• 文献检索
  • 文档翻译
  • 深度研究
  • 学术资讯
  • Suppr Zotero 插件Zotero 插件
  • 邀请有礼
  • 套餐&价格
  • 历史记录
应用&插件
Suppr Zotero 插件Zotero 插件浏览器插件Mac 客户端Windows 客户端微信小程序
定价
高级版会员购买积分包购买API积分包
服务
文献检索文档翻译深度研究API 文档MCP 服务
关于我们
关于 Suppr公司介绍联系我们用户协议隐私条款
关注我们

Suppr 超能文献

核心技术专利:CN118964589B侵权必究
粤ICP备2023148730 号-1Suppr @ 2026

文献检索

告别复杂PubMed语法,用中文像聊天一样搜索,搜遍4000万医学文献。AI智能推荐,让科研检索更轻松。

立即免费搜索

文件翻译

保留排版,准确专业,支持PDF/Word/PPT等文件格式,支持 12+语言互译。

免费翻译文档

深度研究

AI帮你快速写综述,25分钟生成高质量综述,智能提取关键信息,辅助科研写作。

立即免费体验

严重登革热继发肾上腺危象引发的席汉综合征

Sheehan Syndrome Unmasked by Adrenal Crisis Secondary to Severe Dengue Fever.

作者信息

Mishra Ajay Kumar, Mateen Saboor, Jabeen Firdaus, Singh Shivesh, Verma Pankaj Kumar

机构信息

Department of Medicine, Era's Lucknow Medical College and Hospital, Lucknow, Uttar Pradesh, India.

出版信息

Ochsner J. 2024 Fall;24(3):219-224. doi: 10.31486/toj.24.0019.

DOI:10.31486/toj.24.0019
PMID:39280878
原文链接:https://pmc.ncbi.nlm.nih.gov/articles/PMC11398623/
Abstract

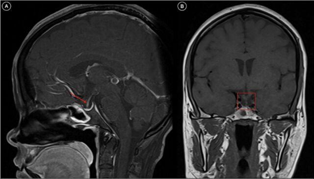
Sheehan syndrome is the infarction of a pituitary gland that has been physiologically enlarged as a result of postpartum bleeding. Agalactorrhea and amenorrhea are classic symptoms, but a constellation of manifestations occurs in both the acute and chronic forms. These manifestations can remain largely nonemergent unless Sheehan syndrome is complicated by severe adrenal dysfunction secondary to an inciting event such as dengue. We present a case of Sheehan syndrome that was uncovered in a patient with a dengue infection presenting as adrenal crisis. A 45-year-old female presented with symptoms of acute gastroenteritis and severe dehydration. Her medical history was significant for secondary amenorrhea for 14 years after her last delivery followed by symptoms of endocrine dysfunction. At presentation, the patient was in adrenal crisis with hypotension, hypoglycemia, and hyperthermia. Dengue nonstructural protein 1 antigen was positive, along with signs of plasma leakage. Bloodwork showed bicytopenia with abnormal liver enzymes. Ultrasonography and computed tomography of the abdomen were suggestive of serositis with acalculous cholecystitis. Magnetic resonance imaging of the brain revealed an empty sella. Anterior pituitary hormone levels were significantly decreased with low serum cortisol, and the patient's thyroid profile analysis suggested secondary hypothyroidism. The final diagnosis was Sheehan syndrome presenting as adrenal crisis precipitated by severe dengue fever. The patient was managed conservatively and discharged on hormone supplement therapy. Sheehan syndrome is an important cause of panhypopituitarism in the developing world. Knowledge of Sheehan syndrome is important to help prevent its occurrence and reduce its resultant multifactorial effects.

摘要

席汉综合征是由于产后出血导致生理性增大的垂体发生梗死。无乳和闭经是典型症状,但急性和慢性形式均会出现一系列表现。这些表现大多不会很紧急,除非席汉综合征因登革热等诱发事件并发严重肾上腺功能不全。我们报告一例在因登革热感染表现为肾上腺危象的患者中发现的席汉综合征病例。一名45岁女性出现急性胃肠炎和严重脱水症状。她的病史显示,末次分娩后继发闭经14年,随后出现内分泌功能障碍症状。就诊时,患者处于肾上腺危象状态,伴有低血压、低血糖和高热。登革热非结构蛋白1抗原呈阳性,伴有血浆渗漏迹象。血液检查显示全血细胞减少伴肝酶异常。腹部超声和计算机断层扫描提示浆膜炎伴无结石性胆囊炎。脑部磁共振成像显示空蝶鞍。垂体前叶激素水平显著降低,血清皮质醇水平低,患者的甲状腺功能分析提示继发性甲状腺功能减退。最终诊断为席汉综合征,表现为严重登革热引发的肾上腺危象。患者接受保守治疗,出院时接受激素补充治疗。席汉综合征是发展中国家全垂体功能减退的重要原因。了解席汉综合征对于预防其发生和减少其产生的多因素影响很重要。

https://cdn.ncbi.nlm.nih.gov/pmc/blobs/f419/11398623/406e14ba5e17/toj-24-0019-figure3.jpg
https://cdn.ncbi.nlm.nih.gov/pmc/blobs/f419/11398623/f4dff6c45336/toj-24-0019-figure1.jpg
https://cdn.ncbi.nlm.nih.gov/pmc/blobs/f419/11398623/d38fae71c8c4/toj-24-0019-figure2.jpg
https://cdn.ncbi.nlm.nih.gov/pmc/blobs/f419/11398623/406e14ba5e17/toj-24-0019-figure3.jpg
https://cdn.ncbi.nlm.nih.gov/pmc/blobs/f419/11398623/f4dff6c45336/toj-24-0019-figure1.jpg
https://cdn.ncbi.nlm.nih.gov/pmc/blobs/f419/11398623/d38fae71c8c4/toj-24-0019-figure2.jpg
https://cdn.ncbi.nlm.nih.gov/pmc/blobs/f419/11398623/406e14ba5e17/toj-24-0019-figure3.jpg

相似文献

1
Sheehan Syndrome Unmasked by Adrenal Crisis Secondary to Severe Dengue Fever.严重登革热继发肾上腺危象引发的席汉综合征
Ochsner J. 2024 Fall;24(3):219-224. doi: 10.31486/toj.24.0019.
2
A Case Report of Sheehan Syndrome: A Rare Cause of Hypopituitarism.希恩综合征病例报告:垂体功能减退的罕见病因
Cureus. 2024 Feb 4;16(2):e53544. doi: 10.7759/cureus.53544. eCollection 2024 Feb.
3
A Case of Sheehan Syndrome Six Years Postpartum Presented With Adrenal Crisis and Complicated by Hypothyroidism and Massive Pericardial Effusion.产后六年席汉综合征一例,伴肾上腺危象,并发甲状腺功能减退和大量心包积液。
Cureus. 2023 Jan 19;15(1):e33972. doi: 10.7759/cureus.33972. eCollection 2023 Jan.
4
A Case of Sheehan Syndrome 7 Years Postpartum with Transaminitis and Hyperlipidemia.产后 7 年发生的伴有转氨基酶升高和高血脂的席汉综合征 1 例
Am J Case Rep. 2021 May 5;22:e930908. doi: 10.12659/AJCR.930908.
5
Repairing a "broken heart" with hormone replacement therapy: case report of cardiogenic shock due to undiagnosed pituitary insufficiency.用激素替代疗法“修复破碎的心”:一例因未确诊的垂体功能不全引起的心源性休克病例报告。
Endocr Pract. 2012 Mar-Apr;18(2):e26-31. doi: 10.4158/EP11284.CR.
6
Reporte de caso: hipoglucemia grave como manifestación tardía de síndrome de Sheehan.病例报告:席汉氏综合征的迟发性表现为严重低血糖。
Cir Cir. 2022;90(2):262-266. doi: 10.24875/CIRU.20000948.
7
Sheehan Syndrome: An Unusual Presentation Without Inciting Factors.希恩综合征:一种无诱发因素的不典型表现。
Womens Health Rep (New Rochelle). 2020 Aug 24;1(1):287-292. doi: 10.1089/whr.2019.0028. eCollection 2020.
8
A case of acute Sheehan's syndrome and literature review: a rare but life-threatening complication of postpartum hemorrhage.1例急性希恩综合征病例及文献复习:产后出血罕见但危及生命的并发症
BMC Pregnancy Childbirth. 2017 Jun 14;17(1):188. doi: 10.1186/s12884-017-1380-y.
9
Sheehan syndrome.希恩综合征
Nat Rev Dis Primers. 2016 Dec 22;2:16092. doi: 10.1038/nrdp.2016.92.
10
Refractory hypotension induced by Sheehan syndrome with pituitary crisis: A case report.希恩综合征伴垂体危象所致难治性低血压:一例报告
Exp Ther Med. 2017 May;13(5):2097-2101. doi: 10.3892/etm.2017.4188. Epub 2017 Mar 6.

本文引用的文献

1
6. Glycemic Goals and Hypoglycemia: Standards of Care in Diabetes-2024.6. 血糖目标与低血糖:2024年糖尿病诊疗标准
Diabetes Care. 2024 Jan 1;47(Suppl 1):S111-S125. doi: 10.2337/dc24-S006.
2
Unforeseen complications: a case of dengue shock syndrome presenting with multi-organ dysfunction in a subtropical region.意外并发症:亚热带地区一例登革热休克综合征伴多器官功能障碍病例
Trop Med Health. 2023 Jul 17;51(1):39. doi: 10.1186/s41182-023-00530-y.
3
Sheehan's Syndrome unmasked by dengue fever: A case report and review of literature.
登革热诱发席汉氏综合征 1 例报告并文献复习
J Vector Borne Dis. 2023 Apr-Jun;60(2):220-223. doi: 10.4103/0972-9062.364757.
4
Acute Sheehan's Syndrome Presenting with Hyponatremia Followed by a Spontaneous Pregnancy.急性席汉综合征伴低钠血症后自然受孕
Case Rep Endocrinol. 2022 Nov 25;2022:9181365. doi: 10.1155/2022/9181365. eCollection 2022.
5
Pituitary Apoplexy: Risk Factors and Underlying Molecular Mechanisms.垂体卒中:危险因素与潜在分子机制。
Int J Mol Sci. 2022 Aug 5;23(15):8721. doi: 10.3390/ijms23158721.
6
Response to: Adrenal haemorrhage and COVID-19 vaccine-induced immune thrombotic thrombocytopenia: correspondence.回复:肾上腺出血与新冠疫苗诱导的免疫性血栓性血小板减少症:通信
QJM. 2022 Dec 12;115(12):876-877. doi: 10.1093/qjmed/hcac007.
7
A 45-year-old female patient with Sheehan's syndrome presenting with imminent adrenal crisis: a case report.一位 45 岁女性希恩氏综合征患者,表现为即将发生的肾上腺危象:病例报告。
J Med Case Rep. 2021 May 8;15(1):229. doi: 10.1186/s13256-021-02827-0.
8
Hypopituitarism in a Dengue Shock Syndrome Survivor without known Pituitary Adenoma.一名无已知垂体腺瘤的登革热休克综合征幸存者出现垂体功能减退。
Trop Biomed. 2016 Dec 1;33(4):746-752.
9
Adrenal Crisis.肾上腺危象
N Engl J Med. 2019 Aug 29;381(9):852-861. doi: 10.1056/NEJMra1807486.
10
Pituitary Disorders in Pregnancy.妊娠与垂体疾病。
Neurol Clin. 2019 Feb;37(1):63-83. doi: 10.1016/j.ncl.2018.09.009.