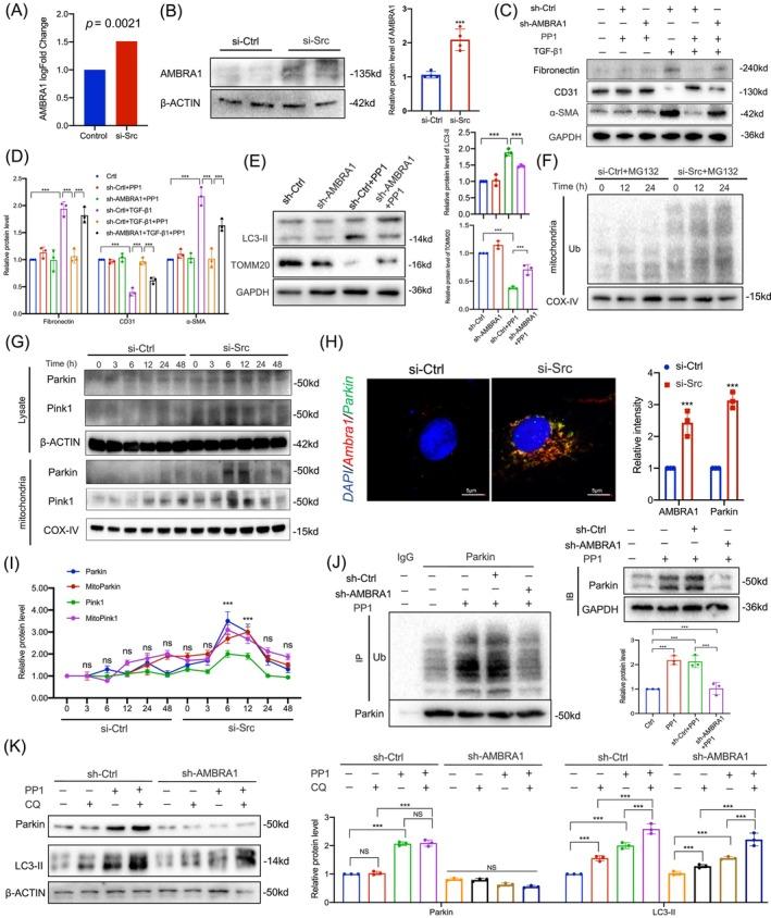
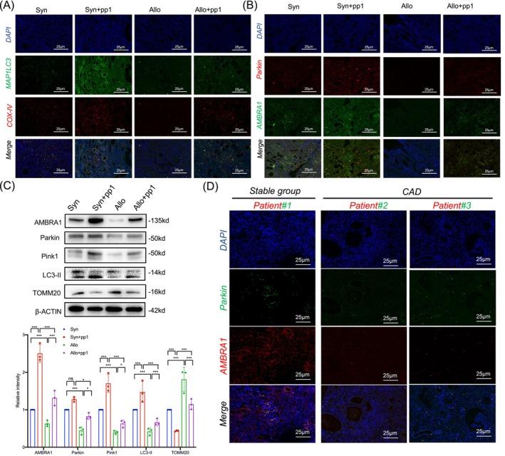
Chronic allograft dysfunction (CAD) poses a significant challenge in kidney transplantation, with renal vascular endothelial-to-mesenchymal transition (EndMT) playing a vital role. While renal vascular EndMT has been verified as an important contributing factor to renal allograft interstitial fibrosis/tubular atrophy in CAD patients, its underlying mechanisms remain obscure. Currently, Src activation is closely linked to organ fibrosis development. Single-cell transcriptomic analysis in clinical patients revealed that Src is a potential pivotal mediator in CAD progression. Our findings revealed a significant upregulation of Src which closely associated with EndMT in CAD patients, allogeneic kidney transplanted rats and endothelial cells lines. In vivo, Src inhibition remarkably alleviate EndMT and renal allograft interstitial fibrosis in allogeneic kidney transplanted rats. It also had a similar antifibrotic effect in two endothelial cell lines. Mechanistically, the knockout of Src resulted in an augmented AMBRA1-mediated mitophagy in endothelial cells. We demonstrate that Src knockdown upregulates AMBRA1 level and activates mitophagy by stabilizing Parkin's ubiquitination levels and mitochondrial translocation. Subsequent experiments demonstrated that the knockdown of the Parkin gene inhibited mitophagy in endothelial cells, leading to increased production of Interleukin-6, thereby inducing EndMT. Consequently, our study underscores Src as a critical mediator of renal vascular EndMT and allograft interstitial fibrosis, exerting its impact through the regulation of AMBRA1/Parkin-mediated mitophagy.

摘要

慢性移植肾失功(CAD)是肾移植面临的重大挑战,其中肾血管内皮向间充质转化(EndMT)起着至关重要的作用。尽管肾血管 EndMT 已被证实是 CAD 患者肾移植间质纤维化/肾小管萎缩的重要致病因素之一,但其中的具体机制仍不清楚。目前,Src 的激活与器官纤维化的发展密切相关。对临床患者的单细胞转录组分析表明,Src 可能是 CAD 进展中的一个潜在关键介质。我们的研究发现,CAD 患者、同种异体肾移植大鼠和内皮细胞系中 Src 的表达显著上调,且与 EndMT 密切相关。在体内,Src 抑制可显著减轻同种异体肾移植大鼠的 EndMT 和肾移植间质纤维化,在两种内皮细胞系中也具有类似的抗纤维化作用。在机制上,Src 的敲除导致内皮细胞中 AMBRA1 介导的自噬明显增加。我们证明 Src 敲低可通过稳定 Parkin 的泛素化水平和线粒体易位而上调 AMBRA1 水平并激活自噬。随后的实验表明,Parkin 基因的敲低抑制了内皮细胞中的自噬,导致白细胞介素 6 的产生增加,从而诱导 EndMT。因此,我们的研究强调了 Src 作为肾血管 EndMT 和移植肾间质纤维化的关键介质,通过调节 AMBRA1/Parkin 介导的自噬发挥作用。

https://cdn.ncbi.nlm.nih.gov/pmc/blobs/2262/11533082/732ef5e367fc/CPR-57-e13699-g009.jpg
https://cdn.ncbi.nlm.nih.gov/pmc/blobs/2262/11533082/7dfc6c5dce8f/CPR-57-e13699-g007.jpg
https://cdn.ncbi.nlm.nih.gov/pmc/blobs/2262/11533082/35549cad2e64/CPR-57-e13699-g003.jpg
https://cdn.ncbi.nlm.nih.gov/pmc/blobs/2262/11533082/f73526d292cf/CPR-57-e13699-g004.jpg
https://cdn.ncbi.nlm.nih.gov/pmc/blobs/2262/11533082/e8d4fff53866/CPR-57-e13699-g008.jpg
https://cdn.ncbi.nlm.nih.gov/pmc/blobs/2262/11533082/e48318247222/CPR-57-e13699-g005.jpg
https://cdn.ncbi.nlm.nih.gov/pmc/blobs/2262/11533082/a89b5cb78277/CPR-57-e13699-g002.jpg
https://cdn.ncbi.nlm.nih.gov/pmc/blobs/2262/11533082/e7eca739ac28/CPR-57-e13699-g001.jpg
https://cdn.ncbi.nlm.nih.gov/pmc/blobs/2262/11533082/732ef5e367fc/CPR-57-e13699-g009.jpg
https://cdn.ncbi.nlm.nih.gov/pmc/blobs/2262/11533082/7dfc6c5dce8f/CPR-57-e13699-g007.jpg
https://cdn.ncbi.nlm.nih.gov/pmc/blobs/2262/11533082/35549cad2e64/CPR-57-e13699-g003.jpg
https://cdn.ncbi.nlm.nih.gov/pmc/blobs/2262/11533082/f73526d292cf/CPR-57-e13699-g004.jpg
https://cdn.ncbi.nlm.nih.gov/pmc/blobs/2262/11533082/e8d4fff53866/CPR-57-e13699-g008.jpg
https://cdn.ncbi.nlm.nih.gov/pmc/blobs/2262/11533082/e48318247222/CPR-57-e13699-g005.jpg
https://cdn.ncbi.nlm.nih.gov/pmc/blobs/2262/11533082/a89b5cb78277/CPR-57-e13699-g002.jpg
https://cdn.ncbi.nlm.nih.gov/pmc/blobs/2262/11533082/e7eca739ac28/CPR-57-e13699-g001.jpg
https://cdn.ncbi.nlm.nih.gov/pmc/blobs/2262/11533082/732ef5e367fc/CPR-57-e13699-g009.jpg

相似文献

1
Src inhibition modulates AMBRA1-mediated mitophagy to counteract endothelial-to-mesenchymal transition in renal allograft fibrosis.Src 抑制调节 AMBRA1 介导的线粒体自噬,以抵抗肾移植纤维化中的内皮到间充质转化。
Cell Prolif. 2024 Nov;57(11):e13699. doi: 10.1111/cpr.13699. Epub 2024 Jun 29.
2
Rictor/mTORC2 signalling contributes to renal vascular endothelial-to-mesenchymal transition and renal allograft interstitial fibrosis by regulating BNIP3-mediated mitophagy.Rictor/mTORC2 信号通过调节 BNIP3 介导的线粒体自噬促进肾脏血管内皮间质转化和肾移植间质纤维化。
Clin Transl Med. 2024 May;14(5):e1686. doi: 10.1002/ctm2.1686.
3
Impaired ATG16L-Dependent Autophagy Promotes Renal Interstitial Fibrosis in Chronic Renal Graft Dysfunction Through Inducing EndMT by NF-κB Signal Pathway.自噬相关基因 16 样蛋白 1 依赖性自噬通过 NF-κB 信号通路诱导间充质转分化促进慢性移植肾失功肾间质纤维化。
Front Immunol. 2021 Apr 13;12:650424. doi: 10.3389/fimmu.2021.650424. eCollection 2021.
4
Curcumin Blunts IL-6 Dependent Endothelial-to-Mesenchymal Transition to Alleviate Renal Allograft Fibrosis Through Autophagy Activation.姜黄素通过激活自噬抑制白细胞介素-6依赖性内皮-间充质转化,减轻肾移植纤维化。
Front Immunol. 2021 May 28;12:656242. doi: 10.3389/fimmu.2021.656242. eCollection 2021.
5
Role of endothelial-to-mesenchymal transition induced by TGF-β1 in transplant kidney interstitial fibrosis.TGF-β1 诱导的内皮细胞向间充质细胞转化在移植肾间质纤维化中的作用。
J Cell Mol Med. 2017 Oct;21(10):2359-2369. doi: 10.1111/jcmm.13157. Epub 2017 Apr 4.
6
Transforming Growth Factor-β1 Induces Endothelial-to-Mesenchymal Transition via Akt Signaling Pathway in Renal Transplant Recipients with Chronic Allograft Dysfunction.转化生长因子-β1通过Akt信号通路诱导慢性移植肾功能不全肾移植受者发生内皮-间充质转化
Ann Transplant. 2016 Dec 20;21:775-783. doi: 10.12659/aot.899931.
7
NSD2 modulates Drp1-mediated mitochondrial fission in chronic renal allograft interstitial fibrosis by methylating STAT1.NSD2 通过甲基化 STAT1 调节慢性肾移植间质纤维化中 Drp1 介导的线粒体分裂。
Pharmacol Res. 2024 Feb;200:107051. doi: 10.1016/j.phrs.2023.107051. Epub 2024 Jan 6.
8
Bortezomib limits renal allograft interstitial fibrosis by inhibiting NF-κB/TNF-α/Akt/mTOR/P70S6K/Smurf2 pathway via IκBα protein stabilization.硼替佐米通过稳定 IκBα 蛋白抑制 NF-κB/TNF-α/Akt/mTOR/P70S6K/Smurf2 通路限制肾移植间质纤维化。
Clin Sci (Lond). 2021 Jan 15;135(1):53-69. doi: 10.1042/CS20201038.
9
Bortezomib attenuates renal interstitial fibrosis in kidney transplantation via regulating the EMT induced by TNF-α-Smurf1-Akt-mTOR-P70S6K pathway.硼替佐米通过调节 TNF-α-Smurf1-Akt-mTOR-P70S6K 通路诱导的 EMT 来减轻肾移植中的肾间质纤维化。
J Cell Mol Med. 2019 Aug;23(8):5390-5402. doi: 10.1111/jcmm.14420. Epub 2019 May 29.
10
Everolimus Alleviates Renal Allograft Interstitial Fibrosis by Inhibiting Epithelial-to-Mesenchymal Transition Not Only Inducing Autophagy but Also Stabilizing IκB-α.依维莫司通过抑制上皮间质转化不仅诱导自噬,而且稳定 IκB-α,从而减轻肾移植间质纤维化。
Front Immunol. 2022 Jan 24;12:753412. doi: 10.3389/fimmu.2021.753412. eCollection 2021.

本文引用的文献

1
AMBRA1 regulates mitophagy by interacting with ATAD3A and promoting PINK1 stability.AMBRA1 通过与 ATAD3A 相互作用并促进 PINK1 稳定性来调节线粒体自噬。
Autophagy. 2022 Aug;18(8):1752-1762. doi: 10.1080/15548627.2021.1997052. Epub 2021 Nov 19.
2
Irisin ameliorates doxorubicin-induced cardiac perivascular fibrosis through inhibiting endothelial-to-mesenchymal transition by regulating ROS accumulation and autophagy disorder in endothelial cells.鸢尾素通过调节内皮细胞 ROS 积累和自噬紊乱来抑制内皮细胞向间充质转化,从而改善阿霉素诱导的心脏血管周围纤维化。
Redox Biol. 2021 Oct;46:102120. doi: 10.1016/j.redox.2021.102120. Epub 2021 Aug 31.
3
Tirbanibulin Attenuates Pulmonary Fibrosis by Modulating Src/STAT3 Signaling.
替瑞布林通过调节Src/STAT3信号通路减轻肺纤维化。
Front Pharmacol. 2021 Jul 19;12:693906. doi: 10.3389/fphar.2021.693906. eCollection 2021.
4
The inflammatory state is a risk factor for cardiovascular disease and graft fibrosis in kidney transplantation.炎症状态是导致肾移植后心血管疾病和移植物纤维化的一个风险因素。
Kidney Int. 2021 Sep;100(3):536-545. doi: 10.1016/j.kint.2021.04.016. Epub 2021 Apr 28.
5
Impaired ATG16L-Dependent Autophagy Promotes Renal Interstitial Fibrosis in Chronic Renal Graft Dysfunction Through Inducing EndMT by NF-κB Signal Pathway.自噬相关基因 16 样蛋白 1 依赖性自噬通过 NF-κB 信号通路诱导间充质转分化促进慢性移植肾失功肾间质纤维化。
Front Immunol. 2021 Apr 13;12:650424. doi: 10.3389/fimmu.2021.650424. eCollection 2021.
6
OPTN/SRTR 2019 Annual Data Report: Kidney.OPTN/SRTR 2019 年度数据报告:肾脏。
Am J Transplant. 2021 Feb;21 Suppl 2:21-137. doi: 10.1111/ajt.16502.
7
A Randomized Clinical Trial of Anti-IL-6 Antibody Clazakizumab in Late Antibody-Mediated Kidney Transplant Rejection.抗白介素 6 抗体克拉屈珠单抗治疗晚期抗体介导的肾移植排斥反应的随机临床试验。
J Am Soc Nephrol. 2021 Mar;32(3):708-722. doi: 10.1681/ASN.2020071106. Epub 2020 Dec 18.
8
Tofacitinib counteracts IL-6 overexpression induced by deficient autophagy: implications in Sjögren's syndrome.托法替布拮抗自噬缺陷诱导的 IL-6 过表达:在干燥综合征中的意义。
Rheumatology (Oxford). 2021 Apr 6;60(4):1951-1962. doi: 10.1093/rheumatology/keaa670.
9
Inhibition of Src Family Kinases Ameliorates LPS-Induced Acute Kidney Injury and Mitochondrial Dysfunction in Mice.Src 家族激酶抑制减轻 LPS 诱导的小鼠急性肾损伤和线粒体功能障碍。
Int J Mol Sci. 2020 Nov 3;21(21):8246. doi: 10.3390/ijms21218246.
10
Autophagy in kidney homeostasis and disease.自噬在肾脏稳态和疾病中的作用。
Nat Rev Nephrol. 2020 Sep;16(9):489-508. doi: 10.1038/s41581-020-0309-2. Epub 2020 Jul 23.