• 文献检索
  • 文档翻译
  • 深度研究
  • 学术资讯
  • Suppr Zotero 插件Zotero 插件
  • 邀请有礼
  • 套餐&价格
  • 历史记录
应用&插件
Suppr Zotero 插件Zotero 插件浏览器插件Mac 客户端Windows 客户端微信小程序
定价
高级版会员购买积分包购买API积分包
服务
文献检索文档翻译深度研究API 文档MCP 服务
关于我们
关于 Suppr公司介绍联系我们用户协议隐私条款
关注我们

Suppr 超能文献

核心技术专利:CN118964589B侵权必究
粤ICP备2023148730 号-1Suppr @ 2026

文献检索

告别复杂PubMed语法,用中文像聊天一样搜索,搜遍4000万医学文献。AI智能推荐,让科研检索更轻松。

立即免费搜索

文件翻译

保留排版,准确专业,支持PDF/Word/PPT等文件格式,支持 12+语言互译。

免费翻译文档

深度研究

AI帮你快速写综述,25分钟生成高质量综述,智能提取关键信息,辅助科研写作。

立即免费体验

后部可逆性脑病综合征(PRES)的非典型表现:一例病例报告及文献复习

Atypical Presentation of Posterior Reversible Encephalopathy Syndrome (PRES): A Case Report and Review of the Literature.

作者信息

Sharma Ankit, Kaeley Nidhi, Goindi Achal, Mittal Minanshu, Yadav Jitendra K

机构信息

Emergency Medicine, All India Institute of Medical Sciences, Rishikesh, Rishikesh, IND.

Radiodiagnosis, All India Institute of Medical Sciences, New Delhi, New Delhi, IND.

出版信息

Cureus. 2024 Jul 24;16(7):e65290. doi: 10.7759/cureus.65290. eCollection 2024 Jul.

DOI:10.7759/cureus.65290
PMID:39192920
原文链接:https://pmc.ncbi.nlm.nih.gov/articles/PMC11348870/
Abstract

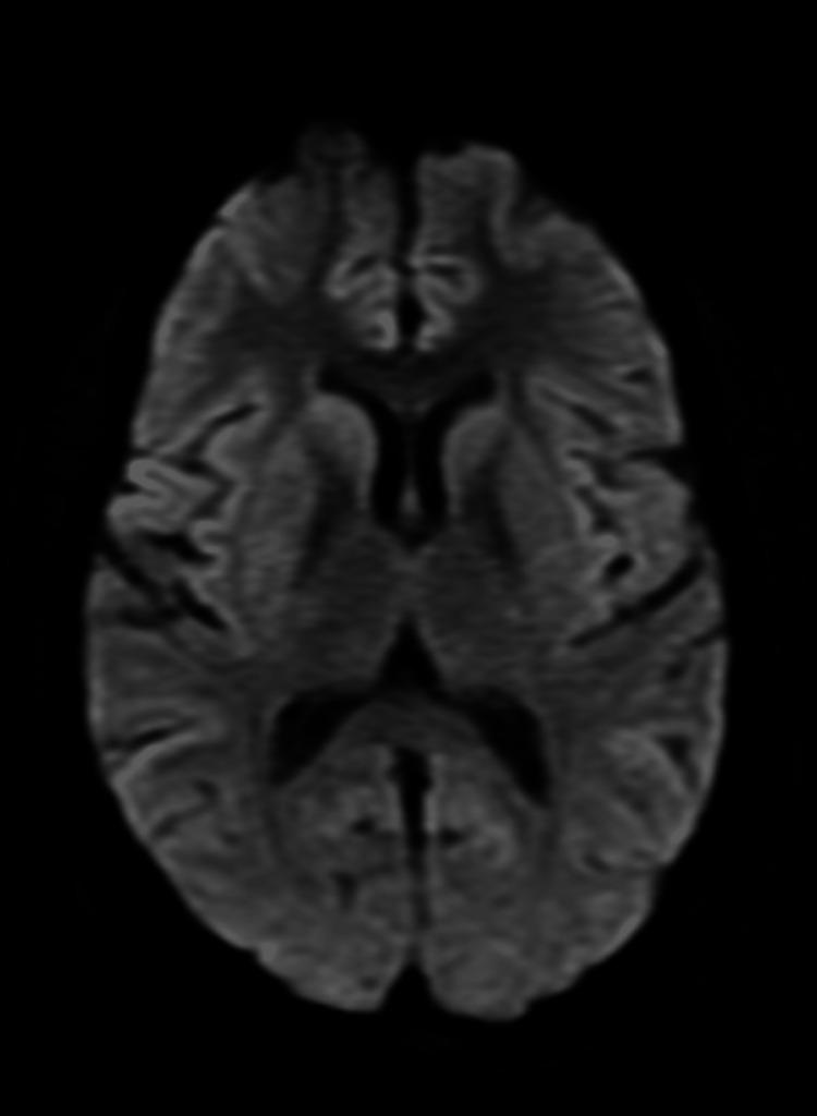
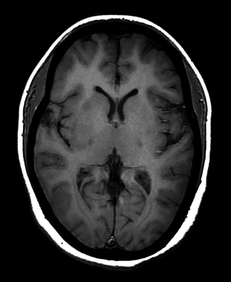
Posterior reversible encephalopathy syndrome (PRES) is a reversible clinico-radiological entity characterized by acute neurological symptoms and white matter vasogenic edema that commonly affects the posterior occipital and parietal lobes of the brain. Patients with this condition usually present with complaints of headache, encephalopathy, seizures, or visual disturbances. Nystagmus and periodic alternating gaze are rarely reported presentations of PRES patients. Similarly, involvement of the brainstem, cerebellum, basal ganglia, and other cerebral areas are atypical findings on brain imaging. Early diagnosis and immediate treatment can reverse both the clinical and radiological features of PRES.

摘要

后部可逆性脑病综合征(PRES)是一种可逆的临床放射学实体,其特征为急性神经症状和白质血管源性水肿,通常影响大脑的枕叶后部和顶叶。患有这种疾病的患者通常会出现头痛、脑病、癫痫发作或视觉障碍等症状。眼球震颤和周期性交替凝视是PRES患者很少见的表现。同样,脑干、小脑、基底神经节和其他脑区受累在脑部影像学检查中属于非典型表现。早期诊断和及时治疗可使PRES的临床和放射学特征得到逆转。

https://cdn.ncbi.nlm.nih.gov/pmc/blobs/77b3/11348870/fee4fd30acae/cureus-0016-00000065290-i05.jpg
https://cdn.ncbi.nlm.nih.gov/pmc/blobs/77b3/11348870/40f507dc6512/cureus-0016-00000065290-i01.jpg
https://cdn.ncbi.nlm.nih.gov/pmc/blobs/77b3/11348870/79d365bb53a8/cureus-0016-00000065290-i02.jpg
https://cdn.ncbi.nlm.nih.gov/pmc/blobs/77b3/11348870/1d179d9d29a5/cureus-0016-00000065290-i03.jpg
https://cdn.ncbi.nlm.nih.gov/pmc/blobs/77b3/11348870/1014c734054b/cureus-0016-00000065290-i04.jpg
https://cdn.ncbi.nlm.nih.gov/pmc/blobs/77b3/11348870/fee4fd30acae/cureus-0016-00000065290-i05.jpg
https://cdn.ncbi.nlm.nih.gov/pmc/blobs/77b3/11348870/40f507dc6512/cureus-0016-00000065290-i01.jpg
https://cdn.ncbi.nlm.nih.gov/pmc/blobs/77b3/11348870/79d365bb53a8/cureus-0016-00000065290-i02.jpg
https://cdn.ncbi.nlm.nih.gov/pmc/blobs/77b3/11348870/1d179d9d29a5/cureus-0016-00000065290-i03.jpg
https://cdn.ncbi.nlm.nih.gov/pmc/blobs/77b3/11348870/1014c734054b/cureus-0016-00000065290-i04.jpg
https://cdn.ncbi.nlm.nih.gov/pmc/blobs/77b3/11348870/fee4fd30acae/cureus-0016-00000065290-i05.jpg

相似文献

1
Atypical Presentation of Posterior Reversible Encephalopathy Syndrome (PRES): A Case Report and Review of the Literature.后部可逆性脑病综合征(PRES)的非典型表现:一例病例报告及文献复习
Cureus. 2024 Jul 24;16(7):e65290. doi: 10.7759/cureus.65290. eCollection 2024 Jul.
2
Clinical and MRI Features of Posterior Reversible Encephalopathy Syndrome With Atypical Regions: A Descriptive Study With a Large Sample Size.非典型区域可逆性后部脑病综合征的临床和MRI特征:一项大样本描述性研究
Front Neurol. 2020 Mar 24;11:194. doi: 10.3389/fneur.2020.00194. eCollection 2020.
3
Clinical and Radiological Features of Unilateral Posterior Reversible Encephalopathy Syndrome (PRES): A Case Report.单侧后部可逆性脑病综合征(PRES)的临床和影像学特征:一例报告
Cureus. 2024 Apr 22;16(4):e58774. doi: 10.7759/cureus.58774. eCollection 2024 Apr.
4
Atypical Variant of Posterior Reversible Encephalopathy Syndrome in the Setting of Renovascular Hypertension: Case Report and Review of Literature.肾血管性高血压背景下后可逆性脑病综合征的非典型变异型:病例报告及文献复习
Cureus. 2018 Nov 12;10(11):e3573. doi: 10.7759/cureus.3573.
5
Imaging of Atypical and Complicated Posterior Reversible Encephalopathy Syndrome.非典型及复杂型后部可逆性脑病综合征的影像学表现
Front Neurol. 2019 Sep 4;10:964. doi: 10.3389/fneur.2019.00964. eCollection 2019.
6
Posterior reversible encephalopathy syndrome associated with left horizontal gaze palsy.与左侧水平凝视麻痹相关的后部可逆性脑病综合征
Ann Transl Med. 2017 Mar;5(5):104. doi: 10.21037/atm.2017.03.09.
7
Atypical posterior reversible encephalopathy syndrome: A lentiform fork sign following transplantation.非典型后部可逆性脑病综合征:移植后的豆状核叉征。
Clin Case Rep. 2024 Jul 31;12(8):e9100. doi: 10.1002/ccr3.9100. eCollection 2024 Aug.
8
Clinical and radiological spectrum of posterior reversible encephalopathy syndrome.后部可逆性脑病综合征的临床及影像学表现谱
J Cerebrovasc Endovasc Neurosurg. 2013 Sep;15(3):206-13. doi: 10.7461/jcen.2013.15.3.206. Epub 2013 Sep 30.
9
Various Imaging Manifestations of Posterior Reversible Encephalopathy Syndrome (PRES) on Magnetic Resonance Imaging (MRI).磁共振成像(MRI)上后可逆性脑病综合征(PRES)的各种影像学表现。
Pol J Radiol. 2017 Feb 7;82:64-70. doi: 10.12659/PJR.899960. eCollection 2017.
10
Variant Type of Posterior Reversible Encephalopathy Syndrome Associated with Deep Brain Hemorrhage: Case Report and Review of the Literature.与深部脑出血相关的后部可逆性脑病综合征的变异类型:病例报告及文献综述
World Neurosurg. 2020 Feb;134:176-181. doi: 10.1016/j.wneu.2019.10.196. Epub 2019 Nov 8.

引用本文的文献

1
An Atypical Presentation of Posterior Reversible Encephalopathy Syndrome (PRES): Sticking to the Basics.后部可逆性脑病综合征(PRES)的非典型表现:回归基础
Cureus. 2024 Oct 19;16(10):e71836. doi: 10.7759/cureus.71836. eCollection 2024 Oct.

本文引用的文献

1
Posterior reversible encephalopathy syndrome and COVID-19: A series of 6 cases from Lombardy, Italy.后部可逆性脑病综合征与新型冠状病毒肺炎:来自意大利伦巴第的6例病例系列
eNeurologicalSci. 2020 Dec 22;22:100306. doi: 10.1016/j.ensci.2020.100306. eCollection 2021 Mar.
2
Case 279: Central-Variant Posterior Reversible Encephalopathy Syndrome.病例 279:中央变异型后部可逆性脑病综合征。
Radiology. 2020 Jul;296(1):239-243. doi: 10.1148/radiol.2020181547.
3
Posterior Reversible Encephalopathy Syndrome: Clinical Features and Outcome.后部可逆性脑病综合征:临床特征与转归
Front Neurol. 2020 Feb 14;11:71. doi: 10.3389/fneur.2020.00071. eCollection 2020.
4
Posterior reversible encephalopathy syndrome with isolated infratentorial involvement: A case report.孤立性幕下受累的后部可逆性脑病综合征:一例报告。
Radiol Case Rep. 2019 Mar 1;14(5):576-580. doi: 10.1016/j.radcr.2019.02.009. eCollection 2019 May.
5
Periodic alternating gaze deviation and nystagmus in posterior reversible encephalopathy syndrome.后部可逆性脑病综合征中的周期性交替性凝视偏斜和眼球震颤
Neurol Clin Pract. 2014 Dec;4(6):482-485. doi: 10.1212/CPJ.0000000000000056.
6
Posterior reversible encephalopathy syndrome(PRES).后部可逆性脑病综合征(PRES)。
Oxf Med Case Reports. 2017 Apr 3;2017(4):omx011. doi: 10.1093/omcr/omx011. eCollection 2017 Apr.
7
Posterior reversible encephalopathy syndrome.后部可逆性脑病综合征
J Neurol. 2017 Aug;264(8):1608-1616. doi: 10.1007/s00415-016-8377-8. Epub 2017 Jan 4.
8
Atypical presentation of posterior reversible encephalopathy syndrome: Clinical and radiological characteristics in eclamptic patients.后可逆性脑病综合征的非典型表现:子痫患者的临床和影像学特征
Bosn J Basic Med Sci. 2016 Aug 2;16(3):180-6. doi: 10.17305/bjbms.2016.1201. Epub 2016 Jun 20.
9
Posterior reversible encephalopathy syndrome: clinical and radiological manifestations, pathophysiology, and outstanding questions.后部可逆性脑病综合征:临床和影像学表现、病理生理学及待解决的问题。
Lancet Neurol. 2015 Sep;14(9):914-925. doi: 10.1016/S1474-4422(15)00111-8. Epub 2015 Jul 13.
10
Teaching Video NeuroImages: periodic alternating nystagmus evident only in darkness.教学视频神经影像:周期性交替性眼球震颤仅在黑暗中明显。
Neurology. 2013 Jan 22;80(4):e32. doi: 10.1212/WNL.0b013e31827f07ab.