• 文献检索
  • 文档翻译
  • 深度研究
  • 学术资讯
  • Suppr Zotero 插件Zotero 插件
  • 邀请有礼
  • 套餐&价格
  • 历史记录
应用&插件
Suppr Zotero 插件Zotero 插件浏览器插件Mac 客户端Windows 客户端微信小程序
定价
高级版会员购买积分包购买API积分包
服务
文献检索文档翻译深度研究API 文档MCP 服务
关于我们
关于 Suppr公司介绍联系我们用户协议隐私条款
关注我们

Suppr 超能文献

核心技术专利:CN118964589B侵权必究
粤ICP备2023148730 号-1Suppr @ 2026

文献检索

告别复杂PubMed语法,用中文像聊天一样搜索,搜遍4000万医学文献。AI智能推荐,让科研检索更轻松。

立即免费搜索

文件翻译

保留排版,准确专业,支持PDF/Word/PPT等文件格式,支持 12+语言互译。

免费翻译文档

深度研究

AI帮你快速写综述,25分钟生成高质量综述,智能提取关键信息,辅助科研写作。

立即免费体验

停戴长期 0.01%阿托品治疗近视控制后的脉络膜变化。

Choroidal Changes During and After Discontinuing Long-Term 0.01% Atropine Treatment for Myopia Control.

机构信息

University of Western Australia, Centre for Ophthalmology and Visual Science (incorporating the Lions Eye Institute), Perth, Western Australia, Australia.

https://orcid.org/0000-0001-6635-1098.

出版信息

Invest Ophthalmol Vis Sci. 2024 Aug 1;65(10):21. doi: 10.1167/iovs.65.10.21.

DOI:10.1167/iovs.65.10.21
PMID:39136629
原文链接:https://pmc.ncbi.nlm.nih.gov/articles/PMC11323994/
Abstract

PURPOSE

Few studies have explored choroidal changes after cessation of myopia control. This study evaluated the choroidal thickness (ChT) and choroidal vascularity index (CVI) during and after discontinuing long-term low-concentration atropine eye drops use for myopia control.

METHODS

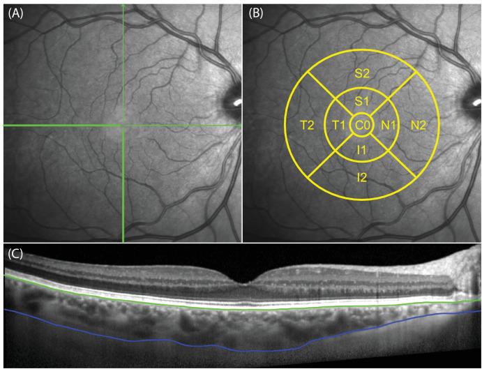
Children with progressive myopia (6-16 years; n = 153) were randomized to receive 0.01% atropine eye drops or a placebo (2:1 ratio) instilled daily over 2 years, followed by a 1-year washout (no eye drop use). Optical coherence tomography imaging of the choroid was conducted at the baseline, 2-year (end of treatment phase), and 3-year (end of washout phase) visits. The main outcome measure was the subfoveal ChT. Secondary measures include the CVI.

RESULTS

During the treatment phase, the subfoveal choroids in both treatment and control groups thickened by 12-14 µm (group difference P = 0.56). During the washout phase, the subfoveal choroids in the placebo group continued to thicken by 6.6 µm (95% confidence interval [CI] = 1.7 to 11.6), but those in the atropine group did not change (estimate = -0.04 µm; 95% CI = -3.2 to 3.1). Participants with good axial eye growth control had greater choroidal thickening than the fast-progressors during the treatment phase regardless of the treatment group (P < 0.001), but choroidal thickening in the atropine group's fast-progressors was not sustained after stopping eye drops. CVI decreased in both groups during the treatment phase, but increased in the placebo group after treatment cessation.

CONCLUSIONS

On average, compared to placebo, 0.01% atropine eye drop treatment did not cause a differential rate of change in ChT during treatment, but abrupt cessation of long-term 0.01% atropine eye drops may disrupt normal choroidal thickening in children.

摘要

目的

鲜有研究探讨近视控制停止后脉络膜的变化。本研究评估了长期使用低浓度阿托品治疗近视停止后脉络膜厚度(ChT)和脉络膜血管指数(CVI)的变化。

方法

6-16 岁进展性近视儿童(n=153)被随机分为接受 0.01%阿托品滴眼液或安慰剂(2:1 比例)每日滴眼 2 年,随后 1 年洗脱期(不滴用眼药水)。在基线、2 年(治疗结束时)和 3 年(洗脱结束时)访视时进行脉络膜光学相干断层扫描成像。主要观察指标为中心凹下脉络膜厚度。次要观察指标包括脉络膜血管指数。

结果

治疗期间,治疗组和对照组中心凹下脉络膜均增厚 12-14 µm(组间差异 P=0.56)。洗脱期间,安慰剂组中心凹下脉络膜继续增厚 6.6 µm(95%置信区间 [CI] = 1.7 至 11.6),而阿托品组无变化(估计值=-0.04 µm;95% CI = -3.2 至 3.1)。无论治疗组如何,轴向眼轴增长控制良好的患者在治疗期间脉络膜增厚程度均大于快速进展者(P<0.001),但阿托品组快速进展者停药后脉络膜增厚并未持续。两组在治疗期间 CVI 均降低,但治疗停止后安慰剂组 CVI 增加。

结论

与安慰剂相比,0.01%阿托品滴眼液治疗平均在治疗期间不会导致 ChT 变化率的差异,但长期使用 0.01%阿托品滴眼液的突然停药可能会干扰儿童脉络膜的正常增厚。

https://cdn.ncbi.nlm.nih.gov/pmc/blobs/59e9/11323994/205dd29aae60/iovs-65-10-21-f007.jpg
https://cdn.ncbi.nlm.nih.gov/pmc/blobs/59e9/11323994/58b2003aa41b/iovs-65-10-21-f001.jpg
https://cdn.ncbi.nlm.nih.gov/pmc/blobs/59e9/11323994/78956bb2b32b/iovs-65-10-21-f002.jpg
https://cdn.ncbi.nlm.nih.gov/pmc/blobs/59e9/11323994/569d8129c5fb/iovs-65-10-21-f003.jpg
https://cdn.ncbi.nlm.nih.gov/pmc/blobs/59e9/11323994/479831565360/iovs-65-10-21-f004.jpg
https://cdn.ncbi.nlm.nih.gov/pmc/blobs/59e9/11323994/52ae2392698e/iovs-65-10-21-f005.jpg
https://cdn.ncbi.nlm.nih.gov/pmc/blobs/59e9/11323994/551ccd81df9f/iovs-65-10-21-f006.jpg
https://cdn.ncbi.nlm.nih.gov/pmc/blobs/59e9/11323994/205dd29aae60/iovs-65-10-21-f007.jpg
https://cdn.ncbi.nlm.nih.gov/pmc/blobs/59e9/11323994/58b2003aa41b/iovs-65-10-21-f001.jpg
https://cdn.ncbi.nlm.nih.gov/pmc/blobs/59e9/11323994/78956bb2b32b/iovs-65-10-21-f002.jpg
https://cdn.ncbi.nlm.nih.gov/pmc/blobs/59e9/11323994/569d8129c5fb/iovs-65-10-21-f003.jpg
https://cdn.ncbi.nlm.nih.gov/pmc/blobs/59e9/11323994/479831565360/iovs-65-10-21-f004.jpg
https://cdn.ncbi.nlm.nih.gov/pmc/blobs/59e9/11323994/52ae2392698e/iovs-65-10-21-f005.jpg
https://cdn.ncbi.nlm.nih.gov/pmc/blobs/59e9/11323994/551ccd81df9f/iovs-65-10-21-f006.jpg
https://cdn.ncbi.nlm.nih.gov/pmc/blobs/59e9/11323994/205dd29aae60/iovs-65-10-21-f007.jpg

相似文献

1
Choroidal Changes During and After Discontinuing Long-Term 0.01% Atropine Treatment for Myopia Control.停戴长期 0.01%阿托品治疗近视控制后的脉络膜变化。
Invest Ophthalmol Vis Sci. 2024 Aug 1;65(10):21. doi: 10.1167/iovs.65.10.21.
2
Two-Year Clinical Trial of the Low-Concentration Atropine for Myopia Progression (LAMP) Study: Phase 2 Report.《低浓度阿托品治疗近视进展的两年临床研究(LAMP):第二阶段报告》。
Ophthalmology. 2020 Jul;127(7):910-919. doi: 10.1016/j.ophtha.2019.12.011. Epub 2019 Dec 21.
3
Differential impact of combined therapy and monotherapy with 0.05% atropine eyedrops and dual focus contact lenses on choroid.0.05%阿托品滴眼液联合疗法和单一疗法以及双焦点隐形眼镜对脉络膜的不同影响。
Cont Lens Anterior Eye. 2025 Feb;48(1):102320. doi: 10.1016/j.clae.2024.102320. Epub 2024 Oct 28.
4
Efficacy and Safety of Different Atropine Regimens for the Treatment of Myopia in Children: Three-Year Results of the MOSAIC Randomized Clinical Trial.不同阿托品治疗方案对儿童近视的疗效和安全性:MOSAIC随机临床试验的三年结果
JAMA Ophthalmol. 2025 Feb 1;143(2):134-144. doi: 10.1001/jamaophthalmol.2024.5703.
5
Low-dose (0.01%) atropine eye-drops to reduce progression of myopia in children: a multicentre placebo-controlled randomised trial in the UK (CHAMP-UK)-study protocol.低浓度(0.01%)阿托品滴眼液减缓儿童近视进展的多中心安慰剂对照随机临床试验(英国 CHAMP-UK 研究)方案
Br J Ophthalmol. 2020 Jul;104(7):950-955. doi: 10.1136/bjophthalmol-2019-314819. Epub 2019 Oct 25.
6
Five-Year Clinical Trial of the Low-Concentration Atropine for Myopia Progression (LAMP) Study: Phase 4 Report.《低浓度阿托品治疗近视进展五年临床试验(LAMP)研究:第四阶段报告》。
Ophthalmology. 2024 Sep;131(9):1011-1020. doi: 10.1016/j.ophtha.2024.03.013. Epub 2024 Mar 16.
7
0.01% Atropine Eye Drops in Children With Myopia and Intermittent Exotropia: The AMIXT Randomized Clinical Trial.0.01% 阿托品滴眼液治疗近视合并间歇性外斜视儿童:AMIXT 随机临床试验。
JAMA Ophthalmol. 2024 Aug 1;142(8):722-730. doi: 10.1001/jamaophthalmol.2024.2295.
8
Safety and Efficacy of Low-Dose Atropine Eyedrops for the Treatment of Myopia Progression in Chinese Children: A Randomized Clinical Trial.低浓度阿托品滴眼液治疗中国儿童近视进展的安全性和有效性:一项随机临床试验。
JAMA Ophthalmol. 2020 Nov 1;138(11):1178-1184. doi: 10.1001/jamaophthalmol.2020.3820.
9
Three-Year Clinical Trial of Low-Concentration Atropine for Myopia Progression (LAMP) Study: Continued Versus Washout: Phase 3 Report.三年期低浓度阿托品治疗近视进展临床试验(LAMP):延续与停药阶段:第三阶段报告。
Ophthalmology. 2022 Mar;129(3):308-321. doi: 10.1016/j.ophtha.2021.10.002. Epub 2021 Oct 7.
10
Additive effect of atropine eye drops and short-term retinal defocus on choroidal thickness in children with myopia.阿托品滴眼液和短期视网膜离焦对近视儿童脉络膜厚度的叠加效应。
Sci Rep. 2020 Oct 27;10(1):18310. doi: 10.1038/s41598-020-75342-9.

引用本文的文献

1
Effects of repeated low-level red light therapy on myopia progression in children: a systematic review and meta-analysis.重复低强度红光疗法对儿童近视进展的影响:一项系统评价和荟萃分析。
Front Med (Lausanne). 2025 Aug 13;12:1640403. doi: 10.3389/fmed.2025.1640403. eCollection 2025.
2
Effects of orthokeratology lenses on choroidal thickness and choriocapillaris perfusion in myopic children.角膜塑形镜对近视儿童脉络膜厚度和脉络膜毛细血管灌注的影响。
Front Med (Lausanne). 2025 Aug 5;12:1620042. doi: 10.3389/fmed.2025.1620042. eCollection 2025.
3
IMI-Instrumentation for Myopia Management.

本文引用的文献

1
Myopia progression following 0.01% atropine cessation in Australian children: Findings from the Western Australia - Atropine for the Treatment of Myopia (WA-ATOM) study.澳大利亚儿童停止使用 0.01%阿托品后近视进展情况:西澳大利亚州-阿托品治疗近视(WA-ATOM)研究结果。
Clin Exp Ophthalmol. 2024 Jul;52(5):507-515. doi: 10.1111/ceo.14368. Epub 2024 Feb 23.
2
Defocus incorporated multiple segments (DIMS) spectacle lenses increase the choroidal thickness: a two-year randomized clinical trial.离焦多区域(DIMS)眼镜片可增加脉络膜厚度:一项为期两年的随机临床试验。
Eye Vis (Lond). 2023 Sep 15;10(1):39. doi: 10.1186/s40662-023-00356-z.
3
IMI-近视管理仪器
Invest Ophthalmol Vis Sci. 2025 Jul 1;66(9):7. doi: 10.1167/iovs.66.9.7.
4
Value of adding 0.01% atropine with orthokeratology for myopia in children: an updated meta-analysis of randomized controlled trials.0.01%阿托品联合角膜塑形术治疗儿童近视的价值:随机对照试验的最新荟萃分析
Front Pediatr. 2025 Jun 3;13:1571790. doi: 10.3389/fped.2025.1571790. eCollection 2025.
5
Deep learning-based segmentation of OCT images for choroidal thickness.基于深度学习的光学相干断层扫描(OCT)图像脉络膜厚度分割
J Optom. 2025 Apr-Jun;18(2):100556. doi: 10.1016/j.optom.2025.100556. Epub 2025 May 5.
Potential Choroidal Mechanisms Underlying Atropine's Antimyopic and Rebound Effects: A Mediation Analysis in a Randomized Clinical Trial.
潜在的阿托品性近视和反弹效应的脉络膜机制:一项随机临床试验的中介分析。
Invest Ophthalmol Vis Sci. 2023 Apr 3;64(4):13. doi: 10.1167/iovs.64.4.13.
4
Effect of spectacle lenses with aspherical lenslets on choroidal thickness in myopic children: a 2-year randomised clinical trial.具有非球面小透镜的眼镜镜片对近视儿童脉络膜厚度的影响:一项 2 年随机临床试验。
Br J Ophthalmol. 2023 Nov 22;107(12):1806-1811. doi: 10.1136/bjo-2022-321815.
5
Low-concentration atropine eyedrops for myopia control in a multi-racial cohort of Australian children: A randomised clinical trial.低浓度阿托品滴眼液控制澳大利亚多民族儿童近视的随机临床试验
Clin Exp Ophthalmol. 2022 Dec;50(9):1001-1012. doi: 10.1111/ceo.14148. Epub 2022 Sep 9.
6
Choroidal Thickening During Young Adulthood and Baseline Choroidal Thickness Predicts Refractive Error Change.年轻成年期脉络膜增厚及基线脉络膜厚度可预测屈光不正变化。
Invest Ophthalmol Vis Sci. 2022 May 2;63(5):34. doi: 10.1167/iovs.63.5.34.
7
Application of Deep Learning Methods for Binarization of the Choroid in Optical Coherence Tomography Images.深度学习方法在光学相干断层扫描图像脉络膜二值化中的应用。
Transl Vis Sci Technol. 2022 Feb 1;11(2):23. doi: 10.1167/tvst.11.2.23.
8
Two-year longitudinal change in choroidal and retinal thickness in school-aged myopic children: exploratory analysis of clinical trials for myopia progression.学龄期近视儿童脉络膜和视网膜厚度的两年纵向变化:近视进展临床试验的探索性分析
Eye Vis (Lond). 2022 Feb 1;9(1):5. doi: 10.1186/s40662-022-00276-4.
9
The Association of Choroidal Thickening by Atropine With Treatment Effects for Myopia: Two-Year Clinical Trial of the Low-concentration Atropine for Myopia Progression (LAMP) Study.阿托品引起的脉络膜增厚与近视治疗效果的关联:低浓度阿托品治疗近视进展(LAMP)研究的两年临床试验
Am J Ophthalmol. 2022 May;237:130-138. doi: 10.1016/j.ajo.2021.12.014. Epub 2021 Dec 21.
10
Three-Year Clinical Trial of Low-Concentration Atropine for Myopia Progression (LAMP) Study: Continued Versus Washout: Phase 3 Report.三年期低浓度阿托品治疗近视进展临床试验(LAMP):延续与停药阶段:第三阶段报告。
Ophthalmology. 2022 Mar;129(3):308-321. doi: 10.1016/j.ophtha.2021.10.002. Epub 2021 Oct 7.