Suppr超能文献

脐带间充质干细胞来源的线粒体移植对大鼠模型缺血再灌注损伤的影响。

Effect of umbilical cord mesenchymal stem cell-derived mitochondrial transplantation on ischemia-reperfusion injury in a rat model.

机构信息

Department of Plastic and Reconstructive Surgery, Soonchunhyang University Bucheon Hospital, Soonchunhyang University College of Medicine, Bucheon, Republic of Korea.

出版信息

Skin Res Technol. 2024 Sep;30(9):e70022. doi: 10.1111/srt.70022.

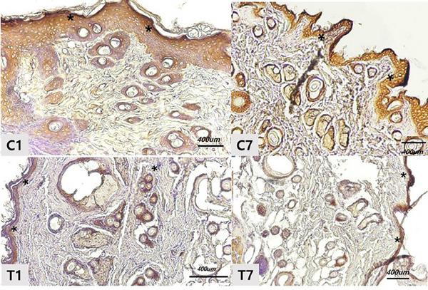
Abstract

BACKGROUND

Despite advancements in reconstructive procedures, ischemia-reperfusion (I/R) injury remains a significant challenge in reconstructive surgery, with mitochondrial dysfunction playing a pivotal role. Mitochondrial transplantation has emerged as a promising therapeutic strategy to address this issue. This study aims to evaluate the impact of umbilical cord mesenchymal stem cell-derived mitochondrial transplantation on skin flap I/R models in rats.

MATERIAL AND METHODS

Twenty male rats underwent I/R injury on skin flaps, with or without mitochondrial transplantation administered via intravenous or subcutaneous routes. Analysis encompassed histopathology, inflammatory, apoptotic, oxidative stress, and hypoxia markers.

RESULTS

Results revealed a reduction in inflammation, apoptosis, oxidative stress, and hypoxia in the transplantation group compared to controls.

CONCLUSION

The findings suggest that umbilical cord mesenchymal stem cell-derived mitochondrial transplantation shows promise in enhancing flap viability and attenuating I/R injury, offering valuable insights for improved outcomes in reconstructive surgery. However, further exploration in larger animal models and refinement of delivery methods and dosage are warranted to fully elucidate its clinical translatability.

摘要

背景

尽管在重建手术方面取得了进展,但缺血再灌注(I/R)损伤仍然是重建手术中的一个重大挑战,线粒体功能障碍起着关键作用。线粒体移植已成为解决这一问题的有前途的治疗策略。本研究旨在评估脐带间充质干细胞衍生的线粒体移植对大鼠皮瓣 I/R 模型的影响。

材料和方法

20 只雄性大鼠接受了皮瓣的 I/R 损伤,通过静脉或皮下途径给予或不给予线粒体移植。分析包括组织病理学、炎症、凋亡、氧化应激和缺氧标志物。

结果

与对照组相比,移植组的炎症、凋亡、氧化应激和缺氧减轻。

结论

研究结果表明,脐带间充质干细胞衍生的线粒体移植在提高皮瓣存活率和减轻 I/R 损伤方面具有潜力,为改善重建手术的结果提供了有价值的见解。然而,需要在更大的动物模型中进一步探索,并完善递送方法和剂量,以充分阐明其临床转化性。

https://cdn.ncbi.nlm.nih.gov/pmc/blobs/5ea5/11367251/2b11054aefdb/SRT-30-e70022-g003.jpg

文献检索

告别复杂PubMed语法,用中文像聊天一样搜索,搜遍4000万医学文献。AI智能推荐,让科研检索更轻松。

立即免费搜索

文件翻译

保留排版,准确专业,支持PDF/Word/PPT等文件格式,支持 12+语言互译。

免费翻译文档

深度研究

AI帮你快速写综述,25分钟生成高质量综述,智能提取关键信息,辅助科研写作。

立即免费体验