Suppr超能文献

山羊双动脉下型室间隔缺损合并永存左位头臂静脉的多模态成像诊断

Multimodal Imaging Diagnosis of Doubly Committed Juxta-Arterial Ventricular Septal Defect and Persistent Left Cranial Vena Cava in a Goat.

作者信息

Westcott Courtney E, Markovic Lauren E, Folmar Chelsea N, Ryan Clare A, Hammond Hillary K

机构信息

Department of Small Animal Medicine and Surgery, College of Veterinary Medicine, University of Georgia, Athens, Georgia.

Department of Large Animal Medicine, College of Veterinary Medicine, University of Georgia, Athens, Georgia.

出版信息

CASE (Phila). 2024 Jun 4;8(7):395-400. doi: 10.1016/j.case.2024.05.004. eCollection 2024 Jul.

Abstract

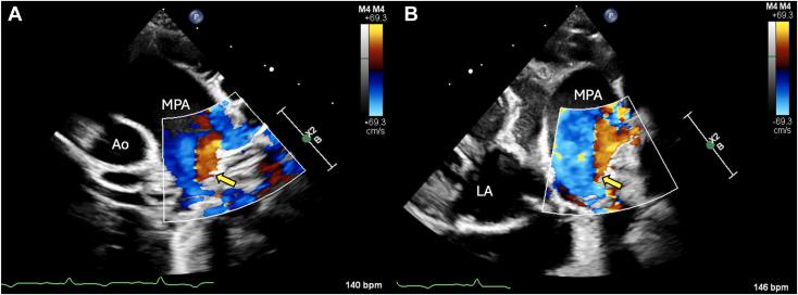
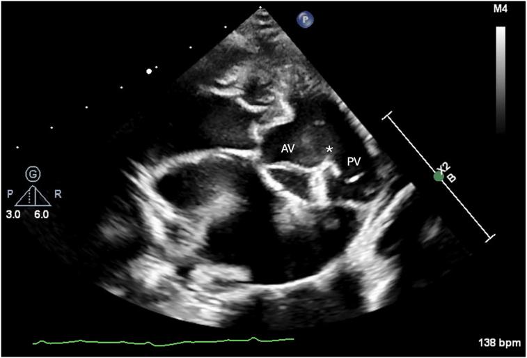
• Multimodal imaging contributes to understanding of caprine congenital heart disease. • Echocardiography is useful for identification of DCJA VSD. • 3D heart models aid in assessing vascular anomalies not noted on echocardiography.

摘要

• 多模态成像有助于理解山羊先天性心脏病。

• 超声心动图有助于识别双腔右心室室间隔缺损。

• 三维心脏模型有助于评估超声心动图未发现的血管异常。

https://cdn.ncbi.nlm.nih.gov/pmc/blobs/88e2/11364894/90be13dd281b/ga1.jpg

文献检索

告别复杂PubMed语法,用中文像聊天一样搜索,搜遍4000万医学文献。AI智能推荐,让科研检索更轻松。

立即免费搜索

文件翻译

保留排版,准确专业,支持PDF/Word/PPT等文件格式,支持 12+语言互译。

免费翻译文档

深度研究

AI帮你快速写综述,25分钟生成高质量综述,智能提取关键信息,辅助科研写作。

立即免费体验