Suppr超能文献

哮喘、COPD 和哮喘-COPD 重叠患者的定量 HRCT 特征差异及其与肺功能的关系。

Differences in the Quantitative HRCT Characteristics of Patients with Asthma, COPD and Asthma-COPD Overlap and Their Relationships with Pulmonary Function.

机构信息

Department of Thoracic Oncology, Clinical Oncology School of Fujian Medical University, Fujian Cancer Hospital, Fuzhou, People's Republic of China.

Department of Respiratory Medicine, Shenzhen Hospital, Southern Medical University, Shenzhen, People's Republic of China.

出版信息

Int J Chron Obstruct Pulmon Dis. 2024 Aug 1;19:1775-1789. doi: 10.2147/COPD.S469956. eCollection 2024.

Abstract

PURPOSE

We compared pulmonary function indices and quantitative CT parameters of airway remodeling, air trapping, and emphysema in asthmatic patients and patients with COPD and asthma-COPD overlap (ACO) and explored their relationships with airflow limitation.

PATIENTS AND METHODS

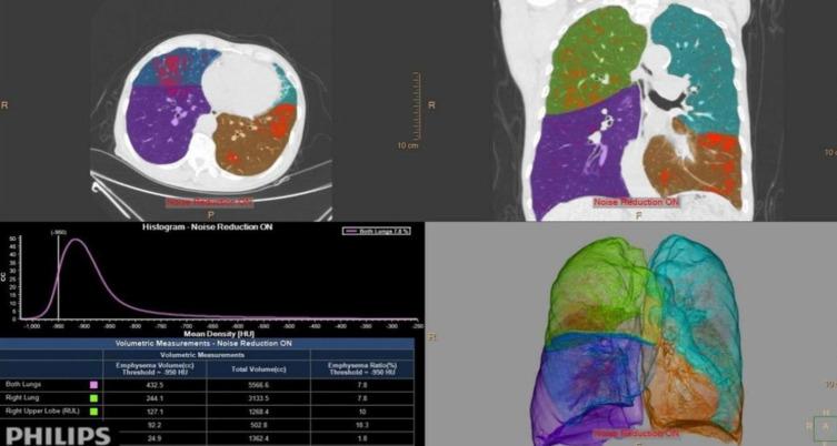
Patients with asthma (n=48), COPD (n=52), and ACO (n=30) and controls (n=54) who completed pulmonary function tests and HRCT scans were retrospectively enrolled in our study. Quantitative CT analysis software was used to assess emphysema (LAA%), airway wall dimensions (wall area (WA), luminal area (LA), and wall area percentage (WA%)), and air trapping ((relative volume change of -860 HU to -950 HU (RVC) and the expiration-to-inspiration ratio of the mean lung density (MLD)). Differences in pulmonary function and HRCT parameters were compared among the groups. Spearman correlation analysis and regression analysis were utilized to explore structure‒function relationships.

RESULTS

The LAA% in COPD and ACO patients was significantly greater than that in asthmatic patients and controls. The WA% and WA in COPD and ACO patients were greater than those in controls, whereas the WA% and LA between asthmatic patients and controls reached statistical significance. The RVC levels decreased in the following order: ACO, COPD, and asthma. RVC independently predicted FEV1% in asthmatic patients; LAA% and MLD in COPD patients; and LAA%, WA% and RVC in ACO patients.

CONCLUSION

Comparable emphysema was observed in patients with COPD and ACO but not in asthmatic patients. All patients exhibited proximal airway remodeling. The bronchi were thickened outward in COPD and ACO patients but are thickened inward in asthmatic patients. Furthermore, air trapping in ACO patients was the most severe among all the groups. Indirect lung densitometry measurements might be more predictive of the degree of airflow limitation than direct airway measurements in obstructive airway diseases.

摘要

目的

我们比较了哮喘患者、COPD 患者、哮喘-COPD 重叠(ACO)患者的肺功能指标和气道重塑、空气潴留、肺气肿的定量 CT 参数,并探讨了它们与气流受限的关系。

方法

回顾性纳入完成肺功能检查和 HRCT 扫描的哮喘(n=48)、COPD(n=52)和 ACO(n=30)患者及对照组(n=54)。使用定量 CT 分析软件评估肺气肿(LAA%)、气道壁尺寸(壁面积(WA)、管腔面积(LA)和壁面积百分比(WA%))和空气潴留(-860 HU 到-950 HU 之间的相对体积变化(RVC)和平均肺密度的呼气相与吸气相比值(MLD))。比较各组间肺功能和 HRCT 参数的差异。采用 Spearman 相关分析和回归分析探讨结构-功能关系。

结果

COPD 和 ACO 患者的 LAA%明显大于哮喘患者和对照组。COPD 和 ACO 患者的 WA%和 WA 大于对照组,而哮喘患者与对照组的 WA%和 LA 达到统计学意义。RVC 水平依次降低:ACO、COPD 和哮喘。RVC 可独立预测哮喘患者的 FEV1%;COPD 患者的 LAA%和 MLD;ACO 患者的 LAA%、WA%和 RVC。

结论

COPD 和 ACO 患者存在相似的肺气肿,但哮喘患者没有。所有患者均存在近端气道重塑。COPD 和 ACO 患者的支气管向外增厚,而哮喘患者的支气管向内增厚。此外,ACO 患者的空气潴留最严重。在阻塞性气道疾病中,间接肺密度测量可能比直接气道测量更能预测气流受限程度。

https://cdn.ncbi.nlm.nih.gov/pmc/blobs/01c6/11299721/a8b06dcc9c45/COPD-19-1775-g0001.jpg

文献检索

告别复杂PubMed语法,用中文像聊天一样搜索,搜遍4000万医学文献。AI智能推荐,让科研检索更轻松。

立即免费搜索

文件翻译

保留排版,准确专业,支持PDF/Word/PPT等文件格式,支持 12+语言互译。

免费翻译文档

深度研究

AI帮你快速写综述,25分钟生成高质量综述,智能提取关键信息,辅助科研写作。

立即免费体验