Suppr超能文献

CCR3基因敲低通过减轻小胶质细胞介导的神经炎症来减轻长时间水下作业引起的认知障碍。

CCR3 knockdown attenuates prolonged underwater operations-induced cognitive impairment via alleviating microglia-mediated neuroinflammation.

作者信息

Zhao Houyu, Liang Kun, Yu Zeyuan, Wen Yukun, Yu Xuhua, Xin Jiayun, Zhang Tingting, Zu Xianpeng, Fang Yiqun

机构信息

National Key Laboratory of Immunity and Inflammation, Department of Diving and Hyperbaric Medicine, Navy Special Medical Center, Naval Medical University, Shanghai 200433, China.

School of Health Science and Engineering, University of Shanghai for Science and Technology, Shanghai 200433, China.

出版信息

iScience. 2024 Jul 9;27(8):110379. doi: 10.1016/j.isci.2024.110379. eCollection 2024 Aug 16.

Abstract

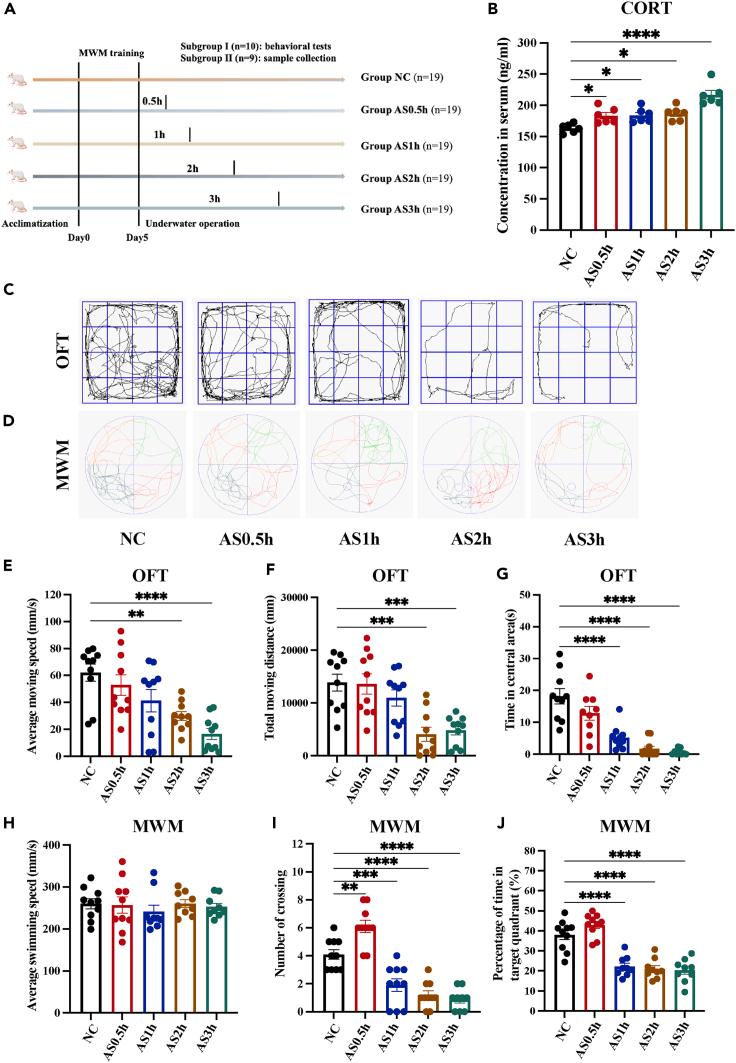
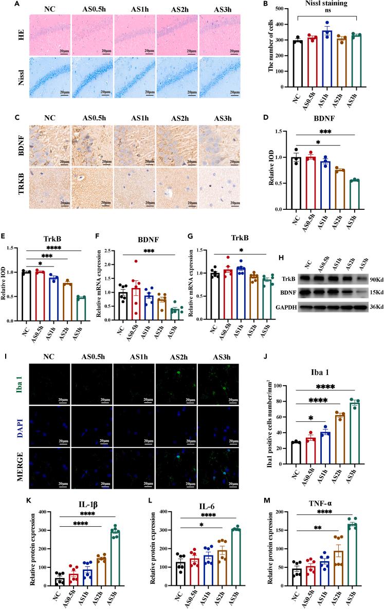
Maintaining cognitive integrity is crucial during underwater operations, which can significantly impact work performance and risk severe accidents. However, the cognitive effects of underwater operations and their underlying mechanism remain elusive, posing great challenges to the medical protection of professionals concerned. Here, we found that a single underwater operation session affects cognition in a time-dependent model. Prolonged exposure elicits significant cognitive impairment and hippocampal dysfunction, accompanied by increased neuroinflammation. Furthermore, RNA sequencing (RNA-seq) analysis revealed the involvement of neuroinflammation and highlighted the critical role of CCR3. Knockdown of CCR3 significantly rescued cognitive impairment and hippocampal dysfunction and reversed the upregulation of pro-inflammatory cytokines, by switching the activated microglia from a pro-inflammatory to a neuroprotective phenotype. Taken together, these results highlighted the time-dependent effects of a single underwater operation session on cognitive function. Knocking down CCR3 can attenuate neuroinflammation by regulating polarization of activated microglia, thereby alleviating prolonged underwater operations-induced cognitive impairment.

摘要

在水下作业期间保持认知完整性至关重要,这会显著影响工作表现并引发严重事故风险。然而,水下作业的认知效应及其潜在机制仍不清楚,给相关专业人员的医学防护带来巨大挑战。在此,我们发现单次水下作业会以时间依赖模式影响认知。长时间暴露会引发显著的认知障碍和海马功能障碍,并伴有神经炎症增加。此外,RNA测序(RNA-seq)分析揭示了神经炎症的参与,并突出了CCR3的关键作用。敲低CCR3可通过将活化的小胶质细胞从促炎表型转变为神经保护表型,显著挽救认知障碍和海马功能障碍,并逆转促炎细胞因子的上调。综上所述,这些结果突出了单次水下作业对认知功能的时间依赖性影响。敲低CCR3可通过调节活化小胶质细胞的极化来减轻神经炎症,从而减轻长时间水下作业引起的认知障碍。

https://cdn.ncbi.nlm.nih.gov/pmc/blobs/b150/11326909/27dcf3376ffa/fx1.jpg

文献检索

告别复杂PubMed语法,用中文像聊天一样搜索,搜遍4000万医学文献。AI智能推荐,让科研检索更轻松。

立即免费搜索

文件翻译

保留排版,准确专业,支持PDF/Word/PPT等文件格式,支持 12+语言互译。

免费翻译文档

深度研究

AI帮你快速写综述,25分钟生成高质量综述,智能提取关键信息,辅助科研写作。

立即免费体验