• 文献检索
  • 文档翻译
  • 深度研究
  • 学术资讯
  • Suppr Zotero 插件Zotero 插件
  • 邀请有礼
  • 套餐&价格
  • 历史记录
应用&插件
Suppr Zotero 插件Zotero 插件浏览器插件Mac 客户端Windows 客户端微信小程序
定价
高级版会员购买积分包购买API积分包
服务
文献检索文档翻译深度研究API 文档MCP 服务
关于我们
关于 Suppr公司介绍联系我们用户协议隐私条款
关注我们

Suppr 超能文献

核心技术专利:CN118964589B侵权必究
粤ICP备2023148730 号-1Suppr @ 2026

文献检索

告别复杂PubMed语法,用中文像聊天一样搜索,搜遍4000万医学文献。AI智能推荐,让科研检索更轻松。

立即免费搜索

文件翻译

保留排版,准确专业,支持PDF/Word/PPT等文件格式,支持 12+语言互译。

免费翻译文档

深度研究

AI帮你快速写综述,25分钟生成高质量综述,智能提取关键信息,辅助科研写作。

立即免费体验

Nodular (keloidal) scleroderma: A case series of 5 patients.

作者信息

Ntiri Michel, Nazarian Angelica, Magro Cynthia, Alexis Andrew F

机构信息

College of Medicine, SUNY Downstate Health Sciences University, Brooklyn, New York.

Department of Dermatology, Weill Cornell Medical Center, New York, New York.

出版信息

JAAD Case Rep. 2024 Apr 25;49:135-139. doi: 10.1016/j.jdcr.2024.04.026. eCollection 2024 Jul.

DOI:10.1016/j.jdcr.2024.04.026
PMID:39040159
原文链接:https://pmc.ncbi.nlm.nih.gov/articles/PMC11261715/
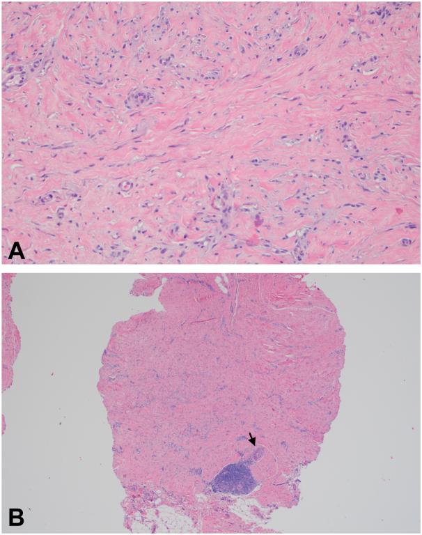
Abstract
摘要
https://cdn.ncbi.nlm.nih.gov/pmc/blobs/000b/11261715/88213c5d7d88/gr3.jpg
https://cdn.ncbi.nlm.nih.gov/pmc/blobs/000b/11261715/1dc9c5e872f5/gr1.jpg
https://cdn.ncbi.nlm.nih.gov/pmc/blobs/000b/11261715/67ec664a8c81/gr2.jpg
https://cdn.ncbi.nlm.nih.gov/pmc/blobs/000b/11261715/29b108b6047c/gr4.jpg
https://cdn.ncbi.nlm.nih.gov/pmc/blobs/000b/11261715/88213c5d7d88/gr3.jpg
https://cdn.ncbi.nlm.nih.gov/pmc/blobs/000b/11261715/1dc9c5e872f5/gr1.jpg
https://cdn.ncbi.nlm.nih.gov/pmc/blobs/000b/11261715/67ec664a8c81/gr2.jpg
https://cdn.ncbi.nlm.nih.gov/pmc/blobs/000b/11261715/29b108b6047c/gr4.jpg
https://cdn.ncbi.nlm.nih.gov/pmc/blobs/000b/11261715/88213c5d7d88/gr3.jpg

相似文献

1
Nodular (keloidal) scleroderma: A case series of 5 patients.结节性(瘢痕疙瘩样)硬皮病:5例患者的病例系列
JAAD Case Rep. 2024 Apr 25;49:135-139. doi: 10.1016/j.jdcr.2024.04.026. eCollection 2024 Jul.
2
Keloid morphea and nodular scleroderma: two distinct clinical variants of scleroderma?瘢痕疙瘩样硬斑病和结节性硬皮病:硬皮病的两种不同临床变体?
J Cutan Med Surg. 2003 Jan-Feb;7(1):20-4. doi: 10.1007/s10227-002-1138-6. Epub 2002 Oct 9.
3
Nodular Scleroderma Revisited: Systemic Sclerosis Presenting as Annular Keloidal Sclerotic Plaques.结节性硬皮病再探讨:表现为环状瘢痕疙瘩样硬化斑块的系统性硬化症
J Clin Aesthet Dermatol. 2016 Jun;9(6):56-7. Epub 2016 Jun 1.
4
Nodular/Keloidal Scleroderma with No Systemic Involvement-A Case Report and a Review of the Literature.无系统性受累的结节性/瘢痕疙瘩样硬皮病——病例报告及文献综述
J Clin Med. 2024 May 1;13(9):2662. doi: 10.3390/jcm13092662.
5
Questions raised by a case of adult-onset linear nodular scleroderma.一例成人起病的线状硬皮病引发的问题。
Dermatol Online J. 2022 Oct 15;28(5). doi: 10.5070/D328559245.
6
Nodular (keloidal) scleroderma.结节性(瘢痕疙瘩样)硬皮病。
Reumatol Clin (Engl Ed). 2023 Oct;19(8):463-464. doi: 10.1016/j.reumae.2023.02.009.
7
Keloidal Scleroderma: Case Report and Review.瘢痕疙瘩性硬皮病:病例报告与综述
Case Rep Dermatol Med. 2015;2015:635481. doi: 10.1155/2015/635481. Epub 2015 Nov 30.
8
Development of keloidal morphea after treatment with cyclosporine in a case of recalcitrant generalized morphea.环孢素治疗顽固性泛发性硬斑病后出现瘢痕疙瘩样硬斑病
Clin Case Rep. 2020 Mar 9;8(5):837-839. doi: 10.1002/ccr3.2776. eCollection 2020 May.
9
Scleroderma with Nodular Scleroderma.硬皮病伴结节性硬皮病
Case Rep Dermatol. 2016 Nov 14;8(3):303-310. doi: 10.1159/000452324. eCollection 2016 Sep-Dec.
10
Nodular morphea.结节性硬斑病
Dermatology. 2009;218(1):63-6. doi: 10.1159/000173976. Epub 2008 Nov 13.

引用本文的文献

1
Nodular morphea on the breast of a pregnant woman-case report and literature review.一名孕妇乳房出现结节性硬斑病——病例报告及文献综述
Wien Med Wochenschr. 2025 Jul 31. doi: 10.1007/s10354-025-01098-4.

本文引用的文献

1
Machine learning integration of scleroderma histology and gene expression identifies fibroblast polarisation as a hallmark of clinical severity and improvement.机器学习整合硬皮病组织学和基因表达,鉴定出成纤维细胞极化是临床严重程度和改善的标志。
Ann Rheum Dis. 2021 Feb;80(2):228-237. doi: 10.1136/annrheumdis-2020-217840. Epub 2020 Oct 7.
2
Development of keloidal morphea after treatment with cyclosporine in a case of recalcitrant generalized morphea.环孢素治疗顽固性泛发性硬斑病后出现瘢痕疙瘩样硬斑病
Clin Case Rep. 2020 Mar 9;8(5):837-839. doi: 10.1002/ccr3.2776. eCollection 2020 May.
3
Morphea With Keloidal Features: A Case Report and Review of the Literature.
硬斑病伴瘢痕疙瘩样特征:病例报告及文献复习。
Am J Dermatopathol. 2020 Oct;42(10):766-768. doi: 10.1097/DAD.0000000000001629.
4
Keloidal Scleroderma: Case Report and Review.瘢痕疙瘩性硬皮病:病例报告与综述
Case Rep Dermatol Med. 2015;2015:635481. doi: 10.1155/2015/635481. Epub 2015 Nov 30.
5
Paraneoplastic scleroderma-like tissue reactions in the setting of an underlying plasma cell dyscrasia: a report of 10 cases.浆细胞异常增生症基础上的副肿瘤性硬皮病样组织反应:10例报告
Am J Dermatopathol. 2013 Jul;35(5):561-8. doi: 10.1097/DAD.0b013e31827adbc8.
6
Nodular morphea (NM): report of a case of concurrent NM and morphea profunda associated with limited type systemic sclerosis, and overview and definition for NM.结节性硬斑病(NM):同时患有 NM 和深部硬斑病、伴有限局性系统性硬皮病的病例报告,并对 NM 进行综述和定义。
Eur J Dermatol. 2013 Jan-Feb;23(1):87-93. doi: 10.1684/ejd.2012.1893.
7
Update on morphea: part I. Epidemiology, clinical presentation, and pathogenesis.硬斑病最新进展:第一部分。流行病学、临床表现和发病机制。
J Am Acad Dermatol. 2011 Feb;64(2):217-28; quiz 229-30. doi: 10.1016/j.jaad.2010.05.045.
8
On the Keloid of Alibert, and on True Keloid.
Med Chir Trans. 1854;37:27-47. doi: 10.1177/095952875403700106.
9
A case of nodular scleroderma.
J Dermatol. 2005 Dec;32(12):1028-31. doi: 10.1111/j.1346-8138.2005.tb00895.x.
10
What is nodular-keloidal scleroderma?
Dermatology. 2003;207(2):130-2. doi: 10.1159/000071780.