Suppr超能文献

鹿茸蛋白缓解 UVB 诱导的 HaCaT 细胞和皮肤损伤。

Pilose Antler Protein Relieves UVB-Induced HaCaT Cells and Skin Damage.

机构信息

College of Chinese Medicinal Materials, Jilin Agricultural University, Changchun 130118, China.

Jilin Provincial Engineering Research Center for Efficient Breeding and Product Development of Sika Deer, Jilin Agricultural University, Changchun 130118, China.

出版信息

Molecules. 2024 Aug 27;29(17):4060. doi: 10.3390/molecules29174060.

Abstract

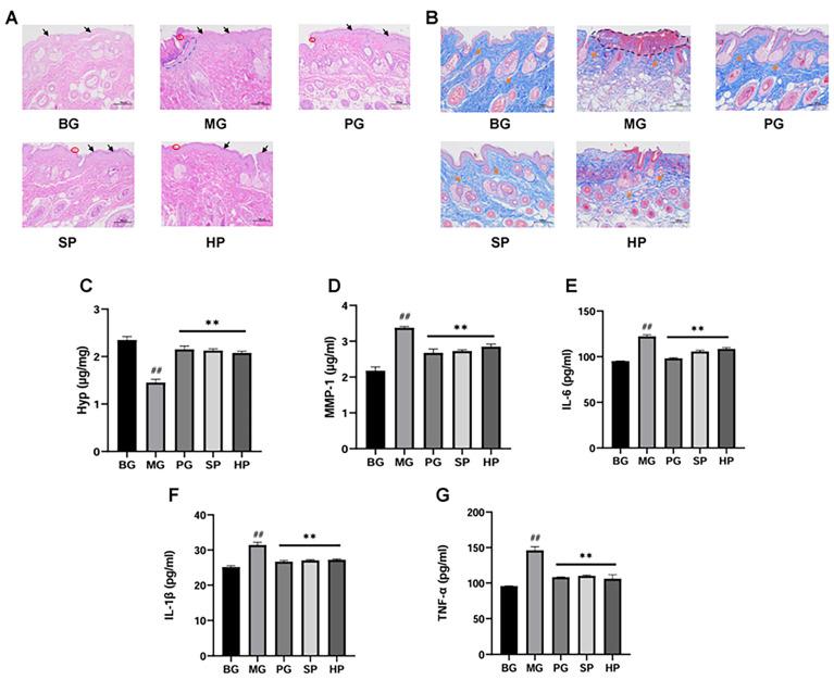
Extended exposure to UVB (280-315 nm) radiation results in oxidative damage and inflammation of the skin. Previous research has demonstrated that pilose antler extracts have strong anti-inflammatory properties and possess antioxidant effects. This study aimed to elucidate the mechanism of pilose antler protein in repairing photodamage caused by UVB radiation in HaCaT cells and ICR mice. Pilose antler protein (PAP) was found to increase the expression of type I collagen and hyaluronic acid in HaCaT cells under UVB irradiation while also inhibiting reactive oxygen species (ROS) production and oxidative stress in vitro. In vivo, the topical application of pilose antler protein effectively attenuated UVB-induced skin damage in ICR mice by reducing interleukin-1β (IL-β), interleukin-6 (IL-6), and tumor necrosis factor-α (TNF-α) and inhibiting skin inflammation while alleviating UVB-induced oxidative stress. It was shown that pilose antler protein repaired UVB-induced photodamage through the MAPK and TGF-β/Smad pathways.

摘要

长时间暴露于 UVB(280-315nm)辐射会导致皮肤氧化损伤和炎症。先前的研究表明,鹿茸提取物具有很强的抗炎特性,并具有抗氧化作用。本研究旨在阐明鹿茸蛋白在修复 UVB 辐射对 HaCaT 细胞和 ICR 小鼠光损伤中的作用机制。研究发现,鹿茸蛋白(PAP)在 UVB 照射下可增加 HaCaT 细胞中 I 型胶原蛋白和透明质酸的表达,同时抑制体外活性氧(ROS)的产生和氧化应激。在体内,鹿茸蛋白的局部应用通过减少白细胞介素-1β(IL-1β)、白细胞介素-6(IL-6)和肿瘤坏死因子-α(TNF-α)以及抑制皮肤炎症,同时缓解 UVB 诱导的氧化应激,有效减轻 ICR 小鼠的 UVB 诱导的皮肤损伤。结果表明,鹿茸蛋白通过 MAPK 和 TGF-β/Smad 通路修复 UVB 诱导的光损伤。

https://cdn.ncbi.nlm.nih.gov/pmc/blobs/ec22/11397021/7b73ea92d602/molecules-29-04060-g001.jpg

文献检索

告别复杂PubMed语法,用中文像聊天一样搜索,搜遍4000万医学文献。AI智能推荐,让科研检索更轻松。

立即免费搜索

文件翻译

保留排版,准确专业,支持PDF/Word/PPT等文件格式,支持 12+语言互译。

免费翻译文档

深度研究

AI帮你快速写综述,25分钟生成高质量综述,智能提取关键信息,辅助科研写作。

立即免费体验