• 文献检索
  • 文档翻译
  • 深度研究
  • 学术资讯
  • Suppr Zotero 插件Zotero 插件
  • 邀请有礼
  • 套餐&价格
  • 历史记录
应用&插件
Suppr Zotero 插件Zotero 插件浏览器插件Mac 客户端Windows 客户端微信小程序
定价
高级版会员购买积分包购买API积分包
服务
文献检索文档翻译深度研究API 文档MCP 服务
关于我们
关于 Suppr公司介绍联系我们用户协议隐私条款
关注我们

Suppr 超能文献

核心技术专利:CN118964589B侵权必究
粤ICP备2023148730 号-1Suppr @ 2026

文献检索

告别复杂PubMed语法,用中文像聊天一样搜索,搜遍4000万医学文献。AI智能推荐,让科研检索更轻松。

立即免费搜索

文件翻译

保留排版,准确专业,支持PDF/Word/PPT等文件格式,支持 12+语言互译。

免费翻译文档

深度研究

AI帮你快速写综述,25分钟生成高质量综述,智能提取关键信息,辅助科研写作。

立即免费体验

新冠病毒mRNA疫苗接种后并发糖尿病酮症酸中毒的急性胰腺炎:一例报告

Acute pancreatitis complicated with diabetic ketoacidosis following COVID-19 mRNA vaccination: a case report.

作者信息

Watanabe Yusuke, Akaike Eisei, Tokunaga Yuki, Murayama Kozue, Segawa Mari

机构信息

Department of Cardiology, Japanese Red Cross Society Koga Hospital, Japan.

Department of Gastroenterology, Japanese Red Cross Society Koga Hospital, Japan.

出版信息

J Rural Med. 2024 Jul;19(3):199-203. doi: 10.2185/jrm.2024-003. Epub 2024 Jul 1.

DOI:10.2185/jrm.2024-003
PMID:38975045
原文链接:https://pmc.ncbi.nlm.nih.gov/articles/PMC11222627/
Abstract

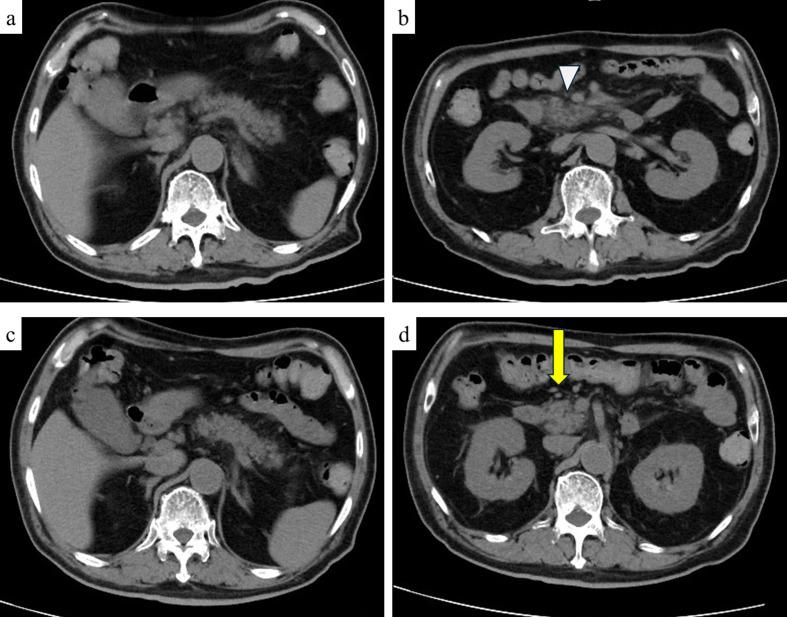
Since the onset of the coronavirus disease 2019 (COVID-19) pandemic, COVID-19 vaccination has substantially reduced mortality and hospitalization rates worldwide, with rare adverse events reported in clinical settings. Herein, we present a case of acute pancreatitis complicated by diabetic ketoacidosis (DKA) following the third COVID-19 vaccination dose. A 72-year-old male with a history of diabetes mellitus developed generalized fatigue, mild epigastric pain, nausea, and frequent vomiting after receiving the COVID-19 vaccine. Blood analysis revealed elevated levels of pancreatic enzymes, hyperglycemia, and acidemia. Computed tomography revealed evidence of acute pancreatitis, leading to a diagnosis of both DKA and acute pancreatitis. Treatment with a large volume of saline and intravenous insulin improved both DKA and acute pancreatitis. After a thorough examination, no other factors capable of causing acute pancreatitis were identified. Hence, we concluded that acute pancreatitis was induced by COVID-19 vaccination. Acute pancreatitis is a rare but potentially life-threatening adverse event associated with COVID-19 vaccination. Delaying the treatment or diagnosis of acute pancreatitis can increase mortality risk in patients with both acute pancreatitis and DKA. Hence, it is crucial for healthcare professionals to consider the potential occurrence of acute pancreatitis and DKA following COVID-19 vaccination.

摘要

自2019年冠状病毒病(COVID-19)大流行开始以来,COVID-19疫苗接种已大幅降低了全球的死亡率和住院率,临床环境中报告的不良事件很少。在此,我们报告一例在接种第三剂COVID-19疫苗后并发糖尿病酮症酸中毒(DKA)的急性胰腺炎病例。一名有糖尿病病史的72岁男性在接种COVID-19疫苗后出现全身乏力、轻度上腹部疼痛、恶心和频繁呕吐。血液分析显示胰酶水平升高、高血糖和酸血症。计算机断层扫描显示有急性胰腺炎的迹象,从而诊断为DKA和急性胰腺炎。大量生理盐水和静脉注射胰岛素治疗改善了DKA和急性胰腺炎。经过全面检查,未发现其他能够引起急性胰腺炎的因素。因此,我们得出结论,急性胰腺炎是由COVID-19疫苗接种引起的。急性胰腺炎是一种与COVID-19疫苗接种相关的罕见但可能危及生命的不良事件。延迟急性胰腺炎的治疗或诊断会增加急性胰腺炎和DKA患者的死亡风险。因此,医护人员考虑COVID-19疫苗接种后急性胰腺炎和DKA的潜在发生情况至关重要。

https://cdn.ncbi.nlm.nih.gov/pmc/blobs/e51e/11222627/6a96b9ddc0a3/jrm-19-199-g003.jpg
https://cdn.ncbi.nlm.nih.gov/pmc/blobs/e51e/11222627/9332db74587e/jrm-19-199-g001.jpg
https://cdn.ncbi.nlm.nih.gov/pmc/blobs/e51e/11222627/7eaf131f8f57/jrm-19-199-g002.jpg
https://cdn.ncbi.nlm.nih.gov/pmc/blobs/e51e/11222627/6a96b9ddc0a3/jrm-19-199-g003.jpg
https://cdn.ncbi.nlm.nih.gov/pmc/blobs/e51e/11222627/9332db74587e/jrm-19-199-g001.jpg
https://cdn.ncbi.nlm.nih.gov/pmc/blobs/e51e/11222627/7eaf131f8f57/jrm-19-199-g002.jpg
https://cdn.ncbi.nlm.nih.gov/pmc/blobs/e51e/11222627/6a96b9ddc0a3/jrm-19-199-g003.jpg

相似文献

1
Acute pancreatitis complicated with diabetic ketoacidosis following COVID-19 mRNA vaccination: a case report.新冠病毒mRNA疫苗接种后并发糖尿病酮症酸中毒的急性胰腺炎:一例报告
J Rural Med. 2024 Jul;19(3):199-203. doi: 10.2185/jrm.2024-003. Epub 2024 Jul 1.
2
Risks associated with acute pancreatitis (AP) with diabetic ketoacidosis (DKA) in COVID-19 patients: a literature review.COVID-19患者中急性胰腺炎(AP)合并糖尿病酮症酸中毒(DKA)的相关风险:文献综述
J Diabetes Metab Disord. 2023 Apr 8;22(1):135-146. doi: 10.1007/s40200-023-01207-3. eCollection 2023 Jun.
3
Acute Pancreatitis Complicated with Diabetic Ketoacidosis in a Young Adult without Hypertriglyceridemia: A Case Report.一名无高甘油三酯血症的年轻成人急性胰腺炎合并糖尿病酮症酸中毒:病例报告
Korean J Gastroenterol. 2016 Nov 25;68(5):274-278. doi: 10.4166/kjg.2016.68.5.274.
4
Severe hypertriglyceridemia in diabetic ketoacidosis accompanied by acute pancreatitis: case report.糖尿病酮症酸中毒伴发严重高甘油三酯血症及急性胰腺炎:病例报告。
J Korean Med Sci. 2010 Sep;25(9):1375-8. doi: 10.3346/jkms.2010.25.9.1375. Epub 2010 Aug 14.
5
Acute Pancreatitis, Hypertriglyceridemia, and Diabetic Ketoacidosis: A Life-Threatening Triad.急性胰腺炎、高甘油三酯血症和糖尿病酮症酸中毒:一种危及生命的三联征。
Cureus. 2023 Sep 20;15(9):e45631. doi: 10.7759/cureus.45631. eCollection 2023 Sep.
6
Diabetic ketoacidosis (DKA) in type 1 diabetes mellitus (T1DM) temporally related to COVID-19 vaccination.与 COVID-19 疫苗接种有关的 1 型糖尿病患者的糖尿病酮症酸中毒(DKA)。
Diabetes Metab Syndr. 2022 Jan;16(1):102371. doi: 10.1016/j.dsx.2021.102371. Epub 2021 Dec 21.
7
Diabetic Ketoacidosis and COVID-19: A Retrospective Observational Study.糖尿病酮症酸中毒与2019冠状病毒病:一项回顾性观察研究。
Cureus. 2022 Oct 31;14(10):e30895. doi: 10.7759/cureus.30895. eCollection 2022 Oct.
8
A Case of Euglycemic Diabetic Ketoacidosis in a Patient With Type 2 Diabetes Mellitus and COVID-19.1例2型糖尿病合并新型冠状病毒肺炎患者的正常血糖性糖尿病酮症酸中毒病例
Cureus. 2020 Dec 11;12(12):e12029. doi: 10.7759/cureus.12029.
9
Acute pancreatitis associated with diabetic ketoacidosis in a child with COVID-19 infection.儿童 COVID-19 感染合并糖尿病酮症酸中毒相关的急性胰腺炎。
BMC Infect Dis. 2023 Jun 7;23(1):381. doi: 10.1186/s12879-023-08371-0.
10
Prediabetes Directly Deteriorates into Diabetic Ketoacidosis and Hyperosmolar Hyperglycemic Syndrome Triggered by Acute Pancreatitis: A Case Report Illustrating a "Chicken and Egg" Paradigm in Ketosis-Prone Diabetes.前驱糖尿病直接恶化为由急性胰腺炎引发的糖尿病酮症酸中毒和高渗高血糖综合征:一例说明酮症倾向糖尿病中“鸡生蛋还是蛋生鸡”范例的病例报告。
Diabetes Ther. 2018 Jun;9(3):1377-1383. doi: 10.1007/s13300-018-0417-1. Epub 2018 Mar 29.

本文引用的文献

1
Comparison of control and transmission of COVID-19 across epidemic waves in Hong Kong: an observational study.香港新冠疫情各波次中COVID-19防控与传播的比较:一项观察性研究
Lancet Reg Health West Pac. 2023 Nov 22;43:100969. doi: 10.1016/j.lanwpc.2023.100969. eCollection 2024 Feb.
2
COVID-19 vaccines in 2023.2023年的新冠疫苗。
Aust Prescr. 2023 Oct;46(3):60-63. doi: 10.18773/austprescr.2023.020.
3
Etiological Changes and Prognosis of Hospitalized Patients with Acute Pancreatitis Over a 15-Year Period.15年期间急性胰腺炎住院患者的病因变化及预后
Dig Dis Sci. 2024 Jan;69(1):56-65. doi: 10.1007/s10620-023-08172-0. Epub 2023 Nov 9.
4
Diabetic Ketoacidosis.糖尿病酮症酸中毒
Emerg Med Clin North Am. 2023 Nov;41(4):677-686. doi: 10.1016/j.emc.2023.06.002. Epub 2023 Jul 24.
5
Differential evolution of diabetic ketoacidosis in adults with pre-existent versus newly diagnosed type 1 and type 2 diabetes mellitus.成人糖尿病酮症酸中毒在有预先存在的 1 型和 2 型糖尿病与新诊断的 1 型和 2 型糖尿病中的差异演变。
BMC Endocr Disord. 2023 Sep 12;23(1):193. doi: 10.1186/s12902-023-01446-8.
6
A Case Report of Acute Severe Necrotizing Pancreatitis following the Johnson & Johnson Vaccine against the Novel SARS-CoV-2.接种强生公司新型冠状病毒疫苗后发生急性重症坏死性胰腺炎的病例报告
Case Rep Infect Dis. 2023 Mar 22;2023:9965435. doi: 10.1155/2023/9965435. eCollection 2023.
7
COVID-19 Incidence and Mortality Among Unvaccinated and Vaccinated Persons Aged ≥12 Years by Receipt of Bivalent Booster Doses and Time Since Vaccination - 24 U.S. Jurisdictions, October 3, 2021-December 24, 2022.2021 年 10 月 3 日至 2022 年 12 月 24 日,24 个美国管辖区≥12 岁未接种疫苗和已接种疫苗人群中接受二价加强针和接种后时间的 COVID-19 发病率和死亡率。
MMWR Morb Mortal Wkly Rep. 2023 Feb 10;72(6):145-152. doi: 10.15585/mmwr.mm7206a3.
8
Acute pancreatitis following COVID-19 vaccine: A case report and brief literature review.新冠疫苗接种后发生的急性胰腺炎:一例病例报告及文献简要综述
Heliyon. 2023 Jan;9(1):e12914. doi: 10.1016/j.heliyon.2023.e12914. Epub 2023 Jan 14.
9
Acute pancreatitis as an adverse effect of COVID-19 vaccination.急性胰腺炎作为新冠病毒疫苗接种的一种不良反应。
SAGE Open Med Case Rep. 2022 Oct 24;10:2050313X221131169. doi: 10.1177/2050313X221131169. eCollection 2022.
10
COVID-19 vaccination efficacy in numbers including SARS-CoV-2 variants and age comparison: a meta-analysis of randomized clinical trials.COVID-19 疫苗效力的数字分析,包括 SARS-CoV-2 变体和年龄比较:一项随机临床试验的荟萃分析。
Ann Clin Microbiol Antimicrob. 2022 Jul 3;21(1):32. doi: 10.1186/s12941-022-00525-3.