• 文献检索
  • 文档翻译
  • 深度研究
  • 学术资讯
  • Suppr Zotero 插件Zotero 插件
  • 邀请有礼
  • 套餐&价格
  • 历史记录
应用&插件
Suppr Zotero 插件Zotero 插件浏览器插件Mac 客户端Windows 客户端微信小程序
定价
高级版会员购买积分包购买API积分包
服务
文献检索文档翻译深度研究API 文档MCP 服务
关于我们
关于 Suppr公司介绍联系我们用户协议隐私条款
关注我们

Suppr 超能文献

核心技术专利:CN118964589B侵权必究
粤ICP备2023148730 号-1Suppr @ 2026

文献检索

告别复杂PubMed语法,用中文像聊天一样搜索,搜遍4000万医学文献。AI智能推荐,让科研检索更轻松。

立即免费搜索

文件翻译

保留排版,准确专业,支持PDF/Word/PPT等文件格式,支持 12+语言互译。

免费翻译文档

深度研究

AI帮你快速写综述,25分钟生成高质量综述,智能提取关键信息,辅助科研写作。

立即免费体验

环状 RNA 0044539 通过外泌体 miR-29a-3p 促进肝癌淋巴结转移。

Circ-0044539 promotes lymph node metastasis of hepatocellular carcinoma through exosomal-miR-29a-3p.

机构信息

Department of Radiation Oncology, Shanghai East Hospital, School of Medicine, Tongji University, Shanghai, 200120, China.

Department of Radiation Oncology, Shanghai East Hospital Ji'an hospital, Ji'an City, Jiangxi Province, 343000, China.

出版信息

Cell Death Dis. 2024 Aug 27;15(8):630. doi: 10.1038/s41419-024-07004-x.

DOI:10.1038/s41419-024-07004-x
PMID:39191749
原文链接:https://pmc.ncbi.nlm.nih.gov/articles/PMC11349895/
Abstract

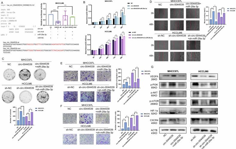
Lymph node metastasis (LNM) is a common invasive feature of hepatocellular carcinoma (HCC) associated with poor clinical outcomes. Through microarray profiling and bioinformatic analyses, we identified the circ-0044539-miR-29a-3p-VEGFA axis as a potential key factor in the progression of HCC LNM. In HCC cells and nude mice, circ-0044539 downregulation or miR-29a-3p upregulation was associated with small tumor size, PI3K-AKT-mTOR pathway inactivation, and downregulation of the key LNM factors (HIF-1α and CXCR4). Furthermore, circ-0044539 was also responsible for exosomal miR-29a-3p secretion. Exosomal miR-29a-3p was then observed to migrate to the LNs and downregulate High-mobility group box transcription factor 1 (Hbp1) in Polymorphonuclear Myeloid-derived suppressor cells (PMN-MDSCs), inducing the formation of a microenvironment suitable for tumor colonization. Overall, circ-0044539 promotes HCC cell LNM abilities and induces an immune-suppressive environment in LNs through exosomes, highlighting its potential as a target for HCC LNM and HCC immunotherapy.

摘要

淋巴结转移(LNM)是与不良临床结局相关的肝细胞癌(HCC)的常见侵袭特征。通过微阵列分析和生物信息学分析,我们确定 circ-0044539-miR-29a-3p-VEGFA 轴是 HCC LNM 进展的潜在关键因素。在 HCC 细胞和裸鼠中,circ-0044539 的下调或 miR-29a-3p 的上调与肿瘤体积小、PI3K-AKT-mTOR 通路失活以及关键 LNM 因子(HIF-1α和 CXCR4)的下调有关。此外,circ-0044539 还负责外泌体 miR-29a-3p 的分泌。然后观察到外泌体 miR-29a-3p 迁移到 LNs 并下调多形核髓样来源抑制细胞(PMN-MDSCs)中的高迁移率族盒转录因子 1(Hbp1),诱导适合肿瘤定植的微环境的形成。总体而言,circ-0044539 通过外泌体促进 HCC 细胞 LNM 能力,并在 LNs 中诱导免疫抑制环境,突出了其作为 HCC LNM 和 HCC 免疫治疗靶点的潜力。

https://cdn.ncbi.nlm.nih.gov/pmc/blobs/5f80/11349895/82f2c027b2fe/41419_2024_7004_Fig8_HTML.jpg
https://cdn.ncbi.nlm.nih.gov/pmc/blobs/5f80/11349895/87622d8edf3a/41419_2024_7004_Fig1_HTML.jpg
https://cdn.ncbi.nlm.nih.gov/pmc/blobs/5f80/11349895/d62639271c87/41419_2024_7004_Fig2_HTML.jpg
https://cdn.ncbi.nlm.nih.gov/pmc/blobs/5f80/11349895/f293e015d19f/41419_2024_7004_Fig3_HTML.jpg
https://cdn.ncbi.nlm.nih.gov/pmc/blobs/5f80/11349895/4e2aada9193f/41419_2024_7004_Fig4_HTML.jpg
https://cdn.ncbi.nlm.nih.gov/pmc/blobs/5f80/11349895/7daf43f2698e/41419_2024_7004_Fig5_HTML.jpg
https://cdn.ncbi.nlm.nih.gov/pmc/blobs/5f80/11349895/710489009b59/41419_2024_7004_Fig6_HTML.jpg
https://cdn.ncbi.nlm.nih.gov/pmc/blobs/5f80/11349895/b0377af02362/41419_2024_7004_Fig7_HTML.jpg
https://cdn.ncbi.nlm.nih.gov/pmc/blobs/5f80/11349895/82f2c027b2fe/41419_2024_7004_Fig8_HTML.jpg
https://cdn.ncbi.nlm.nih.gov/pmc/blobs/5f80/11349895/87622d8edf3a/41419_2024_7004_Fig1_HTML.jpg
https://cdn.ncbi.nlm.nih.gov/pmc/blobs/5f80/11349895/d62639271c87/41419_2024_7004_Fig2_HTML.jpg
https://cdn.ncbi.nlm.nih.gov/pmc/blobs/5f80/11349895/f293e015d19f/41419_2024_7004_Fig3_HTML.jpg
https://cdn.ncbi.nlm.nih.gov/pmc/blobs/5f80/11349895/4e2aada9193f/41419_2024_7004_Fig4_HTML.jpg
https://cdn.ncbi.nlm.nih.gov/pmc/blobs/5f80/11349895/7daf43f2698e/41419_2024_7004_Fig5_HTML.jpg
https://cdn.ncbi.nlm.nih.gov/pmc/blobs/5f80/11349895/710489009b59/41419_2024_7004_Fig6_HTML.jpg
https://cdn.ncbi.nlm.nih.gov/pmc/blobs/5f80/11349895/b0377af02362/41419_2024_7004_Fig7_HTML.jpg
https://cdn.ncbi.nlm.nih.gov/pmc/blobs/5f80/11349895/82f2c027b2fe/41419_2024_7004_Fig8_HTML.jpg

相似文献

1
Circ-0044539 promotes lymph node metastasis of hepatocellular carcinoma through exosomal-miR-29a-3p.环状 RNA 0044539 通过外泌体 miR-29a-3p 促进肝癌淋巴结转移。
Cell Death Dis. 2024 Aug 27;15(8):630. doi: 10.1038/s41419-024-07004-x.
2
circRNA hsa_circ_104566 Sponged miR-338-3p to Promote Hepatocellular Carcinoma Progression.环状 RNA hsa_circ_104566 通过海绵吸附 miR-338-3p 促进肝癌进展。
Cell Transplant. 2020 Jan-Dec;29:963689720963948. doi: 10.1177/0963689720963948.
3
Circ-EIF3I Promotes Hepatocellular Carcinoma Progression Through Modulating miR-361-3p/DUSP2 Axis.环状 RNA EIF3I 通过调控 miR-361-3p/DUSP2 轴促进肝癌进展。
DNA Cell Biol. 2024 May;43(5):258-266. doi: 10.1089/dna.2023.0400. Epub 2024 Mar 22.
4
Circular RNA circ-FOXP1 induced by SOX9 promotes hepatocellular carcinoma progression via sponging miR-875-3p and miR-421.SOX9 诱导的环状 RNA circ-FOXP1 通过海绵吸附 miR-875-3p 和 miR-421 促进肝癌进展。
Biomed Pharmacother. 2020 Jan;121:109517. doi: 10.1016/j.biopha.2019.109517. Epub 2019 Nov 4.
5
HuR-induced circ_0082319 contributes to hepatocellular carcinoma by elevating PTK2 through miR-505-3p.HuR 诱导的 circ_0082319 通过 miR-505-3p 升高 PTK2 促进肝癌发生。
Naunyn Schmiedebergs Arch Pharmacol. 2024 May;397(5):3111-3126. doi: 10.1007/s00210-023-02793-y. Epub 2023 Oct 25.
6
CircRNA circ-0038718 promotes hepatocellular carcinoma progression through sponging miR-139-3p.环状 RNA circ-0038718 通过海绵吸附 miR-139-3p 促进肝癌进展。
Biochem Biophys Res Commun. 2020 Dec 17;533(4):845-852. doi: 10.1016/j.bbrc.2020.07.035. Epub 2020 Sep 30.
7
Silencing of hsa_circ_0101145 reverses the epithelial-mesenchymal transition in hepatocellular carcinoma via regulation of the miR-548c-3p/LAMC2 axis.hsa_circ_0101145 的沉默通过调节 miR-548c-3p/LAMC2 轴逆转肝癌中的上皮-间充质转化。
Aging (Albany NY). 2020 Jun 18;12(12):11623-11635. doi: 10.18632/aging.103324.
8
Exosomal hsa_circ_0004658 derived from RBPJ overexpressed-macrophages inhibits hepatocellular carcinoma progression via miR-499b-5p/JAM3.外泌体 hsa_circ_0004658 来源于过表达 RBPJ 的巨噬细胞,通过 miR-499b-5p/JAM3 抑制肝癌进展。
Cell Death Dis. 2022 Jan 10;13(1):32. doi: 10.1038/s41419-021-04345-9.
9
Hsa_circ_0003998 promotes epithelial to mesenchymal transition of hepatocellular carcinoma by sponging miR-143-3p and PCBP1.Hsa_circ_0003998 通过海绵吸附 miR-143-3p 和 PCBP1 促进肝癌的上皮间质转化。
J Exp Clin Cancer Res. 2020 Jun 17;39(1):114. doi: 10.1186/s13046-020-01576-0.
10
Hsa_circ_0101432 promotes the development of hepatocellular carcinoma (HCC) by adsorbing miR-1258 and miR-622.Hsa_circ_0101432 通过吸附 miR-1258 和 miR-622 促进肝细胞癌 (HCC) 的发展。
Cell Cycle. 2019 Oct;18(19):2398-2413. doi: 10.1080/15384101.2019.1618120. Epub 2019 Jul 1.

引用本文的文献

1
Multidimensional insights into exosomes in hepatocellular carcinoma: from genesis to clinical application.肝细胞癌中外泌体的多维见解:从起源到临床应用
Front Immunol. 2025 Aug 13;16:1628573. doi: 10.3389/fimmu.2025.1628573. eCollection 2025.
2
Lymph node metastasis in patients with hepatocellular carcinoma using machine learning: a population-based study.利用机器学习对肝细胞癌患者的淋巴结转移情况进行的一项基于人群的研究。
Front Oncol. 2025 Jul 11;15:1601985. doi: 10.3389/fonc.2025.1601985. eCollection 2025.
3
Circ_0007429 promotes hepatocellular carcinoma resistance to sorafenib through the miR-377-3p/THBS1 axis.

本文引用的文献

1
Potential of Plant-derived Exosome-like Nanoparticles from Fruit for Human Dermal Fibroblast Regeneration and Remodeling.水果来源的植物源外泌体样纳米颗粒对人真皮成纤维细胞再生和重塑的潜力
Pharm Nanotechnol. 2025;13(2):358-371. doi: 10.2174/0122117385281838240105110106.
2
Tumour extracellular vesicles and particles induce liver metabolic dysfunction.肿瘤细胞外囊泡和颗粒诱导肝脏代谢功能障碍。
Nature. 2023 Jun;618(7964):374-382. doi: 10.1038/s41586-023-06114-4. Epub 2023 May 24.
3
Targeting PPAR-gamma counteracts tumour adaptation to immune-checkpoint blockade in hepatocellular carcinoma.
环状RNA_0007429通过miR-377-3p/血小板反应蛋白1轴促进肝癌对索拉非尼的耐药性。
Am J Transl Res. 2025 Jun 15;17(6):4148-4158. doi: 10.62347/GUJU9257. eCollection 2025.
4
Advances in the roles and molecular mechanisms of exosomal circular RNAs in regulating the pre-metastatic niche of tumors.外泌体环状RNA在调节肿瘤前转移微环境中的作用及分子机制研究进展
Discov Oncol. 2025 Apr 19;16(1):568. doi: 10.1007/s12672-025-02374-w.
5
Recent insights and perspectives into the role of the miRNA‑29 family in innate immunity (Review).关于miRNA-29家族在固有免疫中作用的最新见解与观点(综述)
Int J Mol Med. 2025 Mar;55(3). doi: 10.3892/ijmm.2025.5494. Epub 2025 Jan 31.
6
Altered Atlas of Exercise-Responsive MicroRNAs Revealing miR-29a-3p Attacks Armored and Cold Tumors and Boosts Anti-B7-H3 Therapy.运动反应性微小RNA的改变图谱揭示miR-29a-3p攻击坚固性和冷肿瘤并增强抗B7-H3治疗
Research (Wash D C). 2025 Jan 22;8:0590. doi: 10.34133/research.0590. eCollection 2025.
靶向 PPAR-γ 可逆转肝癌对免疫检查点阻断的适应性。
Gut. 2023 Sep;72(9):1758-1773. doi: 10.1136/gutjnl-2022-328364. Epub 2023 Apr 5.
4
Cancer statistics, 2023.癌症统计数据,2023 年。
CA Cancer J Clin. 2023 Jan;73(1):17-48. doi: 10.3322/caac.21763.
5
The primordial differentiation of tumor-specific memory CD8 T cells as bona fide responders to PD-1/PD-L1 blockade in draining lymph nodes.肿瘤特异性记忆 CD8 T 细胞在引流淋巴结中作为真正响应 PD-1/PD-L1 阻断的原始分化。
Cell. 2022 Oct 27;185(22):4049-4066.e25. doi: 10.1016/j.cell.2022.09.020. Epub 2022 Oct 7.
6
Multi-scale characterization of tumor-draining lymph nodes in resectable lung cancer treated with neoadjuvant immune checkpoint inhibitors.新辅助免疫检查点抑制剂治疗可切除肺癌患者肿瘤引流淋巴结的多尺度特征分析。
EBioMedicine. 2022 Oct;84:104265. doi: 10.1016/j.ebiom.2022.104265. Epub 2022 Sep 15.
7
miR-29c-3p promotes alcohol dehydrogenase gene cluster expression by activating an ADH6 enhancer.miR-29c-3p 通过激活 ADH6 增强子促进乙醇脱氢酶基因簇表达。
Biochem Pharmacol. 2022 Sep;203:115182. doi: 10.1016/j.bcp.2022.115182. Epub 2022 Jul 20.
8
Lymph node colonization induces tumor-immune tolerance to promote distant metastasis.淋巴结定植诱导肿瘤免疫耐受以促进远处转移。
Cell. 2022 May 26;185(11):1924-1942.e23. doi: 10.1016/j.cell.2022.04.019. Epub 2022 May 6.
9
Human placental exosomes induce maternal systemic immune tolerance by reprogramming circulating monocytes.人胎盘外泌体通过重编程循环单核细胞诱导母体系统免疫耐受。
J Nanobiotechnology. 2022 Feb 18;20(1):86. doi: 10.1186/s12951-022-01283-2.
10
Severe hypoxia is a typical characteristic of human hepatocellular carcinoma: Scientific fact or fallacy?严重缺氧是人类肝细胞癌的典型特征:科学事实还是谬误?
J Hepatol. 2022 Apr;76(4):975-980. doi: 10.1016/j.jhep.2021.12.028. Epub 2022 Jan 3.