Suppr超能文献

尿酸单钠晶体诱导大鼠模型肾脏损伤的发病机制。

The pathogenic mechanism of monosodium urate crystal-induced kidney injury in a rat model.

机构信息

State Key Laboratory of Dampness Syndrome of Chinese Medicine, The Second Affiliated Hospital of Guangzhou University of Chinese Medicine, The Second Clinical College of Guangzhou University of Chinese Medicine, Guangzhou, China.

Department of Nephrology, The Second Affiliated Hospital of Guangzhou University of ChineseMedicine (Guangdong Provincial Hospital of Chinese Medicine), Guangzhou, China.

出版信息

Front Endocrinol (Lausanne). 2024 Jul 1;15:1416996. doi: 10.3389/fendo.2024.1416996. eCollection 2024.

Abstract

OBJECTIVE

(MSU) crystals usually in the kidney tubules especially collecting ducts in the medulla. Previous animal models have not fully reproduced the impact of MSU on kidneys under non-hyperuricemic conditions.

METHODS

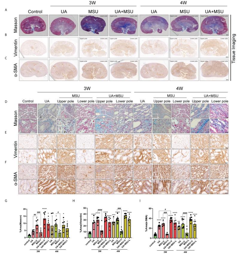
In the group treated with MSU, the upper pole of the rat kidney was injected intrarenally with 50 mg/kg of MSU, while the lower pole was injected with an equivalent volume of PBS solution. The body weight and kidney mass of the rats were observed and counted. H&E staining was used to observe the pathological damage of the kidney and to count the number of inflammatory cells. Masoon staining was used to observe the interstitial fibrosis in the kidneys of the rat model. Flow cytometric analysis was used for counting inflammatory cells in rats. ElISA was used to measure the concentration of serum and urine uric acid, creatinine and urea nitrogen in rats.

RESULTS

At the MSU injection site, a significantly higher infiltration of inflammatory cells and a substantial increase in the area of interstitial fibrosis compared to the control group and the site of PBS injection were observed. The serum creatinine level was significantly increased in the MSU group. However, there were no significant differences in the rats' general conditions or blood inflammatory cell counts when compared to the control group.

CONCLUSION

The injection of urate crystals into the kidney compromised renal function, caused local pathological damage, and increased inflammatory cell infiltration and interstitial fibrosis. Intrarenal injection of MSU crystals may result in urate nephropathy. The method of intrarenal injection did not induce surgical infection or systemic inflammatory response.

摘要

目的

(MSU)晶体通常存在于肾小管中,特别是在髓质的集合管中。以前的动物模型未能完全复制 MSU 在非高尿酸血症条件下对肾脏的影响。

方法

在 MSU 治疗组中,将 50mg/kg 的 MSU 经肾内注射到大鼠肾脏的上极,而下极注射等量的 PBS 溶液。观察并计数大鼠的体重和肾脏质量。使用 H&E 染色观察肾脏的病理损伤,并计数炎症细胞的数量。使用 Masoon 染色观察大鼠模型肾脏的间质纤维化。使用流式细胞术分析计数大鼠的炎症细胞。使用 ELISA 测量大鼠血清和尿液中的尿酸、肌酐和尿素氮浓度。

结果

与对照组和 PBS 注射部位相比,在 MSU 注射部位观察到炎症细胞浸润明显增加,间质纤维化面积显著增大。MSU 组血清肌酐水平显著升高。然而,与对照组相比,大鼠的一般情况或血液炎症细胞计数没有显著差异。

结论

尿酸晶体的肾脏内注射会损害肾功能,引起局部病理损伤,并增加炎症细胞浸润和间质纤维化。肾脏内注射 MSU 晶体可能导致尿酸肾病。肾脏内注射的方法不会引起手术感染或全身炎症反应。

https://cdn.ncbi.nlm.nih.gov/pmc/blobs/5f51/11246891/7e984248e01d/fendo-15-1416996-g001.jpg

文献检索

告别复杂PubMed语法,用中文像聊天一样搜索,搜遍4000万医学文献。AI智能推荐,让科研检索更轻松。

立即免费搜索

文件翻译

保留排版,准确专业,支持PDF/Word/PPT等文件格式,支持 12+语言互译。

免费翻译文档

深度研究

AI帮你快速写综述,25分钟生成高质量综述,智能提取关键信息,辅助科研写作。

立即免费体验