• 文献检索
  • 文档翻译
  • 深度研究
  • 学术资讯
  • Suppr Zotero 插件Zotero 插件
  • 邀请有礼
  • 套餐&价格
  • 历史记录
应用&插件
Suppr Zotero 插件Zotero 插件浏览器插件Mac 客户端Windows 客户端微信小程序
定价
高级版会员购买积分包购买API积分包
服务
文献检索文档翻译深度研究API 文档MCP 服务
关于我们
关于 Suppr公司介绍联系我们用户协议隐私条款
关注我们

Suppr 超能文献

核心技术专利:CN118964589B侵权必究
粤ICP备2023148730 号-1Suppr @ 2026

文献检索

告别复杂PubMed语法,用中文像聊天一样搜索,搜遍4000万医学文献。AI智能推荐,让科研检索更轻松。

立即免费搜索

文件翻译

保留排版,准确专业,支持PDF/Word/PPT等文件格式,支持 12+语言互译。

免费翻译文档

深度研究

AI帮你快速写综述,25分钟生成高质量综述,智能提取关键信息,辅助科研写作。

立即免费体验

67 岁男性未治疗人粒细胞无形体病致严重致命性 ARDS:病例报告。

Severe Fatal ARDS Due to Untreated Human Granulocytic Anaplasmosis in a 67-Year-Old Man: A Case Report.

机构信息

Department of Internal Medicine, University of Pittsburgh Medical Center Mercy Hospital, Pittsburgh, PA, USA.

Department of Critical Care Medicine, University of Pittsburgh Medical Center Mercy Hospital, Pittsburgh, PA, USA.

出版信息

Am J Case Rep. 2024 Jul 15;25:e943966. doi: 10.12659/AJCR.943966.

DOI:10.12659/AJCR.943966
PMID:39004878
原文链接:https://pmc.ncbi.nlm.nih.gov/articles/PMC11315614/
Abstract

BACKGROUND Anaplasmosis, or human granulocytic anaplasmosis (HGA), is a tick-borne diseased caused by a gram-negative, intracellular bacterium, Anaplasma phagocytophilum. HGA usually presents with mild symptoms but can be more severe. This report describes a 67-year-old male resident of rural Pennsylvania, admitted to the hospital after a fall, who developed fatal acute respiratory distress syndrome (ARDS) associated with human granulocytic anaplasmosis (HGA) following transmission of Anaplasma phagocytophilum by a tick bite (Ixodes scapularis). CASE REPORT A 67-year-old man, resident of rural Pennsylvania, with history of diabetes mellitus, presented after falling from a 7-foot-tall ladder, sustaining right-sided hemopneumothorax, multiple right rib fractures, and unstable T12 vertebra fracture. He required tube thoracostomy and underwent T9-L2 posterior spinal fusion surgery. His initial labs showed leukopenia, thrombocytopenia, and elevated transaminase levels. His course was complicated by cardiac arrest and acute respiratory failure, consistent with severe ARDS. He received high positive end-expiratory pressure (PEEP) ventilation, prone positioning, and neuromuscular paralysis to improve refractory hypoxemia. Bronchoalveolar lavage (BAL) for bacterial, fungal, viral pathogens, Covid-19, respiratory viral panel, Mycoplasma pneumoniae, and Chlamydia pneumoniae were negative. his family withdrew medical care, knowing the patient's own wishes, and the patient died. Polymerase chain reaction (PCR) for Anaplasma DNA came back positive after the patient's death. His peripheral smear was then examined, showing morulae inside the cytoplasm of infected neutrophils.   CONCLUSIONS This report describes the atypical presentation of a case of HGA and highlights that in parts of the world where tick-borne diseases are endemic, disease awareness, high index of clinical suspicion, and early diagnosis and management are required.

摘要

背景

嗜吞噬细胞无形体病(HGA)又称人粒细胞无形体病,是一种由革兰氏阴性、细胞内细菌嗜吞噬细胞无形体引起的蜱传疾病。HGA 通常表现为轻度症状,但也可能更为严重。本报告描述了宾夕法尼亚州农村地区的一位 67 岁男性居民,在跌倒后被送往医院,由于 ticks(Ixodes scapularis)叮咬传播嗜吞噬细胞无形体,他患上了致命性急性呼吸窘迫综合征(ARDS),并伴有 HGA。

病例报告

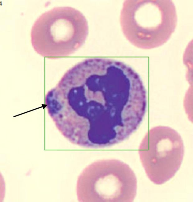
一位 67 岁的男性,居住在宾夕法尼亚州农村,有糖尿病史,从 7 英尺高的梯子上摔下来后出现右侧血气胸、多处右侧肋骨骨折和不稳定的 T12 椎体骨折,需要进行胸腔引流管和 T9-L2 后路脊柱融合术。他的初始实验室检查显示白细胞减少、血小板减少和转氨酶水平升高。他的病情因心脏骤停和急性呼吸衰竭而复杂化,与严重的 ARDS 一致。他接受了高呼气末正压通气(PEEP)、俯卧位和神经肌肉麻痹,以改善难治性低氧血症。他的支气管肺泡灌洗液(BAL)用于检测细菌、真菌、病毒病原体、Covid-19、呼吸道病毒小组、肺炎支原体和肺炎衣原体,结果均为阴性。他的家人了解到患者的个人意愿后,停止了医疗护理,患者随后死亡。PCR 检测显示,在患者死后,嗜吞噬细胞无形体 DNA 的聚合酶链反应(PCR)结果为阳性。随后检查了他的外周涂片,显示受感染中性粒细胞的细胞质内有菌栓。

结论

本报告描述了一例 HGA 的非典型表现,并强调在蜱传疾病流行的世界某些地区,需要提高疾病意识、临床高度怀疑、早期诊断和管理。

https://cdn.ncbi.nlm.nih.gov/pmc/blobs/d140/11315614/0ebd0e1d3098/amjcaserep-25-e943966-g001.jpg
https://cdn.ncbi.nlm.nih.gov/pmc/blobs/d140/11315614/0ebd0e1d3098/amjcaserep-25-e943966-g001.jpg
https://cdn.ncbi.nlm.nih.gov/pmc/blobs/d140/11315614/0ebd0e1d3098/amjcaserep-25-e943966-g001.jpg

相似文献

1
Severe Fatal ARDS Due to Untreated Human Granulocytic Anaplasmosis in a 67-Year-Old Man: A Case Report.67 岁男性未治疗人粒细胞无形体病致严重致命性 ARDS:病例报告。
Am J Case Rep. 2024 Jul 15;25:e943966. doi: 10.12659/AJCR.943966.
2
First identification of Anaplasma phagocytophilum in both a biting tick Ixodes nipponensis and a patient in Korea: a case report.在韩国,首次在一种吸血蜱(日本革螨)和一名患者中发现嗜吞噬细胞无形体:病例报告。
BMC Infect Dis. 2020 Nov 11;20(1):826. doi: 10.1186/s12879-020-05522-5.
3
Nosocomial transmission of human granulocytic anaplasmosis in China.中国人类粒细胞无形体病的医院内传播
JAMA. 2008 Nov 19;300(19):2263-70. doi: 10.1001/jama.2008.626.
4
Clinical diagnosis and treatment of human granulocytotropic anaplasmosis.人粒细胞无形体病的临床诊断与治疗
Ann N Y Acad Sci. 2006 Oct;1078:236-47. doi: 10.1196/annals.1374.042.
5
Clinical and laboratory features parameters of human granulocytic anaplasmosis (HGA) in patients admitted to hospital in Guangdong Province, China.中国广东省住院的人粒细胞无形体病(HGA)患者的临床和实验室特征参数
Trop Doct. 2015 Oct;45(4):209-13. doi: 10.1177/0049475515579772. Epub 2015 Apr 13.
6
Human granulocytic anaplasmosis combined with rhabdomyolysis: a case report.人粒细胞无形体病合并横纹肌溶解症 1 例报告。
BMC Infect Dis. 2021 Nov 25;21(1):1184. doi: 10.1186/s12879-021-06869-z.
7
Acute Kidney Injury Associated With Human Granulocytic Anaplasmosis: A Case Report.与人类粒细胞埃立克体病相关的急性肾损伤:病例报告。
Am J Kidney Dis. 2019 Nov;74(5):696-699. doi: 10.1053/j.ajkd.2019.03.428. Epub 2019 Jun 11.
8
Case Report: Polymerase Chain Reaction Testing of Tick Bite Site Samples for the Diagnosis of Human Granulocytic Anaplasmosis.病例报告:用于诊断人粒细胞无形体病的蜱叮咬部位样本的聚合酶链反应检测
Am J Trop Med Hyg. 2017 Aug;97(2):403-406. doi: 10.4269/ajtmh.16-0570.
9
Fatal human anaplasmosis associated with macrophage activation syndrome in Greece and the Public Health response.希腊与巨噬细胞活化综合征相关的致命性人粒细胞无形体病及公共卫生应对措施
J Infect Public Health. 2017 Nov-Dec;10(6):819-823. doi: 10.1016/j.jiph.2017.01.002. Epub 2017 Feb 8.
10
Human Granulocytic Anaplasmosis.人粒细胞无形体病
Infect Dis Clin North Am. 2022 Sep;36(3):639-654. doi: 10.1016/j.idc.2022.02.008.

本文引用的文献

1
Retinal Hemorrhage Associated with Human Granulocytic Anaplasmosis.与人类粒细胞无形体病相关的视网膜出血
JAMA Neurol. 2024 Feb 1;81(2):188-189. doi: 10.1001/jamaneurol.2023.4925.
2
Anaplasmosis encephalitis and infection of non-myeloid bone marrow precursors.嗜吞噬细胞无形体脑炎和非骨髓髓系前体细胞感染。
BMJ Case Rep. 2023 Nov 30;16(11):e254603. doi: 10.1136/bcr-2023-254603.
3
From Tick to Test: A Comprehensive Review of Tick-Borne Disease Diagnostics and Surveillance Methods in the United States.从蜱虫到检测:美国蜱传疾病诊断与监测方法综述
Life (Basel). 2023 Oct 13;13(10):2048. doi: 10.3390/life13102048.
4
Community-Acquired Pneumonia: Case Report and Literature Review.社区获得性肺炎:病例报告与文献综述
Microorganisms. 2023 Jun 2;11(6):1483. doi: 10.3390/microorganisms11061483.
5
Acute myopericarditis due to human granulocytic anaplasmosis.人粒细胞无形体病导致的急性心肌炎。
Future Cardiol. 2023 Mar;19(4):197-202. doi: 10.2217/fca-2023-0028. Epub 2023 Jun 14.
6
Anaplasmosis-Induced Hemophagocytic Lymphohistiocytosis: A Case Report and Review of the Literature.无形体病所致噬血细胞性淋巴组织细胞增生症:一例报告并文献复习
Open Forum Infect Dis. 2023 Apr 19;10(5):ofad213. doi: 10.1093/ofid/ofad213. eCollection 2023 May.
7
Case report: human granulocytic anaplasmosis causes acute myopericarditis with atrial fibrillation.病例报告:人粒细胞无形体病引发伴有心房颤动的急性心肌心包炎。
Eur Heart J Case Rep. 2023 Jan 17;7(1):ytad026. doi: 10.1093/ehjcr/ytad026. eCollection 2023 Jan.
8
Human Granulocytic Anaplasmosis.人粒细胞无形体病
Infect Dis Clin North Am. 2022 Sep;36(3):639-654. doi: 10.1016/j.idc.2022.02.008.
9
A difficult diagnosis of anaplasmosis with pneumonia: A case report.肺炎伴阿尼姆斯病的艰难诊断:一例报告。
Trop Doct. 2023 Jan;53(1):190-192. doi: 10.1177/00494755221112737. Epub 2022 Jul 26.
10
Human Granulocytic Anaplasmosis-A Systematic Review of Published Cases.人粒细胞无形体病——已发表病例的系统评价
Microorganisms. 2022 Jul 15;10(7):1433. doi: 10.3390/microorganisms10071433.