Suppr超能文献

肌肉骨骼感染:影像学上的“模仿大师”

Musculoskeletal Infection: The Great Mimickers on Imaging.

作者信息

Klontzas Michail E, Vassalou Evangelia E, Spanakis Konstantinos, Alpantaki Kalliopi, Karantanas Apostolos H

机构信息

Department of Medical Imaging, University Hospital of Heraklion, 71110 Crete, Greece.

Computational BioMedicine Laboratory, Institute of Computer Science, Foundation for Research and Technology-Hellas (FORTH), 70013 Heraklion, Greece.

出版信息

J Clin Med. 2024 Sep 13;13(18):5424. doi: 10.3390/jcm13185424.

Abstract

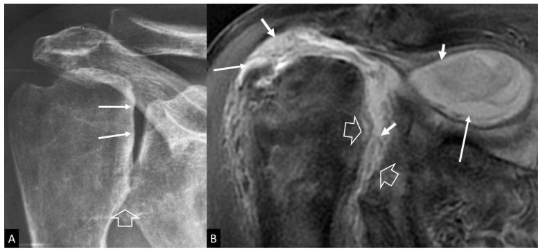
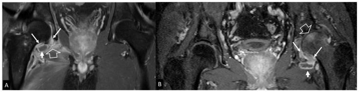
A series of conditions can mimic musculoskeletal infections on imaging, complicating their diagnosis and affecting the treatment. Depending on the anatomical location, different conditions can manifest with clinical and imaging findings that mimic infections. Herein we present a wide spectrum of the musculoskeletal disorders of the axial skeleton, long bones, peripheral joints, and soft tissue that may manifest as infectious processes, and we focus on the potential mimics of osteomyelitis, septic arthritis, and infectious spondylodiscitis that are common in clinical practice. We present the typical imaging characteristics of each musculoskeletal infection, followed by mimicking conditions.

摘要

一系列病症在影像学上可模拟肌肉骨骼感染,使诊断复杂化并影响治疗。根据解剖位置的不同,不同病症可表现出类似感染的临床和影像学表现。在此,我们展示了轴向骨骼、长骨、外周关节和软组织的广泛肌肉骨骼疾病,这些疾病可能表现为感染过程,并且我们重点关注临床实践中常见的骨髓炎、化脓性关节炎和感染性脊椎间盘炎的潜在模仿病症。我们介绍了每种肌肉骨骼感染的典型影像学特征,随后是模仿病症。

https://cdn.ncbi.nlm.nih.gov/pmc/blobs/6340/11432558/2bf7d03f7fd6/jcm-13-05424-g001.jpg

文献检索

告别复杂PubMed语法,用中文像聊天一样搜索,搜遍4000万医学文献。AI智能推荐,让科研检索更轻松。

立即免费搜索

文件翻译

保留排版,准确专业,支持PDF/Word/PPT等文件格式,支持 12+语言互译。

免费翻译文档

深度研究

AI帮你快速写综述,25分钟生成高质量综述,智能提取关键信息,辅助科研写作。

立即免费体验