Ibe Masaki, Tamura Shinobu, Kosako Hideki, Yamashita Yusuke, Ishii Masamichi, Tanaka Masaoh, Mishima Hiroyuki, Kinoshita Akira, Iwabuchi Sadahiro, Morita Shuhei, Yoshiura Ko-Ichiro, Hashimoto Shinichi, Nakao Naoyuki, Inoue Shigeaki
Postgraduate Clinical Training Center, Wakayama Medical University, 811-1 Kimiidera, Wakayama 641-8509, Japan.
Department of Emergency and Critical Care Medicine, Wakayama Medical University, 811-1 Kimiidera, Wakayama 641-8509, Japan.
Mol Genet Metab Rep. 2024 Jun 18;40:101107. doi: 10.1016/j.ymgmr.2024.101107. eCollection 2024 Sep.
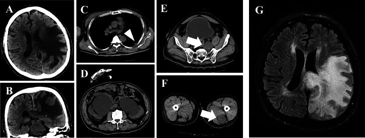
Schwannomatosis (SWN) is a rare genetic condition characterized by the risk of developing multiple benign peripheral nerve sheath tumors; however, the risk of developing malignant tumors in patients with SWN remains unclear. This study described the case of a 57-year-old Japanese man diagnosed with SWN whose older brother also had SWN. Whole-exome sequencing identified a heterozygous mutation [c.1018C > T (p.Arg340X)] in the gene, linked to the RAS/MAPK pathway, in the patient and his brother. Moreover, the patient had aphasia and right-sided paralysis because of a brain tumor. RNA sequencing revealed the remarkable upregulation of several genes associated with oxidative stress, such as the reactive oxygen species pathway and oxidative phosphorylation, a downstream effector of the RAS/MAPK pathway, in the the patient and his brother compared with healthy volunteers. The final diagnosis was -related familial SWN, and the dysregulated RAS/MAPK pathway in this patient might be associated with brain tumorigenesis.
神经鞘瘤病(SWN)是一种罕见的遗传性疾病,其特征是有发生多发性良性周围神经鞘瘤的风险;然而,SWN患者发生恶性肿瘤的风险仍不清楚。本研究描述了一例57岁日本男性被诊断为SWN的病例,其哥哥也患有SWN。全外显子测序在该患者及其哥哥中发现了一个与RAS/MAPK通路相关的基因中的杂合突变[c.1018C>T(p.Arg340X)]。此外,该患者因脑肿瘤出现失语和右侧瘫痪。RNA测序显示,与健康志愿者相比,该患者及其哥哥中与氧化应激相关的几个基因显著上调,如活性氧途径和氧化磷酸化,氧化磷酸化是RAS/MAPK通路的下游效应器。最终诊断为相关家族性SWN,该患者中失调的RAS/MAPK通路可能与脑肿瘤发生有关。