• 文献检索
  • 文档翻译
  • 深度研究
  • 学术资讯
  • Suppr Zotero 插件Zotero 插件
  • 邀请有礼
  • 套餐&价格
  • 历史记录
应用&插件
Suppr Zotero 插件Zotero 插件浏览器插件Mac 客户端Windows 客户端微信小程序
定价
高级版会员购买积分包购买API积分包
服务
文献检索文档翻译深度研究API 文档MCP 服务
关于我们
关于 Suppr公司介绍联系我们用户协议隐私条款
关注我们

Suppr 超能文献

核心技术专利:CN118964589B侵权必究
粤ICP备2023148730 号-1Suppr @ 2026

文献检索

告别复杂PubMed语法,用中文像聊天一样搜索,搜遍4000万医学文献。AI智能推荐,让科研检索更轻松。

立即免费搜索

文件翻译

保留排版,准确专业,支持PDF/Word/PPT等文件格式,支持 12+语言互译。

免费翻译文档

深度研究

AI帮你快速写综述,25分钟生成高质量综述,智能提取关键信息,辅助科研写作。

立即免费体验

罕见年龄股骨原发性多形性脂肪肉瘤的诊断、基因改变及治疗:病例报告与文献复习

The diagnosis, genetic alternation, and treatment of the primary pleomorphic liposarcoma of the femur in a rare age: Case report and literature review.

作者信息

Wu Haixiao, Ghanem Ahmed K, Abbas Kirellos Said, Abdalshafy Hassan, Abdelazeem Basel, Wang Hangchi, Zhang Jin, Zhang Chao

机构信息

Department of Bone and Soft Tissue Tumors, Tianjin Medical University Cancer Institute and Hospital, National Clinical Research Center for Cancer, Key Laboratory of Cancer Prevention and Therapy, Tianjin's Clinical Research Center for Cancer, Tianjin, China.

The Sino-Russian Joint Research Center for Bone Metastasis in Malignant Tumor, Tianjin, China.

出版信息

Heliyon. 2024 Aug 29;10(17):e36953. doi: 10.1016/j.heliyon.2024.e36953. eCollection 2024 Sep 15.

DOI:10.1016/j.heliyon.2024.e36953
PMID:39296074
原文链接:https://pmc.ncbi.nlm.nih.gov/articles/PMC11407983/
Abstract

INTRODUCTION

Liposarcoma of the bone is an extremely rare and aggressive primary bone tumor. We aimed to review all liposarcoma cases in the literature and present our new young female patient with liposarcoma.

METHODS

of literature review and case presentation: Electronic databases (PubMed, Scopus, Web of Science (WOS), and Google Scholar) were searched to retrieve the related cases on liposarcoma. Extraction for important clinical data was done independently by two authors to present age, gender, site, histological type, the treatment used, and clinical outcomes of survival or recurrence. In our presented case, we followed the CARE checklist.

RESULTS

A total of 33 patients were included in the literature search: 19 (57.6 %) male and 14 (42.4 %) female, with a mean age of 42.85 ± 18.83. Seven patients (21.2 %) were less than the age of 20 years old. The most frequent subtype was primary pleomorphic liposarcoma. Most treatment options were resection, excision, and amputation with or without chemotherapy. Recurrence was reported in four cases. However, most patients died due to late diagnosis with distant organ metastasis.

CASE PRESENTATION

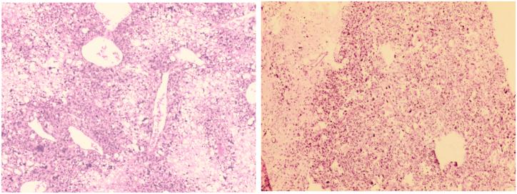
we report a case of primary pleomorphic liposarcoma of the left distal femur of a twelve-year-old female. The patient presented with a painful lower thigh swelling, not responding to analgesics. Imaging studies were done and showed a lesion extended across the distal physeal plate laterally and centrally with scattered lesions medially. Histologically, the tumor showed a uniformly pleomorphic liposarcomatous pattern with extensive necrosis. Genetic analysis showed frequent mutations in LATS2, CREBBP, and SMAD2 genes in addition to deletions and amplifications in different genetic pathways. Two cycles of MAP chemotherapy were completed before tumor excision and total left knee replacement, followed by two other MAP cycles postoperatively. Multiple lung metastases were detected on chest CT 10 months postoperatively. The patient died 13 months postoperatively.

CONCLUSION

Primary pleomorphic liposarcoma can present as sclerotic and aggressive malignant bone tumors at an early age. Excision, MAP, and MAPI chemotherapy are not enough to treat this tumor.

摘要

引言

骨脂肪肉瘤是一种极其罕见且侵袭性强的原发性骨肿瘤。我们旨在回顾文献中所有骨脂肪肉瘤病例,并介绍我们新收治的一位年轻女性骨脂肪肉瘤患者。

方法

文献回顾与病例报告:检索电子数据库(PubMed、Scopus、科学网(WOS)和谷歌学术)以获取骨脂肪肉瘤相关病例。由两位作者独立提取重要临床数据,以呈现年龄、性别、部位、组织学类型、所用治疗方法以及生存或复发的临床结果。在我们呈现的病例中,遵循了CARE检查表。

结果

文献检索共纳入33例患者:男性19例(57.6%),女性14例(42.4%),平均年龄42.85±18.83岁。7例患者(21.2%)年龄小于20岁。最常见的亚型是原发性多形性脂肪肉瘤。大多数治疗选择是切除、根治性切除和截肢,伴或不伴化疗。有4例报告复发。然而,大多数患者因诊断延迟伴有远处器官转移而死亡。

病例报告

我们报告一例12岁女性左股骨远端原发性多形性脂肪肉瘤。患者表现为下大腿疼痛性肿胀,对镇痛药无反应。进行了影像学检查,显示病变横向和中央延伸穿过远端骨骺板,内侧有散在病变。组织学上,肿瘤呈现一致的多形性脂肪肉瘤模式,伴有广泛坏死。基因分析显示,除了不同基因途径中的缺失和扩增外,LATS2、CREBBP和SMAD2基因频繁突变。在肿瘤切除和全左膝关节置换术前完成了两个周期的MAP化疗,术后又进行了另外两个周期的MAP化疗。术后10个月胸部CT检测到多处肺转移。患者术后13个月死亡。

结论

原发性多形性脂肪肉瘤在早期可表现为硬化性和侵袭性恶性骨肿瘤。切除、MAP和MAPI化疗不足以治疗该肿瘤。

https://cdn.ncbi.nlm.nih.gov/pmc/blobs/5e7c/11407983/66204dbe62bd/mmcfigs1.jpg
https://cdn.ncbi.nlm.nih.gov/pmc/blobs/5e7c/11407983/0cb27d7b461d/gr1.jpg
https://cdn.ncbi.nlm.nih.gov/pmc/blobs/5e7c/11407983/460c6db16e04/gr2.jpg
https://cdn.ncbi.nlm.nih.gov/pmc/blobs/5e7c/11407983/b76384c041cb/gr3.jpg
https://cdn.ncbi.nlm.nih.gov/pmc/blobs/5e7c/11407983/f0a7976f86a5/gr4.jpg
https://cdn.ncbi.nlm.nih.gov/pmc/blobs/5e7c/11407983/e419fabce7cf/gr5.jpg
https://cdn.ncbi.nlm.nih.gov/pmc/blobs/5e7c/11407983/66204dbe62bd/mmcfigs1.jpg
https://cdn.ncbi.nlm.nih.gov/pmc/blobs/5e7c/11407983/0cb27d7b461d/gr1.jpg
https://cdn.ncbi.nlm.nih.gov/pmc/blobs/5e7c/11407983/460c6db16e04/gr2.jpg
https://cdn.ncbi.nlm.nih.gov/pmc/blobs/5e7c/11407983/b76384c041cb/gr3.jpg
https://cdn.ncbi.nlm.nih.gov/pmc/blobs/5e7c/11407983/f0a7976f86a5/gr4.jpg
https://cdn.ncbi.nlm.nih.gov/pmc/blobs/5e7c/11407983/e419fabce7cf/gr5.jpg
https://cdn.ncbi.nlm.nih.gov/pmc/blobs/5e7c/11407983/66204dbe62bd/mmcfigs1.jpg

相似文献

1
The diagnosis, genetic alternation, and treatment of the primary pleomorphic liposarcoma of the femur in a rare age: Case report and literature review.罕见年龄股骨原发性多形性脂肪肉瘤的诊断、基因改变及治疗:病例报告与文献复习
Heliyon. 2024 Aug 29;10(17):e36953. doi: 10.1016/j.heliyon.2024.e36953. eCollection 2024 Sep 15.
2
Pleomorphic liposarcoma of bone: a rare primary malignant bone tumour.骨多形性脂肪肉瘤:一种罕见的原发性恶性骨肿瘤。
Clin Sarcoma Res. 2018 Feb 9;8:2. doi: 10.1186/s13569-018-0089-7. eCollection 2018.
3
Primary pleomorphic liposarcoma of bone: A case report with literature review.骨原发性多形性脂肪肉瘤:一例报告并文献复习
Int J Surg Case Rep. 2023 Aug;109:108584. doi: 10.1016/j.ijscr.2023.108584. Epub 2023 Jul 28.
4
Pleomorphic liposarcoma of the extremity with solitary huge liver metastasis at initial diagnosis treated with conversion surgery combined with adjuvant chemotherapy: a case report.四肢多形性脂肪肉瘤,初诊时伴有孤立性巨大肝转移,采用转化手术联合辅助化疗治疗:病例报告。
J Med Case Rep. 2023 Nov 20;17(1):484. doi: 10.1186/s13256-023-04223-2.
5
Primary pleomorphic liposarcoma of the liver: a case report and literature review.肝脏原发性多形性脂肪肉瘤:一例报告及文献复习
Surg Case Rep. 2021 Nov 19;7(1):244. doi: 10.1186/s40792-021-01322-4.
6
Pleomorphic Liposarcoma of Femur: A Rare Soft Tissue Sarcoma Metastasized to the Bone-Case Report and Review of Literature.股骨多形性脂肪肉瘤:一种罕见的转移至骨的软组织肉瘤——病例报告及文献复习
Case Rep Orthop. 2022 Mar 7;2022:9195529. doi: 10.1155/2022/9195529. eCollection 2022.
7
Primary pleomorphic liver liposarcoma: A case series and literature review.原发性多形性肝脂肪肉瘤:病例系列报道及文献综述
Ann Hepatobiliary Pancreat Surg. 2021 Aug 31;25(3):395-400. doi: 10.14701/ahbps.2021.25.3.395.
8
Primary pleomorphic liposarcoma of the spine. Case report and review of the literature.脊柱原发性多形性脂肪肉瘤。病例报告及文献复习。
Int J Surg Case Rep. 2016;25:114-9. doi: 10.1016/j.ijscr.2016.06.032. Epub 2016 Jun 23.
9
Rare Case of Metastatic Pleomorphic Liposarcoma of Thigh Presenting as Ewing's Sarcoma.大腿转移性多形性脂肪肉瘤罕见病例,表现为尤文肉瘤。
J Nepal Health Res Counc. 2021 Apr 23;19(1):215-217. doi: 10.33314/jnhrc.v19i1.3324.
10
Primary orbital pleomorphic liposarcoma in a child: A case report.儿童原发性眼眶多形性脂肪肉瘤:一例报告。
Am J Ophthalmol Case Rep. 2022 Jan 20;25:101285. doi: 10.1016/j.ajoc.2022.101285. eCollection 2022 Mar.

本文引用的文献

1
The 100 most cited papers on bone metastasis: A bibliometric analysis.关于骨转移的100篇被引用次数最多的论文:一项文献计量分析。
J Bone Oncol. 2022 Jun 29;35:100443. doi: 10.1016/j.jbo.2022.100443. eCollection 2022 Aug.
2
Non-cancer Causes of Death Following Initial Synchronous Bone Metastasis in Cancer Patients.癌症患者初次发生同步骨转移后的非癌症死亡原因
Front Med (Lausanne). 2022 Jun 2;9:899544. doi: 10.3389/fmed.2022.899544. eCollection 2022.
3
Primary liposarcoma of the fibular head: A rare location for a rare tumor: A case report.
腓骨头原发性脂肪肉瘤:罕见肿瘤的罕见部位:一例报告
Int J Surg Case Rep. 2021 Jan;78:176-179. doi: 10.1016/j.ijscr.2020.12.026. Epub 2020 Dec 17.
4
The 2020 WHO Classification of Soft Tissue Tumours: news and perspectives.2020 年世界卫生组织软组织肿瘤分类:新闻与展望。
Pathologica. 2021 Apr;113(2):70-84. doi: 10.32074/1591-951X-213. Epub 2020 Nov 3.
5
Accurate 3-gene-signature for early diagnosis of liposarcoma progression.用于脂肪肉瘤进展早期诊断的精确三基因标志物。
Clin Sarcoma Res. 2020 Mar 5;10:4. doi: 10.1186/s13569-020-0126-1. eCollection 2020.
6
Giant atypical lipomatous tumor/well-differentiated liposarcoma affects lower limb activity: A case report.巨大非典型脂肪瘤性肿瘤/高分化脂肪肉瘤影响下肢活动:一例报告
Medicine (Baltimore). 2019 Oct;98(42):e17619. doi: 10.1097/MD.0000000000017619.
7
Pleomorphic liposarcoma: An analysis of 6 case reports and literature review.多形性脂肪肉瘤:6例病例报告分析及文献综述
Medicine (Baltimore). 2018 Feb;97(8):e9986. doi: 10.1097/MD.0000000000009986.
8
Pleomorphic liposarcoma of bone: a rare primary malignant bone tumour.骨多形性脂肪肉瘤:一种罕见的原发性恶性骨肿瘤。
Clin Sarcoma Res. 2018 Feb 9;8:2. doi: 10.1186/s13569-018-0089-7. eCollection 2018.
9
Differential diagnosis of atypical lipomatous tumor/well-differentiated liposarcoma and dedifferentiated liposarcoma: utility of p16 in combination with MDM2 and CDK4 immunohistochemistry.非典型脂肪瘤样肿瘤/高分化脂肪肉瘤与去分化脂肪肉瘤的鉴别诊断:p16联合MDM2和CDK4免疫组化的应用价值
Hum Pathol. 2017 Jan;59:34-40. doi: 10.1016/j.humpath.2016.08.009. Epub 2016 Sep 3.
10
Primary pleomorphic liposarcoma of the spine. Case report and review of the literature.脊柱原发性多形性脂肪肉瘤。病例报告及文献复习。
Int J Surg Case Rep. 2016;25:114-9. doi: 10.1016/j.ijscr.2016.06.032. Epub 2016 Jun 23.