• 文献检索
  • 文档翻译
  • 深度研究
  • 学术资讯
  • Suppr Zotero 插件Zotero 插件
  • 邀请有礼
  • 套餐&价格
  • 历史记录
应用&插件
Suppr Zotero 插件Zotero 插件浏览器插件Mac 客户端Windows 客户端微信小程序
定价
高级版会员购买积分包购买API积分包
服务
文献检索文档翻译深度研究API 文档MCP 服务
关于我们
关于 Suppr公司介绍联系我们用户协议隐私条款
关注我们

Suppr 超能文献

核心技术专利:CN118964589B侵权必究
粤ICP备2023148730 号-1Suppr @ 2026

文献检索

告别复杂PubMed语法,用中文像聊天一样搜索,搜遍4000万医学文献。AI智能推荐,让科研检索更轻松。

立即免费搜索

文件翻译

保留排版,准确专业,支持PDF/Word/PPT等文件格式,支持 12+语言互译。

免费翻译文档

深度研究

AI帮你快速写综述,25分钟生成高质量综述,智能提取关键信息,辅助科研写作。

立即免费体验

初次手术后14年的肺睾丸癌中一种晚期复发核蛋白的转录组分析:病例报告

Transcriptomic profiling of a late recurrent nuclear protein in testis carcinoma of the lung 14 years after the initial operation: a case report.

作者信息

Kato Taketo, Oyamatsu Hironori, Hanamatsu Yuki, Huang Heng, Okado Shoji, Imamura Yoshito, Nomata Yuji, Watanabe Hiroki, Kadomatsu Yuka, Ueno Harushi, Nakamura Shota, Mizuno Tetsuya, Hase Tetsunari, Takeuchi Tamotsu, Chen-Yoshikawa Toyofumi Fengshi

机构信息

Department of Thoracic Surgery, Nagoya University Graduate School of Medicine, Nagoya, Japan.

Department of Thoracic Surgery, Okazaki City Hospital, Aichi, Japan.

出版信息

Transl Lung Cancer Res. 2024 Jul 30;13(7):1756-1762. doi: 10.21037/tlcr-24-259. Epub 2024 Jul 11.

DOI:10.21037/tlcr-24-259
PMID:39118893
原文链接:https://pmc.ncbi.nlm.nih.gov/articles/PMC11304145/
Abstract

BACKGROUND

Nuclear protein in testis (NUT) carcinoma (NC) of the lung is a rare cancer that occurs mainly in young adolescents and adults. NC is genetically characterized by rearrangements, which usually take the form of fusions. The prognosis for NC is dismal, and treatment with conventional chemotherapeutic regimens is ineffective.

CASE DESCRIPTION

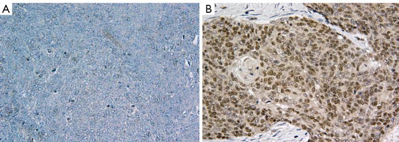
We herein describe the case of a 53-year-old woman with recurrent NC of the lung 14 years after surgery for nasal cavity cancer. Chest computed tomography revealed a 5.5-cm tumor in the lower lobe of the left lung. We completely resected the recurrent lung NC via thoracotomy. Immunohistochemistry (IHC) of the lung and nasal cavity cancers showed diffuse strong expression of NUT. RNA-seq of the lung NC revealed rearrangement, with a fusion of exon 10 to exon 4. This breakpoint has never been reported before. In addition, IHC revealed elevated expression of parathyroid hormone-like hormone in the lung NC but not in the nasal cavity NC, indicating that the lung and nasal cavity NCs were metachronous multiple primary cancers.

CONCLUSIONS

We experienced a rare recurrence of lung NC 14 years after the initial surgery. The fusion consisted of a new breakpoint. Furthermore, the expression pattern of parathyroid hormone-like hormone () suggested that the NCs in the nasal cavity and lung may be metachronous multiple lung cancers. This extremely rare case highlighted the possibility of identifying less malignant NCs in patients with poorly differentiated tumors via fusion gene analysis and the need to develop more effective treatment strategies for this malignancy.

摘要

背景

肺睾丸核蛋白(NUT)癌(NC)是一种罕见的癌症,主要发生于青少年和成年人。NC在基因上的特征是重排,通常表现为融合形式。NC的预后很差,常规化疗方案治疗无效。

病例描述

我们在此描述一名53岁女性的病例,该患者在鼻腔癌手术后14年出现复发性肺NC。胸部计算机断层扫描显示左肺下叶有一个5.5厘米的肿瘤。我们通过开胸手术完全切除了复发性肺NC。对肺癌和鼻腔癌进行免疫组织化学(IHC)检测,结果显示NUT呈弥漫性强表达。对肺NC进行RNA测序,结果显示存在重排,外显子10与外显子4融合。这个断点此前从未有过报道。此外,IHC检测显示肺NC中甲状旁腺激素样激素表达升高,而鼻腔NC中未升高,这表明肺和鼻腔NC是异时性多原发性癌症。

结论

我们遇到了一例在初次手术后14年出现的罕见的肺NC复发病例。这种融合包含一个新的断点。此外,甲状旁腺激素样激素()的表达模式表明鼻腔和肺部的NC可能是异时性多原发性肺癌。这一极其罕见的病例凸显了通过融合基因分析在低分化肿瘤患者中识别恶性程度较低的NC的可能性,以及为这种恶性肿瘤开发更有效治疗策略的必要性。

https://cdn.ncbi.nlm.nih.gov/pmc/blobs/6e9e/11304145/d782a591af93/tlcr-13-07-1756-f5.jpg
https://cdn.ncbi.nlm.nih.gov/pmc/blobs/6e9e/11304145/09ba89ad3d63/tlcr-13-07-1756-f1.jpg
https://cdn.ncbi.nlm.nih.gov/pmc/blobs/6e9e/11304145/bb5ff4a06e8f/tlcr-13-07-1756-f2.jpg
https://cdn.ncbi.nlm.nih.gov/pmc/blobs/6e9e/11304145/e298309187c6/tlcr-13-07-1756-f3.jpg
https://cdn.ncbi.nlm.nih.gov/pmc/blobs/6e9e/11304145/18bac6c4d30d/tlcr-13-07-1756-f4.jpg
https://cdn.ncbi.nlm.nih.gov/pmc/blobs/6e9e/11304145/d782a591af93/tlcr-13-07-1756-f5.jpg
https://cdn.ncbi.nlm.nih.gov/pmc/blobs/6e9e/11304145/09ba89ad3d63/tlcr-13-07-1756-f1.jpg
https://cdn.ncbi.nlm.nih.gov/pmc/blobs/6e9e/11304145/bb5ff4a06e8f/tlcr-13-07-1756-f2.jpg
https://cdn.ncbi.nlm.nih.gov/pmc/blobs/6e9e/11304145/e298309187c6/tlcr-13-07-1756-f3.jpg
https://cdn.ncbi.nlm.nih.gov/pmc/blobs/6e9e/11304145/18bac6c4d30d/tlcr-13-07-1756-f4.jpg
https://cdn.ncbi.nlm.nih.gov/pmc/blobs/6e9e/11304145/d782a591af93/tlcr-13-07-1756-f5.jpg

相似文献

1
Transcriptomic profiling of a late recurrent nuclear protein in testis carcinoma of the lung 14 years after the initial operation: a case report.初次手术后14年的肺睾丸癌中一种晚期复发核蛋白的转录组分析:病例报告
Transl Lung Cancer Res. 2024 Jul 30;13(7):1756-1762. doi: 10.21037/tlcr-24-259. Epub 2024 Jul 11.
2
BRD3-NUTM1-expressing NUT carcinoma of lung on endobronchial ultrasound-guided transbronchial needle aspiration cytology, a diagnostic pitfall.经支气管超声引导经支气管针吸活检术(EBUS-TBNA)细胞学检查中,BRD3-NUTM1 表达的肺 NUT 癌:一个诊断陷阱。
Diagn Cytopathol. 2022 Feb;50(2):E47-E53. doi: 10.1002/dc.24885. Epub 2021 Oct 21.
3
Clinicopathological molecular characterizations of sinonasal NUT carcinoma: a report of two cases and a literature review.鼻窦 NUT 癌的临床病理分子特征:两例报告及文献复习
Front Oncol. 2024 Jan 4;13:1296862. doi: 10.3389/fonc.2023.1296862. eCollection 2023.
4
Primary Thyroid NUT Carcinoma With High PD-L1 Expression and Novel Massive Gene Fusions: A Case Report With Treatment Implications and Literature Review.原发性甲状腺 NUT 癌伴高 PD-L1 表达及新型大量基因融合:1 例报告及治疗启示与文献综述
Front Oncol. 2022 Jan 19;11:778296. doi: 10.3389/fonc.2021.778296. eCollection 2021.
5
Oral and oropharyngeal NUT carcinoma: a multicentre screening study of poorly differentiated oral cancer.口腔和口咽 NUT 癌:一项针对低分化口腔癌的多中心筛查研究。
Histopathology. 2024 Dec;85(6):868-878. doi: 10.1111/his.15245. Epub 2024 Jun 20.
6
Misleading Germ Cell Phenotype in Pulmonary NUT Carcinoma Harboring the ZNF532-NUTM1 Fusion.肺 NUT 癌中 ZNF532-NUTM1 融合导致的误导性生殖细胞表型。
Am J Surg Pathol. 2022 Feb 1;46(2):281-288. doi: 10.1097/PAS.0000000000001774.
7
NUT carcinoma, an under-recognized malignancy: a clinicopathologic and molecular series of 6 cases showing a subset of patients with better prognosis and a rare ZNF532::NUTM1 fusion.NUT 癌,一种认识不足的恶性肿瘤:6 例临床病理和分子系列研究显示,部分患者预后较好,且罕见存在 ZNF532::NUTM1 融合。
Hum Pathol. 2022 Aug;126:87-99. doi: 10.1016/j.humpath.2022.05.015. Epub 2022 May 24.
8
NUT carcinoma of the parotid gland: report of two cases, one with a rare ZNF532-NUTM1 fusion.腮腺 NUT 癌:两例报告,其中一例罕见的 ZNF532-NUTM1 融合。
Virchows Arch. 2022 Apr;480(4):887-897. doi: 10.1007/s00428-021-03253-9. Epub 2022 Jan 22.
9
Primary thyroid nuclear protein in testis carcinoma: a case report and literature review.睾丸癌中的原发性甲状腺核蛋白:一例报告及文献综述
Gland Surg. 2024 Jun 30;13(6):1116-1125. doi: 10.21037/gs-24-77. Epub 2024 Jun 24.
10
NUTM1 -rearranged Carcinoma of the Thyroid : A Distinct Subset of NUT Carcinoma Characterized by Frequent NSD3 - NUTM1 Fusions.甲状腺 NUTM1 重排癌:一种以 NSD3-NUTM1 融合频繁为特征的独特 NUT 癌亚型。
Am J Surg Pathol. 2022 Dec 1;46(12):1706-1715. doi: 10.1097/PAS.0000000000001967. Epub 2022 Aug 29.

本文引用的文献

1
Molecular features driving condensate formation and gene expression by the BRD4-NUT fusion oncoprotein are overlapping but distinct.驱动 BRD4-NUT 融合癌蛋白形成凝聚物和基因表达的分子特征既有重叠又有区别。
Sci Rep. 2023 Jul 24;13(1):11907. doi: 10.1038/s41598-023-39102-9.
2
Prolonged Survival of NUT Midline Carcinoma and Current Approaches to Treatment.NUT 中线癌的长期生存和当前的治疗方法。
Oncologist. 2023 Sep 7;28(9):765-770. doi: 10.1093/oncolo/oyad177.
3
NUT Carcinoma-An Underdiagnosed Malignancy.NUT癌——一种诊断不足的恶性肿瘤。
Front Oncol. 2022 Jul 26;12:914031. doi: 10.3389/fonc.2022.914031. eCollection 2022.
4
Report of the First International Symposium on NUT Carcinoma.NUT 癌第一届国际研讨会报告。
Clin Cancer Res. 2022 Jun 13;28(12):2493-2505. doi: 10.1158/1078-0432.CCR-22-0591.
5
NUT Carcinoma: Clinicopathologic Features, Molecular Genetics and Epigenetics.NUT癌:临床病理特征、分子遗传学与表观遗传学
Front Oncol. 2022 Mar 16;12:860830. doi: 10.3389/fonc.2022.860830. eCollection 2022.
6
Thoracic NUT carcinoma: Common pathological features despite diversity of clinical presentations.胸内 NUT 癌:临床表现多样,但具有共同的病理特征。
Lung Cancer. 2021 Aug;158:55-59. doi: 10.1016/j.lungcan.2021.06.008. Epub 2021 Jun 8.
7
Durable Complete Remission of PD-L1 Positive NUT Carcinoma Treated With Concurrent Chemotherapy and Radiation.PD-L1 阳性 NUT 癌经化疗和放疗联合治疗达到持久完全缓解。
Perm J. 2020 Dec;25:1-3. doi: 10.7812/TPP/20.093.
8
Supercharging BRD4 with NUT in carcinoma.BRD4 在癌中的 NUT 超驱动。
Oncogene. 2021 Feb;40(8):1396-1408. doi: 10.1038/s41388-020-01625-0. Epub 2021 Jan 15.
9
An Anatomical Site and Genetic-Based Prognostic Model for Patients With Nuclear Protein in Testis (NUT) Midline Carcinoma: Analysis of 124 Patients.睾丸核蛋白(NUT)中线癌患者的解剖部位和基于基因的预后模型:124例患者分析
JNCI Cancer Spectr. 2019 Nov 6;4(2):pkz094. doi: 10.1093/jncics/pkz094. eCollection 2020 Apr.
10
NUT midline carcinoma: Current concepts and future perspectives of a novel tumour entity.NUT 中线癌:一种新型肿瘤实体的当前概念和未来展望。
Crit Rev Oncol Hematol. 2019 Dec;144:102826. doi: 10.1016/j.critrevonc.2019.102826. Epub 2019 Nov 1.