Suppr超能文献

下肢 CTA 中常规重建算法与深度学习重建的图像质量比较。

Image quality comparison of lower extremity CTA between CT routine reconstruction algorithms and deep learning reconstruction.

机构信息

Department of Radiology, State Key Laboratory of Complex Severe and Rare Disease, Peking Union Medical College Hospital, Chinese Academy of Medical Sciences and Peking Union Medical College, Bejing, 100730, China.

Department of Radiology, Beijing Sixth Hospital, Beijing, 100007, China.

出版信息

BMC Med Imaging. 2023 Feb 19;23(1):33. doi: 10.1186/s12880-023-00988-6.

Abstract

BACKGROUND

To evaluate the image quality of lower extremity computed tomography angiography (CTA) with deep learning-based reconstruction (DLR) compared to model-based iterative reconstruction (MBIR), hybrid-iterative reconstruction (HIR), and filtered back projection (FBP).

METHODS

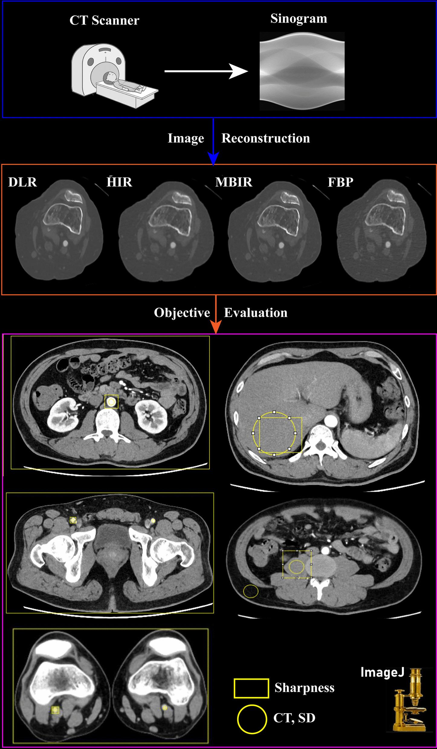
Fifty patients (38 males, average age 59.8 ± 19.2 years) who underwent lower extremity CTA between January and May 2021 were included. Images were reconstructed with DLR, MBIR, HIR, and FBP. The standard deviation (SD), contrast-to-noise ratio (CNR), signal-to-noise ratio (SNR), noise power spectrum (NPS) curves, and the blur effect, were calculated. The subjective image quality was independently evaluated by two radiologists. The diagnostic accuracy of DLR, MBIR, HIR, and FBP reconstruction algorithms was calculated.

RESULTS

The CNR and SNR were significantly higher in DLR images than in the other three reconstruction algorithms, and the SD was significantly lower in DLR images of the soft tissues. The noise magnitude was the lowest with DLR. The NPS average spatial frequency (f) values were higher using DLR than HIR. For blur effect evaluation, DLR and FBP were similar for soft tissues and the popliteal artery, which was better than HIR and worse than MBIR. In the aorta and femoral arteries, the blur effect of DLR was worse than MBIR and FBP and better than HIR. The subjective image quality score of DLR was the highest. The sensitivity and specificity of the lower extremity CTA with DLR were the highest in the four reconstruction algorithms with 98.4% and 97.2%, respectively.

CONCLUSIONS

Compared to the other three reconstruction algorithms, DLR showed better objective and subjective image quality. The blur effect of the DLR was better than that of the HIR. The diagnostic accuracy of lower extremity CTA with DLR was the best among the four reconstruction algorithms.

摘要

背景

为了评估基于深度学习的重建(DLR)与模型迭代重建(MBIR)、混合迭代重建(HIR)和滤波反投影(FBP)相比,对下肢 CT 血管造影(CTA)的图像质量的影响。

方法

2021 年 1 月至 5 月期间,共纳入 50 例(38 例男性,平均年龄 59.8±19.2 岁)下肢 CTA 患者。使用 DLR、MBIR、HIR 和 FBP 进行图像重建。计算图像的标准偏差(SD)、对比噪声比(CNR)、信噪比(SNR)、噪声功率谱(NPS)曲线和模糊效应,并由两位放射科医生进行主观图像质量评估。计算 DLR、MBIR、HIR 和 FBP 重建算法的诊断准确性。

结果

与其他三种重建算法相比,DLR 图像的 CNR 和 SNR 显著更高,软组织的 SD 显著更低。DLR 图像的噪声幅度最低。与 HIR 相比,DLR 的 NPS 平均空间频率(f)值更高。对于模糊效应评估,软组织和腘动脉的 DLR 和 FBP 相似,优于 HIR,劣于 MBIR。在主动脉和股动脉中,DLR 的模糊效应劣于 MBIR 和 FBP,优于 HIR。DLR 的主观图像质量评分最高。四种重建算法中,DLR 对下肢 CTA 的敏感性和特异性最高,分别为 98.4%和 97.2%。

结论

与其他三种重建算法相比,DLR 显示出更好的客观和主观图像质量。DLR 的模糊效应优于 HIR。基于深度学习的重建对下肢 CTA 的诊断准确性是四种重建算法中最好的。

https://cdn.ncbi.nlm.nih.gov/pmc/blobs/8abe/9940378/1393d5786594/12880_2023_988_Fig1_HTML.jpg

文献AI研究员

20分钟写一篇综述,助力文献阅读效率提升50倍。

立即体验

用中文搜PubMed

大模型驱动的PubMed中文搜索引擎

马上搜索

文档翻译

学术文献翻译模型,支持多种主流文档格式。

立即体验