Suppr超能文献

五味子通过阻断PI3K-Akt信号通路抑制牛疱疹病毒1型(BoHV-1)的侵入,并增强gD的m6A甲基化以抑制子代病毒的侵入。

Schisandra chinensis inhibits the entry of BoHV-1 by blocking PI3K-Akt pathway and enhances the m6A methylation of gD to inhibit the entry of progeny virus.

作者信息

Liu Yang, Wang Kang, Gong Xiao, Qu Weijie, Xiao Yangyang, Sun Hongtao, Kang Jingli, Sheng Jinliang, Wu Faxing, Dai Feiyan

机构信息

College of Veterinary Medicine, Yunnan Agricultural University, Kunming, China.

Key Laboratory of Animal Biosafety Risk Prevention and Control of Ministry of Agriculture and Rural Affairs (South), China Animal Health and Epidemiology Center, Qingdao, China.

出版信息

Front Microbiol. 2024 Jul 22;15:1444414. doi: 10.3389/fmicb.2024.1444414. eCollection 2024.

Abstract

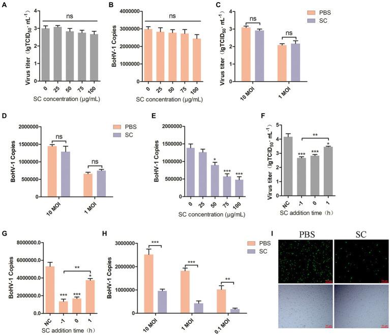
Schisandra chinensis, a traditional Chinese medicine known for its antitussive and sedative effects, has shown promise in preventing various viral infections. Bovine herpesvirus-1 (BoHV-1) is an enveloped DNA virus that causes respiratory disease in cattle, leading to significant economic losses in the industry. Because the lack of previous reports on Schisandra chinensis resisting BoHV-1 infection, this study aimed to investigate the specific mechanisms involved. Results from TCID, qPCR, IFA, and western blot analyses demonstrated that Schisandra chinensis could inhibit BoHV-1 entry into MDBK cells, primarily through its extract Methylgomisin O (Meth O). The specific mechanism involved Meth O blocking BoHV-1 entry into cells via clathrin- and caveolin-mediated endocytosis by suppressing the activation of PI3K-Akt signaling pathway. Additionally, findings from TCID, qPCR, co-immunoprecipitation and western blot assays revealed that Schisandra chinensis blocked BoHV-1 gD transcription through enhancing m6A methylation of gD after virus entry, thereby hindering gD protein expression and preventing progeny virus entry into cells and ultimately inhibiting BoHV-1 replication. Overall, these results suggest that Schisandra chinensis can resist BoHV-1 infection by targeting the PI3K-Akt signaling pathway and inhibiting gD transcription.

摘要

五味子是一种以镇咳和镇静作用闻名的传统中药,已显示出预防各种病毒感染的潜力。牛疱疹病毒1型(BoHV-1)是一种包膜DNA病毒,可引起牛的呼吸道疾病,给该行业带来重大经济损失。由于此前缺乏五味子抵抗BoHV-1感染的相关报道,本研究旨在探究其中的具体机制。TCID、qPCR、IFA和western blot分析结果表明,五味子能够抑制BoHV-1进入MDBK细胞,主要是通过其提取物甲基五味子素O(Meth O)。具体机制涉及Meth O通过抑制PI3K-Akt信号通路的激活,阻断BoHV-1通过网格蛋白和小窝蛋白介导的内吞作用进入细胞。此外,TCID、qPCR、免疫共沉淀和western blot检测结果显示,五味子在病毒进入后通过增强gD的m6A甲基化来阻断BoHV-1 gD转录,从而阻碍gD蛋白表达,阻止子代病毒进入细胞并最终抑制BoHV-1复制。总体而言,这些结果表明五味子可通过靶向PI3K-Akt信号通路并抑制gD转录来抵抗BoHV-1感染。

https://cdn.ncbi.nlm.nih.gov/pmc/blobs/f0aa/11298802/3a64b1c7dea2/fmicb-15-1444414-g001.jpg

文献检索

告别复杂PubMed语法,用中文像聊天一样搜索,搜遍4000万医学文献。AI智能推荐,让科研检索更轻松。

立即免费搜索

文件翻译

保留排版,准确专业,支持PDF/Word/PPT等文件格式,支持 12+语言互译。

免费翻译文档

深度研究

AI帮你快速写综述,25分钟生成高质量综述,智能提取关键信息,辅助科研写作。

立即免费体验