Institute of Metabolic Science, University of Cambridge, Cambridge CB2 0QQ, UK.
Cambridge Stem Cell Institute, University of Cambridge, Cambridge CB2 0AW, UK.
Cells. 2024 Jul 6;13(13):1156. doi: 10.3390/cells13131156.
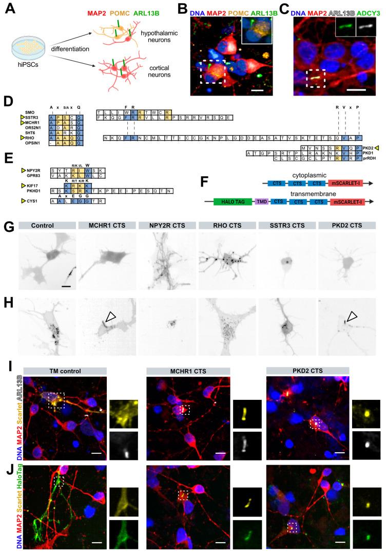
Primary cilia are finger-like sensory organelles that extend from the bodies of most cell types and have a distinct lipid and protein composition from the plasma membrane. This partitioning is maintained by a diffusion barrier that restricts the entry of non-ciliary proteins, and allows the selective entry of proteins harboring a ciliary targeting sequence (CTS). However, CTSs are not stereotyped and previously reported sequences are insufficient to drive efficient ciliary localisation across diverse cell types. Here, we describe a short peptide sequence that efficiently targets transmembrane proteins to primary cilia in all tested cell types, including human neurons. We generate human-induced pluripotent stem cell (hiPSC) lines stably expressing a transmembrane construct bearing an extracellular HaloTag and intracellular fluorescent protein, which enables the bright, specific labeling of primary cilia in neurons and other cell types to facilitate studies of cilia in health and disease. We demonstrate the utility of this resource by developing an image analysis pipeline for the automated measurement of primary cilia to detect changes in their length associated with altered signaling or disease state.
初级纤毛是从大多数细胞类型的体延伸出的指状感觉细胞器,其脂质和蛋白质组成与质膜明显不同。这种分区由一个扩散屏障维持,该屏障限制了非纤毛蛋白的进入,并允许选择性地进入含有纤毛靶向序列(CTS)的蛋白质。然而,CTS 不是刻板的,以前报道的序列不足以在不同的细胞类型中有效地驱动纤毛定位。在这里,我们描述了一个短肽序列,它可以有效地将跨膜蛋白靶向到所有测试的细胞类型中的初级纤毛,包括人类神经元。我们生成了稳定表达带有细胞外 HaloTag 和细胞内荧光蛋白的跨膜构建体的人诱导多能干细胞 (hiPSC) 系,这使得神经元和其他细胞类型中的初级纤毛能够进行明亮、特异性标记,从而促进健康和疾病中的纤毛研究。我们通过开发用于自动测量初级纤毛的图像分析管道来证明该资源的实用性,以检测与信号改变或疾病状态相关的长度变化。