Suppr超能文献

一例伴有轻度β地中海贫血的恶性贫血病例。

A Case of Pernicious Anemia with Concurrent Beta-Thalassemia Minor.

作者信息

Yuan Fuzhen, Huang Zhenhua, Yao Dingye, Sun Junsheng

机构信息

Department of General Practice, Longgang District Central Hospital of Shenzhen, Shenzhen, 5181116, People's Republic of China.

Shenzhen Clinical College of Medicine, Guangzhou University of Chinese Medicine, Shenzhen, 5181116, People's Republic of China.

出版信息

J Blood Med. 2024 Aug 7;15:351-357. doi: 10.2147/JBM.S473075. eCollection 2024.

Abstract

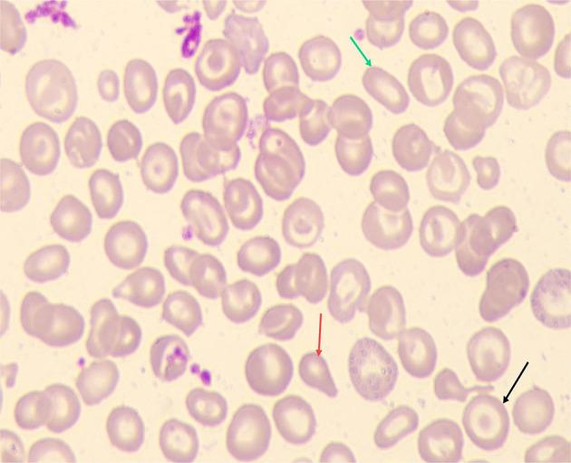
Vitamin B is essential for various bodily functions, and its deficiency may cause hematological manifestations. We report a case of a previously healthy 65-year-old female who was admitted to our hospital with reduced sense of taste and painful tongue. The serum level of vitamin B was decreased. However, her complete blood count did not show any evidence of macrocytosis, instead, her mean corpuscular volume was low. Gene sequencing indicated an β-thalassemia minor and that probably masked the megaloblastic features of vitamin B deficiency.

摘要

维生素B对身体的各种功能至关重要,其缺乏可能导致血液学表现。我们报告一例病例,一名65岁既往健康的女性因味觉减退和舌痛入院。其血清维生素B水平降低。然而,她的全血细胞计数未显示任何大细胞性贫血的证据,相反,她的平均红细胞体积较低。基因测序显示为轻度β地中海贫血,这可能掩盖了维生素B缺乏的巨幼细胞特征。

https://cdn.ncbi.nlm.nih.gov/pmc/blobs/9aea/11317050/20865b9d182c/JBM-15-351-g0001.jpg

文献AI研究员

20分钟写一篇综述,助力文献阅读效率提升50倍。

立即体验

用中文搜PubMed

大模型驱动的PubMed中文搜索引擎

马上搜索

文档翻译

学术文献翻译模型,支持多种主流文档格式。

立即体验