Suppr超能文献

与免疫检查点抑制剂肾炎相关的临床特征:一项单中心临床病例系列研究。

Clinical features associated with immune checkpoint inhibitor nephritis: a single-center clinical case series.

机构信息

Department of Medical Oncology and Therapeutics Research, City of Hope Comprehensive Cancer Center, 1500 East Duarte Road, Duarte, CA, 91010, USA.

Department of Pathology, Cedars-Sinai Medical Center, Los Angeles, CA, USA.

出版信息

Cancer Immunol Immunother. 2024 Aug 6;73(10):200. doi: 10.1007/s00262-024-03775-6.

Abstract

BACKGROUND

Acute kidney injury (AKI) has been well described as a complication of immune checkpoint inhibitor therapy. We present a series of patients, the majority with lung adenocarcinoma, who developed AKI while actively receiving immune checkpoint inhibitors.

METHODS

This is a retrospectively analyzed clinical case series of six patients treated at City of Hope Comprehensive Cancer Center. Data were collected on gender, age, ethnicity, comorbidities, concomitant medications, type of malignancy, treatments, and renal function. All patients underwent renal biopsy for classification of the mechanism of AKI. Comprehensive genomic profiling (CGP) was performed on tumor tissue for all patients.

RESULTS

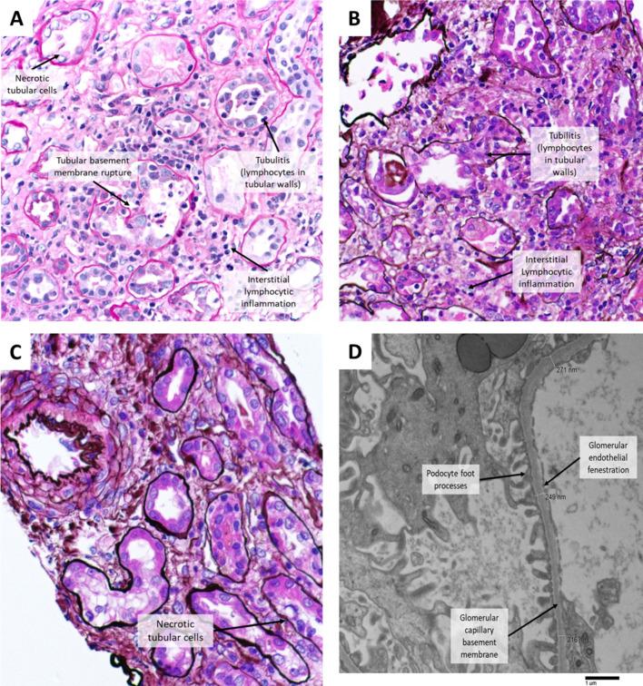
Patterns of AKI included acute interstitial nephritis and acute tubular necrosis. Contributing factors included the use of concomitant medications known to contribute to AKI. All but two patients had full resolution of the AKI with the use of steroids. There were several mutations found on CGP that was notable including an Exon 20 insertion as well as multiple NF1 and TP53 mutations. There was high PD-L1 expression on tumor tissue noted in two out of six patients. In addition to AKI, a subset of patients had proteinuria with biopsies revealing corresponding glomerular lesions of minimal change disease and focal and segmental glomerulosclerosis.

CONCLUSIONS

Our case series demonstrates that AKI from immune checkpoint inhibitors has a variable presentation that may require an individualized treatment approach. Further studies are needed to identify biomarkers that may help identify those at risk and guide the management of this condition.

摘要

背景

急性肾损伤(AKI)已被充分描述为免疫检查点抑制剂治疗的并发症。我们报告了一系列患者,其中大多数患有肺腺癌,在积极接受免疫检查点抑制剂治疗时发生 AKI。

方法

这是对希望之城综合癌症中心治疗的六名患者进行的回顾性分析临床病例系列研究。收集的数据包括性别、年龄、种族、合并症、伴随用药、恶性肿瘤类型、治疗方法和肾功能。所有患者均接受了肾脏活检以确定 AKI 的发病机制。对所有患者的肿瘤组织进行了全面基因组分析(CGP)。

结果

AKI 的模式包括急性间质性肾炎和急性肾小管坏死。促成因素包括使用已知会导致 AKI 的伴随药物。除两名患者外,所有患者均使用类固醇完全缓解 AKI。CGP 发现了一些值得注意的突变,包括外显子 20 插入以及多个 NF1 和 TP53 突变。在六名患者中的两名患者的肿瘤组织中观察到高 PD-L1 表达。除 AKI 外,一部分患者还出现蛋白尿,活检显示相应的肾小球病变为微小病变病和局灶节段性肾小球硬化。

结论

我们的病例系列表明,免疫检查点抑制剂引起的 AKI 表现多样,可能需要个体化的治疗方法。需要进一步研究以确定可能有助于识别风险人群并指导该疾病管理的生物标志物。

https://cdn.ncbi.nlm.nih.gov/pmc/blobs/49e2/11303352/2f8e9c492e28/262_2024_3775_Fig1_HTML.jpg

文献检索

告别复杂PubMed语法,用中文像聊天一样搜索,搜遍4000万医学文献。AI智能推荐,让科研检索更轻松。

立即免费搜索

文件翻译

保留排版,准确专业,支持PDF/Word/PPT等文件格式,支持 12+语言互译。

免费翻译文档

深度研究

AI帮你快速写综述,25分钟生成高质量综述,智能提取关键信息,辅助科研写作。

立即免费体验