Suppr超能文献

评价大鼠实验性肠缺血再灌注模型中的内质网应激:臭氧治疗和曲美他嗪的作用。

Evaluation of Endoplasmic Reticulum Stress in an Experimental Intestinal Ischemia-Reperfusion Model in Rats: The Role of Ozone Therapy and Trimetazidine.

机构信息

Department of General Surgery, Faculty of Medicine, Recep Tayyip Erdogan University, Rize 53100, Turkey.

Department of Histology and Embryology, Faculty of Medicine, Recep Tayyip Erdogan University, Rize 53100, Turkey.

出版信息

Biomolecules. 2024 Aug 25;14(9):1051. doi: 10.3390/biom14091051.

Abstract

AIM

The objective of the study was to assess the impact of ozone (O) and trimetazidine on the intestines following ischemia-reperfusion (I/R) injury through the investigation of endoplasmic reticulum stress.

METHODS

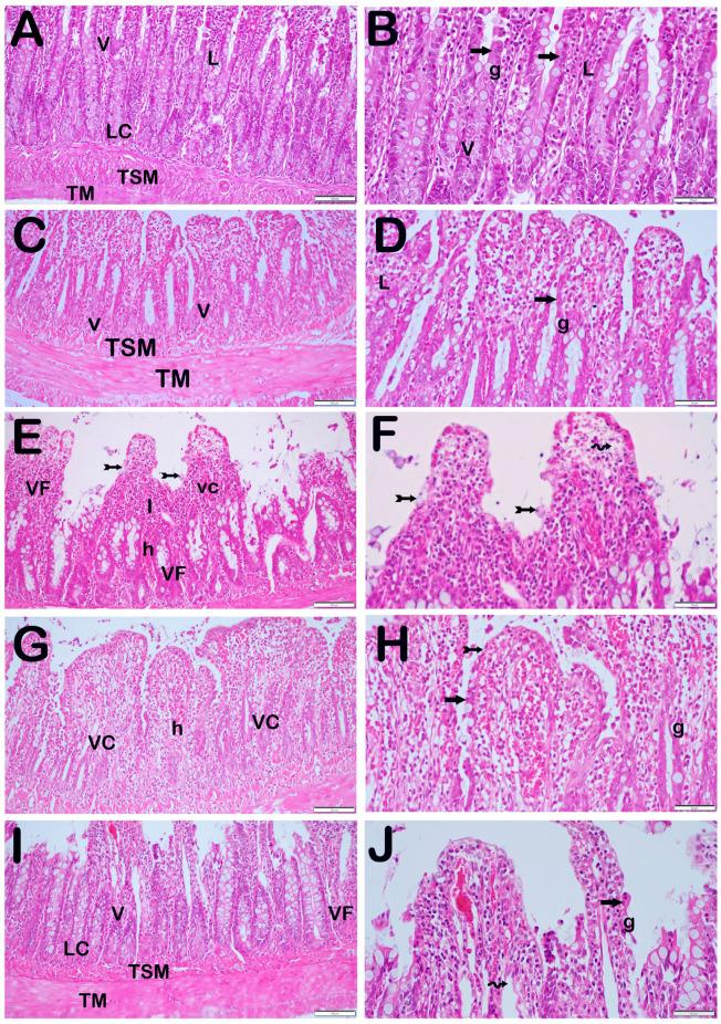
Forty Sprague Dawley rats were separated into five groups. The groups were named as follows: control, O, I/R, I/R + trimetazidine (TMZ), and I/R + O. The control group had laparotomy and exploration of the superior mesenteric artery (SMA) only. Furthermore, alongside laparotomy and SMA exploration, an intraperitoneal (i.p.) administration of a 0.7 mg/kg ozone-oxygen (O-O) combination was given to the O group. In the experimental groups, the SMA was blocked with the silk suture ligation technique for a duration of 1 h and then restored to normal blood flow for another hour. In the I/R + O group, ozone was delivered i.p. at a dosage of 0.7 mg/kg, 30 min after ischemia. In the I/R + TMZ group, a dose of 20 mg/kg/day of trimetazidine was administered orally via gavage for a duration of 7 days, beginning 1 week prior to the induction of ischemia. Intestinal tissues were taken to assess indicators of intestinal mucosal injury and oxidative stress.

RESULTS

The level of the lipid peroxidation marker malondialdehyde (MDA) was significantly reduced in the experimental groups as compared to the I/R group ( < 0.05). The experimental groups had considerably greater levels of glutathione (GSH), which reflects antioxidant capacity, compared to the I/R group ( < 0.05). Nevertheless, the concentration of GSH was observed to be increased in the I/R + O group in comparison to the I/R + TMZ group ( < 0.05). The histopathological damage score showed a substantial decrease in the experimental groups as compared to the I/R group ( < 0.05). The I/R + O group had the lowest injury score. The experimental groups exhibited significantly reduced positivity of the endoplasmic reticulum (ER) stress markers C/EBP homologous protein (CHOP) and glucose-regulated protein (GRP)-78 compared to the I/R group ( < 0.05).

CONCLUSIONS

The findings provide evidence for the potential advantages of utilizing ozone therapy in the treatment of intestinal ischemia-reperfusion injury. Additionally, they propose that ozone should be assessed in more extensive clinical trials in the future as a therapeutic agent that can disrupt endoplasmic reticulum stress.

摘要

目的

本研究旨在通过研究内质网应激,评估臭氧(O)和曲美他嗪(TMZ)对缺血再灌注(I/R)损伤后肠道的影响。

方法

将 40 只 Sprague Dawley 大鼠分为五组。分别命名为:对照组、O 组、I/R 组、I/R+TMZ 组和 I/R+O 组。对照组仅进行剖腹探查和肠系膜上动脉(SMA)探查。此外,O 组在剖腹探查和 SMA 探查时,给予 0.7mg/kg 臭氧-氧气(O-O)混合物腹腔内(i.p.)给药。在实验组中,用丝线结扎技术阻断 SMA 1 小时,然后恢复正常血流 1 小时。在 I/R+O 组中,在缺血后 30 分钟给予 0.7mg/kg 的臭氧 i.p.注射。在 I/R+TMZ 组中,通过灌胃给予 20mg/kg/天的曲美他嗪,连续 7 天,在诱导缺血前 1 周开始。取肠组织评估肠黏膜损伤和氧化应激指标。

结果

与 I/R 组相比,实验组的脂质过氧化标志物丙二醛(MDA)水平显著降低(<0.05)。实验组的谷胱甘肽(GSH)水平明显高于 I/R 组,反映了抗氧化能力(<0.05)。然而,与 I/R+TMZ 组相比,I/R+O 组的 GSH 浓度升高(<0.05)。与 I/R 组相比,实验组的组织病理学损伤评分显著降低(<0.05)。I/R+O 组损伤评分最低。实验组内质网(ER)应激标志物 C/EBP 同源蛋白(CHOP)和葡萄糖调节蛋白(GRP)-78 的阳性率明显低于 I/R 组(<0.05)。

结论

这些发现为臭氧治疗在治疗肠缺血再灌注损伤中的潜在优势提供了证据。此外,它们提出,未来应在更广泛的临床试验中评估臭氧作为一种能够破坏内质网应激的治疗药物。

https://cdn.ncbi.nlm.nih.gov/pmc/blobs/74ab/11430474/0e854fb64290/biomolecules-14-01051-g001.jpg

文献检索

告别复杂PubMed语法,用中文像聊天一样搜索,搜遍4000万医学文献。AI智能推荐,让科研检索更轻松。

立即免费搜索

文件翻译

保留排版,准确专业,支持PDF/Word/PPT等文件格式,支持 12+语言互译。

免费翻译文档

深度研究

AI帮你快速写综述,25分钟生成高质量综述,智能提取关键信息,辅助科研写作。

立即免费体验