• 文献检索
  • 文档翻译
  • 深度研究
  • 学术资讯
  • Suppr Zotero 插件Zotero 插件
  • 邀请有礼
  • 套餐&价格
  • 历史记录
应用&插件
Suppr Zotero 插件Zotero 插件浏览器插件Mac 客户端Windows 客户端微信小程序
定价
高级版会员购买积分包购买API积分包
服务
文献检索文档翻译深度研究API 文档MCP 服务
关于我们
关于 Suppr公司介绍联系我们用户协议隐私条款
关注我们

Suppr 超能文献

核心技术专利:CN118964589B侵权必究
粤ICP备2023148730 号-1Suppr @ 2026

文献检索

告别复杂PubMed语法,用中文像聊天一样搜索,搜遍4000万医学文献。AI智能推荐,让科研检索更轻松。

立即免费搜索

文件翻译

保留排版,准确专业,支持PDF/Word/PPT等文件格式,支持 12+语言互译。

免费翻译文档

深度研究

AI帮你快速写综述,25分钟生成高质量综述,智能提取关键信息,辅助科研写作。

立即免费体验

USP22 稳定的 COL17A1 促进肺腺癌进展。

The Deubiquitinase USP22-Stabilized COL17A1 Promotes Lung Adenocarcinoma Progression.

机构信息

Department of General Medicine, Jiujiang City Key Laboratory of Cell Therapy, Jiujiang NO.1 People's Hospital, Jiujiang, China.

Department of Jiulong Community Health Service Centre, Jiujiang City Key Laboratory of Cell Therapy, Jiujiang NO.1 People's Hospital, Jiujiang, China.

出版信息

Clin Respir J. 2024 Aug;18(8):e13824. doi: 10.1111/crj.13824.

DOI:10.1111/crj.13824
PMID:39143031
原文链接:https://pmc.ncbi.nlm.nih.gov/articles/PMC11324370/
Abstract

BACKGROUND

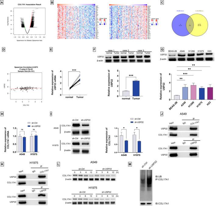
Lung adenocarcinoma (LUAD) is a highly aggressive and rapidly fatal malignancy worldwide. Collagen XVII (COL17A1) has been implicated in various protumorigenic processes. However, the functions and mechanisms of COL17A1 in LUAD progression still remain elusive.

METHODS

COL17A1 and ubiquitin-specific protease 22 (USP22) mRNA analysis was performed by quantitative PCR, and their protein levels were detected by immunoblotting and immunohistochemistry. The functional influence was evaluated by determining cell viability, proliferation, apoptosis, invasion, migration, and ferroptosis in vitro, as well as xenograft growth in vivo. Co-immunoprecipitation (Co-IP) and IP experiments were used to examine the USP22/COL17A1 interaction and COL17A1 deubiquitination. Cycloheximide treatment was used to analyze COL17A1 protein stability.

RESULTS

COL17A1 and USP22 were upregulated in human LUAD tissues and cell lines. Functionally, COL17A1 knockdown acted for the suppression of LUAD cell growth, invasion, and migration as well as promotion of cell apoptosis and ferroptosis in vitro. COL17A1 knockdown could diminish the tumorigenicity of LUAD cells in vivo. Mechanistically, USP22 stabilized and upregulated COL17A1 by enhancing the deubiquitination of COL17A1. Additionally, reexpression of COL17A1 could reverse USP22 silencing-induced phenotype changes of LUAD cells in vitro.

CONCLUSION

Our findings demonstrate that USP22-stabilized COL17A1 possesses oncogenic activity in LUAD. We propose that USP22 and COL17A1 would be potential targets for the establishment of therapeutic approaches against LUAD.

摘要

背景

肺腺癌(LUAD)是一种在全球范围内具有高度侵袭性和快速致命性的恶性肿瘤。COL17A1(XVII 型胶原)已被牵涉到各种促进肿瘤发生的过程中。然而,COL17A1 在 LUAD 进展中的功能和机制仍不清楚。

方法

通过定量 PCR 分析 COL17A1 和泛素特异性蛋白酶 22(USP22)的 mRNA 水平,并通过免疫印迹和免疫组织化学检测其蛋白水平。通过测定体外细胞活力、增殖、凋亡、侵袭、迁移和铁死亡,以及体内异种移植生长,评估功能影响。使用共免疫沉淀(Co-IP)和免疫沉淀(IP)实验来检测 USP22/COL17A1 相互作用和 COL17A1 的去泛素化。使用环己酰亚胺处理来分析 COL17A1 蛋白稳定性。

结果

COL17A1 和 USP22 在人 LUAD 组织和细胞系中上调。功能上,COL17A1 敲低可抑制 LUAD 细胞生长、侵袭和迁移,并促进体外细胞凋亡和铁死亡。COL17A1 敲低可减少 LUAD 细胞在体内的致瘤性。机制上,USP22 通过增强 COL17A1 的去泛素化来稳定和上调 COL17A1。此外,COL17A1 的再表达可逆转 USP22 沉默诱导的 LUAD 细胞体外表型变化。

结论

我们的研究结果表明,USP22 稳定的 COL17A1 在 LUAD 中具有致癌活性。我们提出 USP22 和 COL17A1 可能是针对 LUAD 建立治疗方法的潜在靶点。

https://cdn.ncbi.nlm.nih.gov/pmc/blobs/9d8b/11324370/8de629064dc1/CRJ-18-e13824-g003.jpg
https://cdn.ncbi.nlm.nih.gov/pmc/blobs/9d8b/11324370/3dec23fcf2e6/CRJ-18-e13824-g001.jpg
https://cdn.ncbi.nlm.nih.gov/pmc/blobs/9d8b/11324370/0ee8d8ec4f2b/CRJ-18-e13824-g004.jpg
https://cdn.ncbi.nlm.nih.gov/pmc/blobs/9d8b/11324370/4e35f4cebab3/CRJ-18-e13824-g005.jpg
https://cdn.ncbi.nlm.nih.gov/pmc/blobs/9d8b/11324370/914d1752d1d1/CRJ-18-e13824-g007.jpg
https://cdn.ncbi.nlm.nih.gov/pmc/blobs/9d8b/11324370/dbce90b9383a/CRJ-18-e13824-g006.jpg
https://cdn.ncbi.nlm.nih.gov/pmc/blobs/9d8b/11324370/8de629064dc1/CRJ-18-e13824-g003.jpg
https://cdn.ncbi.nlm.nih.gov/pmc/blobs/9d8b/11324370/3dec23fcf2e6/CRJ-18-e13824-g001.jpg
https://cdn.ncbi.nlm.nih.gov/pmc/blobs/9d8b/11324370/0ee8d8ec4f2b/CRJ-18-e13824-g004.jpg
https://cdn.ncbi.nlm.nih.gov/pmc/blobs/9d8b/11324370/4e35f4cebab3/CRJ-18-e13824-g005.jpg
https://cdn.ncbi.nlm.nih.gov/pmc/blobs/9d8b/11324370/914d1752d1d1/CRJ-18-e13824-g007.jpg
https://cdn.ncbi.nlm.nih.gov/pmc/blobs/9d8b/11324370/dbce90b9383a/CRJ-18-e13824-g006.jpg
https://cdn.ncbi.nlm.nih.gov/pmc/blobs/9d8b/11324370/8de629064dc1/CRJ-18-e13824-g003.jpg

相似文献

1
The Deubiquitinase USP22-Stabilized COL17A1 Promotes Lung Adenocarcinoma Progression.USP22 稳定的 COL17A1 促进肺腺癌进展。
Clin Respir J. 2024 Aug;18(8):e13824. doi: 10.1111/crj.13824.
2
Upregulation of LINC01426 promotes the progression and stemness in lung adenocarcinoma by enhancing the level of SHH protein to activate the hedgehog pathway.上调 LINC01426 通过增强 SHH 蛋白水平激活 Hedgehog 通路促进肺腺癌的进展和干性。
Cell Death Dis. 2021 Feb 10;12(2):173. doi: 10.1038/s41419-021-03435-y.
3
Ubiquitin-Specific Protease 22 Plays a Key Role in Increasing Extracellular Vesicle Secretion and Regulating Cell Motility of Lung Adenocarcinoma.泛素特异性蛋白酶 22 在增加肺腺癌细胞外囊泡分泌和调节细胞迁移中发挥关键作用。
Adv Sci (Weinh). 2024 Oct;11(38):e2405731. doi: 10.1002/advs.202405731. Epub 2024 Aug 5.
4
USP22 promotes development of lung adenocarcinoma through ubiquitination and immunosuppression.USP22通过泛素化和免疫抑制促进肺腺癌的发展。
Aging (Albany NY). 2020 Apr 15;12(8):6990-7005. doi: 10.18632/aging.103056.
5
UBE2T promotes stage I lung adenocarcinoma progression through PBX1 ubiquitination and PBX1/RORA regulation.UBE2T 通过泛素化 PBX1 和 PBX1/RORA 调控促进 I 期肺腺癌进展。
BMC Cancer. 2024 Sep 18;24(1):1158. doi: 10.1186/s12885-024-12887-2.
6
Actin-like protein 8 promotes cell proliferation, colony-formation, proangiogenesis, migration and invasion in lung adenocarcinoma cells.肌动蛋白样蛋白 8 促进肺腺癌细胞的增殖、集落形成、促血管生成、迁移和侵袭。
Thorac Cancer. 2020 Mar;11(3):526-536. doi: 10.1111/1759-7714.13247. Epub 2020 Jan 21.
7
Operative ubiquitin-specific protease 22 deubiquitination confers a more invasive phenotype to cholangiocarcinoma.手术泛素特异性蛋白酶 22 去泛素化赋予胆管癌更具侵袭性的表型。
Cell Death Dis. 2021 Jul 5;12(7):678. doi: 10.1038/s41419-021-03940-0.
8
The deubiquitinating protein OTUD6B promotes lung adenocarcinoma progression by stabilizing RIPK1.去泛素化蛋白 OTUD6B 通过稳定 RIPK1 促进肺腺癌进展。
Biol Direct. 2024 Jun 16;19(1):46. doi: 10.1186/s13062-024-00489-8.
9
LncRNA CARD8-AS1 suppresses lung adenocarcinoma progression by enhancing TRIM25-mediated ubiquitination of TXNRD1.长链非编码 RNA CARD8-AS1 通过增强 TRIM25 介导的 TXNRD1 泛素化来抑制肺腺癌的进展。
Carcinogenesis. 2024 May 19;45(5):311-323. doi: 10.1093/carcin/bgad097.
10
ADAM9 deubiquitination induced by USP22 suppresses proliferation, migration, invasion, and epithelial-mesenchymal transition of trophoblast cells in preeclampsia.USP22 诱导的 ADAM9 去泛素化抑制子痫前期滋养细胞的增殖、迁移、侵袭和上皮间质转化。
Placenta. 2024 Feb;146:50-57. doi: 10.1016/j.placenta.2023.12.008. Epub 2023 Dec 11.

引用本文的文献

1
Bioinformatic analysis of the role of USP22 expression in hepatocellular carcinoma.USP22表达在肝细胞癌中作用的生物信息学分析
Int J Clin Exp Pathol. 2025 Jul 15;18(7):287-301. doi: 10.62347/FXIN5300. eCollection 2025.
2
Deubiquitinase USP18 mediates cell migration, apoptosis and ferroptosis in lung adenocarcinoma by depending on POU4F1/PRKAA2 axis.去泛素化酶USP18通过依赖POU4F1/PRKAA2轴介导肺腺癌中的细胞迁移、凋亡和铁死亡。
BMC Cancer. 2025 Mar 23;25(1):528. doi: 10.1186/s12885-025-13869-8.
3
Elevated Expression of Cell Adhesion, Metabolic, and Mucus Secretion Gene Clusters Associated with Tumorigenesis, Metastasis, and Poor Survival in Pancreatic Ductal Adenocarcinoma.

本文引用的文献

1
Collagen XVII promotes dormancy of colorectal cancer cells by activating mTORC2 signaling.XVII 型胶原蛋白通过激活 mTORC2 信号促进结直肠癌细胞休眠。
Cell Signal. 2024 Aug;120:111234. doi: 10.1016/j.cellsig.2024.111234. Epub 2024 May 23.
2
NEIL1 drives the initiation of colorectal cancer through transcriptional regulation of COL17A1.NEIL1 通过转录调控 COL17A1 驱动结直肠癌的发生。
Cell Rep. 2024 Jan 23;43(1):113654. doi: 10.1016/j.celrep.2023.113654. Epub 2024 Jan 3.
3
USP7 promotes non-small-cell lung cancer cell glycolysis and survival by stabilizing and activating c-Abl.
与胰腺导管腺癌的肿瘤发生、转移及不良预后相关的细胞黏附、代谢和黏液分泌基因簇的表达升高。
Cancers (Basel). 2024 Dec 3;16(23):4049. doi: 10.3390/cancers16234049.
USP7 通过稳定和激活 c-Abl 促进非小细胞肺癌细胞的糖酵解和存活。
Clin Transl Med. 2023 Dec;13(12):e1509. doi: 10.1002/ctm2.1509.
4
Regulation of Ferroptosis in Lung Adenocarcinoma.肺腺癌中铁死亡的调控
Int J Mol Sci. 2023 Sep 27;24(19):14614. doi: 10.3390/ijms241914614.
5
The roles of protein ubiquitination in tumorigenesis and targeted drug discovery in lung cancer.蛋白质泛素化在肿瘤发生中的作用及其在肺癌靶向药物发现中的应用。
Front Endocrinol (Lausanne). 2023 Sep 19;14:1220108. doi: 10.3389/fendo.2023.1220108. eCollection 2023.
6
Ubiquitin-specific peptidase 5 facilitates cancer stem cell-like properties in lung cancer by deubiquitinating β-catenin.泛素特异性蛋白酶5通过去泛素化β-连环蛋白促进肺癌中癌症干细胞样特性。
Cancer Cell Int. 2023 Sep 19;23(1):207. doi: 10.1186/s12935-023-03059-6.
7
Collagen XVII regulates tumor growth in pancreatic cancer through interaction with the tumor microenvironment.XVII 型胶原通过与肿瘤微环境相互作用调控胰腺癌的肿瘤生长。
Cancer Sci. 2023 Nov;114(11):4286-4298. doi: 10.1111/cas.15952. Epub 2023 Sep 8.
8
Collagen architecture and signaling orchestrate cancer development.胶原蛋白结构和信号转导协调癌症的发展。
Trends Cancer. 2023 Sep;9(9):764-773. doi: 10.1016/j.trecan.2023.06.002. Epub 2023 Jul 1.
9
Identification of immune biomarkers associated with basement membranes in idiopathic pulmonary fibrosis and their pan-cancer analysis.特发性肺纤维化中与基底膜相关的免疫生物标志物的鉴定及其泛癌分析。
Front Genet. 2023 Mar 2;14:1114601. doi: 10.3389/fgene.2023.1114601. eCollection 2023.
10
METTL3 promotes chemoresistance in small cell lung cancer by inducing mitophagy.METTL3 通过诱导细胞自噬促进小细胞肺癌的化疗耐药性。
J Exp Clin Cancer Res. 2023 Mar 17;42(1):65. doi: 10.1186/s13046-023-02638-9.