• 文献检索
  • 文档翻译
  • 深度研究
  • 学术资讯
  • Suppr Zotero 插件Zotero 插件
  • 邀请有礼
  • 套餐&价格
  • 历史记录
应用&插件
Suppr Zotero 插件Zotero 插件浏览器插件Mac 客户端Windows 客户端微信小程序
定价
高级版会员购买积分包购买API积分包
服务
文献检索文档翻译深度研究API 文档MCP 服务
关于我们
关于 Suppr公司介绍联系我们用户协议隐私条款
关注我们

Suppr 超能文献

核心技术专利:CN118964589B侵权必究
粤ICP备2023148730 号-1Suppr @ 2026

文献检索

告别复杂PubMed语法,用中文像聊天一样搜索,搜遍4000万医学文献。AI智能推荐,让科研检索更轻松。

立即免费搜索

文件翻译

保留排版,准确专业,支持PDF/Word/PPT等文件格式,支持 12+语言互译。

免费翻译文档

深度研究

AI帮你快速写综述,25分钟生成高质量综述,智能提取关键信息,辅助科研写作。

立即免费体验

瑞士猪圆环病毒 3 型(PCV-3)的回顾性分析。

Retrospective Analyses of Porcine Circovirus Type 3 (PCV-3) in Switzerland.

机构信息

Institute of Veterinary Pathology, Vetsuisse Faculty, University of Zurich, 8057 Zurich, Switzerland.

Unitat Mixta d'Investigació IRTA UAB en Sanitat Animal, Centre de Recerca en Sanitat Animal (CReSA), Campus de la Universitat Autònoma de Barcelona (UAB), 08193 Bellaterra, Spain.

出版信息

Viruses. 2024 Sep 7;16(9):1431. doi: 10.3390/v16091431.

DOI:10.3390/v16091431
PMID:39339907
原文链接:https://pmc.ncbi.nlm.nih.gov/articles/PMC11437478/
Abstract

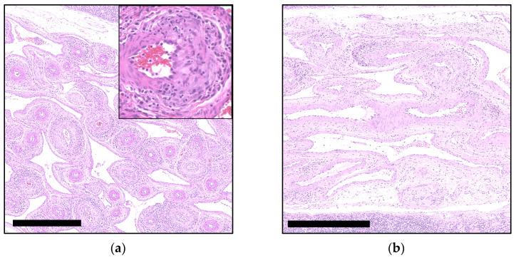
Porcine circovirus 3 (PCV-3) has emerged as a significant pathogen affecting global swine populations, yet its epidemiology and clinical implications remain incompletely understood. This retrospective study aimed to investigate the prevalence and histopathological features of PCV-3 infection in pigs from Switzerland, focusing on archival cases of suckling and weaner piglets presenting with suggestive lesions. An in-house qPCR assay was developed for detecting PCV-3 in frozen and formalin-fixed paraffin-embedded tissues, enhancing the national diagnostic capabilities. Histopathological reassessment identified PCV-3 systemic disease (PCV-3-SD) compatible lesions in 19 (6%) of archival cases, with 47% testing positive by qPCR across various organs. Notably, vascular lesions predominated, particularly in mesenteric arteries, heart, and kidneys. The study confirms the presence of PCV-3 in Switzerland since at least 2020, marking the first documented cases within the Swiss swine population. Despite challenges in in situ hybridization validation due to prolonged formalin fixation, the findings indicate viral systemic dissemination. These results contribute to the understanding of PCV-3 epidemiology in Swiss pigs, emphasizing the need for continued surveillance and further research on its clinical implications and interaction with host factors. Our study underscores the utility and limitations of molecular techniques in confirming PCV-3 infections.

摘要

猪圆环病毒 3 型(PCV-3)已成为影响全球猪群的重要病原体,但它的流行病学和临床意义仍不完全清楚。本回顾性研究旨在调查瑞士猪群中 PCV-3 感染的流行情况和组织病理学特征,重点关注具有提示性病变的哺乳仔猪和断奶仔猪的存档病例。为了提高国家诊断能力,我们开发了一种用于检测冷冻和福尔马林固定石蜡包埋组织中 PCV-3 的内部 qPCR 检测方法。组织病理学重新评估在 19 个(6%)存档病例中发现了与 PCV-3 全身性疾病(PCV-3-SD)相符的病变,通过 qPCR 在各种器官中检测到 47%的阳性病例。值得注意的是,血管病变占主导地位,特别是在肠系膜动脉、心脏和肾脏。本研究证实了 PCV-3 在瑞士的存在,至少可以追溯到 2020 年,这是瑞士猪群中首次有记录的病例。尽管由于长时间的福尔马林固定原位杂交验证存在挑战,但这些发现表明病毒的全身性传播。这些结果有助于了解瑞士猪群中 PCV-3 的流行病学,强调需要继续进行监测,并进一步研究其临床意义及其与宿主因素的相互作用。我们的研究强调了分子技术在确认 PCV-3 感染方面的实用性和局限性。

https://cdn.ncbi.nlm.nih.gov/pmc/blobs/8e8b/11437478/3a777407c0b3/viruses-16-01431-g003.jpg
https://cdn.ncbi.nlm.nih.gov/pmc/blobs/8e8b/11437478/14d92f7c95e4/viruses-16-01431-g001.jpg
https://cdn.ncbi.nlm.nih.gov/pmc/blobs/8e8b/11437478/952eabcb8f57/viruses-16-01431-g002.jpg
https://cdn.ncbi.nlm.nih.gov/pmc/blobs/8e8b/11437478/3a777407c0b3/viruses-16-01431-g003.jpg
https://cdn.ncbi.nlm.nih.gov/pmc/blobs/8e8b/11437478/14d92f7c95e4/viruses-16-01431-g001.jpg
https://cdn.ncbi.nlm.nih.gov/pmc/blobs/8e8b/11437478/952eabcb8f57/viruses-16-01431-g002.jpg
https://cdn.ncbi.nlm.nih.gov/pmc/blobs/8e8b/11437478/3a777407c0b3/viruses-16-01431-g003.jpg

相似文献

1
Retrospective Analyses of Porcine Circovirus Type 3 (PCV-3) in Switzerland.瑞士猪圆环病毒 3 型(PCV-3)的回顾性分析。
Viruses. 2024 Sep 7;16(9):1431. doi: 10.3390/v16091431.
2
Porcine Circovirus 3 Detection in Aborted Fetuses and Stillborn Piglets from Swine Reproductive Failure Cases.猪圆环病毒 3 检测在流产胎儿和死产仔猪从猪繁殖失败的情况下。
Viruses. 2021 Feb 9;13(2):264. doi: 10.3390/v13020264.
3
Lack of detection of Porcine circovirus 3 (PCV-3) in formalin-fixed, paraffin- embedded tissues from porcine abortions in Switzerland.瑞士福尔马林固定、石蜡包埋流产胎儿组织中猪圆环病毒 3(PCV-3)的检测情况。
Schweiz Arch Tierheilkd. 2024 Sep;166(9):460-464. doi: 10.17236/sat00431.
4
Retrospective investigation of porcine circoviruses in cases of porcine dermatitis and nephropathy syndrome.猪皮炎肾病综合征病例中猪圆环病毒的回顾性调查。
Vet Res. 2024 Nov 9;55(1):146. doi: 10.1186/s13567-024-01405-8.
5
Detection of porcine circovirus 2 (PCV-2) DNA by nested PCR from formalin-fixed tissues of post-weaning multisystemic wasting syndrome (PMWS) pigs in Thailand.通过巢式聚合酶链反应从泰国断奶后多系统消耗综合征(PMWS)猪的福尔马林固定组织中检测猪圆环病毒2型(PCV - 2)DNA 。
J Vet Med Sci. 2002 May;64(5):449-52. doi: 10.1292/jvms.64.449.
6
First report of wild boar susceptibility to Porcine circovirus type 3: High prevalence in the Colli Euganei Regional Park (Italy) in the absence of clinical signs.首例野猪感染猪圆环病毒 3 型的报告:意大利 Euganei 地区公园(Colli Euganei Regional Park)野猪大量感染,无临床症状。
Transbound Emerg Dis. 2018 Aug;65(4):957-962. doi: 10.1111/tbed.12905. Epub 2018 May 18.
7
Genomic analysis of porcine circovirus type-2 isolates in Alberta pigs demonstrating clinical porcine circovirus associated disease (PCVAD).对艾伯塔省出现临床猪圆环病毒相关疾病(PCVAD)的猪群中2型猪圆环病毒分离株进行基因组分析。
Can J Vet Res. 2010 Apr;74(2):149-52.
8
Porcine circovirus as a possible cause of postweaning wasting in pigs in Switzerland.猪圆环病毒可能是瑞士断奶仔猪消瘦的一个病因。
Schweiz Arch Tierheilkd. 2004 Oct;146(10):461-8; discussion 469. doi: 10.1024/0036-7281.146.10.461.
9
Identification of porcine circovirus type 2 in retrospective cases of pigs naturally infected with porcine epidemic diarrhoea virus.在自然感染猪流行性腹泻病毒的猪的回顾性病例中鉴定2型猪圆环病毒。
Vet J. 2006 Jan;171(1):166-8. doi: 10.1016/j.tvjl.2004.09.002. Epub 2004 Nov 18.
10
Retrospective detection of Porcine circovirus 3 (PCV-3) in pig serum samples from Spain.回顾性检测西班牙猪血清样本中的猪圆环病毒 3(PCV-3)。
Transbound Emerg Dis. 2018 Oct;65(5):1290-1296. doi: 10.1111/tbed.12876. Epub 2018 Apr 14.

本文引用的文献

1
High detection frequency and genetic diversity of porcine circovirus 3 (PCV-3) in Namibian backyard farms and warthogs.纳米比亚后院农场和疣猪中猪圆环病毒 3(PCV-3)的高检出率和遗传多样性。
Acta Trop. 2024 Jan;249:107085. doi: 10.1016/j.actatropica.2023.107085. Epub 2023 Nov 26.
2
Molecular characterization of porcine circovirus-2 and -3 in pigs in Tanzania.坦桑尼亚猪圆环病毒 2 型和 3 型的分子特征。
J Vet Med Sci. 2023 Jun 14;85(6):691-694. doi: 10.1292/jvms.23-0031. Epub 2023 May 3.
3
Retrospective assessment of porcine circovirus 3 (PCV-3) in formalin-fixed, paraffin-embedded tissues from pigs affected by different clinical-pathological conditions.
对来自患有不同临床病理状况的猪的福尔马林固定、石蜡包埋组织中的猪圆环病毒3型(PCV-3)进行回顾性评估。
Porcine Health Manag. 2022 Dec 5;8(1):51. doi: 10.1186/s40813-022-00293-8.
4
Identification of porcine circovirus-3 in Mozambique.在莫桑比克鉴定出猪圆环病毒 3 型。
Vet Res Commun. 2022 Jun;46(2):593-596. doi: 10.1007/s11259-021-09858-4. Epub 2021 Nov 8.
5
Porcine circovirus 3 in North and South America: Epidemiology and genetic diversity.美洲地区猪圆环病毒 3 型的流行病学与遗传多样性。
Transbound Emerg Dis. 2021 Nov;68(6):2949-2956. doi: 10.1111/tbed.14238. Epub 2021 Jul 26.
6
Porcine circovirus 3 (PCV-3) as a causal agent of disease in swine and a proposal of PCV-3 associated disease case definition.猪圆环病毒 3 型(PCV-3)作为一种引起猪疾病的病原体,以及 PCV-3 相关疾病病例定义的建议。
Transbound Emerg Dis. 2021 Nov;68(6):2936-2948. doi: 10.1111/tbed.14204. Epub 2021 Jul 8.
7
Histological Lesions and Replication Sites of PCV3 in Naturally Infected Pigs.猪圆环病毒3型自然感染猪的组织学病变及复制位点
Animals (Basel). 2021 May 24;11(6):1520. doi: 10.3390/ani11061520.
8
Genetic diversity of porcine circovirus 3 strains and the first detection of two different PCV3 strains coinfecting the same host in Minas Gerais, Brazil.猪圆环病毒 3 型毒株的遗传多样性及在巴西米纳斯吉拉斯州同一宿主中两种不同 PCV3 毒株混合感染的首次检测。
Arch Virol. 2021 May;166(5):1463-1468. doi: 10.1007/s00705-021-05032-y. Epub 2021 Mar 15.
9
Porcine Circovirus Type 3 in Pig Farms Experiencing Diarrhea in Jiangxi, China: Prevalence, Genome Sequence and Pathogenicity.中国江西腹泻猪场的猪圆环病毒3型:流行情况、基因组序列及致病性
Animals (Basel). 2020 Dec 7;10(12):2324. doi: 10.3390/ani10122324.
10
Pathogenicity and immune response against porcine circovirus type 3 infection in caesarean-derived, colostrum-deprived pigs.猪圆环病毒 3 型感染的致病性和免疫反应在剖腹产、初乳剥夺的仔猪中。
J Gen Virol. 2021 Jan;102(1). doi: 10.1099/jgv.0.001502.