• 文献检索
  • 文档翻译
  • 深度研究
  • 学术资讯
  • Suppr Zotero 插件Zotero 插件
  • 邀请有礼
  • 套餐&价格
  • 历史记录
应用&插件
Suppr Zotero 插件Zotero 插件浏览器插件Mac 客户端Windows 客户端微信小程序
定价
高级版会员购买积分包购买API积分包
服务
文献检索文档翻译深度研究API 文档MCP 服务
关于我们
关于 Suppr公司介绍联系我们用户协议隐私条款
关注我们

Suppr 超能文献

核心技术专利:CN118964589B侵权必究
粤ICP备2023148730 号-1Suppr @ 2026

文献检索

告别复杂PubMed语法,用中文像聊天一样搜索,搜遍4000万医学文献。AI智能推荐,让科研检索更轻松。

立即免费搜索

文件翻译

保留排版,准确专业,支持PDF/Word/PPT等文件格式,支持 12+语言互译。

免费翻译文档

深度研究

AI帮你快速写综述,25分钟生成高质量综述,智能提取关键信息,辅助科研写作。

立即免费体验

脑桥小脑发育不良症的神经精神症状:临床报告。

Neuropsychiatric Symptoms in Rhombencephalosynapsis: A Clinical Report.

机构信息

Department of Experimental Psychology, Helmholtz Institute, Utrecht University, Heidelberglaan 1, Utrecht, 3584 CS, the Netherlands.

Department of Pediatrics, University of Washington School of Medicine, Seattle, USA.

出版信息

Cerebellum. 2024 Dec;23(6):2671-2678. doi: 10.1007/s12311-024-01740-8. Epub 2024 Sep 4.

DOI:10.1007/s12311-024-01740-8
PMID:39230845
原文链接:https://pmc.ncbi.nlm.nih.gov/articles/PMC11585500/
Abstract

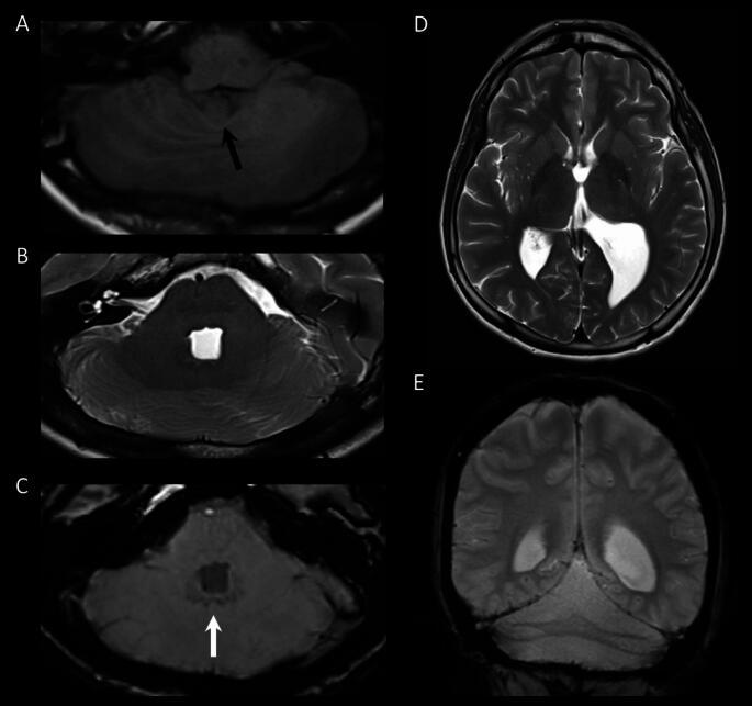
Rhombencephalosynapsis (RES) is a hindbrain malformation characterized by a missing cerebellar vermis with apposition or fusion of the cerebellar hemispheres. The present clinical case report provides a comprehensive, longitudinal overview of cognitive and affective manifestations in a 22-year-old patient with RES. The patient shows clinical signs of emotional reactivity and dysregulation, impulsivity, and impairments in executive functioning since early childhood. These features fit the constellation of neuropsychiatric symptoms observed in patients with congenital and acquired abnormalities of the posterior vermis. It is proposed that patients with RES may show affective and cognitive difficulties which increase their vulnerability to psychological stress and risk of developing mental health issues.

摘要

菱形脑结合(RES)是一种后脑畸形,其特征是小脑蚓部缺失,小脑半球对位或融合。本临床病例报告提供了一位 22 岁 RES 患者认知和情感表现的全面、纵向概述。该患者自幼儿期起就表现出情绪反应和失调、冲动以及执行功能障碍的临床症状。这些特征符合后天性和获得性后小脑蚓部异常患者所观察到的神经精神症状组合。因此,RES 患者可能表现出情感和认知困难,这增加了他们对心理压力的脆弱性和出现心理健康问题的风险。

https://cdn.ncbi.nlm.nih.gov/pmc/blobs/d0a3/11585500/7011d6231820/12311_2024_1740_Fig2_HTML.jpg
https://cdn.ncbi.nlm.nih.gov/pmc/blobs/d0a3/11585500/8382a5d874a6/12311_2024_1740_Fig1_HTML.jpg
https://cdn.ncbi.nlm.nih.gov/pmc/blobs/d0a3/11585500/7011d6231820/12311_2024_1740_Fig2_HTML.jpg
https://cdn.ncbi.nlm.nih.gov/pmc/blobs/d0a3/11585500/8382a5d874a6/12311_2024_1740_Fig1_HTML.jpg
https://cdn.ncbi.nlm.nih.gov/pmc/blobs/d0a3/11585500/7011d6231820/12311_2024_1740_Fig2_HTML.jpg

相似文献

1
Neuropsychiatric Symptoms in Rhombencephalosynapsis: A Clinical Report.脑桥小脑发育不良症的神经精神症状:临床报告。
Cerebellum. 2024 Dec;23(6):2671-2678. doi: 10.1007/s12311-024-01740-8. Epub 2024 Sep 4.
2
Rhombencephalosynapsis: CT and MRI findings.菱形脑联合畸形:CT及MRI表现
Neurol India. 2004 Mar;52(1):118-20.
3
Rhombencephalosynapsis: a hindbrain malformation associated with incomplete separation of midbrain and forebrain, hydrocephalus and a broad spectrum of severity.菱形脑回融合畸形:一种与中脑和前脑不完全分离、脑积水以及广泛严重程度相关的后脑畸形。
Brain. 2012 May;135(Pt 5):1370-86. doi: 10.1093/brain/aws065. Epub 2012 Mar 26.
4
Prenatal diagnosis of rhombencephalosynapsis: neuroimaging features and severity of vermian anomaly.菱形脑融合的产前诊断:神经影像学特征及蚓部异常的严重程度
Ultrasound Obstet Gynecol. 2021 Dec;58(6):864-874. doi: 10.1002/uog.23660.
5
Rhombencephalosynapsis and a Chiari II malformation.菱脑融合与Chiari II型畸形。
J Comput Assist Tomogr. 2003 Mar-Apr;27(2):257-9. doi: 10.1097/00004728-200303000-00026.
6
Rhombencephalosynapsis: clinical findings and neuroimaging in 9 children.菱脑融合:9例儿童的临床发现与神经影像学表现
Neuropediatrics. 2002 Aug;33(4):209-14. doi: 10.1055/s-2002-34498.
7
Neuroradiological and clinical findings in rhombencephalosynapsis.菱脑融合的神经放射学和临床发现
Neuroradiology. 2000 Apr;42(4):272-4. doi: 10.1007/s002340050884.
8
Rhombencephalosynapsis: prenatal imaging and autopsy findings.菱脑融合:产前影像学及尸检结果
Ultrasound Obstet Gynecol. 2008 May;31(5):542-8. doi: 10.1002/uog.5318.
9
Partial rhombencephalosynapsis.部分菱形脑融合
AJNR Am J Neuroradiol. 2004 Jan;25(1):29-31.
10
Rhombencephalosynapsis: Fused cerebellum, confused geneticists.菱脑融合:融合的小脑,困惑的遗传学家。
Am J Med Genet C Semin Med Genet. 2018 Dec;178(4):432-439. doi: 10.1002/ajmg.c.31666.

本文引用的文献

1
Cognition, Emotion, and Cerebrocerebellar Circuit Disruption in a Patient With Hemangioblastoma.成血管细胞瘤患者的认知、情感与脑小脑回路破坏
Neurology. 2023 Sep 19;101(12):507-508. doi: 10.1212/WNL.0000000000207626. Epub 2023 Jul 5.
2
Pearls & Oy-sters: Cognitive and Affective Dysfunction Caused by a Small Cerebellar Hemangioblastoma.珍珠与牡蛎:小的小脑血管母细胞瘤导致的认知和情感功能障碍。
Neurology. 2023 Sep 19;101(12):e1272-e1275. doi: 10.1212/WNL.0000000000207509. Epub 2023 Jul 5.
3
Disrupted structural connectivity and less efficient network system in patients with the treatment-naive adult attention-deficit/hyperactivity disorder.
未经治疗的成年注意力缺陷/多动障碍患者的结构连接中断和网络系统效率低下。
Front Psychiatry. 2023 Mar 16;14:1093522. doi: 10.3389/fpsyt.2023.1093522. eCollection 2023.
4
Rhomboencephalosynapsis: Review of the Literature.脑回脑沟融合畸形:文献复习。
World Neurosurg. 2022 Mar;159:48-53. doi: 10.1016/j.wneu.2021.12.062. Epub 2021 Dec 22.
5
The cerebellar cognitive affective syndrome scale reveals early neuropsychological deficits in SCA3 patients.小脑认知情感综合征量表揭示 SCA3 患者的早期神经认知缺陷。
J Neurol. 2021 Sep;268(9):3456-3466. doi: 10.1007/s00415-021-10516-7. Epub 2021 Mar 20.
6
A Case of Attention Deficit Hyperactivity Disorder in Rhombencephalosynapsis.一例菱脑融合症合并注意缺陷多动障碍的病例
Cerebellum. 2021 Aug;20(4):659-661. doi: 10.1007/s12311-021-01234-x. Epub 2021 Feb 15.
7
Developmental risk for mood dysregulation in a pediatric case of Gómez-López-Hernández syndrome: Neurocognitive considerations.戈麦斯-洛佩斯-埃尔南德斯综合征儿科病例中情绪调节障碍的发育风险:神经认知方面的考量
Clin Neurol Neurosurg. 2020 Aug;195:105877. doi: 10.1016/j.clineuro.2020.105877. Epub 2020 Apr 30.
8
The cerebellar cognitive affective/Schmahmann syndrome scale.小脑认知情感/Schmahmann 综合征量表。
Brain. 2018 Jan 1;141(1):248-270. doi: 10.1093/brain/awx317.
9
Consensus Paper: Cerebellum and Emotion.共识文件:小脑与情感
Cerebellum. 2017 Apr;16(2):552-576. doi: 10.1007/s12311-016-0815-8.
10
Schmahmann's syndrome - identification of the third cornerstone of clinical ataxiology.施马曼综合征——临床共济失调病因学第三个基石的确定。
Cerebellum Ataxias. 2015 Feb 27;2:2. doi: 10.1186/s40673-015-0023-1. eCollection 2015.