Suppr超能文献

超速离心微结构分析骨髓单核细胞白血病细胞系用强毒内脏型新城疫病毒 AF2240 株处理后的凋亡情况。

Ultrastructure Microscopic Characterization of Apoptosis in Myelomoncytic Leukemia Cell Line Treated with Velogenic Viscerotropic Newcastle Disease Virus Strain AF 2240.

机构信息

Department of Oral Biology and Biomedical Sciences, Faculty of Dentistry, MAHSA University, Selangor, Malaysia.

School of Dentistry, Management and Science University, Shah Alam, Selangor, Malaysia.

出版信息

Asian Pac J Cancer Prev. 2024 Sep 1;25(9):2991-2998. doi: 10.31557/APJCP.2024.25.9.2991.

Abstract

OBJECTIVE

Leukemia is a group of hematologic malignancies in the bonemarrow that arise from the dysfunctional proliferation of developing leukocytes. It is classified as either acute or chronic based on the rapidity of proliferation and as myelocytic or lymphocytic based on the cell of origin. Newcastle Disease Virus (NDV) is an avian paramyxovirus, which has been demonstrated to possess significant oncolytic activity against mammalian cancers because its ability to kill tumor cells with limited toxicity to normal cells.

METHODS

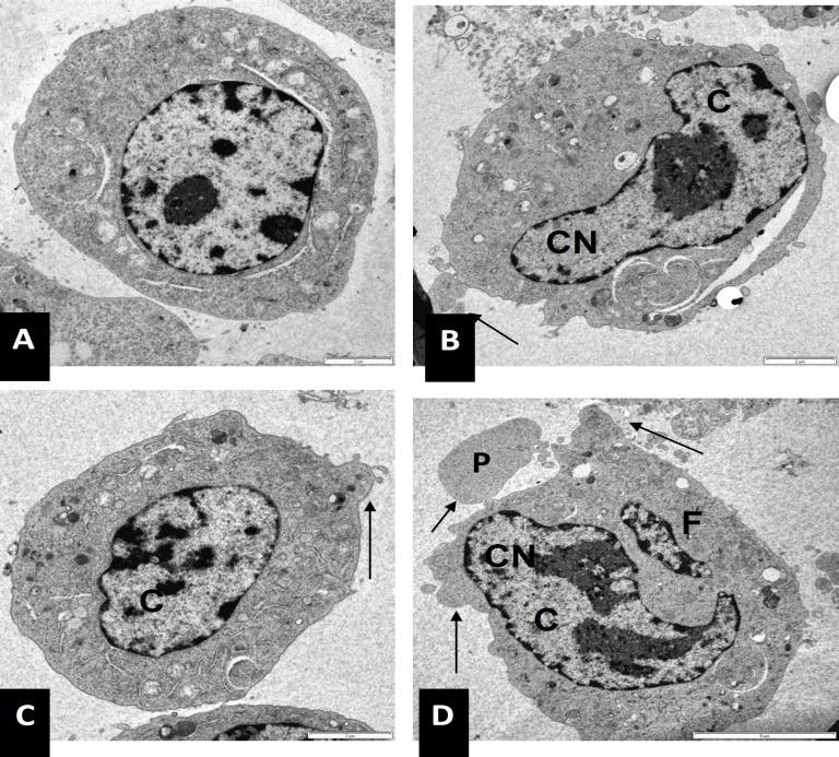
In this study, the morphophical changes and apoptosis induction of WEHI 3B leukemia cell line treated with NDV strain AF2240 were studied by scanning electron microscopes and  transmission electron microscopes techniques.

RESULT

Electron microscopy indicated that NDV strain AF 2240 significantly altered cell morphology and reduced cell viability. Furthermore,  early apoptosis was observed 6 h post-inoculation by fluorescence microscope.

CONCLUSION

Our results suggest that NDV has ability to induce significant apoptoic structural changes in WEHI 3B leukemia cell line. These findings provide new insights into the mechanism of action of NDV virotherapy and could lead to the development of more effective treatments for leukemia.

摘要

目的

白血病是一种起源于骨髓中发育中白细胞功能失调性增殖的血液系统恶性肿瘤。根据增殖的速度,它可分为急性或慢性;根据起源细胞,可分为髓系或淋系。新城疫病毒(NDV)是一种禽副黏病毒,已被证明对哺乳动物癌症具有显著的溶瘤活性,因为它能够杀死肿瘤细胞,而对正常细胞的毒性有限。

方法

本研究采用扫描电子显微镜和透射电子显微镜技术研究了 NDV 株 AF2240 处理 WEHI 3B 白血病细胞系后的形态学变化和细胞凋亡诱导作用。

结果

电镜显示 NDV 株 AF2240 显著改变了细胞形态并降低了细胞活力。此外,荧光显微镜观察到接种后 6 小时出现早期凋亡。

结论

我们的结果表明,NDV 能够诱导 WEHI 3B 白血病细胞系发生显著的凋亡结构变化。这些发现为 NDV 病毒治疗的作用机制提供了新的见解,并可能为白血病的治疗带来更有效的方法。

https://cdn.ncbi.nlm.nih.gov/pmc/blobs/0892/11700348/80c929d015f1/APJCP-25-2991-g001.jpg

文献检索

告别复杂PubMed语法,用中文像聊天一样搜索,搜遍4000万医学文献。AI智能推荐,让科研检索更轻松。

立即免费搜索

文件翻译

保留排版,准确专业,支持PDF/Word/PPT等文件格式,支持 12+语言互译。

免费翻译文档

深度研究

AI帮你快速写综述,25分钟生成高质量综述,智能提取关键信息,辅助科研写作。

立即免费体验