• 文献检索
  • 文档翻译
  • 深度研究
  • 学术资讯
  • Suppr Zotero 插件Zotero 插件
  • 邀请有礼
  • 套餐&价格
  • 历史记录
应用&插件
Suppr Zotero 插件Zotero 插件浏览器插件Mac 客户端Windows 客户端微信小程序
定价
高级版会员购买积分包购买API积分包
服务
文献检索文档翻译深度研究API 文档MCP 服务
关于我们
关于 Suppr公司介绍联系我们用户协议隐私条款
关注我们

Suppr 超能文献

核心技术专利:CN118964589B侵权必究
粤ICP备2023148730 号-1Suppr @ 2026

文献检索

告别复杂PubMed语法,用中文像聊天一样搜索,搜遍4000万医学文献。AI智能推荐,让科研检索更轻松。

立即免费搜索

文件翻译

保留排版,准确专业,支持PDF/Word/PPT等文件格式,支持 12+语言互译。

免费翻译文档

深度研究

AI帮你快速写综述,25分钟生成高质量综述,智能提取关键信息,辅助科研写作。

立即免费体验

罕见的巨大硬膜内硬膜外血淋巴管瘤:一例报告。

Rare giant intradural epidural hemolymphangioma: A case report.

作者信息

Sun Shou-Feng, Wang Xue-Hua, Yuan Ying-Ying, Shao Yuan-Dong

机构信息

Department of Spine Surgery, Binzhou People's Hospital, Binzhou 256600, Shandong Province, China.

Department of Infectious Disease, Binzhou People's Hospital, Binzhou 256600, Shandong Province, China.

出版信息

World J Clin Cases. 2024 Sep 6;12(25):5798-5804. doi: 10.12998/wjcc.v12.i25.5798.

DOI:10.12998/wjcc.v12.i25.5798
PMID:39247738
原文链接:https://pmc.ncbi.nlm.nih.gov/articles/PMC11263048/
Abstract

BACKGROUND

Hemolymphangioma is a rare, noninvasive benign tumor that originates from vascular and lymphatic malformations. It is usually congenital and can present with varying symptoms depending on its location and size. There are very few reports of hemolymphangiomas within the spinal canal, and giant lesions are exceptionally rare.

CASE SUMMARY

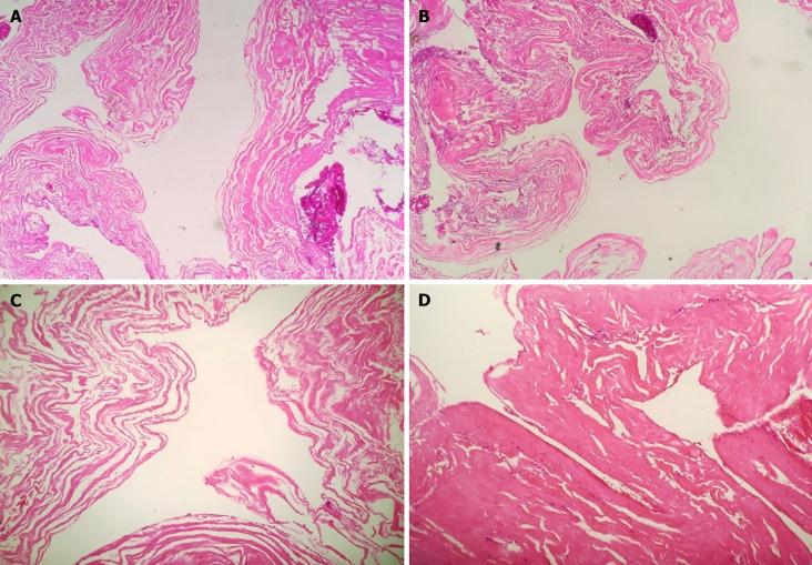
In July 2023, a 64-year-old male with a giant intravertebral epidural hemolymphangioma from thoracic 11 to lumbar 2 (T11-L2) was admitted to the Department of Spine Surgery at the People's Hospital of Binzhou City, China. The patient experienced progressive lumbar and left lower limb pain, numbness, weakness in both lower limbs, and difficulty with urination and defecation. Imaging studies revealed a large cystic mass in the spinal canal at T11-L2. Surgical decompression was performed, and the pathology confirmed hemolymphangioma.

CONCLUSION

Complete resection of hemolymphangiomas has the best prognosis, and final diagnosis relies on pathologic diagnosis. In this case, the mass was removed intact with a pedicle nail rod system, leading to adequate spinal decompression and restoration of spinal stability.

摘要

背景

淋巴管瘤是一种罕见的非侵袭性良性肿瘤,起源于血管和淋巴管畸形。它通常是先天性的,根据其位置和大小可表现出不同症状。椎管内淋巴管瘤的报道非常少,巨大病变极为罕见。

病例摘要

2023年7月,一名64岁男性因胸11至腰2(T11-L2)巨大椎体内硬膜外淋巴管瘤入住中国滨州市人民医院脊柱外科。患者出现进行性腰痛、左下肢疼痛、双下肢麻木、无力以及排尿和排便困难。影像学检查显示T11-L2椎管内有一个巨大囊性肿块。进行了手术减压,病理证实为淋巴管瘤。

结论

淋巴管瘤完整切除预后最佳,最终诊断依赖病理诊断。在本病例中,通过椎弓根钉棒系统完整切除肿块,实现了充分的脊髓减压并恢复了脊柱稳定性。

https://cdn.ncbi.nlm.nih.gov/pmc/blobs/4679/11263048/2a434724552f/WJCC-12-5798-g004.jpg
https://cdn.ncbi.nlm.nih.gov/pmc/blobs/4679/11263048/f66928608b5d/WJCC-12-5798-g001.jpg
https://cdn.ncbi.nlm.nih.gov/pmc/blobs/4679/11263048/aa8247b54049/WJCC-12-5798-g002.jpg
https://cdn.ncbi.nlm.nih.gov/pmc/blobs/4679/11263048/f687402aaa21/WJCC-12-5798-g003.jpg
https://cdn.ncbi.nlm.nih.gov/pmc/blobs/4679/11263048/2a434724552f/WJCC-12-5798-g004.jpg
https://cdn.ncbi.nlm.nih.gov/pmc/blobs/4679/11263048/f66928608b5d/WJCC-12-5798-g001.jpg
https://cdn.ncbi.nlm.nih.gov/pmc/blobs/4679/11263048/aa8247b54049/WJCC-12-5798-g002.jpg
https://cdn.ncbi.nlm.nih.gov/pmc/blobs/4679/11263048/f687402aaa21/WJCC-12-5798-g003.jpg
https://cdn.ncbi.nlm.nih.gov/pmc/blobs/4679/11263048/2a434724552f/WJCC-12-5798-g004.jpg

相似文献

1
Rare giant intradural epidural hemolymphangioma: A case report.罕见的巨大硬膜内硬膜外血淋巴管瘤:一例报告。
World J Clin Cases. 2024 Sep 6;12(25):5798-5804. doi: 10.12998/wjcc.v12.i25.5798.
2
Two cases of hemolymphangioma in the thoracic spinal canal and spinal epidural space on MRI: The first report in the literature.两例胸段椎管及脊髓硬膜外间隙的血淋巴管瘤的MRI表现:文献首例报道
Medicine (Baltimore). 2017 Dec;96(52):e9524. doi: 10.1097/MD.0000000000009524.
3
Tandem Thoracic Spinal Cord Lesions of Differing Pathologies: Concurrent Metastatic Lung Adenocarcinoma Lesion in Close Proximity to a Intradural Meningioma.不同病理类型的串联性胸段脊髓病变:紧邻硬脊膜内脑膜瘤的同时性肺腺癌转移瘤病变
Cureus. 2020 Jan 13;12(1):e6646. doi: 10.7759/cureus.6646.
4
CT and MRI presentation of intradural epidural angiolipoma of the thoracic spinal canal (with a case report).胸段椎管内硬膜内硬膜外血管脂肪瘤的CT与MRI表现(附1例报告)
Radiol Case Rep. 2023 Feb 27;18(5):1721-1726. doi: 10.1016/j.radcr.2023.01.095. eCollection 2023 May.
5
[A rare cause of spontaneous hemoperitoneum in adults: ruptured cystic hemolymphangioma].成人自发性血腹的罕见病因:囊性淋巴管瘤破裂
Pan Afr Med J. 2017 Jan 4;26:8. doi: 10.11604/pamj.2017.26.8.6533. eCollection 2017.
6
Giant retroperitoneal hemolymphangioma: A case report and review of literature.巨大腹膜后淋巴管瘤:一例报告并文献复习
World J Clin Cases. 2024 Aug 6;12(22):5258-5262. doi: 10.12998/wjcc.v12.i22.5258.
7
Unexpectedly rapid decrease in the size of a spinal epidural abscess after percutaneous posterior pedicle screw fixation without decompression surgery: a case report.经皮后路椎弓根螺钉固定术后,椎管硬膜外脓肿大小意外迅速缩小,无需减压手术:一例报告。
Spinal Cord Ser Cases. 2022 Aug 13;8(1):77. doi: 10.1038/s41394-022-00543-5.
8
A rare case of intradural and extramedullary epidermoid cyst after repetitive epidural anesthesia: case report and review of the literature.重复硬膜外麻醉后硬脊膜内外表皮样囊肿 1 例:病例报告及文献复习。
World J Surg Oncol. 2017 Jul 17;15(1):131. doi: 10.1186/s12957-017-1186-4.
9
Small intestinal hemolymphangioma treated with enteroscopic injection sclerotherapy: A case report and review of literature.经内镜注射硬化治疗小肠淋巴管瘤 1 例并文献复习
World J Gastroenterol. 2020 Apr 7;26(13):1540-1545. doi: 10.3748/wjg.v26.i13.1540.
10
Open surgical ligation of a thoracic spinal epidural arteriovenous fistula causing thoracic myelopathy: illustrative case.开放性手术结扎导致胸段脊髓病的胸段脊髓硬膜外动静脉瘘:病例说明
J Neurosurg Case Lessons. 2023 Aug 7;6(6). doi: 10.3171/CASE23275.

引用本文的文献

1
Case Report: Giant mesenteric hemolymphangioma enveloping the ileum.病例报告:包裹回肠的巨大肠系膜血淋巴管瘤。
Front Oncol. 2025 Jun 18;15:1557916. doi: 10.3389/fonc.2025.1557916. eCollection 2025.

本文引用的文献

1
Oral Hemangiolymphangioma Presenting As Gingival Enlargement: A Rare Case With Literature Review.表现为牙龈肿大的口腔血管淋巴管瘤:1例罕见病例并文献复习
Cureus. 2023 Oct 8;15(10):e46674. doi: 10.7759/cureus.46674. eCollection 2023 Oct.
2
A 16-year retrospective study of vascular anomalies in the head and neck region.头颈部血管异常 16 年回顾性研究。
Head Face Med. 2023 Aug 1;19(1):32. doi: 10.1186/s13005-023-00376-z.
3
Extremely rare pediatric primary scrotum tumor: spermatic cord hemolymphangioma for a case report and literature review.
极罕见的小儿原发性阴囊肿瘤:精索鞘膜血淋巴管瘤 1 例报告并文献复习。
World J Surg Oncol. 2023 Jul 26;21(1):226. doi: 10.1186/s12957-023-03118-2.
4
Case report: obstruction in the right ventricular outflow tract due to hemolymphangioma.病例报告:血淋巴管瘤导致右心室流出道梗阻。
Front Cardiovasc Med. 2023 May 26;10:1142970. doi: 10.3389/fcvm.2023.1142970. eCollection 2023.
5
Rare Case of Large Hemolymphangioma in the Small Bowel Mesentery: A Case Report.小肠系膜巨大淋巴管瘤罕见病例:一例报告
J Korean Soc Radiol. 2023 Mar;84(2):504-511. doi: 10.3348/jksr.2022.0043. Epub 2023 Mar 24.
6
Contrast-enhanced ultrasound-based Bosniak classification for evaluating of a cystic renal mass: a rare case description of renal hemolymphangioma.基于超声造影的博斯尼亚克分类法评估肾囊性肿块:肾血管淋巴管瘤的罕见病例描述
Quant Imaging Med Surg. 2023 Feb 1;13(2):1221-1226. doi: 10.21037/qims-22-518. Epub 2022 Dec 7.
7
A case of jejunal hemolymphangioma.
Dig Liver Dis. 2023 Feb;55(2):291-293. doi: 10.1016/j.dld.2022.11.007. Epub 2022 Nov 23.
8
Giant Hepatic Hemolymphangioma With Peritoneal Effusion in Children: A Case Report and Literature Review.儿童巨大肝淋巴管血管瘤伴腹腔积液:1例报告及文献复习
Front Pediatr. 2022 Feb 18;10:817521. doi: 10.3389/fped.2022.817521. eCollection 2022.
9
Hemolymphangioma of the transverse mesocolon: a case report and literature review.横结肠系膜淋巴管瘤:一例报告并文献复习
Transl Cancer Res. 2021 Aug;10(8):3849-3855. doi: 10.21037/tcr-21-176.
10
Hemolymphangioma invasion of R scapula and mediastinum: a rare case report.
Pediatr Hematol Oncol. 2022 Mar;39(2):174-179. doi: 10.1080/08880018.2021.1956659. Epub 2021 Aug 6.