Suppr超能文献

橙皮苷、百里香酚、迷迭香酸及其联合作用对肉鸡生长性能、肠道屏障功能和盲肠微生物群的影响。

Effects of hesperidin, thymol, rosmarinic acid and their combined effect on growth performance, intestinal barrier function and cecal microbiota in broilers.

作者信息

Liu Ruixue, Ding Xuedong, Dang Miaomiao, Wang Jing, Zhu Weiyun

机构信息

National Center for International Research on Animal Gut Nutrition, Laboratory of Gastrointestinal Microbiology, National Experimental Teaching Demonstration Center of Animal Science, College of Animal Science and Technology, Nanjing Agricultural University, Nanjing 210095, China.

National Center for International Research on Animal Gut Nutrition, Laboratory of Gastrointestinal Microbiology, National Experimental Teaching Demonstration Center of Animal Science, College of Animal Science and Technology, Nanjing Agricultural University, Nanjing 210095, China.

出版信息

Poult Sci. 2024 Dec;103(12):104247. doi: 10.1016/j.psj.2024.104247. Epub 2024 Aug 27.

Abstract

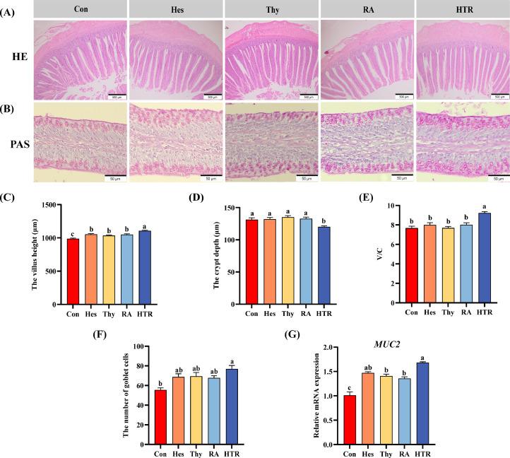
This study aims to investigate the effects of hesperidin (Hes), thymol (Thy), rosmarinic acid (RA) and their combined effect on broiler growth performance, intestinal barrier function, and cecal microbiota. A total of 240 newly hatched Arbor Acres broiler chicks were randomly divided into 5 treatments with 6 replicates of 8 chickens. The birds were fed a basal diet (Con group), a basal diet supplemented with 40 mg/kg Hes (Hes group), a basal diet supplemented with 40 mg/kg Thy (Thy group), a basal diet supplemented with 20 mg/kg RA (RA group), or a basal diet supplemented with 40 mg/kg Hes + 40 mg/kg Thy + 20 mg/kg RA (HTR group) for 42 d. The results indicated that dietary Hes and HTR supplementation enhanced average daily gain, final body weight, and eviscerated yield of broilers compared with the Con group (P < 0.05). Notably, the HTR treatment showed a decrease in abdominal fat yield and ratio of feed to weight gain (P < 0.05). HTR treatment increased ileal villus height, villus height/crypt depth, and number of goblet cells, decreased the crypt depth (P < 0.05), up-regulated the mRNA expression of tight junction proteins (ZO-1, Claudin-1, Occludin) and MUC2 (P < 0.05). Hes, Thy, RA, HTR treatment decreased the concentrations of pro-inflammatory factors (IL-8, IFN-γ and TNF-α), and down-regulated the mRNA expression of TLR4/MyD88/NF-κB (P < 0.05). Importantly, the supplementation of HTR increased the relative abundance of beneficial bacteria (Parabacteroides, Lachnosiraceae NK4A136 and Turicbacter) and significantly decreased the relative abundance of opportunistic pathogenic bacteria such as Colidextribacter (P < 0.05). Additionally, the concentrations of propionate and butyrate in the cecum were elevated in the HTR group (P < 0.05). These findings indicate that the diet supplemented with HTR improved the growth performance and intestinal barrier function in broilers by modulating the cecal microbiota and its metabolites.

摘要

本研究旨在探讨橙皮苷(Hes)、百里香酚(Thy)、迷迭香酸(RA)及其组合对肉鸡生长性能、肠道屏障功能和盲肠微生物群的影响。总共240只新孵化的艾维茵肉鸡雏鸡被随机分为5组,每组8只鸡,重复6次。给这些鸡饲喂基础日粮(对照组)、添加40 mg/kg Hes的基础日粮(Hes组)、添加40 mg/kg Thy的基础日粮(Thy组)、添加20 mg/kg RA的基础日粮(RA组)或添加40 mg/kg Hes + 40 mg/kg Thy + 20 mg/kg RA的基础日粮(HTR组),持续42天。结果表明,与对照组相比,日粮中添加Hes和HTR提高了肉鸡的平均日增重、终末体重和屠宰率(P < 0.05)。值得注意的是,HTR处理使腹脂率和料重比降低(P < 0.05)。HTR处理增加了回肠绒毛高度、绒毛高度/隐窝深度和杯状细胞数量,降低了隐窝深度(P < 0.05),上调了紧密连接蛋白(ZO-1、Claudin-1、Occludin)和MUC2的mRNA表达(P < 0.05)。Hes、Thy、RA、HTR处理降低了促炎因子(IL-8、IFN-γ和TNF-α)的浓度,并下调了TLR4/MyD88/NF-κB的mRNA表达(P < 0.05)。重要的是,添加HTR增加了有益菌(副拟杆菌属、毛螺菌科NK4A136和Turicbacter)的相对丰度,并显著降低了机会性病原菌如科利德杆菌属的相对丰度(P < 0.05)。此外,HTR组盲肠中丙酸和丁酸的浓度升高(P < 0.05)。这些发现表明,添加HTR的日粮通过调节盲肠微生物群及其代谢产物改善了肉鸡的生长性能和肠道屏障功能。

https://cdn.ncbi.nlm.nih.gov/pmc/blobs/9b75/11416348/61c0d5795607/gr1.jpg

文献检索

告别复杂PubMed语法,用中文像聊天一样搜索,搜遍4000万医学文献。AI智能推荐,让科研检索更轻松。

立即免费搜索

文件翻译

保留排版,准确专业,支持PDF/Word/PPT等文件格式,支持 12+语言互译。

免费翻译文档

深度研究

AI帮你快速写综述,25分钟生成高质量综述,智能提取关键信息,辅助科研写作。

立即免费体验