• 文献检索
  • 文档翻译
  • 深度研究
  • 学术资讯
  • Suppr Zotero 插件Zotero 插件
  • 邀请有礼
  • 套餐&价格
  • 历史记录
应用&插件
Suppr Zotero 插件Zotero 插件浏览器插件Mac 客户端Windows 客户端微信小程序
定价
高级版会员购买积分包购买API积分包
服务
文献检索文档翻译深度研究API 文档MCP 服务
关于我们
关于 Suppr公司介绍联系我们用户协议隐私条款
关注我们

Suppr 超能文献

核心技术专利:CN118964589B侵权必究
粤ICP备2023148730 号-1Suppr @ 2026

文献检索

告别复杂PubMed语法,用中文像聊天一样搜索,搜遍4000万医学文献。AI智能推荐,让科研检索更轻松。

立即免费搜索

文件翻译

保留排版,准确专业,支持PDF/Word/PPT等文件格式,支持 12+语言互译。

免费翻译文档

深度研究

AI帮你快速写综述,25分钟生成高质量综述,智能提取关键信息,辅助科研写作。

立即免费体验

多粘菌素B和蜂蜜对小鼠细菌脂多糖诱导的内毒素血症的保护作用。

Protective potentials of polymyxin B and honey against bacterial lipopolysaccharide-induced endotoxemia in mice.

作者信息

Mithun Ferdous Hasan, Bhuiyan Md Eftakhar Jahan, Hossain Md Golzar, Debnath Chirojit, Nazir K H M Nazmul Hussain, Akter Sharmin

机构信息

Department of Physiology, Bangladesh Agricultural University, Mymensingh, Bangladesh.

Department of Microbiology and Hygiene, Bangladesh Agricultural University, Mymensingh, Bangladesh.

出版信息

J Adv Vet Anim Res. 2024 Jun 22;11(2):503-515. doi: 10.5455/javar.2024.k800. eCollection 2024 Jun.

DOI:10.5455/javar.2024.k800
PMID:39101083
原文链接:https://pmc.ncbi.nlm.nih.gov/articles/PMC11296191/
Abstract

OBJECTIVE

The experiment aimed to determine the effects of lipopolysaccharide (LPS), polymyxin B, and honey on survival rates, hematological parameters, liver and kidney biomarkers, blood glucose levels, serum insulin levels, and histopathology of the liver, kidney, lungs, brain, and pancreas in LPS-challenged mice.

MATERIALS AND METHODS

50 male Swiss Albino mice (), aged 3 weeks, were randomly assigned into 5 groups (10 mice per group): Control group (A), LPS (2 mg/kg bwt/day IP in NS) treated group (B), polymyxin B (1.2 mg/kg bwt/day IM) pre-treated plus LPS (2 mg/kg bwt/day IP in NS) treated group (C), honey (10 gm/kg bwt/day PO) pre-treated plus LPS (2 mg/kg bwt/day IP in NS) treated group (D), both polymyxin B (1.2 mg/kg bwt/day IM) and honey (10 gm/kg bwt/day PO) pre-treated plus LPS (2 mg/kg bwt/day IP in NS) treated group (E). The LPS was administered intraperitoneally (IP) at 80 µg/mice/day, diluting in normal saline. After 16 weeks, the mice were sacrificed, and blood samples and organs (liver, kidney, lung, brain, and pancreas) were collected for laboratory tests.

RESULTS

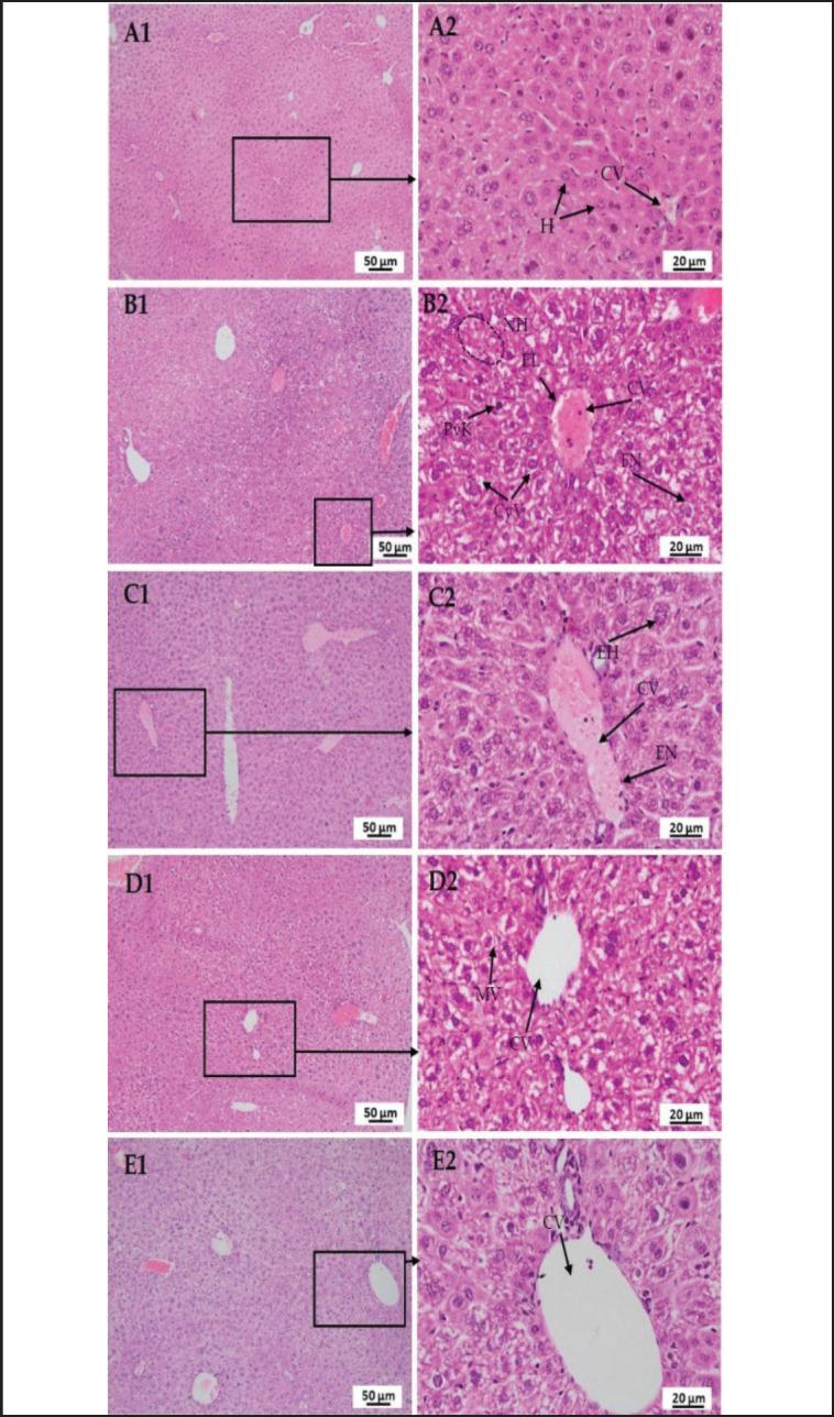
The results revealed that in LPS-treated mice, the mortality rate was the highest, and hemato-biochemical parameters were altered. Histopathological examination in the group treated with LPS showed disarrangement of hepatocytes, cellular infiltrations in the glomerulus, alveolar congestion in the lungs, several nerve fiber degenerations in the brain, and degenerative changes in pancreatic islets. The mortality rate and hemato-biochemical and histopathological changes were restored by the combined treatment of polymyxin B and honey.

CONCLUSION

LPS has detrimental effects on survival rate and hemato-biochemistry, which are lessened by taking honey and polymyxin B supplements.

摘要

目的

本实验旨在确定脂多糖(LPS)、多粘菌素B和蜂蜜对脂多糖攻击小鼠的存活率、血液学参数、肝肾生物标志物、血糖水平、血清胰岛素水平以及肝脏、肾脏、肺、脑和胰腺组织病理学的影响。

材料与方法

50只3周龄雄性瑞士白化小鼠被随机分为5组(每组10只):对照组(A)、LPS(以2mg/kg体重/天腹腔注射于生理盐水中)处理组(B)、多粘菌素B(以1.2mg/kg体重/天肌肉注射)预处理加LPS(以2mg/kg体重/天腹腔注射于生理盐水中)处理组(C)、蜂蜜(以10g/kg体重/天口服)预处理加LPS(以2mg/kg体重/天腹腔注射于生理盐水中)处理组(D)、多粘菌素B(以1.2mg/kg体重/天肌肉注射)和蜂蜜(以10g/kg体重/天口服)联合预处理加LPS(以2mg/kg体重/天腹腔注射于生理盐水中)处理组(E)。LPS以80μg/小鼠/天腹腔注射,用生理盐水稀释。16周后,处死小鼠,采集血样和器官(肝脏、肾脏、肺、脑和胰腺)进行实验室检测。

结果

结果显示,LPS处理的小鼠死亡率最高,血液生化参数发生改变。LPS处理组的组织病理学检查显示肝细胞排列紊乱、肾小球细胞浸润、肺肺泡充血、脑内多条神经纤维变性以及胰岛退行性改变。多粘菌素B和蜂蜜联合治疗可恢复死亡率以及血液生化和组织病理学变化。

结论

LPS对存活率和血液生化有有害影响,服用蜂蜜和多粘菌素B补充剂可减轻这些影响。

https://cdn.ncbi.nlm.nih.gov/pmc/blobs/16bb/11296191/d648d36e11ea/JAVAR-11-503-g012.jpg
https://cdn.ncbi.nlm.nih.gov/pmc/blobs/16bb/11296191/34ec9cf34ee8/JAVAR-11-503-g001.jpg
https://cdn.ncbi.nlm.nih.gov/pmc/blobs/16bb/11296191/c71403125e41/JAVAR-11-503-g002.jpg
https://cdn.ncbi.nlm.nih.gov/pmc/blobs/16bb/11296191/82c47e5b772f/JAVAR-11-503-g003.jpg
https://cdn.ncbi.nlm.nih.gov/pmc/blobs/16bb/11296191/f92d6d9f7a2e/JAVAR-11-503-g004.jpg
https://cdn.ncbi.nlm.nih.gov/pmc/blobs/16bb/11296191/b489d3dd00e3/JAVAR-11-503-g005.jpg
https://cdn.ncbi.nlm.nih.gov/pmc/blobs/16bb/11296191/28eed5d2d74a/JAVAR-11-503-g006.jpg
https://cdn.ncbi.nlm.nih.gov/pmc/blobs/16bb/11296191/6544d4b088fc/JAVAR-11-503-g007.jpg
https://cdn.ncbi.nlm.nih.gov/pmc/blobs/16bb/11296191/66ed8638f214/JAVAR-11-503-g008.jpg
https://cdn.ncbi.nlm.nih.gov/pmc/blobs/16bb/11296191/47f642ff7b84/JAVAR-11-503-g009.jpg
https://cdn.ncbi.nlm.nih.gov/pmc/blobs/16bb/11296191/efc0b570f41b/JAVAR-11-503-g010.jpg
https://cdn.ncbi.nlm.nih.gov/pmc/blobs/16bb/11296191/bdd0efa57143/JAVAR-11-503-g011.jpg
https://cdn.ncbi.nlm.nih.gov/pmc/blobs/16bb/11296191/d648d36e11ea/JAVAR-11-503-g012.jpg
https://cdn.ncbi.nlm.nih.gov/pmc/blobs/16bb/11296191/34ec9cf34ee8/JAVAR-11-503-g001.jpg
https://cdn.ncbi.nlm.nih.gov/pmc/blobs/16bb/11296191/c71403125e41/JAVAR-11-503-g002.jpg
https://cdn.ncbi.nlm.nih.gov/pmc/blobs/16bb/11296191/82c47e5b772f/JAVAR-11-503-g003.jpg
https://cdn.ncbi.nlm.nih.gov/pmc/blobs/16bb/11296191/f92d6d9f7a2e/JAVAR-11-503-g004.jpg
https://cdn.ncbi.nlm.nih.gov/pmc/blobs/16bb/11296191/b489d3dd00e3/JAVAR-11-503-g005.jpg
https://cdn.ncbi.nlm.nih.gov/pmc/blobs/16bb/11296191/28eed5d2d74a/JAVAR-11-503-g006.jpg
https://cdn.ncbi.nlm.nih.gov/pmc/blobs/16bb/11296191/6544d4b088fc/JAVAR-11-503-g007.jpg
https://cdn.ncbi.nlm.nih.gov/pmc/blobs/16bb/11296191/66ed8638f214/JAVAR-11-503-g008.jpg
https://cdn.ncbi.nlm.nih.gov/pmc/blobs/16bb/11296191/47f642ff7b84/JAVAR-11-503-g009.jpg
https://cdn.ncbi.nlm.nih.gov/pmc/blobs/16bb/11296191/efc0b570f41b/JAVAR-11-503-g010.jpg
https://cdn.ncbi.nlm.nih.gov/pmc/blobs/16bb/11296191/bdd0efa57143/JAVAR-11-503-g011.jpg
https://cdn.ncbi.nlm.nih.gov/pmc/blobs/16bb/11296191/d648d36e11ea/JAVAR-11-503-g012.jpg

相似文献

1
Protective potentials of polymyxin B and honey against bacterial lipopolysaccharide-induced endotoxemia in mice.多粘菌素B和蜂蜜对小鼠细菌脂多糖诱导的内毒素血症的保护作用。
J Adv Vet Anim Res. 2024 Jun 22;11(2):503-515. doi: 10.5455/javar.2024.k800. eCollection 2024 Jun.
2
[Anti-endotoxin effect of lanthanum chloride in vivo: an experimental study of mice].氯化镧在体内的抗内毒素作用:小鼠的实验研究
Zhonghua Yi Xue Za Zhi. 2004 Feb 2;84(3):242-7.
3
Protective effects of honey and bee venom against lipopolysaccharide and carbon tetrachloride-induced hepatoxicity and lipid peroxidation in rats.蜂蜜和蜂毒对大鼠脂多糖和四氯化碳诱导的肝毒性及脂质过氧化的保护作用。
Toxicol Res (Camb). 2020 Oct 15;9(5):693-705. doi: 10.1093/toxres/tfaa077. eCollection 2020 Sep.
4
Gelam honey has a protective effect against lipopolysaccharide (LPS)-induced organ failure.吉拉蜂蜜对脂多糖(LPS)诱导的器官衰竭具有保护作用。
Int J Mol Sci. 2012;13(5):6370-6381. doi: 10.3390/ijms13056370. Epub 2012 May 23.
5
[Role of α7 nicotinic acetylcholine receptor in attenuation of endotoxin induced delirium with dexmedetomidine in mice].[α7烟碱型乙酰胆碱受体在右美托咪定减轻小鼠内毒素诱导谵妄中的作用]
Zhonghua Wei Zhong Bing Ji Jiu Yi Xue. 2016 Feb;28(2):127-33. doi: 10.3760/cma.j.issn.2095-4352.2016.02.009.
6
Oral exposure of deltamethrin and/or lipopolysaccharide (LPS) induced activation of the pulmonary immune system in Swiss albino mice.溴氰菊酯和/或脂多糖(LPS)经口暴露可激活瑞士白化小鼠的肺部免疫系统。
Environ Sci Pollut Res Int. 2018 Jun;25(16):15436-15448. doi: 10.1007/s11356-018-1702-2. Epub 2018 Mar 22.
7
Lipoic acid suppresses portal endotoxemia-induced steatohepatitis and pancreatic inflammation in rats.硫辛酸可抑制门脉内毒素血症诱导的大鼠脂肪性肝炎和胰腺炎症。
World J Gastroenterol. 2013 May 14;19(18):2761-71. doi: 10.3748/wjg.v19.i18.2761.
8
The combined effect of honey and olive oil against methotrexate mediated hepatotoxicity in rats: A biochemical, histological and immunohistological study.蜂蜜和橄榄油联合对抗大鼠甲氨蝶呤介导的肝毒性:生化、组织学和免疫组织化学研究。
Histol Histopathol. 2019 Dec;34(12):1313-1327. doi: 10.14670/HH-18-126. Epub 2019 May 9.
9
Histomorphometric evaluation of mice testicular tissue following short- and long-term effects of lipopolysaccharide-induced endotoxemia.脂多糖诱导的内毒素血症短期和长期作用后小鼠睾丸组织的组织形态计量学评估
Iran J Basic Med Sci. 2018 Jan;21(1):47-52. doi: 10.22038/IJBMS.2017.24415.6083.
10
Effects of intravenous administration of polymyxin B in neonatal foals with experimental endotoxemia.静脉注射多黏菌素B对实验性内毒素血症新生马驹的影响。
J Am Vet Med Assoc. 2013 Sep 15;243(6):874-81. doi: 10.2460/javma.243.6.874.

本文引用的文献

1
Protective roles of vitamin C and 5-aminosalicylic acid on reproduction in acrylamide intoxicated male mice.维生素C和5-氨基水杨酸对丙烯酰胺中毒雄性小鼠生殖功能的保护作用
Saudi J Biol Sci. 2023 Aug;30(8):103738. doi: 10.1016/j.sjbs.2023.103738. Epub 2023 Jul 13.
2
Role of Honey in Obesity Management: A Systematic Review.蜂蜜在肥胖管理中的作用:一项系统综述。
Front Nutr. 2022 Jun 24;9:924097. doi: 10.3389/fnut.2022.924097. eCollection 2022.
3
Neonatal sepsis and mortality in low-income and middle-income countries from a facility-based birth cohort: an international multisite prospective observational study.
中低收入国家基于医疗机构的出生队列研究中新生儿败血症和死亡率:一项国际多中心前瞻性观察研究。
Lancet Glob Health. 2022 May;10(5):e661-e672. doi: 10.1016/S2214-109X(22)00043-2.
4
Polymyxins, the last-resort antibiotics: Mode of action, resistance emergence, and potential solutions.多黏菌素类抗生素:作用模式、耐药性产生及潜在解决方案。
J Biosci. 2021;46(3). doi: 10.1007/s12038-021-00209-8.
5
Changes of Lipopolysaccharide-Induced Acute Kidney and Liver Injuries in Rats Based on Metabolomics Analysis.基于代谢组学分析的脂多糖诱导大鼠急性肾损伤和肝损伤的变化
J Inflamm Res. 2021 May 6;14:1807-1825. doi: 10.2147/JIR.S306789. eCollection 2021.
6
Dietary l-carnitine Supplementation Modifies the Lipopolysaccharide-Induced Acute Phase Reaction in Dairy Cows.日粮补充左旋肉碱可改变脂多糖诱导的奶牛急性期反应。
Animals (Basel). 2021 Jan 10;11(1):136. doi: 10.3390/ani11010136.
7
Biochemical studies on the protective effect of honey against doxorubicin-induced toxicity in BALB/C mice.蜂蜜对BALB/C小鼠阿霉素诱导毒性的保护作用的生化研究。
Int J Health Sci (Qassim). 2020 Nov-Dec;14(6):31-37.
8
Quality evaluation of Saudi honey harvested from the Asir province by using high-performance liquid chromatography (HPLC).采用高效液相色谱法(HPLC)对从阿西尔省采集的沙特蜂蜜进行质量评估。
Saudi J Biol Sci. 2020 Aug;27(8):2097-2105. doi: 10.1016/j.sjbs.2020.04.009. Epub 2020 Apr 13.
9
Hepatic Inflammatory Response to Exogenous LPS Challenge is Exacerbated in Broilers with Fatty Liver Disease.脂肪肝疾病肉鸡对外源性脂多糖刺激的肝脏炎症反应加剧。
Animals (Basel). 2020 Mar 19;10(3):514. doi: 10.3390/ani10030514.
10
[Mouse Models of Sepsis and Septic Shock].[脓毒症和脓毒性休克的小鼠模型]
Mol Biol (Mosk). 2019 Sep-Oct;53(5):799-814. doi: 10.1134/S0026898419050100.