Suppr超能文献

重症新型冠状病毒肺炎患者并发肺脓肿和胸膜炎2例

Two Cases of Lung Abscess and Pleuritis in Severe COVID-19 Patients.

作者信息

Goda Shiho, Yuba Tatsuya, Yamamoto Kohei, Sasakura Misaki, Hiraoka Noriya

机构信息

Department of Respiratory Medicine, Japanese Red Cross Kyoto Daiichi Hospital, Kyoto, JPN.

Department of Infection Control, Japanese Red Cross Kyoto Daiichi Hospital, Kyoto, JPN.

出版信息

Cureus. 2024 Jun 3;16(6):e61614. doi: 10.7759/cureus.61614. eCollection 2024 Jun.

Abstract

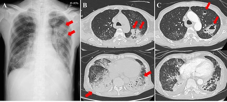
We report two patients who were treated with remdesivir, steroids, and tocilizumab for severe coronavirus disease 2019 (COVID-19) and developed lung abscesses and pleuritis. Although complications due to bacterial infections are often reported in COVID-19 patients, these severe infections are rare. Patients receiving tocilizumab are at a high risk of developing serious bacterial infections, and the diagnosis is often delayed because symptoms such as fever and elevated C-reactive protein levels are often minimal. The possibility of complications owing to severe bacterial infections should be considered when treating patients with severe COVID-19.

摘要

我们报告了两名接受瑞德西韦、类固醇和托珠单抗治疗的重症2019冠状病毒病(COVID-19)患者,他们出现了肺脓肿和胸膜炎。虽然COVID-19患者中常报告有细菌感染引起的并发症,但这些严重感染很少见。接受托珠单抗治疗的患者发生严重细菌感染的风险很高,而且由于发热和C反应蛋白水平升高等症状通常很轻微,诊断往往会延迟。在治疗重症COVID-19患者时,应考虑到严重细菌感染导致并发症的可能性。

https://cdn.ncbi.nlm.nih.gov/pmc/blobs/c936/11221974/148400ccdedc/cureus-0016-00000061614-i01.jpg

文献AI研究员

20分钟写一篇综述,助力文献阅读效率提升50倍。

立即体验

用中文搜PubMed

大模型驱动的PubMed中文搜索引擎

马上搜索

文档翻译

学术文献翻译模型,支持多种主流文档格式。

立即体验