• 文献检索
  • 文档翻译
  • 深度研究
  • 学术资讯
  • Suppr Zotero 插件Zotero 插件
  • 邀请有礼
  • 套餐&价格
  • 历史记录
应用&插件
Suppr Zotero 插件Zotero 插件浏览器插件Mac 客户端Windows 客户端微信小程序
定价
高级版会员购买积分包购买API积分包
服务
文献检索文档翻译深度研究API 文档MCP 服务
关于我们
关于 Suppr公司介绍联系我们用户协议隐私条款
关注我们

Suppr 超能文献

核心技术专利:CN118964589B侵权必究
粤ICP备2023148730 号-1Suppr @ 2026

文献检索

告别复杂PubMed语法,用中文像聊天一样搜索,搜遍4000万医学文献。AI智能推荐,让科研检索更轻松。

立即免费搜索

文件翻译

保留排版,准确专业,支持PDF/Word/PPT等文件格式,支持 12+语言互译。

免费翻译文档

深度研究

AI帮你快速写综述,25分钟生成高质量综述,智能提取关键信息,辅助科研写作。

立即免费体验

蜗牛表达作为结直肠腺癌的预后因素。

Snail Expression as a Prognostic Factor in Colorectal Adenocarcinoma.

机构信息

Department of Anatomical Pathology, Faculty of Medicine, Hasanuddin University, Indonesia.

Department of Anatomical Pathology, Faculty of Medicine, Tadulako University, Indonesia.

出版信息

Asian Pac J Cancer Prev. 2024 Sep 1;25(9):3143-3149. doi: 10.31557/APJCP.2024.25.9.3143.

DOI:10.31557/APJCP.2024.25.9.3143
PMID:39342593
原文链接:https://pmc.ncbi.nlm.nih.gov/articles/PMC11700324/
Abstract

OBJECTIVE

The aim of this study was to analyze the expression of Snail in the colorectal adenocarcinoma.

METHODS

This study used a cross-sectional design. Seventy four paraffin embedded block of Colorectal Adenocarcinoma were assessed using Snail rabbit polyclonal antibody and their expression were performed using Olympus CX-43 light microscope. The relationship between Snail expression with histopathological grading, tumor budding grading, lymphovascular invasion and metastases of colorectal adenocarcinoma ability were statistically analyzed by Mann Whitney tests and presented in tables using SPSS 27.

RESULT

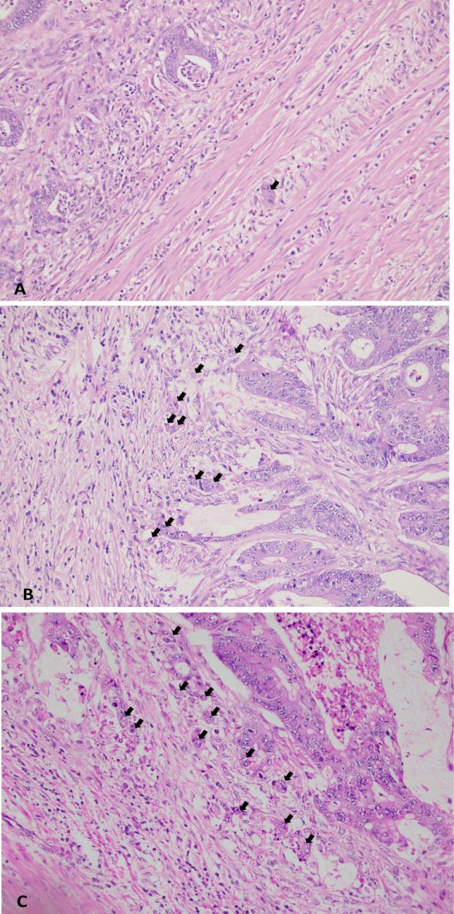
From 74 samples examined, in samples with low grade tumor budding (n=11), there were 9 samples (81.8%) with weak expression, while those with strong expression were 2 samples (18.2%). In samples with intermediate grade tumor budding (n=28), there were 17 samples (60.7%) with weak expression, while those with strong expression were 11 samples (39.3%). In samples with high grade tumor budding (n=35), there were 13 samples (37.1%) with weak expression, while those with strong expression were 22 samples (62.9%). In samples with lymphovascular invasion (n=14), there were 10 samples (71.4%) with strong expression, while those with weak expression were 4 samples (28.6%). In samples with metastases (n=23), there were 16 samples (69.6%) with strong expression, while those with weak expression were 7 samples (30.4%). There was a significant relationship between the expression of Snail with tumor budding grade (p=0.003), lymphovascular invasion and metastases (p=<0.001), but there was no significant relationship with histopathological grade (p=0.942).

CONCLUSION

The Snail expression can be used as a prognostic factor in colorectal adenocarcinoma.

摘要

目的

本研究旨在分析 Snail 在结直肠腺癌中的表达。

方法

本研究采用横断面设计。使用 Snail 兔多克隆抗体评估 74 例结直肠腺癌石蜡包埋块,并使用 Olympus CX-43 光学显微镜进行表达。通过 Mann Whitney 检验对 Snail 表达与结直肠腺癌组织学分级、肿瘤芽分级、淋巴血管侵犯和转移能力之间的关系进行统计学分析,并使用 SPSS 27 在表中呈现。

结果

在 74 例检查样本中,低级别肿瘤芽(n=11)样本中,有 9 个样本(81.8%)表达较弱,而表达较强的有 2 个样本(18.2%)。在中级肿瘤芽(n=28)样本中,有 17 个样本(60.7%)表达较弱,而表达较强的有 11 个样本(39.3%)。在高级肿瘤芽(n=35)样本中,有 13 个样本(37.1%)表达较弱,而表达较强的有 22 个样本(62.9%)。在有淋巴血管侵犯(n=14)的样本中,有 10 个样本(71.4%)表达较强,而表达较弱的有 4 个样本(28.6%)。在有转移(n=23)的样本中,有 16 个样本(69.6%)表达较强,而表达较弱的有 7 个样本(30.4%)。Snail 的表达与肿瘤芽分级(p=0.003)、淋巴血管侵犯和转移(p<0.001)之间存在显著关系,但与组织学分级(p=0.942)之间无显著关系。

结论

Snail 的表达可作为结直肠腺癌的预后因素。

https://cdn.ncbi.nlm.nih.gov/pmc/blobs/4303/11700324/4805ec540264/APJCP-25-3143-g002.jpg
https://cdn.ncbi.nlm.nih.gov/pmc/blobs/4303/11700324/e120e2650a14/APJCP-25-3143-g001.jpg
https://cdn.ncbi.nlm.nih.gov/pmc/blobs/4303/11700324/4805ec540264/APJCP-25-3143-g002.jpg
https://cdn.ncbi.nlm.nih.gov/pmc/blobs/4303/11700324/e120e2650a14/APJCP-25-3143-g001.jpg
https://cdn.ncbi.nlm.nih.gov/pmc/blobs/4303/11700324/4805ec540264/APJCP-25-3143-g002.jpg

相似文献

1
Snail Expression as a Prognostic Factor in Colorectal Adenocarcinoma.蜗牛表达作为结直肠腺癌的预后因素。
Asian Pac J Cancer Prev. 2024 Sep 1;25(9):3143-3149. doi: 10.31557/APJCP.2024.25.9.3143.
2
The Role of Fibroblast Growth Factor Receptor 2 as A Prognostic Biomarker in Colorectal Adenocarcinoma.成纤维细胞生长因子受体2作为结直肠癌预后生物标志物的作用
Asian Pac J Cancer Prev. 2025 Apr 1;26(4):1335-1341. doi: 10.31557/APJCP.2025.26.4.1335.
3
The Relationship Between Expression of EpCAM Cancer Stem Cell Marker with Histopathological Grading, Lymphovascular Invasion, and Metastases in Colorectal Adenocarcinoma.上皮细胞黏附分子(EpCAM)癌干细胞标志物表达与结直肠腺癌组织病理学分级、淋巴管浸润和转移的关系。
Asian Pac J Cancer Prev. 2023 Mar 1;24(3):929-934. doi: 10.31557/APJCP.2023.24.3.929.
4
[Relationship between E-CD and Snail expressions and tumor invasion, metastasis and prognosis in colorectal cancer].E-钙黏蛋白与Snail蛋白表达与结直肠癌肿瘤侵袭、转移及预后的关系
Zhonghua Zhong Liu Za Zhi. 2010 Feb;32(2):111-6.
5
Budding as a risk factor for lymph node metastasis in pT1 or pT2 well-differentiated colorectal adenocarcinoma.在pT1或pT2高分化结直肠癌中,芽生作为淋巴结转移的危险因素。
Dis Colon Rectum. 2002 May;45(5):628-34. doi: 10.1007/s10350-004-6259-0.
6
Expression of leptin in colorectal adenocarcinoma showed significant different survival patterns associated with tumor size, lymphovascular invasion, distant metastasis, local recurrence, and relapse of disease in the western province of Saudi Arabia.在沙特阿拉伯西部省份,结肠直肠癌中瘦素的表达显示出与肿瘤大小、淋巴管浸润、远处转移、局部复发及疾病复发相关的显著不同的生存模式。
Medicine (Baltimore). 2018 Aug;97(34):e12052. doi: 10.1097/MD.0000000000012052.
7
Tumor budding is an adverse prognostic marker in intestinal-type sinonasal adenocarcinoma and seems to be unrelated to epithelial-mesenchymal transition.肿瘤芽生是肠型鼻腔鼻窦腺癌的不良预后标志物,似乎与上皮-间充质转化无关。
Virchows Arch. 2020 Aug;477(2):241-248. doi: 10.1007/s00428-020-02748-1. Epub 2020 Jan 24.
8
The relationship of tumor budding with GOLPH3 expression and histopathological prognostic parameters in colorectal adenocarcinoma.结直肠腺癌中肿瘤芽与 GOLPH3 表达及组织病理学预后参数的关系。
Ann Diagn Pathol. 2022 Jun;58:151933. doi: 10.1016/j.anndiagpath.2022.151933. Epub 2022 Mar 3.
9
Tumor Budding and PDC Grade Are Stage Independent Predictors of Clinical Outcome in Mismatch Repair Deficient Colorectal Cancer.肿瘤芽生与PDC分级是错配修复缺陷型结直肠癌临床结局的独立分期预测因素。
Am J Surg Pathol. 2018 Jan;42(1):60-68. doi: 10.1097/PAS.0000000000000931.
10
The Prognostic Value of Cancer Stem Cell Markers (Notch1, ALDH1, and CD44) in Primary Colorectal Carcinoma.癌症干细胞标志物(Notch1、醛脱氢酶1和CD44)在原发性结直肠癌中的预后价值
J Gastrointest Cancer. 2019 Dec;50(4):824-837. doi: 10.1007/s12029-018-0156-6.

引用本文的文献

1
Identifying Molecular Modulators of the Vascular Invasion in Rectal Carcinoma: Role of and Its Co-Dependent Genes.鉴定直肠癌血管侵袭的分子调节因子: 及其共依赖基因的作用。
Int J Mol Sci. 2025 Jun 28;26(13):6261. doi: 10.3390/ijms26136261.
2
Colorectal cancer in south sulawesi: a case-control study for nongenetic risk factors.南苏拉威西省的结直肠癌:一项非遗传危险因素的病例对照研究。
Oncol Rev. 2025 May 30;19:1589655. doi: 10.3389/or.2025.1589655. eCollection 2025.

本文引用的文献

1
Snail inhibits metastasis via regulation of E‑cadherin and is associated with prognosis in colorectal cancer.Snail通过调控E-钙黏蛋白抑制转移,且与结直肠癌的预后相关。
Oncol Lett. 2023 May 5;25(6):271. doi: 10.3892/ol.2023.13857. eCollection 2023 Jun.
2
Snail-Family Proteins: Role in Carcinogenesis and Prospects for Antitumor Therapy.蜗牛家族蛋白:在肿瘤发生中的作用及抗肿瘤治疗前景
Acta Naturae. 2021 Jan-Mar;13(1):76-90. doi: 10.32607/actanaturae.11062.
3
Programmed death-ligand 1 expression and tumor-infiltrating lymphocytes in colorectal adenocarcinoma.
结直肠腺癌中的程序性死亡配体 1 表达和肿瘤浸润淋巴细胞。
Minerva Med. 2020 Aug;111(4):337-343. doi: 10.23736/S0026-4806.20.06401-0.
4
Tumour budding in solid cancers.实体癌中的肿瘤芽生
Nat Rev Clin Oncol. 2021 Feb;18(2):101-115. doi: 10.1038/s41571-020-0422-y. Epub 2020 Sep 8.
5
Tumor budding in colorectal carcinoma: An institutional interobserver reliability and prognostic study of colorectal adenocarcinoma cases.结直肠癌中的肿瘤芽:结直肠腺癌病例的机构内观察者间可靠性和预后研究。
Ann Diagn Pathol. 2019 Dec;43:151420. doi: 10.1016/j.anndiagpath.2019.151420. Epub 2019 Nov 7.
6
E-cadherin and Snail Immunoexpression in Colorectal Adenocarcinomas.E-钙黏蛋白和Snail在结直肠癌中的免疫表达
Curr Health Sci J. 2019 Apr-Jun;45(2):204-209. doi: 10.12865/CHSJ.45.02.12. Epub 2019 Jun 30.
7
Mesenchymal-epithelial transition in development and reprogramming.发育与重编程中的间质-上皮转化。
Nat Cell Biol. 2019 Jan;21(1):44-53. doi: 10.1038/s41556-018-0195-z. Epub 2019 Jan 2.
8
Cancer stem cells in progression of colorectal cancer.结直肠癌进展过程中的癌症干细胞
Oncotarget. 2017 Dec 22;9(70):33403-33415. doi: 10.18632/oncotarget.23607. eCollection 2018 Sep 7.
9
Outcome and prognostic factors in 593 non-metastatic rectal cancer patients: a mono-institutional survey.593 例非转移性直肠癌患者的预后和影响因素:单机构调查。
Sci Rep. 2018 Jul 16;8(1):10708. doi: 10.1038/s41598-018-29040-2.
10
Recommendations for reporting tumor budding in colorectal cancer based on the International Tumor Budding Consensus Conference (ITBCC) 2016.基于 2016 年国际肿瘤芽殖共识会议(ITBCC)的结直肠癌肿瘤芽殖报告推荐建议。
Mod Pathol. 2017 Sep;30(9):1299-1311. doi: 10.1038/modpathol.2017.46. Epub 2017 May 26.