Suppr超能文献

深度学习重建的薄层单次屏气HASTE序列用于检测胰腺病变的可行性:与两种传统T2加权成像序列的比较

Feasibility of deep learning-reconstructed thin-slice single-breath-hold HASTE for detecting pancreatic lesions: A comparison with two conventional T2-weighted imaging sequences.

作者信息

Liu Kai, Li Qing, Wang Xingxing, Fu Caixia, Sun Haitao, Chen Caizhong, Zeng Mengsu

机构信息

Department of Radiology, Zhongshan Hospital, Fudan University, Shanghai Institute of Medical Imaging, Shanghai 200032, China.

Department of Pathology, Zhongshan Hospital, Fudan University, Shanghai 200032, China.

出版信息

Res Diagn Interv Imaging. 2024 Jan 31;9:100038. doi: 10.1016/j.redii.2023.100038. eCollection 2024 Mar.

Abstract

OBJECTIVE

The objective of this study was to evaluate the clinical feasibility of deep learning reconstruction-accelerated thin-slice single-breath-hold half-Fourier single-shot turbo spin echo imaging (HASTE) for detecting pancreatic lesions, in comparison with two conventional T2-weighted imaging sequences: compressed-sensing HASTE (HASTE) and BLADE.

METHODS

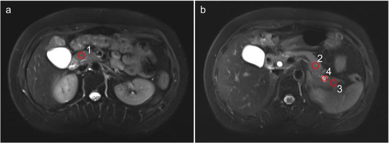
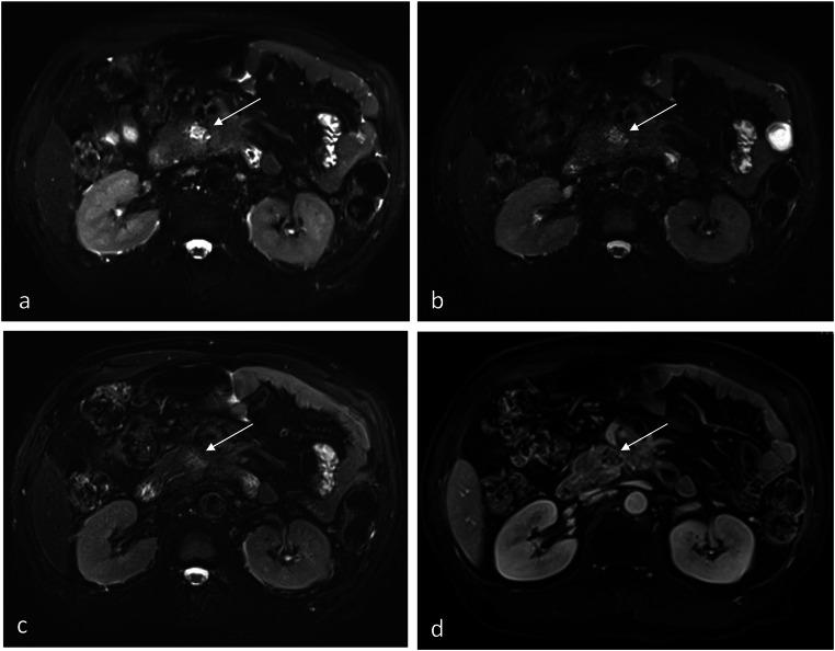
From March 2022 to January 2023, a total of 63 patients with suspected pancreatic-related disease underwent the HASTE, HASTE, and BLADE sequences were enrolled in this retrospectively study. The acquisition time, the pancreatic lesion conspicuity (LC), respiratory motion artifact (RMA), main pancreatic duct conspicuity (MPDC), overall image quality (OIQ), signal-to-noise ratio (SNR), and contrast-noise-ratio (CNR) of the pancreatic lesions were compared among the three sequences by two readers.

RESULTS

The acquisition time of both HASTE and HASTE was 16 s, which was significantly shorter than that of 102 s for BLADE. In terms of qualitative parameters, Reader 1 and Reader 2 assigned significantly higher scores to the LC, RMA, MPDC, and OIQ for HASTE compared to HASTE and BLADE sequences; As for the quantitative parameters, the SNR values of the pancreatic head, body, tail, and lesions, the CNR of the pancreatic lesion measured by the two readers were also significantly higher for HASTE than for HASTE and BLADE sequences.

CONCLUSIONS

Compared to conventional T2WI sequences (HASTE and BLADE), deep-learning reconstructed HASTE enables thin slice and single-breath-hold acquisition with clinical acceptable image quality for detection of pancreatic lesions.

摘要

目的

本研究的目的是评估深度学习重建加速的薄层单次屏气半傅里叶单次激发快速自旋回波成像(HASTE)在检测胰腺病变方面的临床可行性,并与两种传统的T2加权成像序列:压缩感知HASTE(HASTE)和BLADE进行比较。

方法

2022年3月至2023年1月,共有63例疑似胰腺相关疾病的患者接受了HASTE、HASTE和BLADE序列检查,纳入本回顾性研究。由两名阅片者比较三种序列的采集时间、胰腺病变的清晰度(LC)、呼吸运动伪影(RMA)、主胰管清晰度(MPDC)、整体图像质量(OIQ)、信噪比(SNR)和胰腺病变的对比噪声比(CNR)。

结果

HASTE和HASTE的采集时间均为16秒,明显短于BLADE的102秒。在定性参数方面,与HASTE和BLADE序列相比,阅片者1和阅片者2对HASTE的LC、RMA、MPDC和OIQ给予了显著更高的评分;在定量参数方面,两名阅片者测量的胰头、胰体、胰尾和病变的SNR值以及胰腺病变的CNR,HASTE也显著高于HASTE和BLADE序列。

结论

与传统的T2WI序列(HASTE和BLADE)相比,深度学习重建的HASTE能够在临床可接受的图像质量下进行薄层和单次屏气采集,用于检测胰腺病变。

https://cdn.ncbi.nlm.nih.gov/pmc/blobs/d286/11265199/75ace6377f4c/gr1.jpg

文献检索

告别复杂PubMed语法,用中文像聊天一样搜索,搜遍4000万医学文献。AI智能推荐,让科研检索更轻松。

立即免费搜索

文件翻译

保留排版,准确专业,支持PDF/Word/PPT等文件格式,支持 12+语言互译。

免费翻译文档

深度研究

AI帮你快速写综述,25分钟生成高质量综述,智能提取关键信息,辅助科研写作。

立即免费体验