Suppr超能文献

加强子宫内膜癌的术前评估:扩散加权磁共振成像在评估肌层浸润中的作用

Enhancing Preoperative Assessment of Endometrial Cancer: The Role of Diffusion-Weighted Magnetic Resonance Imaging in Evaluating Myometrial Invasion.

作者信息

Raja Sam, Sharma Praveen K, Subramonian Sakthi Ganesh, Ravipati Chakradhar, Natarajan Paarthipan

机构信息

Radiodiagnosis, Saveetha Medical College and Hospital, Saveetha Institute of Medical and Technical Sciences, Saveetha University, Chennai, IND.

出版信息

Cureus. 2024 Jun 10;16(6):e62111. doi: 10.7759/cureus.62111. eCollection 2024 Jun.

Abstract

BACKGROUND

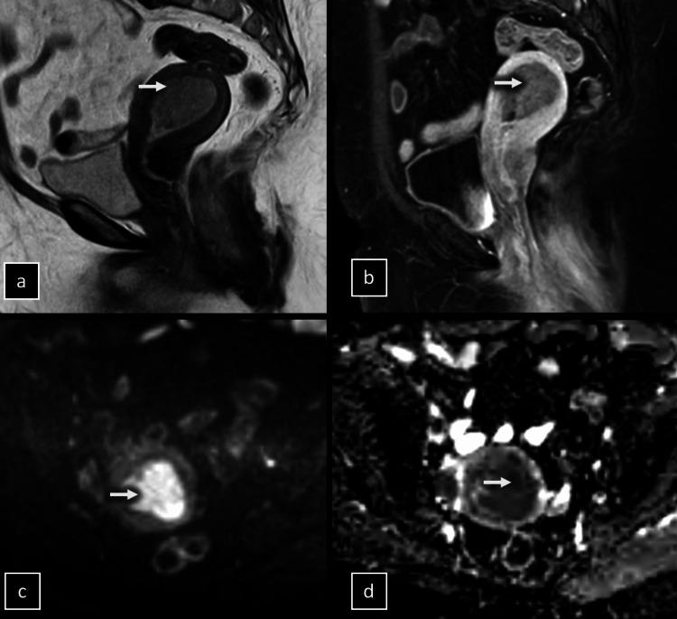
Endometrial cancer (EC) is the most common gynecological malignancy. Accurate preoperative staging is essential for guiding treatment. The depth of myometrial invasion is a key prognostic factor. This prospective study aimed to evaluate the added benefit of diffusion-weighted imaging (DWI) compared to T2-weighted imaging (T2WI) and dynamic contrast-enhanced MRI (DCE-MRI) for the preoperative assessment of myometrial invasion in EC.

AIM AND OBJECTIVES

The aim of this prospective study was to evaluate the added benefit of DWI in the preoperative assessment of myometrial invasion in EC, in comparison with T2WI and DCE-MRI. The objectives were to assess the imaging characteristics of endometrial carcinoma on T2WI, DCE, and DW MR, to assess the depth of myometrial invasion and overall stage in EC patients, to compare the diagnostic performance of DCE-MRI with that of DW-MRI combined with T2WI, to describe how MR imaging findings can be combined with tumor histologic features and grading to guide treatment planning, and to evaluate the pitfalls and limitations of DCE and DW MR in the assessment of EC.

MATERIALS AND METHODS

Thirty-one patients with histologically confirmed EC underwent preoperative pelvic MRI on a 1.5T scanner. T2WI, DWI (b-values 0, 1000 s/mm), and DCE-MRI were performed. Two radiologists independently assessed myometrial invasion on T2WI, T2WI + DWI, and T2WI + DCE-MRI. Histopathology after hysterectomy was the reference standard. Diagnostic accuracy, sensitivity, specificity, positive predictive value (PPV), and negative predictive value (NPV) were calculated for each MRI protocol, with separate analyses for superficial (<50%) and deep (≥50%) myometrial invasions.

RESULTS

The accuracy for assessing superficial invasion was 61.3% for T2WI, 87.1% for T2WI + DWI, and 87.1% for T2WI + DCE-MRI. For deep invasion, accuracy was 64.5% for T2WI, 90.3% for T2WI + DWI, and 90.3% for T2WI + DCE-MRI. Sensitivity, specificity, PPV, and NPV for T2WI + DWI and T2WI + DCE-MRI were high and comparable (88.9-91.7%) for both superficial and deep invasions. T2WI had markedly lower sensitivity and specificity. The differences between T2WI and the functional MRI protocols were statistically significant (p < 0.01).

CONCLUSION

DWI and DCE-MRI significantly improve the diagnostic performance of MRI for the preoperative assessment of myometrial invasion depth in EC compared to T2WI alone. DWI + T2WI and DCE-MRI + T2WI demonstrate comparable high accuracy. DWI may be preferable since it is faster and avoids contrast administration.

摘要

背景

子宫内膜癌(EC)是最常见的妇科恶性肿瘤。准确的术前分期对于指导治疗至关重要。肌层浸润深度是一个关键的预后因素。本前瞻性研究旨在评估扩散加权成像(DWI)相较于T2加权成像(T2WI)和动态对比增强MRI(DCE-MRI)在EC肌层浸润术前评估中的附加益处。

目的

本前瞻性研究的目的是评估DWI在EC肌层浸润术前评估中的附加益处,并与T2WI和DCE-MRI进行比较。目标是评估子宫内膜癌在T2WI、DCE和DW MR上的影像特征,评估EC患者的肌层浸润深度和总体分期,比较DCE-MRI与DW-MRI联合T2WI的诊断性能,描述MR成像结果如何与肿瘤组织学特征和分级相结合以指导治疗计划,并评估DCE和DW MR在EC评估中的陷阱和局限性。

材料与方法

31例经组织学确诊的EC患者在1.5T扫描仪上进行术前盆腔MRI检查。进行了T2WI、DWI(b值0、1000 s/mm²)和DCE-MRI检查。两名放射科医生独立评估T2WI、T2WI + DWI和T2WI + DCE-MRI上的肌层浸润情况。子宫切除术后的组织病理学检查为参考标准。计算每个MRI方案的诊断准确性、敏感性、特异性、阳性预测值(PPV)和阴性预测值(NPV),并分别分析浅表(<50%)和深部(≥50%)肌层浸润情况。

结果

评估浅表浸润时,T2WI的准确性为61.3%,T2WI + DWI为87.1%,T2WI + DCE-MRI为87.1%。对于深部浸润,T2WI的准确性为64.5%,T2WI + DWI为90.3%,T2WI + DCE-MRI为90.3%。T2WI + DWI和T2WI + DCE-MRI在浅表和深部浸润方面的敏感性、特异性、PPV和NPV都很高且相当(88.9 - 91.7%)。T2WI的敏感性和特异性明显较低。T2WI与功能MRI方案之间的差异具有统计学意义(p < 0.01)。

结论

与单独的T2WI相比,DWI和DCE-MRI显著提高了MRI在EC肌层浸润深度术前评估中的诊断性能。DWI + T2WI和DCE-MRI + T2WI显示出相当的高准确性。DWI可能更可取,因为它更快且无需注射造影剂。

https://cdn.ncbi.nlm.nih.gov/pmc/blobs/3299/11238663/3a4274861976/cureus-0016-00000062111-i01.jpg

文献检索

告别复杂PubMed语法,用中文像聊天一样搜索,搜遍4000万医学文献。AI智能推荐,让科研检索更轻松。

立即免费搜索

文件翻译

保留排版,准确专业,支持PDF/Word/PPT等文件格式,支持 12+语言互译。

免费翻译文档

深度研究

AI帮你快速写综述,25分钟生成高质量综述,智能提取关键信息,辅助科研写作。

立即免费体验