Suppr超能文献

易误诊的 X 连锁肾上腺脑白质营养不良。

Easily misdiagnosed X-linked adrenoleukodystrophy.

机构信息

Senior Department of Pediatrics, the Seventh Medical Center of Chinese PLA General Hospital, Beijing, 100010, China.

Medical School of Chinese PLA, Beijing, 100853, China.

出版信息

Ital J Pediatr. 2024 Jul 2;50(1):124. doi: 10.1186/s13052-024-01669-y.

Abstract

BACKGROUND

Addison's disease and X-linked adrenoleukodystrophy (X-ALD) (Addison's-only) are two diseases that need to be identified. Addison's disease is easy to diagnose clinically when only skin and mucosal pigmentation symptoms are present. However, X-ALD (Addison's-only) caused by ABCD1 gene variation is ignored, thus losing the opportunity for early treatment. This study described two patients with initial clinical diagnosis of Addison's disease. However, they rapidly developed neurological symptoms triggered by infection. After further genetic testing, the two patients were diagnosed with X-ALD.

METHODS

We retrospectively analyzed X-ALD patients admitted to our hospital. Clinical features, laboratory test results, and imaging data were collected. Whole-exome sequencing was used in molecular genetics.

RESULTS

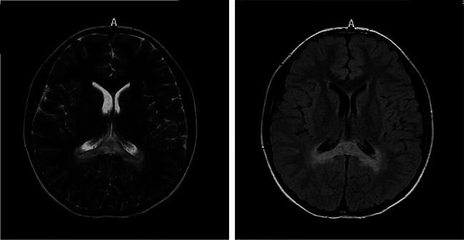
Two patients were included in this study. Both of them had significantly increased adrenocorticotropic hormone level and skin and mucosal pigmentation. They were initially clinically diagnosed with Addison's disease and received hydrocortisone treatment. However, both patients developed progressive neurological symptoms following infectious disease. Further brain magnetic resonance imaging was completed, and the results suggested demyelinating lesions. Molecular genetics suggested variations in the ABCD1 gene, which were c.109_110insGCCA (p.C39Pfs*156), c.1394-2 A > C (NM_000033), respectively. Therefore, the two patients were finally diagnosed with X-ALD, whose classification had progressed from X-ALD (Addison's-only) to childhood cerebral adrenoleukodystrophy (CCALD). Moreover, the infection exacerbates the demyelinating lesions and accelerates the onset of neurological symptoms. Neither the two variation sites in this study had been previously reported, which extends the ABCD1 variation spectrum.

CONCLUSIONS

Patients with only symptoms of adrenal insufficiency cannot be simply clinically diagnosed with Addison's disease. Being alert to the possibility of ABCD1 variation is necessary, and complete genetic testing is needed as soon as possible to identify X-ALD (Addison's-only) early to achieve regular monitoring of the disease and receive treatment early. In addition, infection, as a hit factor, may aggravate demyelinating lesions of CCALD. Thus, patients should be protected from external environmental factors to delay the progression of cerebral adrenoleukodystrophy.

摘要

背景

Addison 病和 X 连锁肾上腺脑白质营养不良(X-ALD)(仅有 Addison 病)是两种需要鉴别的疾病。当仅有皮肤和黏膜色素沉着症状时,Addison 病在临床上易于诊断。然而,由于 ABCD1 基因突变导致的 X-ALD(仅有 Addison 病)被忽视,从而失去了早期治疗的机会。本研究描述了两名最初临床诊断为 Addison 病的患者。然而,他们迅速出现了由感染触发的神经症状。进一步的基因检测后,两名患者被诊断为 X-ALD。

方法

我们回顾性分析了我院收治的 X-ALD 患者。收集了临床特征、实验室检查结果和影像学数据。采用外显子组测序进行分子遗传学研究。

结果

本研究纳入了 2 名患者。他们均有明显的促肾上腺皮质激素水平升高和皮肤及黏膜色素沉着。最初临床诊断为 Addison 病,接受了氢化可的松治疗。然而,两名患者在感染性疾病后均出现进行性神经症状。进一步行脑磁共振成像检查,结果提示脱髓鞘病变。分子遗传学提示 ABCD1 基因存在 c.109_110insGCCA(p.C39Pfs*156)和 c.1394-2 A > C(NM_000033)的变异,分别。因此,这两名患者最终被诊断为 X-ALD,其分类由 X-ALD(仅有 Addison 病)进展为儿童脑型肾上腺脑白质营养不良(CCALD)。此外,感染加重了脱髓鞘病变,加速了神经症状的发生。本研究中这两个变异位点均未见先前报道,扩展了 ABCD1 变异谱。

结论

仅有肾上腺皮质功能不全症状的患者不能简单地临床诊断为 Addison 病。需要警惕 ABCD1 变异的可能性,尽快进行全面的基因检测,以便早期识别 X-ALD(仅有 Addison 病),从而实现对疾病的定期监测并尽早进行治疗。此外,感染作为一个触发因素,可能会加重 CCALD 的脱髓鞘病变。因此,患者应避免接触外界环境因素,以延缓脑肾上腺脑白质营养不良的进展。

https://cdn.ncbi.nlm.nih.gov/pmc/blobs/0bae/11218101/decaa68b8017/13052_2024_1669_Fig1_HTML.jpg

文献AI研究员

20分钟写一篇综述,助力文献阅读效率提升50倍。

立即体验

用中文搜PubMed

大模型驱动的PubMed中文搜索引擎

马上搜索

文档翻译

学术文献翻译模型,支持多种主流文档格式。

立即体验