• 文献检索
  • 文档翻译
  • 深度研究
  • 学术资讯
  • Suppr Zotero 插件Zotero 插件
  • 邀请有礼
  • 套餐&价格
  • 历史记录
应用&插件
Suppr Zotero 插件Zotero 插件浏览器插件Mac 客户端Windows 客户端微信小程序
定价
高级版会员购买积分包购买API积分包
服务
文献检索文档翻译深度研究API 文档MCP 服务
关于我们
关于 Suppr公司介绍联系我们用户协议隐私条款
关注我们

Suppr 超能文献

核心技术专利:CN118964589B侵权必究
粤ICP备2023148730 号-1Suppr @ 2026

文献检索

告别复杂PubMed语法,用中文像聊天一样搜索,搜遍4000万医学文献。AI智能推荐,让科研检索更轻松。

立即免费搜索

文件翻译

保留排版,准确专业,支持PDF/Word/PPT等文件格式,支持 12+语言互译。

免费翻译文档

深度研究

AI帮你快速写综述,25分钟生成高质量综述,智能提取关键信息,辅助科研写作。

立即免费体验

面部脂肪移植后对氯己定的皮肤超敏反应:一种延迟性皮内反应。

Cutaneous hypersensitivity to chlorhexidine following facial fat grafting: a delayed intradermal response.

作者信息

Anderson Brady J, Tanenbaum Zachary G, Michael Alexander, Owen Scott R

机构信息

Department of Otolaryngology Head and Neck Surgery, University of Iowa Hospitals and Clinics, Iowa City, IA 52242, United States.

出版信息

J Surg Case Rep. 2024 Jul 6;2024(7):rjae103. doi: 10.1093/jscr/rjae103. eCollection 2024 Jul.

DOI:10.1093/jscr/rjae103
PMID:38974088
原文链接:https://pmc.ncbi.nlm.nih.gov/articles/PMC11226778/
Abstract

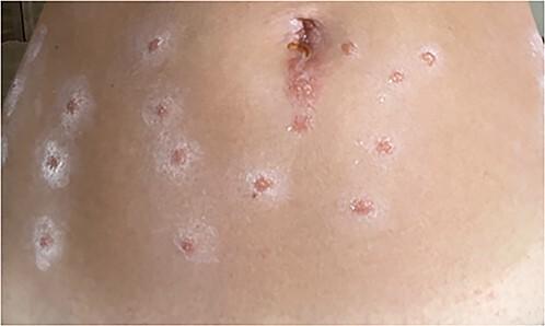
Chlorhexidine (CHD) is commonly included in surgical antiseptics and can be associated with adverse reactions ranging from contact dermatitis to anaphylaxis. A 32-year-old female presented to the OR for facial fat grafting. Surgical sites were prepped with CHD gluconate or topical iodine. Donor and recipient sites were infiltrated with local anesthetic injection prior to fat harvest and facial injection. Eleven days later, she presented with new painful, pruritic rash over donor sites where CHD had been applied prior to local anesthetic infiltration. Treatment with topical clobetasol and prednisone taper resulted in complete symptom resolution. This patient's response most likely represented a delayed type IV, T-cell mediated hypersensitivity. CHD is a known trigger of allergic reactions. Infiltration of local anesthetic may introduce skin prep into the subcutaneous tissue akin to intradermal testing. For those with delayed cutaneous reactions, steroids may provide symptomatic relief.

摘要

洗必泰(CHD)常用于手术消毒剂中,可能会引发从接触性皮炎到过敏反应等一系列不良反应。一名32岁女性因面部脂肪移植进入手术室。手术部位用葡萄糖酸洗必泰或局部碘进行了预处理。在脂肪采集和面部注射前,供体和受体部位均注射了局部麻醉剂。11天后,她在供体部位出现了新的疼痛性、瘙痒性皮疹,这些部位在局部麻醉剂浸润前曾使用过CHD。外用氯倍他索和逐渐减量的泼尼松治疗使症状完全缓解。该患者的反应很可能代表了迟发型IV型、T细胞介导的超敏反应。CHD是已知的过敏反应触发因素。局部麻醉剂的浸润可能会将皮肤预处理剂引入皮下组织,类似于皮内试验。对于有延迟性皮肤反应的患者,类固醇可能会缓解症状。

https://cdn.ncbi.nlm.nih.gov/pmc/blobs/42a4/11226778/419a145c7666/rjae103f2.jpg
https://cdn.ncbi.nlm.nih.gov/pmc/blobs/42a4/11226778/0783865883dd/rjae103f1.jpg
https://cdn.ncbi.nlm.nih.gov/pmc/blobs/42a4/11226778/419a145c7666/rjae103f2.jpg
https://cdn.ncbi.nlm.nih.gov/pmc/blobs/42a4/11226778/0783865883dd/rjae103f1.jpg
https://cdn.ncbi.nlm.nih.gov/pmc/blobs/42a4/11226778/419a145c7666/rjae103f2.jpg

相似文献

1
Cutaneous hypersensitivity to chlorhexidine following facial fat grafting: a delayed intradermal response.面部脂肪移植后对氯己定的皮肤超敏反应:一种延迟性皮内反应。
J Surg Case Rep. 2024 Jul 6;2024(7):rjae103. doi: 10.1093/jscr/rjae103. eCollection 2024 Jul.
2
The Eyes Have It: Eyelid Swelling and Rash in a 79-year-old Woman With Macular Degeneration.问题出在眼睛:一名79岁黄斑变性女性的眼睑肿胀与皮疹。
Allergy Rhinol (Providence). 2018 May 1;9:2152656718763385. doi: 10.1177/2152656718763385. eCollection 2018 Jan-Dec.
3
[Two patients with chlorhexidine allergy--anaphylactic reactions and eczema].[两名洗必泰过敏患者——过敏反应和湿疹]
Tidsskr Nor Laegeforen. 1998 Sep 10;118(21):3295-6.
4
Allergic contact dermatitis to a dye or alcohol in a chlorhexidine-based skin preparation: A case report.接触基于洗必泰的皮肤制剂中的染料或酒精引起的过敏性接触性皮炎:病例报告。
Anaesth Intensive Care. 2021 Jan;49(1):70-73. doi: 10.1177/0310057X20973046. Epub 2021 Jan 27.
5
Radiocontrast Media Hypersensitivity: Skin Testing Differentiates Allergy From Nonallergic Reactions and Identifies a Safe Alternative as Proven by Intravenous Provocation.放射性对比剂超敏反应:皮肤试验可区分过敏反应与非过敏反应,并通过静脉激发试验证实安全替代药物。
J Allergy Clin Immunol Pract. 2019 Sep-Oct;7(7):2218-2224. doi: 10.1016/j.jaip.2019.04.005. Epub 2019 Apr 10.
6
Vesicular Contact Reaction May Progress into Erythema Multiforme.水疱性接触反应可能进展为多形红斑。
Acta Dermatovenerol Croat. 2016 Dec;24(4):307-309.
7
Allergic urticaria: a case report of rare skin allergy with a common mouthwash.过敏性荨麻疹:一例使用普通漱口水引发罕见皮肤过敏的病例报告。
Indian J Dermatol. 2013 Jan;58(1):85. doi: 10.4103/0019-5154.105323.
8
[Clinical tolerance of cutaneous antiseptics in 3,403 patients in France].[法国3403例患者皮肤消毒剂的临床耐受性]
Ann Dermatol Venereol. 2006 Oct;133(10):755-60. doi: 10.1016/s0151-9638(06)71038-9.
9
Chlorhexidine and hypersensitivity reactions in dentistry.洗必泰与牙科的过敏反应。
Br Dent J. 2012 Dec;213(11):547-50. doi: 10.1038/sj.bdj.2012.1086.
10
Iodine Contrast Complex Rash Responding to Topical Steroids: A Case Report.碘造影剂复合物皮疹对局部类固醇治疗有反应:一例报告
Am J Case Rep. 2021 Apr 7;22:e928930. doi: 10.12659/AJCR.928930.

本文引用的文献

1
Contact Dermatitis: Classifications and Management.接触性皮炎:分类与管理。
Clin Rev Allergy Immunol. 2021 Dec;61(3):245-281. doi: 10.1007/s12016-021-08875-0. Epub 2021 Jul 15.
2
Pitfalls in Patch Testing: Minimizing the Risk of Avoidable False-Negative Reactions.斑贴试验中的陷阱:降低可避免假阴性反应的风险。
Dermatol Clin. 2020 Jul;38(3):293-300. doi: 10.1016/j.det.2020.02.007. Epub 2020 May 4.
3
Chlorhexidine Allergy: Current Challenges and Future Prospects.洗必泰过敏:当前挑战与未来展望
J Asthma Allergy. 2020 Mar 9;13:127-133. doi: 10.2147/JAA.S207980. eCollection 2020.
4
Identification and Management of Perioperative Anaphylaxis.围手术期过敏反应的识别与管理。
J Allergy Clin Immunol Pract. 2019 Sep-Oct;7(7):2134-2142. doi: 10.1016/j.jaip.2019.05.033. Epub 2019 May 31.
5
Chlorhexidine Allergy: On the Rise and Often Overlooked.洗必泰过敏:日益增多且常被忽视。
Curr Allergy Asthma Rep. 2019 Mar 14;19(5):23. doi: 10.1007/s11882-019-0858-2.
6
Chlorhexidine allergy in four specialist allergy centres in the United Kingdom, 2009-13: clinical features and diagnostic tests.2009 - 2013年英国四个专业过敏中心的洗必泰过敏情况:临床特征与诊断测试
Clin Exp Immunol. 2017 Jun;188(3):380-386. doi: 10.1111/cei.12944. Epub 2017 Mar 13.
7
Contact allergy to chlorhexidine in a tertiary dermatology clinic in Denmark.丹麦一家三级皮肤科诊所中氯己定引发的接触过敏。
Contact Dermatitis. 2016 Jan;74(1):29-36. doi: 10.1111/cod.12487. Epub 2015 Nov 11.
8
Standardized testing with chlorhexidine in perioperative allergy--a large single-centre evaluation.围手术期过敏中氯己定的标准化检测——一项大型单中心评估。
Allergy. 2014 Oct;69(10):1390-6. doi: 10.1111/all.12466. Epub 2014 Aug 13.
9
Skin testing and patch testing in non-IgE-mediated drug allergy.非 IgE 介导药物过敏的皮肤试验和斑贴试验。
Curr Allergy Asthma Rep. 2014 Jun;14(6):442. doi: 10.1007/s11882-014-0442-8.
10
Autologous fat transfer for facial recontouring: is there science behind the art?自体脂肪移植用于面部重塑:这门技艺背后有科学依据吗?
Plast Reconstr Surg. 2007 Jun;119(7):2287-2296. doi: 10.1097/01.prs.0000260712.44089.e7.