• 文献检索
  • 文档翻译
  • 深度研究
  • 学术资讯
  • Suppr Zotero 插件Zotero 插件
  • 邀请有礼
  • 套餐&价格
  • 历史记录
应用&插件
Suppr Zotero 插件Zotero 插件浏览器插件Mac 客户端Windows 客户端微信小程序
定价
高级版会员购买积分包购买API积分包
服务
文献检索文档翻译深度研究API 文档MCP 服务
关于我们
关于 Suppr公司介绍联系我们用户协议隐私条款
关注我们

Suppr 超能文献

核心技术专利:CN118964589B侵权必究
粤ICP备2023148730 号-1Suppr @ 2026

文献检索

告别复杂PubMed语法,用中文像聊天一样搜索,搜遍4000万医学文献。AI智能推荐,让科研检索更轻松。

立即免费搜索

文件翻译

保留排版,准确专业,支持PDF/Word/PPT等文件格式,支持 12+语言互译。

免费翻译文档

深度研究

AI帮你快速写综述,25分钟生成高质量综述,智能提取关键信息,辅助科研写作。

立即免费体验

一名糖尿病患者的毛霉菌病:来自佐治亚州的病例报告

Mucormycosis in a Diabetic Patient: A Case Report From Georgia.

作者信息

Katsitadze Luka, Javakhishvili Giorgi, Burkadze George, Nemsadze Sofia, Shiukashvili Vakhtang, Kandelaki George, Gabrichidze Tinatin, Didbaridze Tamar, Janashvili Lia

机构信息

Microbiology, Tbilisi State Medical University, Tbilisi, GEO.

Microbiology, Ken Walker International University, Tbilisi, GEO.

出版信息

Cureus. 2024 Sep 14;16(9):e69399. doi: 10.7759/cureus.69399. eCollection 2024 Sep.

DOI:10.7759/cureus.69399
PMID:39282481
原文链接:https://pmc.ncbi.nlm.nih.gov/articles/PMC11401456/
Abstract

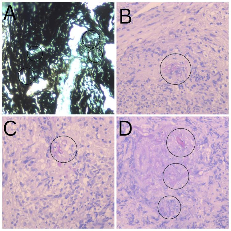
Mucormycosis is a rapidly progressive fungal infection that typically affects immunocompromised patients and diabetics. These fungi are found in soil and vegetation and can be easily inhaled by humans in day-to-day life; however, infection is rare unless specific risk factors are present. This case report presents a typical case of a 39-year-old male with poorly controlled type 1 diabetes mellitus. Initially presenting with a toothache in the upper molars, the infection quickly progressed to sinusitis, necrosis, and multiorgan failure. Based on our experience, prompt recognition of mucormycosis in risk-group patients is essential for improving future outcomes.

摘要

毛霉菌病是一种快速进展的真菌感染,通常影响免疫功能低下的患者和糖尿病患者。这些真菌存在于土壤和植被中,在日常生活中很容易被人类吸入;然而,除非存在特定的危险因素,否则感染很少见。本病例报告介绍了一名典型的39岁1型糖尿病控制不佳的男性患者。最初表现为上颌磨牙牙痛,感染迅速发展为鼻窦炎、坏死和多器官功能衰竭。根据我们的经验,对高危组患者及时识别毛霉菌病对于改善未来预后至关重要。

https://cdn.ncbi.nlm.nih.gov/pmc/blobs/7e11/11401456/f25bda7ce41e/cureus-0016-00000069399-i05.jpg
https://cdn.ncbi.nlm.nih.gov/pmc/blobs/7e11/11401456/9fede52cccda/cureus-0016-00000069399-i01.jpg
https://cdn.ncbi.nlm.nih.gov/pmc/blobs/7e11/11401456/c12d3f25b1b2/cureus-0016-00000069399-i02.jpg
https://cdn.ncbi.nlm.nih.gov/pmc/blobs/7e11/11401456/31d7b39d861f/cureus-0016-00000069399-i03.jpg
https://cdn.ncbi.nlm.nih.gov/pmc/blobs/7e11/11401456/5a52c8211b6d/cureus-0016-00000069399-i04.jpg
https://cdn.ncbi.nlm.nih.gov/pmc/blobs/7e11/11401456/f25bda7ce41e/cureus-0016-00000069399-i05.jpg
https://cdn.ncbi.nlm.nih.gov/pmc/blobs/7e11/11401456/9fede52cccda/cureus-0016-00000069399-i01.jpg
https://cdn.ncbi.nlm.nih.gov/pmc/blobs/7e11/11401456/c12d3f25b1b2/cureus-0016-00000069399-i02.jpg
https://cdn.ncbi.nlm.nih.gov/pmc/blobs/7e11/11401456/31d7b39d861f/cureus-0016-00000069399-i03.jpg
https://cdn.ncbi.nlm.nih.gov/pmc/blobs/7e11/11401456/5a52c8211b6d/cureus-0016-00000069399-i04.jpg
https://cdn.ncbi.nlm.nih.gov/pmc/blobs/7e11/11401456/f25bda7ce41e/cureus-0016-00000069399-i05.jpg

相似文献

1
Mucormycosis in a Diabetic Patient: A Case Report From Georgia.一名糖尿病患者的毛霉菌病:来自佐治亚州的病例报告
Cureus. 2024 Sep 14;16(9):e69399. doi: 10.7759/cureus.69399. eCollection 2024 Sep.
2
Severe facial necrosis in a type 1 diabetic patient secondary to mucormycosis masquerading as an internal maxillary artery occlusion: a case report.1 型糖尿病患者因毛霉菌病伪装成上颌内动脉闭塞而导致严重面部坏死:一例报告。
BMC Infect Dis. 2019 Feb 22;19(1):184. doi: 10.1186/s12879-019-3822-9.
3
Rhinocerebral mucormycosis in a patient with type 1 diabetes presenting as toothache: a case report from Himalayan region of India.一名1型糖尿病患者以牙痛为表现的鼻脑型毛霉菌病:来自印度喜马拉雅地区的病例报告
BMJ Case Rep. 2013 Oct 30;2013:bcr2013200811. doi: 10.1136/bcr-2013-200811.
4
A rare case of mucormycosis in a diabetic patient: diagnostic challenges and clinical management of mucormycosis hand infection.一名糖尿病患者罕见的毛霉菌病病例:手部毛霉菌感染的诊断挑战与临床处理
Case Reports Plast Surg Hand Surg. 2024 Mar 31;11(1):2333879. doi: 10.1080/23320885.2024.2333879. eCollection 2024.
5
A Rare Case of Pulmonary and Gastrointestinal Mucormycosis Due to spp. in a Child with Chronic Granulomatous Disease.一名患有慢性肉芽肿病的儿童因 属真菌引起肺和胃肠道毛霉菌病的罕见病例。 (注:原文中“ spp.”部分信息缺失)
Infect Dis Rep. 2022 Aug 8;14(4):579-586. doi: 10.3390/idr14040062.
6
Mucormycosis in a Diabetic Patient: A Case Report with an Insight into Its Pathophysiology.一名糖尿病患者的毛霉菌病:病例报告及对其病理生理学的深入见解
Contemp Clin Dent. 2017 Oct-Dec;8(4):662-666. doi: 10.4103/ccd.ccd_558_17.
7
Primary Cutaneous Mucormycosis Caused by Rhizopus oryzae: A Case Report and Review of Literature.原发性皮肤毛霉病由米根霉引起:病例报告及文献复习。
Mycopathologia. 2017 Apr;182(3-4):387-392. doi: 10.1007/s11046-016-0084-6. Epub 2016 Nov 3.
8
Diabetic ketoacidosis and coronavirus disease 2019-associated mucormycosis: a case report.糖尿病酮症酸中毒与 2019 冠状病毒病相关毛霉菌病:病例报告。
J Med Case Rep. 2022 Oct 31;16(1):400. doi: 10.1186/s13256-022-03594-2.
9
Mucormycosis: A rare entity with rising clinical presentation in immunocompromised hosts.毛霉菌病:一种在免疫功能低下宿主中临床表现不断增加的罕见疾病。
Int J Surg Case Rep. 2020;77:57-61. doi: 10.1016/j.ijscr.2020.10.075. Epub 2020 Oct 22.
10
Central retinal vein occlusion as primary ocular manifestation of rhino-orbital-cerebral mucormycosis: A case report.以视网膜中央静脉阻塞为首发表现的鼻-眶-脑毛霉菌病:一例报告。
Indian J Ophthalmol. 2022 Dec;70(12):4451-4453. doi: 10.4103/ijo.IJO_1318_22.

引用本文的文献

1
Rhino-Orbital Mucormycosis Presenting With Central Retinal Artery Occlusion: A Case Report.以视网膜中央动脉阻塞为表现的鼻眶毛霉菌病:一例报告
Cureus. 2025 Jul 15;17(7):e88020. doi: 10.7759/cureus.88020. eCollection 2025 Jul.

本文引用的文献

1
Laboratory diagnosis of mucormycosis: Present perspective.毛霉病的实验室诊断:当前视角
J Family Med Prim Care. 2022 May;11(5):1664-1671. doi: 10.4103/jfmpc.jfmpc_1479_21. Epub 2022 May 14.
2
Global guideline for the diagnosis and management of mucormycosis: an initiative of the European Confederation of Medical Mycology in cooperation with the Mycoses Study Group Education and Research Consortium.全球毛霉病诊断和管理指南:欧洲医学真菌学会联合会与真菌感染研究组教育和研究联盟合作开展的一项倡议。
Lancet Infect Dis. 2019 Dec;19(12):e405-e421. doi: 10.1016/S1473-3099(19)30312-3. Epub 2019 Nov 5.
3
The epidemiology and clinical manifestations of mucormycosis: a systematic review and meta-analysis of case reports.
毛霉病的流行病学和临床表现:病例报告的系统评价和荟萃分析。
Clin Microbiol Infect. 2019 Jan;25(1):26-34. doi: 10.1016/j.cmi.2018.07.011. Epub 2018 Jul 21.
4
Species Identification and Delineation of Pathogenic Mucorales by Matrix-Assisted Laser Desorption Ionization-Time of Flight Mass Spectrometry.基质辅助激光解吸电离飞行时间质谱法鉴定和区分致病性毛霉目真菌。
J Clin Microbiol. 2018 Mar 26;56(4). doi: 10.1128/JCM.01886-17. Print 2018 Apr.
5
Increasing incidence of mucormycosis in a large Spanish hospital from 2007 to 2015: Epidemiology and microbiological characterization of the isolates.2007年至2015年西班牙一家大型医院毛霉病发病率上升:分离株的流行病学和微生物学特征
PLoS One. 2017 Jun 7;12(6):e0179136. doi: 10.1371/journal.pone.0179136. eCollection 2017.
6
Isavuconazole as salvage therapy for mucormycosis.艾沙康唑作为毛霉病的挽救治疗药物。
Med Mycol Case Rep. 2016 Mar 8;11:36-9. doi: 10.1016/j.mmcr.2016.03.002. eCollection 2016 Mar.
7
Mucormycosis--from the pathogens to the disease.毛霉菌病——从病原体到疾病。
Clin Microbiol Infect. 2014 Jun;20 Suppl 6:60-6. doi: 10.1111/1469-0691.12566. Epub 2014 Feb 24.
8
A global analysis of mucormycosis in France: the RetroZygo Study (2005-2007).法国毛霉病的全球分析:RetroZygo 研究(2005-2007 年)。
Clin Infect Dis. 2012 Feb;54 Suppl 1:S35-43. doi: 10.1093/cid/cir880.
9
Molecular methods to improve diagnosis and identification of mucormycosis.提高毛霉病诊断和鉴定的分子方法。
J Clin Microbiol. 2011 Jun;49(6):2151-3. doi: 10.1128/JCM.00256-11. Epub 2011 Apr 20.
10
Increasing incidence of mucormycosis in University Hospital, Belgium.比利时大学医院中毛霉菌病发病率的增加。
Emerg Infect Dis. 2010 Sep;16(9):1456-8. doi: 10.3201/eid1609.100276.