• 文献检索
  • 文档翻译
  • 深度研究
  • 学术资讯
  • Suppr Zotero 插件Zotero 插件
  • 邀请有礼
  • 套餐&价格
  • 历史记录
应用&插件
Suppr Zotero 插件Zotero 插件浏览器插件Mac 客户端Windows 客户端微信小程序
定价
高级版会员购买积分包购买API积分包
服务
文献检索文档翻译深度研究API 文档MCP 服务
关于我们
关于 Suppr公司介绍联系我们用户协议隐私条款
关注我们

Suppr 超能文献

核心技术专利:CN118964589B侵权必究
粤ICP备2023148730 号-1Suppr @ 2026

文献检索

告别复杂PubMed语法,用中文像聊天一样搜索,搜遍4000万医学文献。AI智能推荐,让科研检索更轻松。

立即免费搜索

文件翻译

保留排版,准确专业,支持PDF/Word/PPT等文件格式,支持 12+语言互译。

免费翻译文档

深度研究

AI帮你快速写综述,25分钟生成高质量综述,智能提取关键信息,辅助科研写作。

立即免费体验

犬嗜铬细胞瘤应用吲哚菁绿荧光成像引导肾上腺切除术。

Imaging guided adrenalectomy with Indocyanine green fluorescence in a dog with a pheochromocytoma.

机构信息

Department of Veterinary Surgery, College of Veterinary Medicine, Chungbuk National University, Cheongju 28644, Korea.

出版信息

J Vet Sci. 2024 Jul;25(4):e53. doi: 10.4142/jvs.24146.

DOI:10.4142/jvs.24146
PMID:39083205
原文链接:https://pmc.ncbi.nlm.nih.gov/articles/PMC11291434/
Abstract

IMPORTANCE

This case report presents the successful surgical removal of a pheochromocytoma in a dog using indocyanine green (ICG) fluorescence imaging.

CASE PRESENTATION

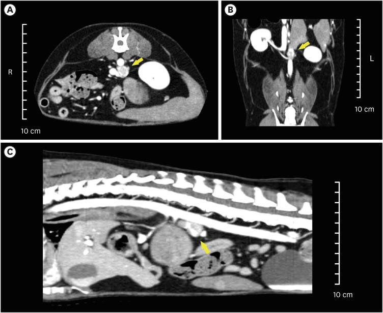
A 10-year-old, 6.87 kg, spayed female poodle was referred for an abdominal mass and eight episodes of vomiting. Computed tomography revealed masses in the spleen and left adrenal gland. Based on the plasma normetanephrine levels, the patient was diagnosed with pheochromocytoma. Subsequently, a total splenectomy and left adrenalectomy were performed. A dose of 5 mg/kg ICG was administered intravenously 24 h prior to surgery. Using ICG allowed visualization of tumor margins, aiding in complete resection and minimizing anesthesia-related risks.

CONCLUSIONS AND RELEVANCE

No evidence of recurrence or metastasis has been observed for 12 months. To our knowledge, this is the first report of the surgical removal of a pheochromocytoma using intraoperative ICG imaging in veterinary medicine. This case highlights the efficacy of ICG fluorescence imaging as a valuable tool for the surgical management of adrenal tumors in veterinary medicine.

摘要

重要性

本病例报告介绍了一例使用吲哚菁绿(ICG)荧光成像成功切除犬嗜铬细胞瘤的病例。

病例介绍

一只 10 岁、6.87 公斤的已绝育雌性贵宾犬因腹部肿块和 8 次呕吐而被转诊。计算机断层扫描显示脾脏和左肾上腺有肿块。根据血浆去甲变肾上腺素水平,该犬被诊断为嗜铬细胞瘤。随后进行了全脾切除术和左肾上腺切除术。手术前 24 小时静脉注射 5mg/kg 的 ICG。使用 ICG 可以观察到肿瘤边缘,有助于完全切除肿瘤,并最大限度地降低麻醉相关风险。

结论和相关性

12 个月来未观察到复发或转移的证据。据我们所知,这是兽医界首例使用术中 ICG 成像切除嗜铬细胞瘤的报告。本病例强调了 ICG 荧光成像作为兽医肾上腺肿瘤手术管理的一种有价值的工具的功效。

https://cdn.ncbi.nlm.nih.gov/pmc/blobs/1c15/11291434/f0e286cc6c94/jvs-25-e53-g003.jpg
https://cdn.ncbi.nlm.nih.gov/pmc/blobs/1c15/11291434/21a8df41c879/jvs-25-e53-g001.jpg
https://cdn.ncbi.nlm.nih.gov/pmc/blobs/1c15/11291434/c99dfbbf3b9f/jvs-25-e53-g002.jpg
https://cdn.ncbi.nlm.nih.gov/pmc/blobs/1c15/11291434/f0e286cc6c94/jvs-25-e53-g003.jpg
https://cdn.ncbi.nlm.nih.gov/pmc/blobs/1c15/11291434/21a8df41c879/jvs-25-e53-g001.jpg
https://cdn.ncbi.nlm.nih.gov/pmc/blobs/1c15/11291434/c99dfbbf3b9f/jvs-25-e53-g002.jpg
https://cdn.ncbi.nlm.nih.gov/pmc/blobs/1c15/11291434/f0e286cc6c94/jvs-25-e53-g003.jpg

相似文献

1
Imaging guided adrenalectomy with Indocyanine green fluorescence in a dog with a pheochromocytoma.犬嗜铬细胞瘤应用吲哚菁绿荧光成像引导肾上腺切除术。
J Vet Sci. 2024 Jul;25(4):e53. doi: 10.4142/jvs.24146.
2
Adrenal gland function in a dog following unilateral complete adrenalectomy and contralateral partial adrenalectomy.单侧肾上腺全切除及对侧肾上腺部分切除后犬的肾上腺功能
J Am Vet Med Assoc. 2013 May 15;242(10):1398-404. doi: 10.2460/javma.242.10.1398.
3
Robotic partial adrenalectomy using indocyanine green dye with near-infrared imaging: the initial clinical experience.机器人辅助吲哚菁绿近红外荧光成像引导下的肾上腺部分切除术:初步临床经验。
Urology. 2013 Sep;82(3):738-42. doi: 10.1016/j.urology.2013.03.074. Epub 2013 Jul 13.
4
Indocyanine green fluorescence imaging during partial adrenalectomy.在部分肾上腺切除术期间进行吲哚菁绿荧光成像。
Surg Endosc. 2020 May;34(5):2050-2055. doi: 10.1007/s00464-019-06985-7. Epub 2019 Jul 24.
5
Characterization of indocyanine green fluorescence imaging patterns of pheochromocytomas.嗜铬细胞瘤的吲哚菁绿荧光成像模式特征
Surg Endosc. 2023 Nov;37(11):8357-8361. doi: 10.1007/s00464-023-10344-y. Epub 2023 Sep 12.
6
Ectopic Cushing's syndrome associated with a pheochromocytoma in a dog: a case report.异位库欣综合征伴犬嗜铬细胞瘤 1 例报告。
BMC Vet Res. 2020 Feb 3;16(1):35. doi: 10.1186/s12917-020-2244-7.
7
Indocyanine green (ICG) fluorescence-guided laparoscopic adrenalectomy.吲哚菁绿(ICG)荧光引导下的腹腔镜肾上腺切除术。
J Surg Oncol. 2015 Nov;112(6):650-3. doi: 10.1002/jso.24057. Epub 2015 Sep 29.
8
Characterization of fluorescence patterns exhibited by different adrenal tumors: Determining the indications for indocyanine green use in adrenalectomy.不同肾上腺肿瘤荧光模式的特征:确定吲哚菁绿在肾上腺切除术应用中的适应证。
Surgery. 2018 Nov;164(5):972-977. doi: 10.1016/j.surg.2018.06.012. Epub 2018 Aug 4.
9
Surgical treatment of pheochromocytoma: technique, complications, and results in six dogs.嗜铬细胞瘤的手术治疗:六只犬的技术、并发症及结果
Vet Surg. 1994 May-Jun;23(3):195-200. doi: 10.1111/j.1532-950x.1994.tb00472.x.
10
Laparoscopic Adrenalectomy for Removal of Unilateral Noninvasive Pheochromocytomas in 10 Dogs.腹腔镜肾上腺切除术治疗10只犬单侧非侵袭性嗜铬细胞瘤
Vet Surg. 2016 Nov;45(S1):O70-O76. doi: 10.1111/vsu.12552. Epub 2016 Sep 23.

引用本文的文献

1
Intraoperative visualization of feline liposarcoma using short-wave infrared fluorescence imaging and indocyanine green.使用短波红外荧光成像和吲哚菁绿对猫脂肪肉瘤进行术中可视化。
J Vet Med Sci. 2025 Aug 1;87(8):894-897. doi: 10.1292/jvms.25-0113. Epub 2025 Jun 11.
2
Utilization of indocyanine green for intraoperative sentinel lymph node mapping in canine mammary tumors.吲哚菁绿在犬乳腺肿瘤术中前哨淋巴结定位中的应用。
Sci Rep. 2025 Mar 10;15(1):8315. doi: 10.1038/s41598-025-92243-x.

本文引用的文献

1
Excision of a gastrointestinal stromal tumour in a dog using short-wave infrared fluorescence imaging and indocyanine green.使用短波近红外荧光成像和吲哚菁绿切除犬的胃肠道间质瘤。
Vet Med Sci. 2024 Jul;10(4):e1506. doi: 10.1002/vms3.1506.
2
Characterization of indocyanine green fluorescence imaging patterns of pheochromocytomas.嗜铬细胞瘤的吲哚菁绿荧光成像模式特征
Surg Endosc. 2023 Nov;37(11):8357-8361. doi: 10.1007/s00464-023-10344-y. Epub 2023 Sep 12.
3
Tumor lesion detection in patients with cervical cancer by indocyanine green near-infrared imaging.
通过吲哚菁绿近红外成像检测宫颈癌患者的肿瘤病变
Eur J Nucl Med Mol Imaging. 2023 Mar;50(4):1252-1261. doi: 10.1007/s00259-022-06030-1. Epub 2022 Dec 1.
4
Real-time fluorescence imaging in intraoperative decision making for cancer surgery.术中决策的实时荧光成像在癌症手术中的应用。
Lancet Oncol. 2021 May;22(5):e186-e195. doi: 10.1016/S1470-2045(20)30600-8. Epub 2021 Mar 23.
5
Fluorescence-guided surgery using indocyanine green in dogs with superficial solid tumours.应用吲哚菁绿的荧光引导手术在患有表浅实体肿瘤的犬中。
Vet Rec. 2020 Oct 3;187(7):273. doi: 10.1136/vr.105554. Epub 2020 Apr 28.
6
Indocyanine green fluorescence imaging during partial adrenalectomy.在部分肾上腺切除术期间进行吲哚菁绿荧光成像。
Surg Endosc. 2020 May;34(5):2050-2055. doi: 10.1007/s00464-019-06985-7. Epub 2019 Jul 24.
7
Role of indo-cyanine green (ICG) fluorescence in laparoscopic adrenalectomy: a retrospective review of 55 Cases.吲哚菁绿(ICG)荧光在腹腔镜肾上腺切除术的作用:55 例回顾性研究。
Surg Endosc. 2018 Nov;32(11):4649-4657. doi: 10.1007/s00464-018-6309-7. Epub 2018 Jun 25.
8
Ultrasonographic features of adrenal gland lesions in dogs can aid in diagnosis.犬肾上腺病变的超声特征有助于诊断。
BMC Vet Res. 2016 Nov 28;12(1):267. doi: 10.1186/s12917-016-0895-1.
9
Optimization of the enhanced permeability and retention effect for near-infrared imaging of solid tumors with indocyanine green.吲哚菁绿增强实体瘤近红外成像的渗透与滞留效应的优化
Am J Nucl Med Mol Imaging. 2015 Jun 15;5(4):390-400. eCollection 2015.
10
Current Trends and Emerging Future of Indocyanine Green Usage in Surgery and Oncology: An Update.吲哚菁绿在外科手术和肿瘤学中的应用现状与未来发展趋势:最新进展
Ann Surg Oncol. 2015 Dec;22 Suppl 3:S1271-83. doi: 10.1245/s10434-015-4743-5. Epub 2015 Jul 21.