• 文献检索
  • 文档翻译
  • 深度研究
  • 学术资讯
  • Suppr Zotero 插件Zotero 插件
  • 邀请有礼
  • 套餐&价格
  • 历史记录
应用&插件
Suppr Zotero 插件Zotero 插件浏览器插件Mac 客户端Windows 客户端微信小程序
定价
高级版会员购买积分包购买API积分包
服务
文献检索文档翻译深度研究API 文档MCP 服务
关于我们
关于 Suppr公司介绍联系我们用户协议隐私条款
关注我们

Suppr 超能文献

核心技术专利:CN118964589B侵权必究
粤ICP备2023148730 号-1Suppr @ 2026

文献检索

告别复杂PubMed语法,用中文像聊天一样搜索,搜遍4000万医学文献。AI智能推荐,让科研检索更轻松。

立即免费搜索

文件翻译

保留排版,准确专业,支持PDF/Word/PPT等文件格式,支持 12+语言互译。

免费翻译文档

深度研究

AI帮你快速写综述,25分钟生成高质量综述,智能提取关键信息,辅助科研写作。

立即免费体验

酷似支气管神经内分泌肿瘤的纵隔血管瘤

Mediastinal Hemangioma Mimicking as Bronchial NET.

作者信息

Kar Siven, Gupta Harshita, Shaikh Nusrat, Lele Vikram

机构信息

Department of Nuclear Medicine and PET/CT, Jaslok Hospital and Research Centre, Mumbai, Maharashtra, India.

出版信息

Indian J Nucl Med. 2024 May-Jun;39(3):213-215. doi: 10.4103/ijnm.ijnm_29_24. Epub 2024 Aug 17.

DOI:10.4103/ijnm.ijnm_29_24
PMID:39291060
原文链接:https://pmc.ncbi.nlm.nih.gov/articles/PMC11404744/
Abstract

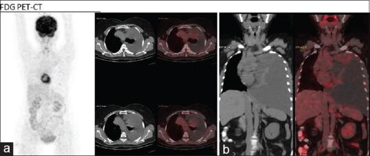
We present a rare case of mediastinal capillary hemangioma in a 54-year-old female. She presented with back pain in the left suprascapular region, and the chest radiograph revealed left pleural effusion. On further workup with high-resolution computed tomography (CT) chest, a hypervascular pleural-based neoplastic lesion in the left upper hemithorax with gross left pleural effusion and subtotal collapse of the left lung was identified. F-fluorodeoxyglucose positron emission tomography/CT was suggestive of a weakly metabolic well-defined pleural-based soft tissue lesion in the left upper hemithorax along the mediastinal side. Neuroendocrine tumor was suspected. Ga-DOTATATE PET/CT was advised, which showed intense uptake in the lesion. The mass was resected completely. Histopathological examination established the final diagnosis as benign vascular tumor consistent with a capillary hemangioma.

摘要

我们报告一例54岁女性纵隔毛细血管瘤的罕见病例。她表现为左肩胛上区背痛,胸部X线片显示左侧胸腔积液。进一步行胸部高分辨率计算机断层扫描(CT)检查时,发现左上半胸有一个以胸膜为基底的高血管性肿瘤病变,伴有大量左侧胸腔积液及左肺部分萎陷。氟脱氧葡萄糖正电子发射断层扫描/CT提示左上半胸纵隔侧有一个代谢较弱、边界清晰的以胸膜为基底的软组织病变。怀疑为神经内分泌肿瘤。建议行镓- DOTATATE PET/CT检查,结果显示病变部位有强烈摄取。肿瘤被完整切除。组织病理学检查最终确诊为与毛细血管瘤相符的良性血管肿瘤。

https://cdn.ncbi.nlm.nih.gov/pmc/blobs/a545/11404744/2723f5561773/IJNM-39-213-g003.jpg
https://cdn.ncbi.nlm.nih.gov/pmc/blobs/a545/11404744/d07a6dcaeb88/IJNM-39-213-g001.jpg
https://cdn.ncbi.nlm.nih.gov/pmc/blobs/a545/11404744/70561bec4baa/IJNM-39-213-g002.jpg
https://cdn.ncbi.nlm.nih.gov/pmc/blobs/a545/11404744/2723f5561773/IJNM-39-213-g003.jpg
https://cdn.ncbi.nlm.nih.gov/pmc/blobs/a545/11404744/d07a6dcaeb88/IJNM-39-213-g001.jpg
https://cdn.ncbi.nlm.nih.gov/pmc/blobs/a545/11404744/70561bec4baa/IJNM-39-213-g002.jpg
https://cdn.ncbi.nlm.nih.gov/pmc/blobs/a545/11404744/2723f5561773/IJNM-39-213-g003.jpg

相似文献

1
Mediastinal Hemangioma Mimicking as Bronchial NET.酷似支气管神经内分泌肿瘤的纵隔血管瘤
Indian J Nucl Med. 2024 May-Jun;39(3):213-215. doi: 10.4103/ijnm.ijnm_29_24. Epub 2024 Aug 17.
2
Mediastinal hemangioma: Masquerading as pleural effusion.纵隔血管瘤:伪装成胸腔积液。
J Indian Assoc Pediatr Surg. 2013 Oct;18(4):162-4. doi: 10.4103/0971-9261.121125.
3
Effect of Thyrocervical Artery Embolization for Mediastinal Hemangioma with Pleural Effusion.甲状腺颈干动脉栓塞治疗伴胸腔积液的纵隔血管瘤。
Intern Med. 2024 Dec 1;63(23):3217-3220. doi: 10.2169/internalmedicine.3358-23. Epub 2024 Mar 25.
4
Castleman Disease Masquerading as the Posterior Mediastinal Mass on F-Fluorodeoxyglucose-Positron Emission Tomography/Computed Tomography.在氟脱氧葡萄糖正电子发射断层扫描/计算机断层扫描中伪装成后纵隔肿块的卡斯特曼病
Indian J Nucl Med. 2019 Apr-Jun;34(2):171-172. doi: 10.4103/ijnm.IJNM_1_19.
5
Unusual aetiology of lymphocyte-predominant exudative pleural effusion: primary mediastinal actinomycosis.淋巴细胞为主型渗出性胸腔积液的罕见病因:原发性纵隔放线菌病。
Respirol Case Rep. 2020 Feb 14;8(3):e00534. doi: 10.1002/rcr2.534. eCollection 2020 Apr.
6
Cardiac hemangioma mimicking a neuroendocrine tumor on Ga Dotatate PET/CT.心脏血管瘤在 Ga DOTATATE PET/CT 上模拟神经内分泌肿瘤。
J Card Surg. 2022 Sep;37(9):2849-2851. doi: 10.1111/jocs.16578. Epub 2022 May 2.
7
A rare case of mediastinal mass with massive pleural effusion misdiagnosed as neurogenic tumor.罕见纵隔肿块伴大量胸腔积液误诊为神经源性肿瘤。
J Cardiothorac Surg. 2022 Dec 13;17(1):307. doi: 10.1186/s13019-022-02082-4.
8
Prevalence of hitherto unknown brain meningioma detected on Ga-DOTATATE positron-emission tomography/computed tomography in patients with metastatic neuroendocrine tumor and exploring potential of Lu-DOTATATE peptide receptor radionuclide therapy as single-shot treatment approach targeting both tumors.在转移性神经内分泌肿瘤患者中,通过镓- DOTATATE正电子发射断层扫描/计算机断层扫描检测到迄今未知的脑脑膜瘤,并探索镥- DOTATATE肽受体放射性核素治疗作为针对两种肿瘤的单次治疗方法的潜力。
World J Nucl Med. 2019 Apr-Jun;18(2):160-170. doi: 10.4103/wjnm.WJNM_39_18.
9
Adolescent With 68Ga DOTATATE-Avid Vertebral Hemangioma Mimicking Metastasis in PET Imaging.青少年患者,68Ga-DOTATATE 摄取的椎体血管瘤,在 PET 成像中类似于转移病灶。
Clin Nucl Med. 2015 Jul;40(7):e378-9. doi: 10.1097/RLU.0000000000000779.
10
MIB-1 Index-Stratified Assessment of Dual-Tracer PET/CT with Ga-DOTATATE and F-FDG and Multimodality Anatomic Imaging in Metastatic Neuroendocrine Tumors of Unknown Primary in a PRRT Workup Setting.在肽受体放射性核素治疗(PRRT)检查背景下,对镓-多柔比星(Ga-DOTATATE)和氟-氟代脱氧葡萄糖(F-FDG)双示踪剂PET/CT及多模态解剖成像进行MIB-1指数分层评估,用于不明原发灶的转移性神经内分泌肿瘤。
J Nucl Med Technol. 2017 Mar;45(1):34-41. doi: 10.2967/jnmt.116.185777. Epub 2017 Feb 2.

本文引用的文献

1
Cardiac hemangioma mimicking a neuroendocrine tumor on Ga Dotatate PET/CT.心脏血管瘤在 Ga DOTATATE PET/CT 上模拟神经内分泌肿瘤。
J Card Surg. 2022 Sep;37(9):2849-2851. doi: 10.1111/jocs.16578. Epub 2022 May 2.
2
Unusual 68 Ga-DOTATATE Uptake in Primary Nodal Hemangioma of Axillary Lymph Node.腋窝淋巴结原发性结节状血管瘤中不常见的 68Ga-DOTATATE 摄取。
Clin Nucl Med. 2022 Sep 1;47(9):809-810. doi: 10.1097/RLU.0000000000004148. Epub 2022 Mar 31.
3
68Ga-DOTATATE Uptake in an Intraosseous Hemangioma, as a Potential Cause of False-Positive PET/CT Finding, Simulating Tumoral Involvement.
68Ga-DOTATATE 摄取在骨内血管瘤中,可能导致假阳性 PET/CT 发现,模拟肿瘤累及。
Clin Nucl Med. 2022 Mar 1;47(3):e274-e275. doi: 10.1097/RLU.0000000000004045.
4
Extracorporeal Membrane Oxygenation-Combined Surgery for Hemoptysis Caused by a Mediastinal Hemangioma.体外膜肺氧合联合手术治疗纵隔血管瘤所致咯血
Ann Thorac Surg. 2021 Feb;111(2):e121-e125. doi: 10.1016/j.athoracsur.2020.05.081. Epub 2020 Jul 8.
5
Ga DOTATATE Uptake in Hemangioma Simulating Metastasis on PET Imaging: CT helps characterize bone hemangioma that could be wrongly interpreted as skeletal metastases on Ga DOTATATE PET imaging.镓[68Ga] DOTATATE在PET成像中模拟转移的血管瘤中的摄取:CT有助于对骨血管瘤进行特征性诊断,其在镓[68Ga] DOTATATE PET成像中可能被错误地解读为骨转移。
J Belg Soc Radiol. 2019 Jun 28;103(1):38. doi: 10.5334/jbsr.1772.
6
Somatostatin receptor imaging with 68Ga DOTATATE PET/CT: clinical utility, normal patterns, pearls, and pitfalls in interpretation.68Ga-DOTATATE PET/CT 进行生长抑素受体显像:临床应用、正常表现、解读要点及陷阱。
Radiographics. 2015 Mar-Apr;35(2):500-16. doi: 10.1148/rg.352140164.
7
Hypervascular mediastinal masses: action points for radiologists.富血管性纵隔肿块:放射科医生的应对要点
Eur J Radiol. 2015 Mar;84(3):489-498. doi: 10.1016/j.ejrad.2014.11.039. Epub 2014 Dec 15.
8
(68)Ga DOTATATE uptake in vertebral hemangioma.(68)Ga 镓 DOTATATE 在椎体血管瘤中的摄取。
Clin Nucl Med. 2014 May;39(5):462-3. doi: 10.1097/RLU.0000000000000282.
9
Venous hemangioma of the posterior mediastinum.后纵隔静脉血管瘤
Ann Thorac Cardiovasc Surg. 2012;18(3):247-50. doi: 10.5761/atcs.cr.11.01706.
10
Radiotherapy for life-threatening mediastinal hemangioma with Kasabach-Merritt syndrome.针对伴有卡萨巴赫-梅里特综合征的危及生命的纵隔血管瘤的放射治疗。
Pediatr Blood Cancer. 2007 Oct 15;49(5):739-44. doi: 10.1002/pbc.20767.