• 文献检索
  • 文档翻译
  • 深度研究
  • 学术资讯
  • Suppr Zotero 插件Zotero 插件
  • 邀请有礼
  • 套餐&价格
  • 历史记录
应用&插件
Suppr Zotero 插件Zotero 插件浏览器插件Mac 客户端Windows 客户端微信小程序
定价
高级版会员购买积分包购买API积分包
服务
文献检索文档翻译深度研究API 文档MCP 服务
关于我们
关于 Suppr公司介绍联系我们用户协议隐私条款
关注我们

Suppr 超能文献

核心技术专利:CN118964589B侵权必究
粤ICP备2023148730 号-1Suppr @ 2026

文献检索

告别复杂PubMed语法,用中文像聊天一样搜索,搜遍4000万医学文献。AI智能推荐,让科研检索更轻松。

立即免费搜索

文件翻译

保留排版,准确专业,支持PDF/Word/PPT等文件格式,支持 12+语言互译。

免费翻译文档

深度研究

AI帮你快速写综述,25分钟生成高质量综述,智能提取关键信息,辅助科研写作。

立即免费体验

脑部磁共振成像:诊断孕妇盖耶-韦尼克脑病的一种安全且特异的工具:病例报告

Brain MRI: A safe and a specific tool in the diagnosis of Gayet Wernicke's encephalopathy in pregnant women: Case report.

作者信息

Ziani Hicham, Boussaaden Samia, Jallal Nora El Idrissi, Slaihi Zakariae, Lahbabi Sophia, Oudghiri Nezha El, Tachinante Rajae

机构信息

Department of intensive care Unit, Maternity Hospital Souissi, Rabat, Morocco.

出版信息

Radiol Case Rep. 2024 Jun 19;19(9):3801-3804. doi: 10.1016/j.radcr.2024.05.066. eCollection 2024 Sep.

DOI:10.1016/j.radcr.2024.05.066
PMID:39006095
原文链接:https://pmc.ncbi.nlm.nih.gov/articles/PMC11245903/
Abstract

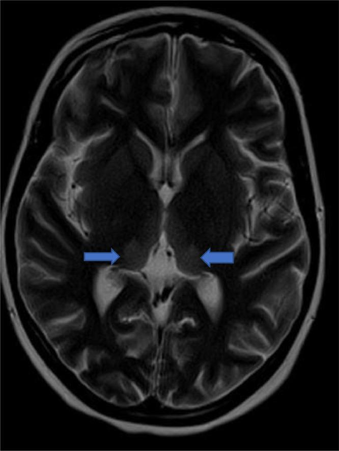
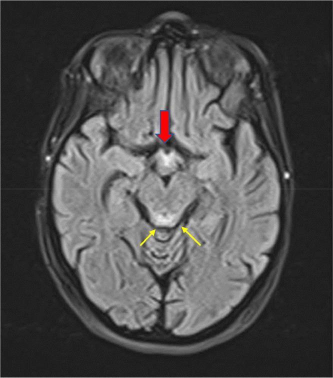
Gayet-Wernicke encephalopathy (GWE) is a neuropsychiatric syndrome due to Vitamin B1 (thiamine) deficiency, fatal in 30% of cases and preventable if treatment is initiated early, characterized by the classic triad of encephalopathy, ocular involvement: ophthalmoplegia and/or nystagmus and ataxia. GWE is mainly observed in alcoholics, but can also appear in any state of malnutrition. In obstetrics, hyperemesis gravidarum can be complicated by GWE due to low thiamine stores and increased thiamine requirements. We report a case of Gayet-Wernicke encephalopathy complicating incoercible vomiting in a pregnant woman.

摘要

盖耶-韦尼克脑病(GWE)是一种由于维生素B1(硫胺素)缺乏引起的神经精神综合征,30%的病例会致死,若早期开始治疗则可预防,其特征为脑病、眼部受累(眼肌麻痹和/或眼球震颤)和共济失调这一经典三联征。GWE主要见于酗酒者,但也可出现在任何营养不良状态下。在产科,妊娠剧吐可因硫胺素储备不足和硫胺素需求增加而并发GWE。我们报告一例孕妇出现无法控制的呕吐并并发盖耶-韦尼克脑病的病例。

https://cdn.ncbi.nlm.nih.gov/pmc/blobs/d9d9/11245903/9b0fddced2a1/gr3.jpg
https://cdn.ncbi.nlm.nih.gov/pmc/blobs/d9d9/11245903/edafd9d21af3/gr1.jpg
https://cdn.ncbi.nlm.nih.gov/pmc/blobs/d9d9/11245903/d704cdaf8ede/gr2.jpg
https://cdn.ncbi.nlm.nih.gov/pmc/blobs/d9d9/11245903/9b0fddced2a1/gr3.jpg
https://cdn.ncbi.nlm.nih.gov/pmc/blobs/d9d9/11245903/edafd9d21af3/gr1.jpg
https://cdn.ncbi.nlm.nih.gov/pmc/blobs/d9d9/11245903/d704cdaf8ede/gr2.jpg
https://cdn.ncbi.nlm.nih.gov/pmc/blobs/d9d9/11245903/9b0fddced2a1/gr3.jpg

相似文献

1
Brain MRI: A safe and a specific tool in the diagnosis of Gayet Wernicke's encephalopathy in pregnant women: Case report.脑部磁共振成像:诊断孕妇盖耶-韦尼克脑病的一种安全且特异的工具:病例报告
Radiol Case Rep. 2024 Jun 19;19(9):3801-3804. doi: 10.1016/j.radcr.2024.05.066. eCollection 2024 Sep.
2
Wernicke encephalopathy revealed by areflexic flaccid tetraparesis associated with gravidarum hyperemesis.妊娠剧吐相关的无反射性弛缓性四肢瘫揭示的韦尼克脑病
Ann Med Surg (Lond). 2023 Apr 11;85(5):2127-2129. doi: 10.1097/MS9.0000000000000579. eCollection 2023 May.
3
Atypical neurological manifestations in Wernicke's encephalopathy due to hyperemesis gravidarum.妊娠剧吐导致 Wernicke 脑病的非典型神经系统表现。
Nutr Neurosci. 2022 Oct;25(10):2051-2056. doi: 10.1080/1028415X.2021.1931781. Epub 2021 May 27.
4
Wernicke's Encephalopathy Complicating Hyperemesis during Pregnancy.妊娠剧吐并发韦尼克脑病
Case Rep Crit Care. 2016;2016:8783932. doi: 10.1155/2016/8783932. Epub 2016 Feb 16.
5
[Wernicke's encephalopathy: a rare complication of hyperemesis gravidarum].[韦尼克脑病:妊娠剧吐的一种罕见并发症]
Pan Afr Med J. 2020 Aug 11;36:267. doi: 10.11604/pamj.2020.36.267.18468. eCollection 2020.
6
Gayet-Wernicke's encephalopathy complicating prolonged parenteral nutrition in patient treated for colonic cancer - a case report.盖耶 - 韦尼克脑病并发于一名接受结肠癌治疗患者的长期肠外营养——病例报告
BMC Nutr. 2022 Aug 17;8(1):83. doi: 10.1186/s40795-022-00585-w.
7
Wernicke's encephalopathy in women with hyperemesis gravidarum - Case series and literature review.妊娠剧吐致 Wernicke 脑病二例并文献复习
Trop Doct. 2022 Jan;52(1):98-100. doi: 10.1177/00494755211014396. Epub 2021 Jun 24.
8
Wernicke's encephalopathy secondary to hyperemesis gravidarum: A clinical challenge.妊娠剧吐继发韦尼克脑病:临床挑战。
J Pak Med Assoc. 2022 Mar;72(3):550-553. doi: 10.47391/JPMA.0814.
9
Hyperemesis Gravidarum Causing Wernicke's Encephalopathy and Korsakoff's Psychosis: A Case Report.妊娠剧吐导致韦尼克脑病和科萨科夫精神病:一例报告
Cureus. 2023 Aug 25;15(8):e44093. doi: 10.7759/cureus.44093. eCollection 2023 Aug.
10
Uncommon bilateral optic neuropathy in Wernicke's encephalopathy complicating gravidarum hyperemesis.妊娠剧吐并发韦尼克脑病导致不常见的双侧视神经病变。
Tunis Med. 2023 May 5;101(5):530-532.

本文引用的文献

1
[Wernicke encephalopathy: Guiding thiamine prescription].[韦尼克脑病:指导硫胺素处方]
Encephale. 2017 May;43(3):259-267. doi: 10.1016/j.encep.2016.04.011. Epub 2016 Sep 9.
2
Challenges in Diagnosis and Treatment of Wernicke Encephalopathy: Report of 2 Cases.韦尼克脑病的诊断与治疗挑战:2例报告
Nutr Clin Pract. 2016 Apr;31(2):186-90. doi: 10.1177/0884533615621753. Epub 2016 Feb 11.
3
A non-alcoholic Wernicke's encephalopathy case with atypical MRI findings: Clinic versus radiology.一例具有非典型MRI表现的非酒精性韦尼克脑病病例:临床与影像学对比
Neuroradiol J. 2015 Oct;28(5):474-7. doi: 10.1177/1971400915598080. Epub 2015 Aug 25.
4
Thiamine in nutrition therapy.硫胺素在营养治疗中的应用。
Nutr Clin Pract. 2012 Feb;27(1):41-50. doi: 10.1177/0884533611426149. Epub 2012 Jan 4.
5
EFNS guidelines for diagnosis, therapy and prevention of Wernicke encephalopathy.EFNS 指南:Wernicke 脑病的诊断、治疗和预防。
Eur J Neurol. 2010 Dec;17(12):1408-18. doi: 10.1111/j.1468-1331.2010.03153.x.
6
Neuroimaging findings in acute Wernicke's encephalopathy: review of the literature.急性韦尼克脑病的神经影像学表现:文献综述
AJR Am J Roentgenol. 2009 Feb;192(2):501-8. doi: 10.2214/AJR.07.3959.
7
[Hyperemesis gravidarum: a rare cause of Wernicke encephalopathy].[妊娠剧吐:韦尼克脑病的罕见病因]
Presse Med. 2007 Dec;36(12 Pt 1):1759-61. doi: 10.1016/j.lpm.2007.05.021. Epub 2007 Jun 14.
8
Wernicke's encephalopathy: new clinical settings and recent advances in diagnosis and management.韦尼克脑病:新的临床情况及诊断与治疗的最新进展
Lancet Neurol. 2007 May;6(5):442-55. doi: 10.1016/S1474-4422(07)70104-7.
9
Hyperemesis gravidarum complicated by Wernicke encephalopathy: background, case report, and review of the literature.妊娠剧吐合并韦尼克脑病:背景、病例报告及文献综述
Obstet Gynecol Surv. 2006 Apr;61(4):255-68. doi: 10.1097/01.ogx.0000206336.08794.65.
10
Magnetic resonance imaging as a diagnostic adjunct to Wernicke encephalopathy in the ED.磁共振成像在急诊科作为韦尼克脑病的辅助诊断手段
Am J Emerg Med. 2003 Oct;21(6):497-502. doi: 10.1016/s0735-6757(03)00094-9.