Suppr超能文献

[非经静脉植入式心律转复除颤器系统植入的实用指南]

[Practical guidance for the implantation of non-transvenous ICD systems].

作者信息

Duncker David, Albert Karolin, Rillig Andreas, Sommer Philipp, Heeger Christian-Hendrik, Gunawardene Melanie, Rolf Sascha, Jansen Henning, Estner Heidi, Althoff Till, Maurer Tilman, Tilz Roland, Iden Leon, Johnson Victoria, Steven Daniel

机构信息

Hannover Herzrhythmus Centrum, Klinik für Kardiologie und Angiologie, Medizinische Hochschule Hannover, Carl-Neuberg-Str. 1, 30625, Hannover, Deutschland.

Universitäres Herzzentrum Hamburg, Universitätsklinikum Eppendorf Hamburg, Hamburg, Deutschland.

出版信息

Herzschrittmacherther Elektrophysiol. 2024 Sep;35(3):226-233. doi: 10.1007/s00399-024-01042-w. Epub 2024 Aug 21.

Abstract

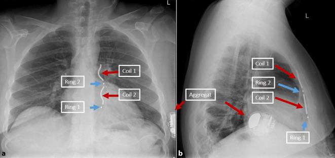
As an alternative to transvenous ICD systems, two non-transvenous ICD systems have been established in recent years: The subcutaneous ICD (S-ICD), which has been established for several years, has a presternal electrode that is implanted subcutaneously and offers a shock function and, to a limited extent, post-shock pacing. In addition, the extravascular ICD (EV-ICD) has been available in Europe since 2023 which does not require transvenous electrodes and offers the option of providing patients with antibradycardic and antitachycardic stimulation in combination with a conventional ICD function. The lead of this device is implanted substernally. Initial implantation results are promising in terms of safety and effectiveness. Both systems avoid possible complications of transvenous electrodes. This article provides practical guidance for the implantation technique and possible complications.

摘要

作为经静脉植入式心律转复除颤器(ICD)系统的替代方案,近年来已建立了两种非经静脉ICD系统:皮下ICD(S-ICD)已应用数年,其具有一个皮下植入的胸骨前电极,具备除颤功能,并在一定程度上具备电击后起搏功能。此外,血管外ICD(EV-ICD)自2023年起在欧洲上市,它不需要经静脉电极,并提供了结合传统ICD功能为患者提供抗心动过缓和抗心动过速刺激的选项。该设备的导线植入胸骨后。就安全性和有效性而言,初始植入结果很有前景。两种系统都避免了经静脉电极可能出现的并发症。本文为植入技术和可能出现的并发症提供了实用指南。

https://cdn.ncbi.nlm.nih.gov/pmc/blobs/c4b2/11347474/4e6236ecaf9b/399_2024_1042_Fig1_HTML.jpg

文献检索

告别复杂PubMed语法,用中文像聊天一样搜索,搜遍4000万医学文献。AI智能推荐,让科研检索更轻松。

立即免费搜索

文件翻译

保留排版,准确专业,支持PDF/Word/PPT等文件格式,支持 12+语言互译。

免费翻译文档

深度研究

AI帮你快速写综述,25分钟生成高质量综述,智能提取关键信息,辅助科研写作。

立即免费体验