Suppr超能文献

未分化多形性心脏肉瘤的早期表现。

Early presentation of undifferentiated pleomorphic cardiac sarcoma.

作者信息

Alizadehasl Azin, Hakimian Hoda, Dokhani Negar, Pouraliakbar Hamidreza, Firoozbakhsh Parisa

机构信息

Cardio-Oncology Research Center, Rajaie Cardiovascular Medical and Research Center, Iran University of Medical Sciences, Tehran, Iran.

Rajaie Cardiovascular Medical and Research Center, Iran University of Medical Sciences, Tehran, Iran.

出版信息

Radiol Case Rep. 2024 Jul 26;19(10):4308-4311. doi: 10.1016/j.radcr.2024.06.088. eCollection 2024 Oct.

Abstract

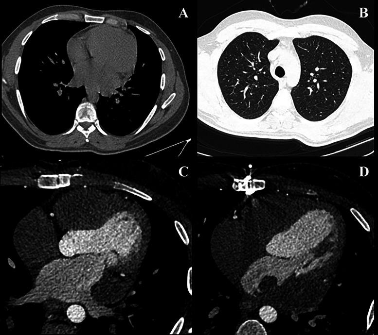
Undifferentiated pleomorphic cardiac sarcomas are extremely rare, highly malignant mesenchymal cardiac neoplasms typically presenting in the sixth decade of life. Here, we have reported a rare case of undifferentiated pleomorphic cardiac sarcoma presenting with dyspnea in a young male. On further evaluations, a large, ill-defined, multilobulated mass was observed in left atrium (LA) with encasement of left circumflex artery, attachment to mitral valve annulus, and invasion through LA wall and pericardium.

摘要

未分化多形性心脏肉瘤极为罕见,是一种高度恶性的间质性心脏肿瘤,通常在60岁左右出现。在此,我们报告了一例罕见的未分化多形性心脏肉瘤,该病例为一名年轻男性,表现为呼吸困难。进一步评估发现,左心房(LA)有一个大的、边界不清的多叶状肿块,包绕左旋支动脉,附着于二尖瓣环,并侵及左心房壁和心包。

https://cdn.ncbi.nlm.nih.gov/pmc/blobs/0b0a/11331714/06ea01c5e714/gr1.jpg

文献检索

告别复杂PubMed语法,用中文像聊天一样搜索,搜遍4000万医学文献。AI智能推荐,让科研检索更轻松。

立即免费搜索

文件翻译

保留排版,准确专业,支持PDF/Word/PPT等文件格式,支持 12+语言互译。

免费翻译文档

深度研究

AI帮你快速写综述,25分钟生成高质量综述,智能提取关键信息,辅助科研写作。

立即免费体验