• 文献检索
  • 文档翻译
  • 深度研究
  • 学术资讯
  • Suppr Zotero 插件Zotero 插件
  • 邀请有礼
  • 套餐&价格
  • 历史记录
应用&插件
Suppr Zotero 插件Zotero 插件浏览器插件Mac 客户端Windows 客户端微信小程序
定价
高级版会员购买积分包购买API积分包
服务
文献检索文档翻译深度研究API 文档MCP 服务
关于我们
关于 Suppr公司介绍联系我们用户协议隐私条款
关注我们

Suppr 超能文献

核心技术专利:CN118964589B侵权必究
粤ICP备2023148730 号-1Suppr @ 2026

文献检索

告别复杂PubMed语法,用中文像聊天一样搜索,搜遍4000万医学文献。AI智能推荐,让科研检索更轻松。

立即免费搜索

文件翻译

保留排版,准确专业,支持PDF/Word/PPT等文件格式,支持 12+语言互译。

免费翻译文档

深度研究

AI帮你快速写综述,25分钟生成高质量综述,智能提取关键信息,辅助科研写作。

立即免费体验

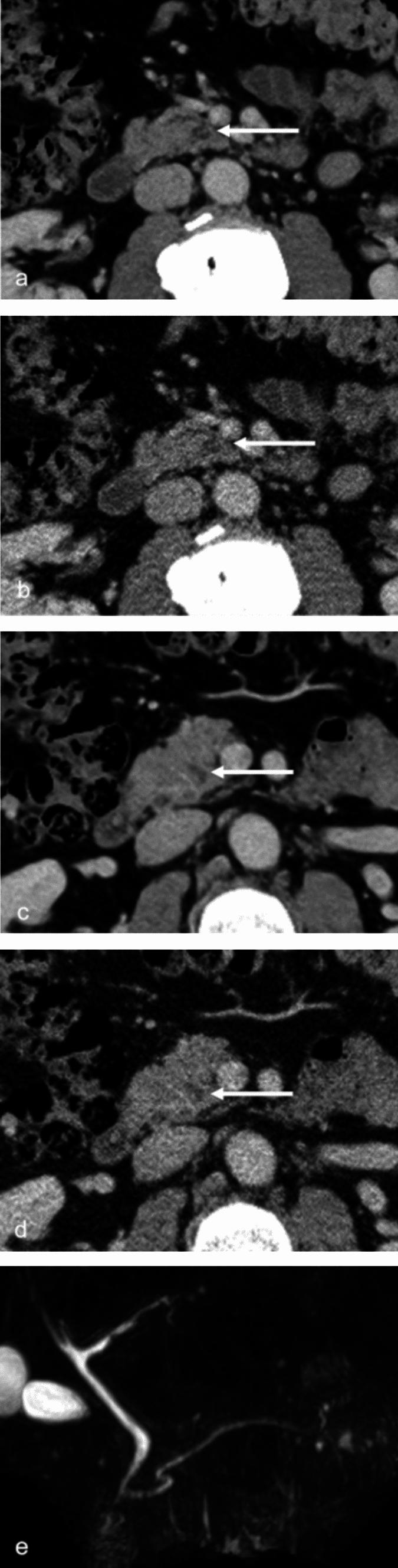
深度学习重建对 CT 评估胰腺囊性病变的影响。

Effect of deep learning reconstruction on the assessment of pancreatic cystic lesions using computed tomography.

机构信息

Department of Radiology, University of Tokyo Hospital, Bunkyo-ku, Tokyo, Japan.

出版信息

Radiol Phys Technol. 2024 Dec;17(4):827-833. doi: 10.1007/s12194-024-00834-6. Epub 2024 Aug 15.

DOI:10.1007/s12194-024-00834-6
PMID:39147953
原文链接:https://pmc.ncbi.nlm.nih.gov/articles/PMC11579065/
Abstract

This study aimed to compare the image quality and detection performance of pancreatic cystic lesions between computed tomography (CT) images reconstructed by deep learning reconstruction (DLR) and filtered back projection (FBP). This retrospective study included 54 patients (mean age: 67.7 ± 13.1) who underwent contrast-enhanced CT from May 2023 to August 2023. Among eligible patients, 30 and 24 were positive and negative for pancreatic cystic lesions, respectively. DLR and FBP were used to reconstruct portal venous phase images. Objective image quality analyses calculated quantitative image noise, signal-to-noise ratio (SNR), and contrast-to-noise ratio (CNR) using regions of interest on the abdominal aorta, pancreatic lesion, and pancreatic parenchyma. Three blinded radiologists performed subjective image quality assessment and lesion detection tests. Lesion depiction, normal structure illustration, subjective image noise, and overall image quality were utilized as subjective image quality indicators. DLR significantly reduced quantitative image noise compared with FBP (p < 0.001). SNR and CNR were significantly improved in DLR compared with FBP (p < 0.001). Three radiologists rated significantly higher scores for DLR in all subjective image quality indicators (p ≤ 0.029). Performance of DLR and FBP were comparable in lesion detection, with no statistically significant differences in the area under the receiver operating characteristic curve, sensitivity, specificity and accuracy. DLR reduced image noise and improved image quality with a clearer depiction of pancreatic structures. These improvements may have a positive effect on evaluating pancreatic cystic lesions, which can contribute to appropriate management of these lesions.

摘要

本研究旨在比较深度学习重建(DLR)和滤波反投影(FBP)重建的 CT 图像对胰腺囊性病变的图像质量和检出性能。本回顾性研究纳入 2023 年 5 月至 2023 年 8 月期间行增强 CT 检查的 54 例患者(平均年龄:67.7±13.1 岁)。在符合条件的患者中,胰腺囊性病变阳性和阴性患者分别为 30 例和 24 例。采用 DLR 和 FBP 对门静脉期图像进行重建。使用腹部主动脉、胰腺病变和胰腺实质的感兴趣区计算客观图像质量分析的定量图像噪声、信噪比(SNR)和对比噪声比(CNR)。三位盲法放射科医师进行主观图像质量评估和病变检出测试。病变描绘、正常结构显示、主观图像噪声和整体图像质量作为主观图像质量指标。与 FBP 相比,DLR 显著降低了定量图像噪声(p<0.001)。与 FBP 相比,DLR 显著提高了 SNR 和 CNR(p<0.001)。三位放射科医师在所有主观图像质量指标中均对 DLR 给予了更高的评分(p≤0.029)。DLR 和 FBP 在病变检出方面的性能相当,受试者工作特征曲线下面积、敏感性、特异性和准确性均无统计学差异。DLR 降低了图像噪声,提高了图像质量,使胰腺结构的显示更加清晰。这些改进可能对评估胰腺囊性病变产生积极影响,有助于对这些病变进行适当的管理。

https://cdn.ncbi.nlm.nih.gov/pmc/blobs/cf27/11579065/bd69e482ecf6/12194_2024_834_Fig2_HTML.jpg
https://cdn.ncbi.nlm.nih.gov/pmc/blobs/cf27/11579065/7ceafefe05f8/12194_2024_834_Fig1_HTML.jpg
https://cdn.ncbi.nlm.nih.gov/pmc/blobs/cf27/11579065/bd69e482ecf6/12194_2024_834_Fig2_HTML.jpg
https://cdn.ncbi.nlm.nih.gov/pmc/blobs/cf27/11579065/7ceafefe05f8/12194_2024_834_Fig1_HTML.jpg
https://cdn.ncbi.nlm.nih.gov/pmc/blobs/cf27/11579065/bd69e482ecf6/12194_2024_834_Fig2_HTML.jpg

相似文献

1
Effect of deep learning reconstruction on the assessment of pancreatic cystic lesions using computed tomography.深度学习重建对 CT 评估胰腺囊性病变的影响。
Radiol Phys Technol. 2024 Dec;17(4):827-833. doi: 10.1007/s12194-024-00834-6. Epub 2024 Aug 15.
2
Superior objective and subjective image quality of deep learning reconstruction for low-dose abdominal CT imaging in comparison with model-based iterative reconstruction and filtered back projection.与基于模型的迭代重建和滤波反投影相比,深度学习重建在低剂量腹部CT成像中具有更高的客观和主观图像质量。
Br J Radiol. 2021 Jul 1;94(1123):20201357. doi: 10.1259/bjr.20201357.
3
Image Quality and Lesion Detectability of Pancreatic Phase Thin-Slice Computed Tomography Images With a Deep Learning-Based Reconstruction Algorithm.基于深度学习重建算法的胰腺期薄层计算机断层扫描图像的图像质量与病变可检测性
J Comput Assist Tomogr. 2023;47(5):698-703. doi: 10.1097/RCT.0000000000001485. Epub 2023 Jul 22.
4
[Effect of Deep Learning-based Contrast-enhanced CT Image Reconstruction on the Image Quality of the Biliary System].基于深度学习的增强CT图像重建对胆道系统图像质量的影响
Zhongguo Yi Xue Ke Xue Yuan Xue Bao. 2022 Aug;44(4):614-620. doi: 10.3881/j.issn.1000-503X.14818.
5
The effect of deep learning reconstruction on abdominal CT densitometry and image quality: a systematic review and meta-analysis.深度学习重建对腹部 CT 密度测量和图像质量的影响:系统评价和荟萃分析。
Eur Radiol. 2022 May;32(5):2921-2929. doi: 10.1007/s00330-021-08438-z. Epub 2021 Dec 15.
6
Image quality comparison of lower extremity CTA between CT routine reconstruction algorithms and deep learning reconstruction.下肢 CTA 中常规重建算法与深度学习重建的图像质量比较。
BMC Med Imaging. 2023 Feb 19;23(1):33. doi: 10.1186/s12880-023-00988-6.
7
Improvement in Image Quality and Visibility of Coronary Arteries, Stents, and Valve Structures on CT Angiography by Deep Learning Reconstruction.深度学习重建技术提高 CT 血管成像中冠状动脉、支架和瓣膜结构的图像质量和可视性。
Korean J Radiol. 2022 Nov;23(11):1044-1054. doi: 10.3348/kjr.2022.0127. Epub 2022 Sep 29.
8
Deep learning imaging reconstruction of reduced-dose 40 keV virtual monoenergetic imaging for early detection of colorectal cancer liver metastases.深度学习成像重建 40keV 低剂量虚拟单能量成像,用于早期检测结直肠癌肝转移。
Eur J Radiol. 2023 Nov;168:111128. doi: 10.1016/j.ejrad.2023.111128. Epub 2023 Sep 29.
9
Low-contrast lesion detection in neck CT: a multireader study comparing deep learning, iterative, and filtered back projection reconstructions using realistic phantoms.颈部 CT 低对比病灶检测:使用真实体模比较深度学习、迭代和滤波反投影重建的多读者研究。
Eur Radiol Exp. 2024 Jul 24;8(1):84. doi: 10.1186/s41747-024-00486-6.
10
Image quality assessment of pediatric chest and abdomen CT by deep learning reconstruction.深度学习重建对小儿胸部和腹部 CT 图像质量的评估。
BMC Med Imaging. 2021 Oct 10;21(1):146. doi: 10.1186/s12880-021-00677-2.

引用本文的文献

1
Deep learning reconstruction enhances image quality in contrast-enhanced CT venography for deep vein thrombosis.深度学习重建可提高用于诊断深静脉血栓形成的对比增强CT静脉造影的图像质量。
Emerg Radiol. 2025 Jul 18. doi: 10.1007/s10140-025-02366-x.
2
Artificial intelligence (AI) and CT in abdominal imaging: image reconstruction and beyond.人工智能(AI)与腹部成像中的CT:图像重建及其他
Abdom Radiol (NY). 2025 Jun 16. doi: 10.1007/s00261-025-05031-6.

本文引用的文献

1
Detection of Vertebral Mass and Diagnosis of Spinal Cord Compression in Computed Tomography With Deep Learning Reconstruction: Comparison With Hybrid Iterative Reconstruction.深度学习重建在 CT 中的椎体肿块检测和脊髓压迫诊断:与混合迭代重建的比较。
Can Assoc Radiol J. 2024 May;75(2):351-358. doi: 10.1177/08465371231203508. Epub 2023 Oct 5.
2
Deep-learning CT reconstruction in clinical scans of the abdomen: a systematic review and meta-analysis.深度学习 CT 重建在腹部临床扫描中的应用:系统评价和荟萃分析。
Abdom Radiol (NY). 2023 Aug;48(8):2724-2756. doi: 10.1007/s00261-023-03966-2. Epub 2023 Jun 6.
3
Assessing the Effects of Deep Learning Reconstruction on Abdominal CT Without Arm Elevation.
评估不抬手臂的腹部 CT 深度学习重建的效果。
Can Assoc Radiol J. 2023 Nov;74(4):688-694. doi: 10.1177/08465371231169672. Epub 2023 Apr 11.
4
Improving detection performance of hepatocellular carcinoma and interobserver agreement for liver imaging reporting and data system on CT using deep learning reconstruction.利用深度学习重建提高肝细胞癌的检出性能和 CT 肝脏成像报告和数据系统的观察者间一致性。
Abdom Radiol (NY). 2023 Apr;48(4):1280-1289. doi: 10.1007/s00261-023-03834-z. Epub 2023 Feb 9.
5
Sensitivity of CT, MRI, and EUS-FNA/B in the preoperative workup of histologically proven left-sided pancreatic lesions.CT、MRI 和 EUS-FNA/B 在术前评估组织学证实的左侧胰腺病变中的敏感性。
Pancreatology. 2022 Jan;22(1):136-141. doi: 10.1016/j.pan.2021.11.008. Epub 2021 Nov 27.
6
Deep Learning-based CT Image Reconstruction: Initial Evaluation Targeting Hypovascular Hepatic Metastases.基于深度学习的CT图像重建:针对乏血供肝转移瘤的初步评估
Radiol Artif Intell. 2019 Oct 9;1(6):e180011. doi: 10.1148/ryai.2019180011. eCollection 2019 Nov.
7
Improvement of image quality at CT and MRI using deep learning.利用深度学习提高CT和MRI图像质量。
Jpn J Radiol. 2019 Jan;37(1):73-80. doi: 10.1007/s11604-018-0796-2. Epub 2018 Nov 29.
8
Deep Learning with Convolutional Neural Network for Differentiation of Liver Masses at Dynamic Contrast-enhanced CT: A Preliminary Study.基于卷积神经网络的深度学习在动态对比增强 CT 鉴别肝脏肿块中的初步研究。
Radiology. 2018 Mar;286(3):887-896. doi: 10.1148/radiol.2017170706. Epub 2017 Oct 23.
9
Diagnosis and management of cystic pancreatic lesions.胰腺囊性病变的诊断与处理。
AJR Am J Roentgenol. 2013 Feb;200(2):343-54. doi: 10.2214/AJR.12.8862.
10
Investigation of the freely available easy-to-use software 'EZR' for medical statistics.医学统计学中免费易用软件 EZR 的调查研究。
Bone Marrow Transplant. 2013 Mar;48(3):452-8. doi: 10.1038/bmt.2012.244. Epub 2012 Dec 3.