Suppr超能文献

白藜芦醇通过组蛋白 4 和β-防御素对糖尿病大鼠的肝脏和其他靶器官具有有利的生物治疗作用。

Resveratrol Has Histone 4 and Beta-Defensin 1-Mediated Favorable Biotherapeutic Effects on Liver and Other Target Organs in Diabetic Rats.

机构信息

Department of Gastroenterology, Bahçeşehir University Faculty of Medicine, Göztepe Medical Park Hospital, İstanbul, Turkey.

Department of Medical Biochemistry, University of Health Sciences, Şişli Etfal Training and Research Hospital, İstanbul, Turkey.

出版信息

Turk J Gastroenterol. 2024 Mar;35(3):223-231. doi: 10.5152/tjg.2024.23068.

Abstract

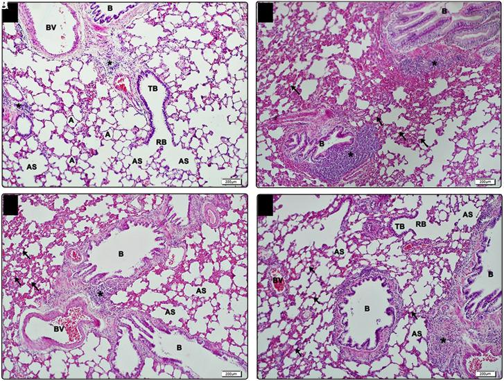
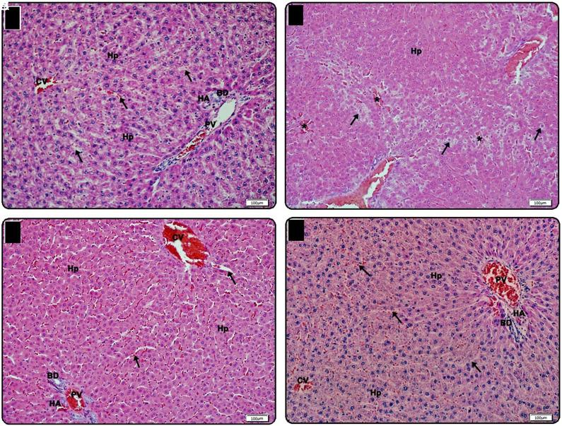
BACKGROUND/AIMS: It was aimed to investigate the biochemical and histopathological effects of resveratrol and melatonin, via histone H4 and β-defensin 1, in diabetic rats.

MATERIALS AND METHODS

Twenty-four Sprague-Dawley male rats were categorized into 4 groups, with 6 rats in each group (control, diabetes mellitus, melatonin - diabetes mellitus, and resveratrol+diabetes mellitus). Diabetes was formed by giving streptozotocin to all groups except the control group. Melatonin, 5 mg/kg/day, was given to the melatonin - diabetes mellitus group, and resveratrol, 5 mg/kg/day, was given to the resveratrol+diabetes mellitus group via intraperitoneally for 3 weeks. Interleukin-1 beta, tumor necrosis factor alpha, histone H4, and β-defensin 1 levels were measured in the blood of all rats. The lung, liver, and kidney tissue of all rats were performed as histopathological examinations.

RESULTS

Whereas there was no difference between the other groups (P >.05), interleukin-1 beta levels of the diabetes mellitus group were found to be significantly higher compared with the control group (5.02 ± 2.15 vs. 2.38 ± 0.72 ng/mL; P < .05). Whereas histone H4 levels of the diabetes mellitus group were higher compared with the control and resveratrol+diabetes mellitus groups (7.53 ± 3.30 vs. 2.97 ± 1.57 and 3.06 ± 1.57 ng/mL; P <.05), the β-defensin 1 levels of the diabetes mellitus group were lower compared with control and resveratrol+diabetes mellitus groups (7.6 ± 2.8 vs. 21.6 ± 5.5 and 18.8 ± 7.4 ng/mL; P <.05). β-Defensin 1 levels were moderately inversely correlated with interleukin-1 beta and histone H4 levels (rs > -0.50, P < .01). Histopathological changes found in favor of target cell damage in the diabetes mellitus group were not observed in resveratrol+diabetes mellitus group.

CONCLUSION

Resveratrol may be used as a biotherapeutic agent, which significantly reduces diabetes-induced histone H4 and interleukin-1 beta-mediated liver and other target organ damage.

摘要

背景/目的:本研究旨在通过组蛋白 H4 和 β-防御素 1 研究白藜芦醇和褪黑素对糖尿病大鼠的生化和组织病理学影响。

材料和方法

将 24 只雄性 Sprague-Dawley 大鼠分为 4 组,每组 6 只(对照组、糖尿病组、褪黑素+糖尿病组和白藜芦醇+糖尿病组)。除对照组外,所有组均给予链脲佐菌素诱导糖尿病。糖尿病组给予褪黑素,5mg/kg/天,腹腔内给药 3 周;白藜芦醇+糖尿病组给予白藜芦醇,5mg/kg/天。所有大鼠均测定血液中白细胞介素-1β、肿瘤坏死因子-α、组蛋白 H4 和 β-防御素 1 的水平。所有大鼠的肺、肝和肾组织均进行组织病理学检查。

结果

与其他组相比,糖尿病组的白细胞介素-1β水平显著升高(5.02±2.15 vs. 2.38±0.72ng/ml;P<0.05),而糖尿病组的组蛋白 H4 水平高于对照组和白藜芦醇+糖尿病组(7.53±3.30 vs. 2.97±1.57 和 3.06±1.57ng/ml;P<0.05),β-防御素 1 水平低于对照组和白藜芦醇+糖尿病组(7.6±2.8 vs. 21.6±5.5 和 18.8±7.4ng/ml;P<0.05)。β-防御素 1 水平与白细胞介素-1β和组蛋白 H4 水平呈中度负相关(rs>-0.50,P<0.01)。糖尿病组中有利于靶细胞损伤的组织病理学变化在白藜芦醇+糖尿病组中未观察到。

结论

白藜芦醇可作为一种生物治疗剂,显著减轻糖尿病诱导的组蛋白 H4 和白细胞介素-1β介导的肝及其他靶器官损伤。

https://cdn.ncbi.nlm.nih.gov/pmc/blobs/212b/11059984/77c0b6821556/tjg-35-3-223_f001.jpg

文献AI研究员

20分钟写一篇综述,助力文献阅读效率提升50倍。

立即体验

用中文搜PubMed

大模型驱动的PubMed中文搜索引擎

马上搜索

文档翻译

学术文献翻译模型,支持多种主流文档格式。

立即体验