• 文献检索
  • 文档翻译
  • 深度研究
  • 学术资讯
  • Suppr Zotero 插件Zotero 插件
  • 邀请有礼
  • 套餐&价格
  • 历史记录
应用&插件
Suppr Zotero 插件Zotero 插件浏览器插件Mac 客户端Windows 客户端微信小程序
定价
高级版会员购买积分包购买API积分包
服务
文献检索文档翻译深度研究API 文档MCP 服务
关于我们
关于 Suppr公司介绍联系我们用户协议隐私条款
关注我们

Suppr 超能文献

核心技术专利:CN118964589B侵权必究
粤ICP备2023148730 号-1Suppr @ 2026

文献检索

告别复杂PubMed语法,用中文像聊天一样搜索,搜遍4000万医学文献。AI智能推荐,让科研检索更轻松。

立即免费搜索

文件翻译

保留排版,准确专业,支持PDF/Word/PPT等文件格式,支持 12+语言互译。

免费翻译文档

深度研究

AI帮你快速写综述,25分钟生成高质量综述,智能提取关键信息,辅助科研写作。

立即免费体验

继发于坐骨神经持续静脉深静脉血栓形成的坐骨神经痛:文献中的首例病例。病例说明。

Sciatica secondary to deep venous thrombosis of the persistent sciatic vein: the first case in the literature. Illustrative case.

作者信息

Orlando Vittorio, Benenati Massimo, Galieri Gianluca, Della Pepa Giuseppe M, La Rocca Giuseppe

机构信息

Department of Neuroscience, Catholic University of the Sacred Heart, Rome, Italy.

Department of Radiology and Neuroradiology, IRCCS A. Gemelli University Polyclinic Foundation, Rome, Italy.

出版信息

J Neurosurg Case Lessons. 2024 Aug 26;8(9). doi: 10.3171/CASE23652.

DOI:10.3171/CASE23652
PMID:39186820
原文链接:https://pmc.ncbi.nlm.nih.gov/articles/PMC11373693/
Abstract

BACKGROUND

Sciatica usually results from lumbar nerve compression due to factors like disc herniations or lumbar canal stenosis. Despite its common causes, sciatic pain in a 52-year-old man following a coronavirus disease 2019 infection highlighted the importance of considering less common factors. Initially, minor disc protrusions were suspected as the cause of the symptoms, leading to the offer of surgery at another facility. The patient sought a second opinion, and our evaluation revealed a unique finding.

OBSERVATIONS

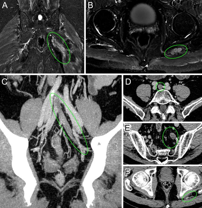
Pelvic magnetic resonance imaging uncovered varicose structures displacing the left sciatic nerve. Subsequent pelvic computed tomography angiography identified a remarkable finding-the lack of opacification in a left persistent sciatic vein ascending toward a left internal iliac vein, originating from a common internal iliac venous trunk-confirming a suspicion for deep venous thrombosis. These findings represented not 1, but 2, extremely rare and distinct variants in the venous anatomy. The authors promptly initiated anticoagulant therapy and tailored pain management strategies, observing progressive thrombosis resolution on follow-up imaging.

LESSONS

This report highlights the need for comprehensive diagnostics when symptoms and imaging differ. Misdiagnosis could lead to unnecessary surgeries and potential risks for the patient. https://thejns.org/doi/10.3171/CASE23652.

摘要

背景

坐骨神经痛通常由椎间盘突出或腰椎管狭窄等因素导致的腰神经受压引起。尽管其病因常见,但一名52岁男性在感染2019冠状病毒病后出现的坐骨神经痛凸显了考虑罕见因素的重要性。最初,怀疑轻微的椎间盘突出是症状的原因,导致在另一家机构建议进行手术。患者寻求第二种意见,而我们的评估发现了一个独特的结果。

观察结果

盆腔磁共振成像发现曲张结构压迫左侧坐骨神经。随后的盆腔计算机断层扫描血管造影发现了一个显著结果——一条起源于髂总静脉干、向上通向左髂内静脉的左侧坐骨神经持续静脉不显影,证实怀疑为深静脉血栓形成。这些发现并非一种,而是两种极其罕见且不同的静脉解剖变异。作者立即开始抗凝治疗并制定了疼痛管理策略,在后续成像中观察到血栓逐渐溶解。

经验教训

本报告强调当症状和影像学表现不一致时需要进行全面诊断。误诊可能导致不必要的手术以及给患者带来潜在风险。https://thejns.org/doi/10.3171/CASE23652。

https://cdn.ncbi.nlm.nih.gov/pmc/blobs/62fe/11373693/b87450f49974/CASE23652_figure_5.jpg
https://cdn.ncbi.nlm.nih.gov/pmc/blobs/62fe/11373693/1644fdf14d87/CASE23652_figure_1.jpg
https://cdn.ncbi.nlm.nih.gov/pmc/blobs/62fe/11373693/3404a327018b/CASE23652_figure_2.jpg
https://cdn.ncbi.nlm.nih.gov/pmc/blobs/62fe/11373693/3b8d9e2be8da/CASE23652_figure_3.jpg
https://cdn.ncbi.nlm.nih.gov/pmc/blobs/62fe/11373693/ad82a8883480/CASE23652_figure_4.jpg
https://cdn.ncbi.nlm.nih.gov/pmc/blobs/62fe/11373693/b87450f49974/CASE23652_figure_5.jpg
https://cdn.ncbi.nlm.nih.gov/pmc/blobs/62fe/11373693/1644fdf14d87/CASE23652_figure_1.jpg
https://cdn.ncbi.nlm.nih.gov/pmc/blobs/62fe/11373693/3404a327018b/CASE23652_figure_2.jpg
https://cdn.ncbi.nlm.nih.gov/pmc/blobs/62fe/11373693/3b8d9e2be8da/CASE23652_figure_3.jpg
https://cdn.ncbi.nlm.nih.gov/pmc/blobs/62fe/11373693/ad82a8883480/CASE23652_figure_4.jpg
https://cdn.ncbi.nlm.nih.gov/pmc/blobs/62fe/11373693/b87450f49974/CASE23652_figure_5.jpg

相似文献

1
Sciatica secondary to deep venous thrombosis of the persistent sciatic vein: the first case in the literature. Illustrative case.继发于坐骨神经持续静脉深静脉血栓形成的坐骨神经痛:文献中的首例病例。病例说明。
J Neurosurg Case Lessons. 2024 Aug 26;8(9). doi: 10.3171/CASE23652.
2
Magnetic resonance venography in the diagnosis and management of May-Thurner syndrome.磁共振静脉成像在May-Thurner综合征诊断和治疗中的应用
Vasc Endovascular Surg. 2002 Jan-Feb;36(1):51-7. doi: 10.1177/153857440203600109.
3
Epidural venous plexus enlargements presenting with radiculopathy and back pain in patients with inferior vena cava obstruction or occlusion.下腔静脉阻塞或闭塞患者出现神经根病和背痛时的硬膜外静脉丛扩大。
Spine (Phila Pa 1976). 2004 Nov 1;29(21):2419-24. doi: 10.1097/01.brs.0000144354.36449.2f.
4
A very rare cause of low-back pain and sciatica: deep vein thrombosis due to absence of the inferior vena cava mimicking the clinical and radiological signs of lumbar disc herniation.一种非常罕见的腰痛和坐骨神经痛原因:下腔静脉缺如导致的深静脉血栓形成,其临床表现和影像学征象类似于腰椎间盘突出症。
J Neurosurg Spine. 2011 Aug;15(2):164-7. doi: 10.3171/2011.4.SPINE10636.
5
A prospective analysis of magnetic resonance imaging findings in patients with sciatica and lumbar disc herniation. Correlation of outcomes with disc fragment and canal morphology.坐骨神经痛和腰椎间盘突出症患者磁共振成像结果的前瞻性分析。结果与椎间盘碎片和椎管形态的相关性。
Spine (Phila Pa 1976). 1997 Jul 15;22(14):1650-60. doi: 10.1097/00007632-199707150-00025.
6
Epidural venous enlargements presenting with intractable lower back pain and sciatica in a patient with absence of the infrarenal inferior vena cava and bilateral deep venous thrombosis.一名患者因肾下腔静脉缺如和双侧深静脉血栓形成,出现硬膜外静脉扩张并伴有顽固性下背痛和坐骨神经痛。
Spine (Phila Pa 1976). 2007 Nov 1;32(23):E688-91. doi: 10.1097/BRS.0b013e318158cf94.
7
Acute Sciatic Neuritis following Lumbar Laminectomy.腰椎板切除术后急性坐骨神经炎
Case Rep Med. 2014;2014:404386. doi: 10.1155/2014/404386. Epub 2014 Jun 15.
8
The diagnostic pitfalls of lumbar disc herniation---- malignant sciatic nerve tumour: two case reports and literature review.腰椎间盘突出症的诊断陷阱----恶性坐骨神经鞘瘤:两例病例报告及文献复习。
BMC Musculoskelet Disord. 2021 Oct 5;22(1):848. doi: 10.1186/s12891-021-04728-1.
9
Deep venous thrombosis after lumbar disc surgery due to compression of the vena cava caused by a retroperitoneal haematoma.腰椎间盘手术后因腹膜后血肿压迫腔静脉导致的深静脉血栓形成。
Eur Spine J. 2008 Sep;17 Suppl 2(Suppl 2):S324-6. doi: 10.1007/s00586-008-0607-z. Epub 2008 Jan 26.
10
May-Thurner syndrome, a diagnosis to consider in young males with no risk factors: a case report and review of the literature.梅-图二氏综合征,一种在无风险因素的年轻男性中需考虑的诊断:一例病例报告及文献综述
J Med Case Rep. 2021 Mar 19;15(1):141. doi: 10.1186/s13256-021-02730-8.

本文引用的文献

1
Persistent sciatic vein.坐骨静脉持续存在。
Folia Morphol (Warsz). 2022;81(4):1062-1065. doi: 10.5603/FM.a2021.0091. Epub 2021 Sep 21.
2
Cauda equina syndrome secondary to portal vein thrombosis: case report of favorable outcome with conservative treatment.门静脉血栓形成继发马尾综合征:保守治疗取得良好效果的病例报告
J Neurosurg Spine. 2021 Jan 1:1-6. doi: 10.3171/2020.6.SPINE20625.
3
Pulmonary Embolism and Deep Vein Thrombosis in COVID-19: A Systematic Review and Meta-Analysis.新型冠状病毒肺炎相关肺栓塞及深静脉血栓形成的系统评价与荟萃分析。
Radiology. 2021 Feb;298(2):E70-E80. doi: 10.1148/radiol.2020203557. Epub 2020 Dec 15.
4
Symptomatic, unilateral, isolated, complete persistent sciatic vein.症状性、单侧、孤立、完全持续性坐骨静脉。
J Vasc Surg Venous Lymphat Disord. 2018 Jan;6(1):104-106. doi: 10.1016/j.jvsv.2017.09.002. Epub 2017 Nov 9.
5
Sciatic Neuropathy Caused by Focal Venous Engorgement Associated With Deep Vein Thrombosis: A Case Report.与深静脉血栓形成相关的局灶性静脉充血引起的坐骨神经病变:一例报告
PM R. 2016 Jan;8(1):78-81. doi: 10.1016/j.pmrj.2015.06.007. Epub 2015 Jun 14.
6
A very rare cause of low-back pain and sciatica: deep vein thrombosis due to absence of the inferior vena cava mimicking the clinical and radiological signs of lumbar disc herniation.一种非常罕见的腰痛和坐骨神经痛原因:下腔静脉缺如导致的深静脉血栓形成,其临床表现和影像学征象类似于腰椎间盘突出症。
J Neurosurg Spine. 2011 Aug;15(2):164-7. doi: 10.3171/2011.4.SPINE10636.
7
Deep venous thrombosis and inferior vena cava agenesis causing double crush sciatic neuropathy in Behçet's disease.白塞病中深静脉血栓形成和下腔静脉发育不全导致双压迫性坐骨神经病变
Joint Bone Spine. 2008 Dec;75(6):734-6. doi: 10.1016/j.jbspin.2007.12.010. Epub 2008 Oct 10.
8
[Epidural varicosis as a rare cause of acute radiculopathy with complete foot paresis--case report and literature review].[硬膜外静脉曲张作为急性神经根病伴完全足瘫的罕见病因——病例报告及文献综述]
Z Orthop Ihre Grenzgeb. 2007 Jan-Feb;145(1):55-60. doi: 10.1055/s-2007-960503.
9
Rare variation in course and affluence of internal iliac vein due to its anatomical and surgical significance.由于其解剖学和手术学意义,髂内静脉走行和充盈情况存在罕见变异。
Surg Radiol Anat. 2006 Aug;28(4):422-5. doi: 10.1007/s00276-006-0110-3. Epub 2006 Apr 27.
10
Symptomatic spinal epidural varices presenting with nerve impingement: report of two cases and review of the literature.表现为神经受压的症状性脊髓硬膜外静脉曲张:两例报告并文献复习
Spine (Phila Pa 1976). 2003 Sep 1;28(17):E347-50. doi: 10.1097/01.BRS.0000090500.10184.7A.