• 文献检索
  • 文档翻译
  • 深度研究
  • 学术资讯
  • Suppr Zotero 插件Zotero 插件
  • 邀请有礼
  • 套餐&价格
  • 历史记录
应用&插件
Suppr Zotero 插件Zotero 插件浏览器插件Mac 客户端Windows 客户端微信小程序
定价
高级版会员购买积分包购买API积分包
服务
文献检索文档翻译深度研究API 文档MCP 服务
关于我们
关于 Suppr公司介绍联系我们用户协议隐私条款
关注我们

Suppr 超能文献

核心技术专利:CN118964589B侵权必究
粤ICP备2023148730 号-1Suppr @ 2026

文献检索

告别复杂PubMed语法,用中文像聊天一样搜索,搜遍4000万医学文献。AI智能推荐,让科研检索更轻松。

立即免费搜索

文件翻译

保留排版,准确专业,支持PDF/Word/PPT等文件格式,支持 12+语言互译。

免费翻译文档

深度研究

AI帮你快速写综述,25分钟生成高质量综述,智能提取关键信息,辅助科研写作。

立即免费体验

体外膜肺氧合支持下的AngioJet血栓切除术治疗急性大面积肺栓塞合并双侧心房血栓形成:灾难性抗磷脂综合征1例报告

AngioJet thrombectomy with extracorporeal membrane oxygenation support for an acute large-scale pulmonary embolism with bilateral atrial thrombosis: a case report of catastrophic antiphospholipid syndrome.

作者信息

Ji Jianyu, Jiang Lei, Wang Wei, Chi Xinyu, Dong Jinda, Lu Liqiu, Huang Minyan, Wei Xiutian, Pang Guangbao, Pang Jing, Xiong Bin, Xiang Shulin

机构信息

Guangxi Academy of Medical Sciences, Nanning, Guangxi, China.

Department of Intensive Care Unit, The People's Hospital of Guangxi Zhuang Autonomous Region, Nanning, Guangxi, China.

出版信息

Front Cardiovasc Med. 2024 Jul 2;11:1409775. doi: 10.3389/fcvm.2024.1409775. eCollection 2024.

DOI:10.3389/fcvm.2024.1409775
PMID:39015680
原文链接:https://pmc.ncbi.nlm.nih.gov/articles/PMC11249738/
Abstract

BACKGROUND

Catastrophic Antiphospholipid Syndrome (CAPS), a severe systemic autoimmune disorder, predominantly causes life-threatening multi-organ failure, with a high mortality rate. It primarily affects small vessels, seldom impacting large vessels. Notably, acute massive pulmonary embolism (PE) with bilateral atrial thrombosis is an exceptional occurrence in CAPS. Acute pulmonary embolism (PE) is a common cardiovascular disease that progresses rapidly and has a high mortality rate. Acute massive PE combined with bilateral atrial thrombosis has an even higher mortality rate. PE treatments primarily include pharmaceuticals, catheter interventions, and surgical measures, with integrated treatment strategies demonstrating promising outcomes in clinical practice. Extracorporeal membrane oxygenation (ECMO) can provide cardiopulmonary support for the treatment of high-risk PE patients and is a proven therapeutic measure.

METHODS

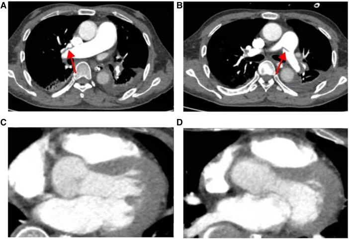
This report presents the case of a 52-year-old male admitted due to fever and sudden onset of impaired consciousness, with cardiac ultrasound and pulmonary artery CT angiography revealing an acute large-scale pulmonary embolism accompanied by bilateral atrial thrombosis, with the condition rapidly worsening and manifesting severe respiratory and circulatory failure. With ECMO support, the patient underwent a thrombectomy using an AngioJet intervention. The diagnosis of CAPS was confirmed through clinical presentation and laboratory examination, and treatment was adjusted accordingly.

RESULTS

The patient made a successful recovery and was subsequently discharged from the hospital.

CONCLUSION

In CAPS patients, the rare instance of acute massive PE accompanied by bilateral atrial thrombosis significantly risks severe respiratory and circulatory failure, adversely affecting prognosis. Early initiation of ECMO therapy is crucial, offering a vital opportunity to address the root cause. In this case report the patient was successfully treated with an AngioJet thrombectomy supported by ECMO.

摘要

背景

灾难性抗磷脂综合征(CAPS)是一种严重的全身性自身免疫性疾病,主要导致危及生命的多器官功能衰竭,死亡率很高。它主要影响小血管,很少影响大血管。值得注意的是,伴有双侧心房血栓形成的急性大面积肺栓塞(PE)在CAPS中是一种罕见情况。急性肺栓塞(PE)是一种常见的心血管疾病,进展迅速且死亡率很高。急性大面积PE合并双侧心房血栓形成的死亡率更高。PE治疗主要包括药物治疗、导管介入治疗和手术措施,综合治疗策略在临床实践中显示出良好的效果。体外膜肺氧合(ECMO)可为高危PE患者的治疗提供心肺支持,是一种经过验证的治疗措施。

方法

本报告介绍了一名52岁男性患者的病例,该患者因发热和意识突然障碍入院,心脏超声和肺动脉CT血管造影显示急性大面积肺栓塞伴双侧心房血栓形成,病情迅速恶化并出现严重呼吸和循环衰竭。在ECMO支持下,患者接受了AngioJet介入血栓切除术。通过临床表现和实验室检查确诊为CAPS,并相应调整治疗方案。

结果

患者成功康复,随后出院。

结论

在CAPS患者中,急性大面积PE伴双侧心房血栓形成这种罕见情况会显著增加严重呼吸和循环衰竭的风险,对预后产生不利影响。尽早开始ECMO治疗至关重要,为解决根本问题提供了重要机会。在本病例报告中,患者在ECMO支持下通过AngioJet血栓切除术成功治愈。

https://cdn.ncbi.nlm.nih.gov/pmc/blobs/6628/11249738/412dd985fc0c/fcvm-11-1409775-g008.jpg
https://cdn.ncbi.nlm.nih.gov/pmc/blobs/6628/11249738/2e3cf5d4acd7/fcvm-11-1409775-g001.jpg
https://cdn.ncbi.nlm.nih.gov/pmc/blobs/6628/11249738/d7cd919afc0a/fcvm-11-1409775-g002.jpg
https://cdn.ncbi.nlm.nih.gov/pmc/blobs/6628/11249738/ec7506d189a5/fcvm-11-1409775-g003.jpg
https://cdn.ncbi.nlm.nih.gov/pmc/blobs/6628/11249738/e1075b9a0f08/fcvm-11-1409775-g004.jpg
https://cdn.ncbi.nlm.nih.gov/pmc/blobs/6628/11249738/a18f73494d03/fcvm-11-1409775-g005.jpg
https://cdn.ncbi.nlm.nih.gov/pmc/blobs/6628/11249738/a9a1d23c5640/fcvm-11-1409775-g006.jpg
https://cdn.ncbi.nlm.nih.gov/pmc/blobs/6628/11249738/0674ffbf9915/fcvm-11-1409775-g007.jpg
https://cdn.ncbi.nlm.nih.gov/pmc/blobs/6628/11249738/412dd985fc0c/fcvm-11-1409775-g008.jpg
https://cdn.ncbi.nlm.nih.gov/pmc/blobs/6628/11249738/2e3cf5d4acd7/fcvm-11-1409775-g001.jpg
https://cdn.ncbi.nlm.nih.gov/pmc/blobs/6628/11249738/d7cd919afc0a/fcvm-11-1409775-g002.jpg
https://cdn.ncbi.nlm.nih.gov/pmc/blobs/6628/11249738/ec7506d189a5/fcvm-11-1409775-g003.jpg
https://cdn.ncbi.nlm.nih.gov/pmc/blobs/6628/11249738/e1075b9a0f08/fcvm-11-1409775-g004.jpg
https://cdn.ncbi.nlm.nih.gov/pmc/blobs/6628/11249738/a18f73494d03/fcvm-11-1409775-g005.jpg
https://cdn.ncbi.nlm.nih.gov/pmc/blobs/6628/11249738/a9a1d23c5640/fcvm-11-1409775-g006.jpg
https://cdn.ncbi.nlm.nih.gov/pmc/blobs/6628/11249738/0674ffbf9915/fcvm-11-1409775-g007.jpg
https://cdn.ncbi.nlm.nih.gov/pmc/blobs/6628/11249738/412dd985fc0c/fcvm-11-1409775-g008.jpg

相似文献

1
AngioJet thrombectomy with extracorporeal membrane oxygenation support for an acute large-scale pulmonary embolism with bilateral atrial thrombosis: a case report of catastrophic antiphospholipid syndrome.体外膜肺氧合支持下的AngioJet血栓切除术治疗急性大面积肺栓塞合并双侧心房血栓形成:灾难性抗磷脂综合征1例报告
Front Cardiovasc Med. 2024 Jul 2;11:1409775. doi: 10.3389/fcvm.2024.1409775. eCollection 2024.
2
Case report: AngioJet thrombectomy with extracorporeal membrane oxygenation support for acute massive pulmonary embolism in a severe multiple trauma patient.病例报告:在一名严重多发伤患者中,使用AngioJet血栓切除术并联合体外膜肺氧合支持治疗急性大面积肺栓塞
Front Med (Lausanne). 2022 Oct 14;9:989613. doi: 10.3389/fmed.2022.989613. eCollection 2022.
3
Successful treatment of near-fatal pulmonary embolism and cardiac arrest in an adult patient with fulminant psittacosis-induced severe acute respiratory distress syndrome after veno-venous extracorporeal membrane oxygenation rescue: A case report and follow-up.静脉-静脉体外膜肺氧合挽救成功治疗一名患暴发性鹦鹉热所致严重急性呼吸窘迫综合征的成年患者近乎致命的肺栓塞和心脏骤停:一例报告及随访
Heliyon. 2023 Sep 30;9(10):e20562. doi: 10.1016/j.heliyon.2023.e20562. eCollection 2023 Oct.
4
The removal of floating right heart thrombi and pulmonary embolus using AngioJet device and venoarterial extracorporeal membrane oxygenation: a case report.使用AngioJet装置和静脉-动脉体外膜肺氧合清除漂浮性右心血栓和肺栓塞:一例报告
Ann Transl Med. 2022 May;10(10):612. doi: 10.21037/atm-22-1542.
5
Large ovarian tumor-caused failure of VA-ECMO in a patient with cardiac arrest related to massive pulmonary embolism.巨大卵巢肿瘤导致一名因大面积肺栓塞心脏骤停患者的体外膜肺氧合(VA-ECMO)治疗失败。
J Cardiol Cases. 2023 Apr 30;28(2):68-71. doi: 10.1016/j.jccase.2023.04.006. eCollection 2023 Aug.
6
Cardiovascular collapse during mechanical thrombectomy for acute pulmonary embolism and the role of extracorporeal membrane oxygenation in patient rescue.急性肺栓塞机械取栓术中的心搏骤停和体外膜肺氧合在患者抢救中的作用。
J Vasc Surg Venous Lymphat Disord. 2023 Sep;11(5):978-985.e3. doi: 10.1016/j.jvsv.2023.03.016. Epub 2023 Apr 6.
7
Massive pulmonary embolism after caesarean section managed with surgical thrombectomy bridged with extracorporeal membrane oxygenation: A case report.剖宫产术后发生大面积肺栓塞,采用手术取栓并联合体外膜肺氧合治疗:一例病例报告。
Int J Surg Case Rep. 2023 Jun;107:108371. doi: 10.1016/j.ijscr.2023.108371. Epub 2023 Jun 1.
8
Systemic Embolism Following Mechanical Thrombectomy for Acute Ischemic Stroke: A Case of Suspected Catastrophic Antiphospholipid Syndrome.急性缺血性卒中机械取栓术后的系统性栓塞:一例疑似灾难性抗磷脂综合征病例
J Neuroendovasc Ther. 2024;18(7):197-202. doi: 10.5797/jnet.cr.2024-0023. Epub 2024 May 18.
9
Treatment of massive pulmonary embolism utilizing a multidisciplinary approach: a case study.采用多学科方法治疗大面积肺栓塞:病例研究
Perfusion. 2009 May;24(3):169-72. doi: 10.1177/0267659109346663. Epub 2009 Sep 30.
10
AngioJet thrombectomy in the treatment of pulmonary embolism complicated with left subclavian artery embolism: a case report.AngioJet 血栓切除术治疗合并左锁骨下动脉栓塞的肺栓塞:病例报告。
J Int Med Res. 2024 Jun;52(6):3000605241258141. doi: 10.1177/03000605241258141.

本文引用的文献

1
Is it Time to Reappraise for Black-Box Warning on AngioJet Rheolytic Thrombectomy in Patients with Pulmonary Embolism: A Systematic Review and Meta-analysis.是时候重新评估对肺栓塞患者进行AngioJet机械血栓切除术的黑框警告了:一项系统评价和荟萃分析。
Anatol J Cardiol. 2024 Mar 26;28(6):264-72. doi: 10.14744/AnatolJCardiol.2024.4081.
2
Hemodynamic and respiratory support in pulmonary embolism: a narrative review.肺栓塞的血流动力学和呼吸支持:一篇叙述性综述。
Front Med (Lausanne). 2023 Jun 2;10:1123793. doi: 10.3389/fmed.2023.1123793. eCollection 2023.
3
Percutaneous treatment options for acute pulmonary embolism: a clinical consensus statement by the ESC Working Group on Pulmonary Circulation and Right Ventricular Function and the European Association of Percutaneous Cardiovascular Interventions.
经皮治疗急性肺栓塞的选择:ESC 肺循环和右心室功能工作组和欧洲经皮心血管介入协会的临床共识声明。
EuroIntervention. 2022 Oct 7;18(8):e623-e638. doi: 10.4244/EIJ-D-22-00246.
4
Angiojet System Used in the Treatment of Submassive Pulmonary Embolism: A Case Report of Two Patients.Angiojet系统用于治疗次大面积肺栓塞:两例患者的病例报告
Case Rep Vasc Med. 2022 Aug 23;2022:6867338. doi: 10.1155/2022/6867338. eCollection 2022.
5
Optimal reperfusion strategy in acute high-risk pulmonary embolism requiring extracorporeal membrane oxygenation support: a systematic review and meta-analysis.需要体外膜肺氧合支持的急性高危肺栓塞的最佳再灌注策略:系统评价和荟萃分析。
Eur Respir J. 2022 Nov 3;60(5). doi: 10.1183/13993003.02977-2021. Print 2022 Nov.
6
Global reporting of pulmonary embolism-related deaths in the World Health Organization mortality database: Vital registration data from 123 countries.世界卫生组织死亡率数据库中全球肺栓塞相关死亡报告:来自123个国家的人口动态登记数据。
Res Pract Thromb Haemost. 2021 Jun 15;5(5):e12520. doi: 10.1002/rth2.12520. eCollection 2021 Jul.
7
Pulmonary infarction in acute pulmonary embolism.急性肺栓塞中的肺梗死。
Thromb Res. 2021 Jun;202:162-169. doi: 10.1016/j.thromres.2021.03.022. Epub 2021 Apr 1.
8
Efficacy and safety of extracorporeal membrane oxygenation for high-risk pulmonary embolism: A systematic review and meta-analysis.体外膜肺氧合治疗高危肺栓塞的疗效和安全性:系统评价和荟萃分析。
Vasc Med. 2020 Oct;25(5):460-467. doi: 10.1177/1358863X20944469. Epub 2020 Aug 13.
9
Pulmonary embolism: update on management and controversies.肺栓塞:管理与争议的更新。
BMJ. 2020 Aug 5;370:m2177. doi: 10.1136/bmj.m2177.
10
2019 ESC Guidelines for the diagnosis and management of acute pulmonary embolism developed in collaboration with the European Respiratory Society (ERS): The Task Force for the diagnosis and management of acute pulmonary embolism of the European Society of Cardiology (ESC).2019年欧洲心脏病学会(ESC)与欧洲呼吸学会(ERS)合作制定的急性肺栓塞诊断和管理指南:欧洲心脏病学会(ESC)急性肺栓塞诊断和管理特别工作组。
Eur Respir J. 2019 Oct 9;54(3). doi: 10.1183/13993003.01647-2019. Print 2019 Sep.