Suppr超能文献

补充 Djulis(Koidz.)对老年小鼠免疫 mRNA 表达和粪便微生物组成的影响:一项初步研究。

Immune mRNA Expression and Fecal Microbiome Composition Change Induced by Djulis ( Koidz.) Supplementation in Aged Mice: A Pilot Study.

机构信息

International Degree Program in Animal Vaccine Technology, International College, National Pingtung University of Science and Technology, Pingtung 912, Taiwan.

Demin Veterinary Hospital, Kaohsiung 811, Taiwan.

出版信息

Medicina (Kaunas). 2024 Sep 20;60(9):1545. doi: 10.3390/medicina60091545.

Abstract

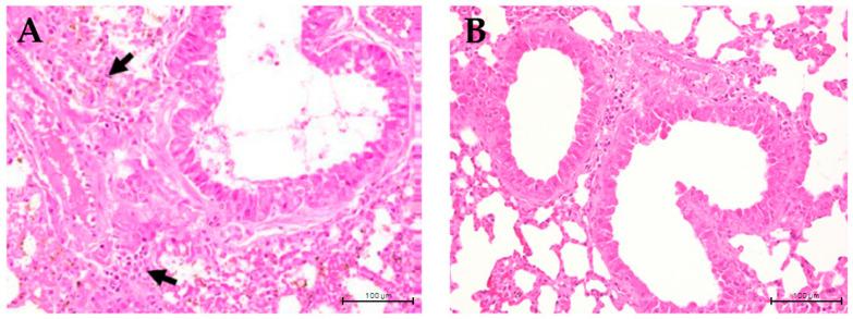
: The aging process has always been associated with a higher susceptibility to chronic inflammatory lung diseases. Several studies have demonstrated the gut microbiome's influence on the lungs through cross-talk or the gut-lungs axis maintaining nutrient-rich microenvironments. Taiwan djulis ( Koidz.) provides antioxidant and anti-inflammatory characteristics that could modulate the gut microbiome. This could induce the gut-lung axis through microbial cross-talk, thus favoring the modulation of lung inflammation. : Here, we investigate the immune mRNA expression in the spleen, fecal microbiome composition, and hyperplasia of the bronchial epithelium in aged 2-year-old BALB/c mice after 60 days of supplementation of djulis. : The pro-inflammatory cytokines IFN-γ, TNF-α, and IL-1β, T; cells CD4 and CD8; and TLRs TLR3, TLR4, TLR5, TLR7, TLR8, and TLR9 were reduced in their mRNA expression levels, while the anti-inflammatory cytokines IL-2, IL-4, and IL-10 were highly expressed in the -treated group. Interestingly, the fecal microbiome composition analysis indicated higher diversity in the -treated group and the presence of butyrate-producing bacteria that are beneficial in the gut microbiome. The histopathology showed reduced hyperplasia of the bronchial epithelium based on the degree of lesions. : Our findings suggest that Taiwan djulis can modulate the gut microbiome, leading to microbial cross-talk; reducing the mRNA expression of pro-inflammatory cytokines, T cells, and TLRs; and increasing anti-inflammatory cytokines in the spleen, as cytokines migrate in the lungs, preventing lung inflammation damage in aged mice or the gut-lung axis. Thus, Taiwan djulis could be considered a beneficial dietary component for the older adult population. The major limitation includes a lack of protein validation of cytokines and TLRs and quantification of the T cell population in the spleen as a marker of the gut-lung axis.

摘要

衰老过程一直与慢性炎症性肺部疾病的易感性增加有关。几项研究表明,肠道微生物组通过交叉对话或肠-肺轴维持富含营养的微环境对肺部有影响。台湾的牛樟芝(Koidz.)具有抗氧化和抗炎特性,可以调节肠道微生物组。这可以通过微生物交叉对话诱导肠-肺轴,从而有利于肺部炎症的调节。在这里,我们研究了补充牛樟芝 60 天后 2 岁 BALB/c 老年小鼠脾脏的免疫 mRNA 表达、粪便微生物组组成和支气管上皮增生。促炎细胞因子 IFN-γ、TNF-α 和 IL-1β、T 细胞 CD4 和 CD8;以及 TLRs TLR3、TLR4、TLR5、TLR7、TLR8 和 TLR9 的 mRNA 表达水平降低,而抗炎细胞因子 IL-2、IL-4 和 IL-10 在治疗组中高度表达。有趣的是,粪便微生物组组成分析表明,治疗组的多样性更高,存在有益的肠道微生物组丁酸产生菌。组织病理学显示,基于病变程度,支气管上皮增生减少。我们的研究结果表明,台湾的牛樟芝可以调节肠道微生物组,从而导致微生物交叉对话;降低脾脏中促炎细胞因子、T 细胞和 TLRs 的 mRNA 表达;并增加抗炎细胞因子。因为细胞因子会迁移到肺部,从而防止老年小鼠的肺部炎症损伤或肠-肺轴。因此,牛樟芝可以被认为是老年人有益的饮食成分。主要限制包括缺乏细胞因子和 TLRs 的蛋白质验证以及脾脏中 T 细胞群体作为肠-肺轴标志物的定量。

https://cdn.ncbi.nlm.nih.gov/pmc/blobs/c13a/11434560/5e6b39c5d0af/medicina-60-01545-g001.jpg

文献检索

告别复杂PubMed语法,用中文像聊天一样搜索,搜遍4000万医学文献。AI智能推荐,让科研检索更轻松。

立即免费搜索

文件翻译

保留排版,准确专业,支持PDF/Word/PPT等文件格式,支持 12+语言互译。

免费翻译文档

深度研究

AI帮你快速写综述,25分钟生成高质量综述,智能提取关键信息,辅助科研写作。

立即免费体验